samsonov Опубликовано 17 декабря, 2014 Поделиться Опубликовано 17 декабря, 2014 Где-то ещё юзают стеклянные шприцы?! 1 Ссылка на комментарий
kriokov Опубликовано 17 декабря, 2014 Поделиться Опубликовано 17 декабря, 2014 Где-то ещё юзают стеклянные шприцы?!да нигде наверное. Давнишний случай Ссылка на комментарий
AlexanderGudkov Опубликовано 17 декабря, 2014 Поделиться Опубликовано 17 декабря, 2014 Как сказала моя Ася: "сила есть ума не надо"))))Фарид, силееен!) 2 Ссылка на комментарий
kladoffka Опубликовано 17 декабря, 2014 Поделиться Опубликовано 17 декабря, 2014 Один раз тоже сломал в госке, медсестра с пациентом в шоке Ссылка на комментарий
parallax Опубликовано 17 декабря, 2014 Поделиться Опубликовано 17 декабря, 2014 В первый раз такое! Такой грохот был!) чуть не надул в штаны) Когда щипцы ломаются, обычно звук очень сильный. Ссылка на комментарий
Фарид Расулыч Опубликовано 18 декабря, 2014 Поделиться Опубликовано 18 декабря, 2014 . 2 Ссылка на комментарий
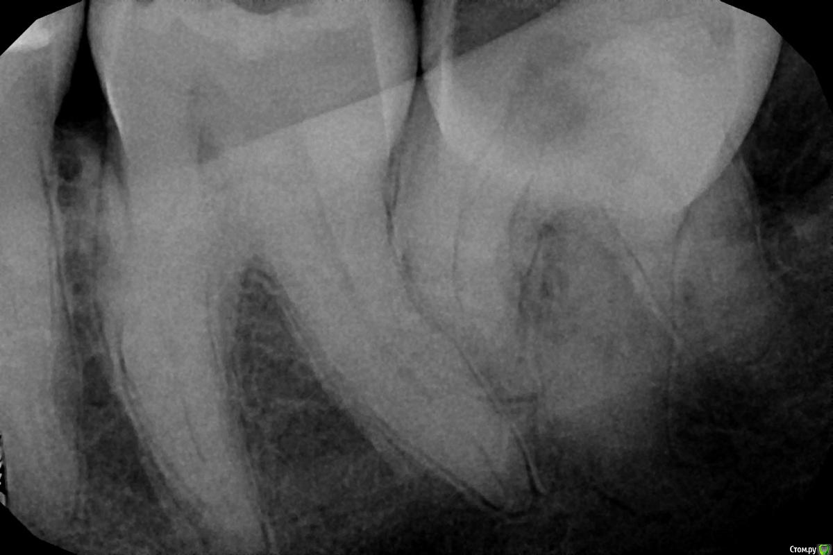
Чертков Александр Опубликовано 18 декабря, 2014 Поделиться Опубликовано 18 декабря, 2014 (изменено) .А коронка где) ? Горизонтальный? Изменено 18 декабря, 2014 пользователем Чертков Александр Ссылка на комментарий
Фарид Расулыч Опубликовано 18 декабря, 2014 Поделиться Опубликовано 18 декабря, 2014 Коронка была съедена злобным кариесом) 2 Ссылка на комментарий
Фарид Расулыч Опубликовано 22 декабря, 2014 Поделиться Опубликовано 22 декабря, 2014 Свежий урожай) только с "грядки" 10 Ссылка на комментарий
Shaid Опубликовано 23 декабря, 2014 Поделиться Опубликовано 23 декабря, 2014 Фарид, силен-силен Мне тоже один раз так сказали, когда я пику(бор) сломал. 1 Ссылка на комментарий
Аслан Опубликовано 2 февраля, 2015 Поделиться Опубликовано 2 февраля, 2015 Вот такой 28 у коллеги убрал пару часов назад. http://s018.radikal.ru/i509/1502/33/458d2fae3a7ft.jpg 6 Ссылка на комментарий
Фарид Расулыч Опубликовано 3 февраля, 2015 Поделиться Опубликовано 3 февраля, 2015 Аслан, тоже любишь коллег "помучать"?))) 1 Ссылка на комментарий
Аслан Опубликовано 3 февраля, 2015 Поделиться Опубликовано 3 февраля, 2015 Аслан, тоже любишь коллег "помучать"?)))Нет. Она очень меня попросила, доверяет мне. ))) хотя пару лет назад я 38 убирал ей и прищимил ей нерв. Онемение на пол года и еще и не полностью прошло всё. Зуб был тогда классный, жаль не сфоткал. Корень толстый, изгибом 90° и продолжался за дисиальной поверхностью коронки на всю доину коронки. (10-12 мм). Ничего не сломал. 1 Ссылка на комментарий
red_butler Опубликовано 3 февраля, 2015 Поделиться Опубликовано 3 февраля, 2015 Вот такой 28 у коллеги убрал пару часов назад. зуб оказался самцом 3 Ссылка на комментарий
Shargik Опубликовано 16 февраля, 2015 Поделиться Опубликовано 16 февраля, 2015 18 и 18. Первый раз выкладываю, сорри за качество.. 3 Ссылка на комментарий
chervoncevdaniil Опубликовано 16 февраля, 2015 Поделиться Опубликовано 16 февраля, 2015 Коллеги,вертикально стоящая нижняя 8,коронковая часть сохранена,все равно будете распиливать или щипцами сначала пробовать? Ссылка на комментарий
syrovovec Опубликовано 16 февраля, 2015 Поделиться Опубликовано 16 февраля, 2015 Элеватора как правило хватает 2 1 Ссылка на комментарий
Shargik Опубликовано 17 февраля, 2015 Поделиться Опубликовано 17 февраля, 2015 Коллеги,вертикально стоящая нижняя 8,коронковая часть сохранена,все равно будете распиливать или щипцами сначала пробовать?Корней сколько по снимку? Глубина залегания? Ссылка на комментарий
Shargik Опубликовано 17 февраля, 2015 Поделиться Опубликовано 17 февраля, 2015 Элеватора как правило хватает+1 Ссылка на комментарий
SDC Опубликовано 17 февраля, 2015 Поделиться Опубликовано 17 февраля, 2015 http://s017.radikal.ru/i413/1502/2c/e24b3e24a808.jpg http://s010.radikal.ru/i313/1502/78/64de26d778ee.jpg 7 Ссылка на комментарий
Shargik Опубликовано 17 февраля, 2015 Поделиться Опубликовано 17 февраля, 2015 Удаляйте фото из цитат28? красивый) 1 Ссылка на комментарий
SDC Опубликовано 17 февраля, 2015 Поделиться Опубликовано 17 февраля, 2015 28? красивый)+ Ссылка на комментарий
Orient Опубликовано 17 февраля, 2015 Поделиться Опубликовано 17 февраля, 2015 28? красивый)Усейн Болт 2 Ссылка на комментарий
Shargik Опубликовано 18 февраля, 2015 Поделиться Опубликовано 18 февраля, 2015 Усейн Болт А что, похож) Ссылка на комментарий
faity Опубликовано 24 февраля, 2015 Поделиться Опубликовано 24 февраля, 2015 В два захода пришлось убирать 6 Ссылка на комментарий
Рекомендуемые сообщения
Для публикации сообщений создайте учётную запись или авторизуйтесь
Вы должны быть пользователем, чтобы оставить комментарий
Создать аккаунт
Зарегистрируйте новый аккаунт в нашем сообществе. Это очень просто!
Регистрация нового пользователяВойти
Уже есть аккаунт? Войти в систему.
Войти