Марья Моревна Опубликовано 9 июня, 2020 Поделиться Опубликовано 9 июня, 2020 Ого, спасибо!Человек, который из одной биопленки сварганил целый семинар , может заставлять поверить и не в такое.. 1 Ссылка на комментарий
shishok Опубликовано 14 июня, 2020 Поделиться Опубликовано 14 июня, 2020 В пятницу удаляла 18 младшему сыну.По снимку-3 корня,по факту-5(+ маленький приросший к шейке). 1 Ссылка на комментарий
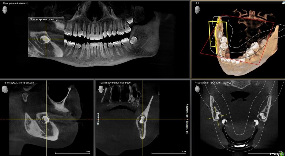
___49___ Опубликовано 12 ноября, 2020 Поделиться Опубликовано 12 ноября, 2020 (изменено) Немного выше в теме скидывал возможные анатомические вариации нижней челюсти , при которых во время удаления 8ки проталкивают апекс язычно .Встречается не часто (реже перфорации верхнечелюстной пазухи ) , но ситуация на мой взгляд менее приятная нежели перфа. Ниже фото пациента , которого я увидел спустя 5 дней после подобного неудачного удаления. Тризм на 1 палец, пациент принимает уже второй курс антибиотиков, t -37-38 , глотание болезненно , флюктуирующего инфильтрата не определяется , кожа в складку собирается, гнойного отделяемого из лунки нет. С молитвами , под торусальной + инфильтрационной анестезией , доступом через внутри ротовой разрез , через минут 10 не активного ( так как тризм , крупный язык ) поиска , удалось поймать "беглеца" , экссудат серозного характера, из лунки удален 2ой апекс, кюретаж, промыта р-ром метронидазола , в лунку введен альванес гель, от дренажа отказался ( при попытке установить , после функциональной пробы - попросил несколько раз открыть и закрыть рот , сглотнуть слюну, дренаж попытался скрыться в глубине мягких тканей) , рану также промыл р-ром метронидазола. Пациент продолжил прием ранее назначенных ему антибиотиков. Осмотры на 2 ой и 4 ый день , динамика положительная. По прошествии 2 недель , открывание рта в полном объеме , t в норме....апексы пациент забрал на память ) . Изменено 12 ноября, 2020 пользователем ___49___ 11 Ссылка на комментарий
Doc Опубликовано 22 ноября, 2020 Поделиться Опубликовано 22 ноября, 2020 По прошествии 2 недель , открывание рта в полном объеме , t в норме....апексы пациент забрал на память ) .Круто! Отличный случай! 1 Ссылка на комментарий
Дмитрий М Опубликовано 14 декабря, 2020 Поделиться Опубликовано 14 декабря, 2020 14 лет, планируется ортодонтия, удаление только пьезотом nsk небольшое окно и разделение зубов, ~50 мин 4 Ссылка на комментарий
It'sGeorgy Опубликовано 12 марта, 2021 Поделиться Опубликовано 12 марта, 2021 Сегодня был Кинг-сайз: 4 Ссылка на комментарий
Raystom Опубликовано 12 марта, 2021 Поделиться Опубликовано 12 марта, 2021 Сегодня был Кинг-сайз:77ACA2FA-C768-41BD-A47A-7FB9E5267020.pngCBA9ECB9-7FF0-400F-9532-0BD5DA33C825.jpeg78D8DF61-36CB-4F3C-BD57-D07106E56D33.jpegПочти как корона из бургер-кинга) Ссылка на комментарий
vse32 Опубликовано 12 марта, 2021 Поделиться Опубликовано 12 марта, 2021 Сегодня был Кинг-сайз:77ACA2FA-C768-41BD-A47A-7FB9E5267020.pngCBA9ECB9-7FF0-400F-9532-0BD5DA33C825.jpeg78D8DF61-36CB-4F3C-BD57-D07106E56D33.jpegКрасавцы все. И зуб и доктор! Ссылка на комментарий
Женька Опубликовано 12 марта, 2021 Поделиться Опубликовано 12 марта, 2021 Сегодня был Кинг-сайз:77ACA2FA-C768-41BD-A47A-7FB9E5267020.pngCBA9ECB9-7FF0-400F-9532-0BD5DA33C825.jpeg78D8DF61-36CB-4F3C-BD57-D07106E56D33.jpegкак без распилов такой достали? Ссылка на комментарий
It'sGeorgy Опубликовано 12 марта, 2021 Поделиться Опубликовано 12 марта, 2021 Красавцы все. И зуб и доктор!Благодарю как без распилов такой достали? Если честно, сам не понял. Был под впечатлением от ОАС на вч размером с палец, которое получил, когда верхнего удалял. Убрал кость до уровня коронки. Вестибулярно в щель байонетный элеватор и зуб вышел. Ссылка на комментарий
Jayseebrawn Опубликовано 17 июля, 2021 Поделиться Опубликовано 17 июля, 2021 крючки) 5 3 Ссылка на комментарий
Женька Опубликовано 1 августа, 2021 Поделиться Опубликовано 1 августа, 2021 Малышки 1.8 и 4.8 3 Ссылка на комментарий
Irouil Опубликовано 13 августа, 2021 Поделиться Опубликовано 13 августа, 2021 (изменено) На гребне волны) Изменено 13 августа, 2021 пользователем Irouil 2 Ссылка на комментарий
Irouil Опубликовано 13 августа, 2021 Поделиться Опубликовано 13 августа, 2021 (изменено) Эх, хотел дать вам немного хайрезов, да движок форума не дал( Изменено 13 августа, 2021 пользователем Irouil Ссылка на комментарий
Ponchik Опубликовано 12 сентября, 2021 Поделиться Опубликовано 12 сентября, 2021 2 Ссылка на комментарий
Ponchik Опубликовано 12 сентября, 2021 Поделиться Опубликовано 12 сентября, 2021 5 Ссылка на комментарий
Ponchik Опубликовано 12 сентября, 2021 Поделиться Опубликовано 12 сентября, 2021 Это раньше у меня фотоаппарата не было... ? 5 Ссылка на комментарий
Doc Опубликовано 12 сентября, 2021 Поделиться Опубликовано 12 сентября, 2021 32 минуты назад, Ponchik сказал: Это раньше у меня фотоаппарата не было... ? Очень круто! И кейсы и фото! 1 Ссылка на комментарий
Ponchik Опубликовано 12 сентября, 2021 Поделиться Опубликовано 12 сентября, 2021 7 минут назад, Doc сказал: Очень круто! И кейсы и фото! Это легко, когда нравится. Думаю, вы сами знаете это. 1 Ссылка на комментарий
Рекомендуемые сообщения
Для публикации сообщений создайте учётную запись или авторизуйтесь
Вы должны быть пользователем, чтобы оставить комментарий
Создать аккаунт
Зарегистрируйте новый аккаунт в нашем сообществе. Это очень просто!
Регистрация нового пользователяВойти
Уже есть аккаунт? Войти в систему.
Войти