Alexey Doc Опубликовано 15 июня, 2014 Поделиться Опубликовано 15 июня, 2014 Вашу позицию понял. 1 Ссылка на комментарий
Larnary Опубликовано 21 июня, 2014 Поделиться Опубликовано 21 июня, 2014 (изменено) Вот такую восьмерочку только что удалил целиком.в самом конце выведения слегка треснула верхушка,но не сломалась Изменено 21 июня, 2014 пользователем Larnary 4 Ссылка на комментарий
samsonov Опубликовано 21 июня, 2014 Поделиться Опубликовано 21 июня, 2014 Вот такую восьмерочку только что удалил целиком.в самом конце выведения слегка треснула верхушка,но не сломаласьБолел зуб? Ссылка на комментарий
Larnary Опубликовано 21 июня, 2014 Поделиться Опубликовано 21 июня, 2014 нет,зуб не болел.Травмировал сл.об.щеки .зуб был дистопированный в щеку. Ссылка на комментарий
samsonov Опубликовано 22 июня, 2014 Поделиться Опубликовано 22 июня, 2014 Спасибо, понятно, зачтено) Ссылка на комментарий
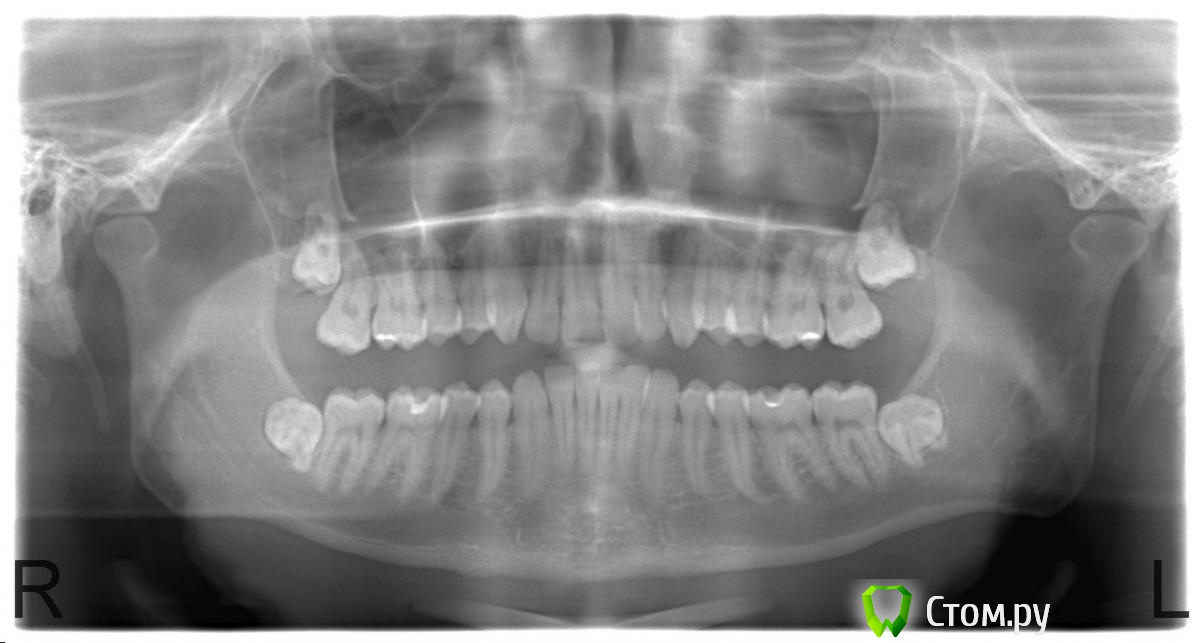
Stom87 Опубликовано 22 июня, 2014 Поделиться Опубликовано 22 июня, 2014 http://s018.radikal.ru/i512/1406/e8/40e9ef9e9575.jpg Ссылка на комментарий
koreandr Опубликовано 22 июня, 2014 Поделиться Опубликовано 22 июня, 2014 Kostoprav я считаю что в основной массе удаление ретинированных зубов - это амбулаторная операция. Исключение составляют больные с неудовлетворительным соматическим статусом ( в этом я с вами полностью согласен )и экстравагантным расположением зубов. Скажите что мешает собрать подробный анамнез и назначить анализы амбулаторно?Я подрабатываю в отделении амбулаторной челюстно-лицевой хирургии - сдача анализов является стандартом перед любой операцией. Только в дополнение к вышеуказанному списку еще сдаются анализы на ВИЧ, гепатиты, rw и коагулограмма.Не знаю как у вас обстоят дела с конечным фондом, но у нас коек для тяжелых больных не хватает то и дело кушетки затаскиваем в палаты или в коридоре кладем. А если отделение ретенцииями заложить? Да и что тогда делать хирургам- стоматологам останется?))А что можно вынести из анализов на вич рв, биохимию, экг и т.д. в амбулатории при удалении зуба под местной анестезией? Ссылка на комментарий
koreandr Опубликовано 22 июня, 2014 Поделиться Опубликовано 22 июня, 2014 Биохимия крови не только выявляет печеночные проблемы, та же глюкоза относится к биохимическому анализу. Вопрос в том какую информацию дадут мне эти анализы без консультации смежного специалиста? В стационаре, под наркоз все ясно а вот в амбулатории? По поводу инфекционных: не представляю себе удаление ретенированных зубов без средств защиты. Ссылка на комментарий
Большой Зеленый Опубликовано 9 июля, 2014 Поделиться Опубликовано 9 июля, 2014 http://s020.radikal.ru/i720/1407/cb/4bd682579600.jpg http://s020.radikal.ru/i709/1407/8d/b7081542d7c7.jpg 4 Ссылка на комментарий
IvanK Опубликовано 9 июля, 2014 Автор Поделиться Опубликовано 9 июля, 2014 Прекрасно!! Ссылка на комментарий
faity Опубликовано 30 июля, 2014 Поделиться Опубликовано 30 июля, 2014 (изменено) смотрим 4.8это после к сожалению в процессе удаления остались только мелкие фрагменты, не хотелось мягкие ткани сильно распахивать дистальный корень 90 градусов, медиальный 130-150 Изменено 30 июля, 2014 пользователем faity 4 Ссылка на комментарий
rivezico Опубликовано 30 июля, 2014 Поделиться Опубликовано 30 июля, 2014 faity, http://media.giphy.com/media/3cB7aOM6347PW/giphy.gif 2 Ссылка на комментарий
red_butler Опубликовано 30 июля, 2014 Поделиться Опубликовано 30 июля, 2014 http://i064.radikal.ru/1407/49/69a5a20a0c2d.jpghttp://s019.radikal.ru/i641/1407/e5/09d39b30889c.jpg 9 Ссылка на комментарий
faity Опубликовано 30 июля, 2014 Поделиться Опубликовано 30 июля, 2014 люблю такие, сегодня вытащил монстра спаенными корнями огибал дистальный корень седьмого)я тоже коронку сразу спиливаю, ты кстати повышающим пилишь? Ссылка на комментарий
red_butler Опубликовано 31 июля, 2014 Поделиться Опубликовано 31 июля, 2014 ты кстати повышающим пилишь? здесь пилил турбиной, кометовским хирургическим бором Ссылка на комментарий
faity Опубликовано 1 августа, 2014 Поделиться Опубликовано 1 августа, 2014 здесь пилил турбиной, кометовским хирургическим бором можно ссылку в личку? не знаком с их продукцией Ссылка на комментарий
red_butler Опубликовано 1 августа, 2014 Поделиться Опубликовано 1 августа, 2014 можно ссылку в личку? не знаком с их продукциейОтправил Ссылка на комментарий
gelo Опубликовано 2 августа, 2014 Поделиться Опубликовано 2 августа, 2014 (изменено) Недавно удалял 8-ку и на снимке обнаружил оригинальную 9-ку.http://s019.radikal.ru/i637/1408/94/83f2d3f1359c.jpgРешил удалить такое сердечко.Вот фото после удаления.http://s018.radikal.ru/i507/1408/72/95c8297e2a21.jpg Изменено 2 августа, 2014 пользователем gelo 4 Ссылка на комментарий
faity Опубликовано 2 августа, 2014 Поделиться Опубликовано 2 августа, 2014 Недавно удалял 8-ку и на снимке обнаружил оригинальную 9-ку.http://s019.radikal.ru/i637/1408/94/83f2d3f1359c.jpgРешил удалить такое сердечко.Вот фото после удаления.http://s018.radikal.ru/i507/1408/72/95c8297e2a21.jpgсоу свит) 1 Ссылка на комментарий
faity Опубликовано 2 августа, 2014 Поделиться Опубликовано 2 августа, 2014 а мне уроды сегодня весь попадаются, то 4 корня под 90 градусов повернуты и сама 8-ка буграми в ретромолярную область смотрит, то корнями за кортикалку в мягкие ткани выходит Ссылка на комментарий
faity Опубликовано 6 августа, 2014 Поделиться Опубликовано 6 августа, 2014 утреннее 4 Ссылка на комментарий
faity Опубликовано 7 августа, 2014 Поделиться Опубликовано 7 августа, 2014 а это вечернее, за качество фото извиняюсь, мертвый был совсемэта штука была анкилозированна и постоянно ломалась. соответсвенно правая верх, левая низ 1 Ссылка на комментарий
red_butler Опубликовано 7 августа, 2014 Поделиться Опубликовано 7 августа, 2014 я фрагменты клипом склеиваю, интереснее выглядит Ссылка на комментарий
IvanK Опубликовано 7 августа, 2014 Автор Поделиться Опубликовано 7 августа, 2014 я фрагменты клипом склеиваю, интереснее выглядит Фанатизм во всем) Ссылка на комментарий
faity Опубликовано 7 августа, 2014 Поделиться Опубликовано 7 августа, 2014 я фрагменты клипом склеиваю, интереснее выглядитя 2 часа ковырял, устал как пес, не подумал даже) Ссылка на комментарий
Рекомендуемые сообщения
Для публикации сообщений создайте учётную запись или авторизуйтесь
Вы должны быть пользователем, чтобы оставить комментарий
Создать аккаунт
Зарегистрируйте новый аккаунт в нашем сообществе. Это очень просто!
Регистрация нового пользователяВойти
Уже есть аккаунт? Войти в систему.
Войти