Doc Опубликовано 23 ноября, 2011 Автор Поделиться Опубликовано 23 ноября, 2011 Вечером из дома выложу как я бы разобрался в данном случае. Просто тут получилось в ИТОГЕ то, что у меня было ДО. Ссылка на комментарий
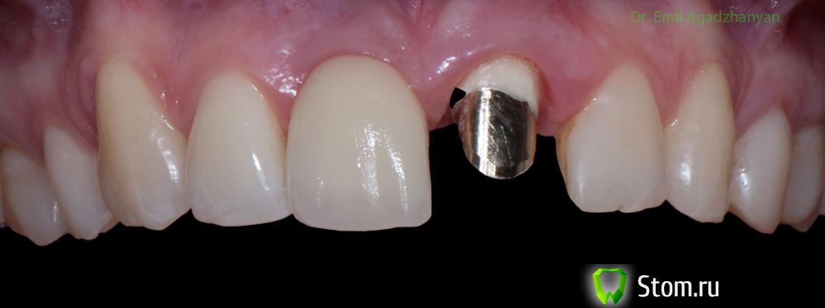
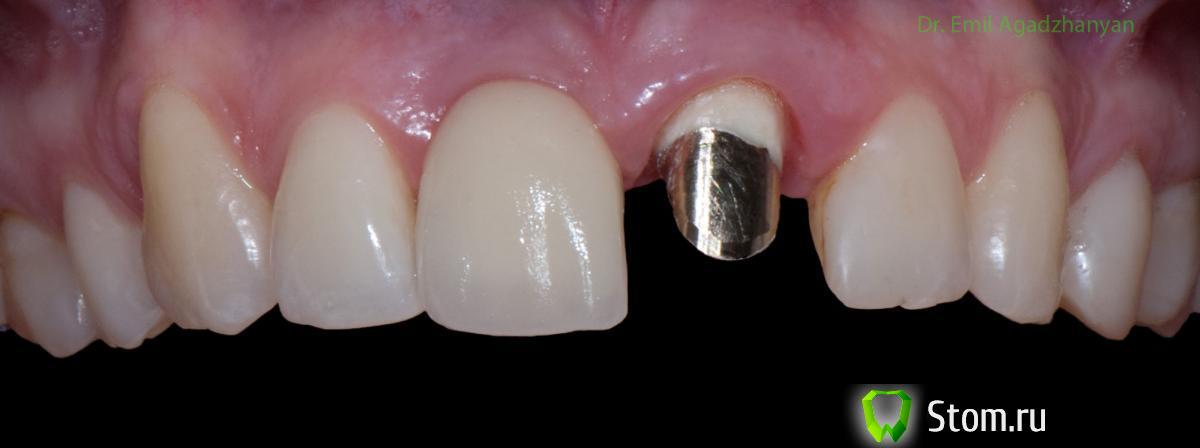
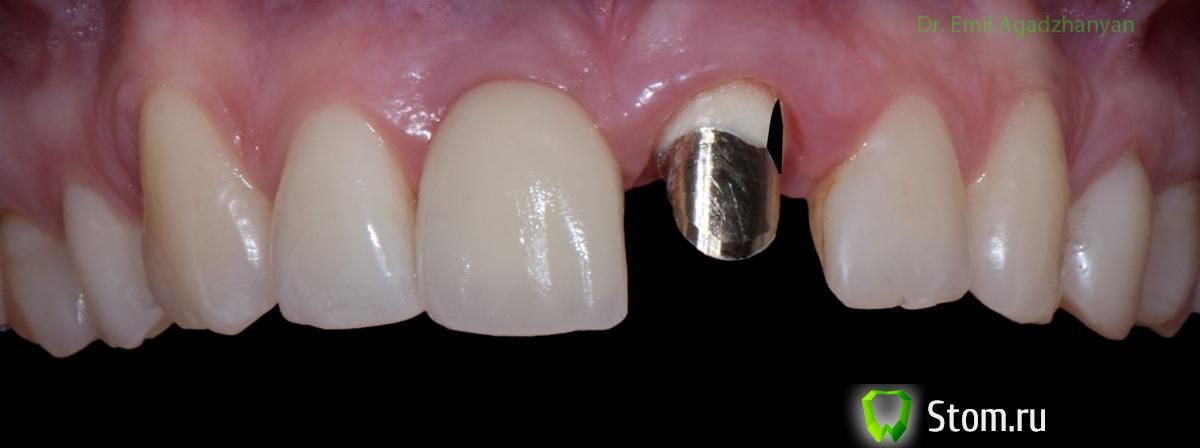
Doc Опубликовано 23 ноября, 2011 Автор Поделиться Опубликовано 23 ноября, 2011 Эстетику отправили в соседний топик.А тут давайте постараемся понять как можно вылезти из ситуации, когда с зенитами все в порядке, а у зуба кариес под десной.Вот обычный, почти банальный случай: Пациентка ко мне пришла уже с обработанным другим доктором зубом, поэтому я тут только поставил вкладку. Уступ вот так глубоко был запилен и установлена временная коронка. Так как с десной никаких проблем не было, плюс по некоторым причинам мне нельзя было лезть тут в хирургию, я решил оставить такой глубокий уступ.Что делать в плане хирургического удлинения, если кариесом затронуты апроксималки? Неважно справа или слева. Причем кариес не под десну, а хотя бы вровень с десной!Вот оба варианта. Кто-нибудь нарисует правильный подход к удлинению, чтобы не повредить десневой контур - зениты и сосочки? Ссылка на комментарий
kriokov Опубликовано 23 ноября, 2011 Поделиться Опубликовано 23 ноября, 2011 Doc, вопросы по кейсу если можно (остальное я думаю не рассматривается-длина корня, прикус, отсутствие подвижности, эндодонтия и т.д в N, раз коронка стояла) 1. рассматривается ли извлечение вкв из 212. на зубе 11 реставрация?3. состояние маргинальной кости в обл 11 и 214. линия улыбки Ссылка на комментарий
Doc Опубликовано 23 ноября, 2011 Автор Поделиться Опубликовано 23 ноября, 2011 1. Извлечение не рассматривается.2. Нет3. Все нормально там с костью. С этой стороны проблем не было.4. Линия улыбки замечательная, шеек не видно. Ссылка на комментарий
Doc Опубликовано 23 ноября, 2011 Автор Поделиться Опубликовано 23 ноября, 2011 По пункту один - если это вопрос про кариес, то давайте предположим, что там и нет вкладки. Просто перелом и под ним старая огромная пломба (впрочем как и было). По пункту четыре - уродская десна с разными зенитами не рассматривается в любом случае при любой линии улыбки. Мы же делаем как для себя и чтобы потом не стыдно было в форуме повесить, а не для того, чтобы выкрутиться из ситуации, а там как получится, так и получится! Ссылка на комментарий
Большой Зеленый Опубликовано 23 ноября, 2011 Поделиться Опубликовано 23 ноября, 2011 (изменено) Ну по фотографиям сложно усмотреть кариес.Вопрос решается просто. ретракция и отжатие десны кофером,препарирование ,восстановление витремером и коронку на место Изменено 23 ноября, 2011 пользователем Большой Зеленый Ссылка на комментарий
Doc Опубликовано 23 ноября, 2011 Автор Поделиться Опубликовано 23 ноября, 2011 Ну по фотографиям сложно усмотреть кариес.Вопрос решается просто. ретракция и отжатие десны кофером,препарирование ,восстановление витремером и коронку на место Так там и нет кариеса. Просто фотография зубов с нормальным зенитом и сосочками. Чисто для примера. Не кажется, что при таком решении переход пломба-зуб и зуб-пломба-коронка будут лежать как раз в зоне уступа и все это благополучно протечет через несколько месяцев? А потом будет "вторичный кариес", а потом будут выпавшие коронки, возможно вместе с вкладками. Ссылка на комментарий
Большой Зеленый Опубликовано 23 ноября, 2011 Поделиться Опубликовано 23 ноября, 2011 Док, не показательный какой то пример вы приводите. Здесь и так все красиво.Никакого удлиннения не нужно.другое дело:http://s006.radikal.ru/i214/1111/f3/ca089e60c2f9t.jpg Ссылка на комментарий
Большой Зеленый Опубликовано 23 ноября, 2011 Поделиться Опубликовано 23 ноября, 2011 Ну какой тут миф? Ссылка на комментарий
Большой Зеленый Опубликовано 23 ноября, 2011 Поделиться Опубликовано 23 ноября, 2011 ? А потом будет "вторичный кариес", а потом будут выпавшие коронки, возможно вместе с вкладками.Ну и какой выход то? Ссылка на комментарий
Doc Опубликовано 23 ноября, 2011 Автор Поделиться Опубликовано 23 ноября, 2011 Ну какой тут миф? Мне кажется, или Вы начали читать с середины? Мы не рассматриваем тут эстетического удлинения!! Потому и красиво, что не нужно ничего удлинять для красоты. Мы имеем кариес и хотим удлинением решить проблему кариеса апроксималок, а никак не создать красоту в переднем отделе. Вопрос - КАК это сделать (и при этом не порушить красоту)?! Ссылка на комментарий
Doc Опубликовано 23 ноября, 2011 Автор Поделиться Опубликовано 23 ноября, 2011 Ну и какой выход то? Это должны мне сказать Вы и те, у кого удлинение поставлено на поток. Мы как раз на эту тему и дискутируем. Ищем варианты. Лично я не знаю как в этой ситуации можно удлинить коронку и не порушить красоту. В этом весь смысл созданной темы. Специально для Вас ВОТ ТУТ создана тема о хирургическом удлинении для эстетических нужд. Ваш случай можно повесить туда. Но я думаю, что все и так знают что делать в Вашем случае. Видимо потому в том топике скучно. Там спорить особо не о чем, там все ясно. В учебниках все написано. Ссылка на комментарий
Doc Опубликовано 23 ноября, 2011 Автор Поделиться Опубликовано 23 ноября, 2011 Отредактировал заголовок специально для того, чтобы мы все время не сбивались на эстетическое удлинение! А то я уже раз пять повторил, Бобби добавил пару раз, из которых один раз выделенным жирным текстом, а мы все еще спорим о совершенно разных вещах. Ссылка на комментарий
Большой Зеленый Опубликовано 23 ноября, 2011 Поделиться Опубликовано 23 ноября, 2011 Ну тогда конечно главный вопрос Нужно делать? или не нужно ? Для каждого конкретного случая. Если заведомо дело провальное то конечно удаление ,имплант,добавление прикрепленной десны,формирование овоида и пр.танцы с бубном.Другое дело выбор пациента :потеря зуба с последующими манипуляциями или чуть повыше зенит .И здается мне ,что не многие выбирут удаление.. 1 1 Ссылка на комментарий
Большой Зеленый Опубликовано 23 ноября, 2011 Поделиться Опубликовано 23 ноября, 2011 Дело то еще в том ,что хирургическое удлиннение как раз чаще всего и бывает по причинам эстетическим. Ссылка на комментарий
Doc Опубликовано 23 ноября, 2011 Автор Поделиться Опубликовано 23 ноября, 2011 Ну тогда конечно главный вопрос Нужно делать? или не нужно ? Для каждого конкретного случая. Если заведомо дело провальное то конечно удаление ,имплант,добавление прикрепленной десны,формирование овоида и пр.танцы с бубном.Другое дело выбор пациента :потеря зуба с последующими манипуляциями или чуть повыше зенит .И здается мне ,что не многие выбирут удаление.. Так собственно для того тема и была открыта. Многие утверждают, что проблема легко разрешима при помощи хирургического удлинения. Я засомневался и сказал, что это решаемо, но не в "подавляющем большинстве случаев", а как раз наоборот, далеко не во всех случаях.Начали мы обсуждать эту тему с Бобби. Есть у меня дикие сомнения, что его пациенты (да и он сам) выберут "чуть повыше зенит". Не тот он человек. Ему нужны фотки для лекций. Сможет он такие зубы показывать, если у него будет "подавляющее большинство" удлинений с зенитом "чуть повыше"? Не сможет. Да и просто не захочет так делать, ему противно будет смотреть на свою работу. Я знаю. Мне самому часто бывает противно, особенно если я иду на поводу у пациентов. Потому я все чаще отдаю пациентов другим врачам, чтобы не идти на компромисс с совестью. Ссылка на комментарий
Doc Опубликовано 23 ноября, 2011 Автор Поделиться Опубликовано 23 ноября, 2011 Дело то еще в том ,что хирургическое удлиннение как раз чаще всего и бывает по причинам эстетическим. Ну, тогда это еще один гвоздь в гроб того самого мифа. Эдак мы скоро с резцами разберемся и перейдем к молярам. Ссылка на комментарий
Большой Зеленый Опубликовано 23 ноября, 2011 Поделиться Опубликовано 23 ноября, 2011 Док,уровень притязаний у всех разный . Одно дело фотки для лекций .Другое поседневная работа от которой никуда не уйти.Может у Вас все так хорошо ,что пациентов можно просто отдавать коллегам.У нас все прозаичнее и приземленнее.Мы же не выкладываем фотки периоститов хотя они идут каждый день.И тоже смотреть на них противно.так что вопрос это достаточно риторический... 2 Ссылка на комментарий
kriokov Опубликовано 23 ноября, 2011 Поделиться Опубликовано 23 ноября, 2011 (изменено) Ну тогда конечно главный вопрос Нужно делать? или не нужно ? Для каждого конкретного случая. Если заведомо дело провальное то конечно удаление ,имплант,добавление прикрепленной десны,формирование овоида и пр.танцы с бубном. Другое дело выбор пациента :потеря зуба с последующими манипуляциями или чуть повыше зенит . И здается мне ,что не многие выбирут удаление..+1, и не только с точки зрения финансов. Еще касательно темы, извините что длинноватоВыборочно из периодонтальной хирургии SatoЦели и методы удлинении клинической коронки(один из многих)1 Удаление поддесневого кариесаПри процедуре удлинения клин коронки пародонтальные ткани подвергаются резекции, которая предполагает преднамеренную потерю прикрепления. (Видимо точнее создается новое прикрепление апекально*)Поэтому возможные риски и результаты должны быть тщательно продуманыДиагностические соображения включают в себя:1. Важность зуба в зубной дуге2. Поддесневой кариес и степень его распространения с разрушением клинической коронки3. коронка / корнь соотношение после восстановительного лечения может быть неблагоприятным4. Оценка длины корней и корневой морфологии5. Остаточные количества опорной кости после удлинения коронки (особеннопосле костной резекции)6.Степень потери периодонтальной (периодонтальной- наверное надо понимать, как весь комплекс тканей удерживающих зуб*) поддержки соседнего зуба7.Возможность воздействия на фуркацию8. Увеличение подвижности зубов и влияние ее на окклюзию из-за уменьшения количества поддерживающих тканей9. Возможные эстетические дефекты и дефекты речиДалее цитирую источник и собственный перевод, кто ингл хорошо владеет поправьте,(* мои примечания)The crown lengthening procedure depends mainly on the band of attached gingivaand the thickness of the marginal alveolar bone. Other reasons for lengthening include subgingival caries and fractures beyondthe gingival margin. However, if there is not more than 3 mm of soundtooth structure coronally from the alveolar crest, resection of the marginal boneis required to preserve sufficient sound tooth structureПроцедура удлинения коронки зависит в основном от зоны(ширины зоны?)прикрепленной десны и толщины краевой альвеолярной кости.Другие причины удлинения включают поддесневой кариес и перелом поддесневой край. Однако, если присутствует не более чем 3 мм твердой(здоровой)структуры коронки зуба от альвеолярного гребня, резекция краевой коститребуется, чтобы сохранить достаточную твердую структуру зуба.l. If the margin of the restoration is placed within the gingival sulcus, atleast 3 mm of the sound tooth structure coronal from the alveolar crestalong the tooth circumference (1-2-mm sound tooth- structure for biologicwidth plus restorative treatment) should be preserved.Если край реставрации находится в пределах десневой бороздки, то по крайней мерене менее 3 мм твердой структуры зуба корональнее от альвелярного гребняпо всей окружности зуба должны быть сохранены (1-2-мм здоровой зубной структуры для биологической ширины плюс для реставрации)2. If the margin of the restoration is at the gingival margin, it is importantto preserve 4 mm of sound tooth structure on the alveolar crest along thetooth circumference. The alveolar bone may be removed if necessary becauseit is important to maintain the relation with the alveolar crest.2. Если край реставрации у десневого края, важно,сохранить 4 мм твердой (здоровой) структуры зуба от альвеолярного гребняпо окружности зуба. Альвеолярная кость может быть удалена, если необходимо, потому что это важно для поддержания соотношения с альвеолярного гребнем.Вывод – при отломе коронки под десну, или поддесневом кариесе резективная хирургия показана, но у метода есть и плюсы и минусы, это один из методов сохранения зуба,если пациент готов его принять. Я думаю именно это нам и показали кейсы Стаси Изменено 23 ноября, 2011 пользователем kriokov 1 1 Ссылка на комментарий
Doc Опубликовано 23 ноября, 2011 Автор Поделиться Опубликовано 23 ноября, 2011 Док,уровень притязаний у всех разный . Одно дело фотки для лекций .Другое поседневная работа от которой никуда не уйти.Может у Вас все так хорошо ,что пациентов можно просто отдавать коллегам.У нас все прозаичнее и приземленнее.Мы же не выкладываем фотки периоститов хотя они идут каждый день.И тоже смотреть на них противно.так что вопрос это достаточно риторический... Ок! То-есть, Вы не смогли найти варианта для данного случая и вопрос перешел в плоскость компромиссов. Ждем Бобби. Если он согласится с Вами, то можно будет перейти к молярам. Ссылка на комментарий
Большой Зеленый Опубликовано 23 ноября, 2011 Поделиться Опубликовано 23 ноября, 2011 (изменено) Ну не повернется у меня язык предложить пациентке поднять зениты на соседних зубах чтобы победить кариес на одном.(да еще и не факт что красивее будет) Ждем.. Изменено 23 ноября, 2011 пользователем Большой Зеленый Ссылка на комментарий
kriokov Опубликовано 23 ноября, 2011 Поделиться Опубликовано 23 ноября, 2011 Ок! То-есть, Вы не смогли найти варианта для данного случая и вопрос перешел в плоскость компромиссов. Ждем Бобби. Если он согласится с Вами, то можно будет перейти к молярам.Выраженная фестончатость, тонкие и длинные сосочки, интактный 11, - можно подумать об ортодонтической экструзии Ссылка на комментарий
Doc Опубликовано 23 ноября, 2011 Автор Поделиться Опубликовано 23 ноября, 2011 Вывод – при отломе коронки под десну, или поддесневом кариесе резективная хирургия показана, но у метода есть и плюсы и минусы, это один из методов сохранения зуба,если пациент готов его принять. Я думаю именно это нам и показали кейсы Стаси Очень полезная выдержка для данной темы. В принципе, тут даже спорить не с чем, это классика. Ну а про "если пациент готов его принять" мы как раз и говорили постом выше. Итог именно такой: Метод можно использовать далеко не всегда и если пациент готов его принять. Все равно подождем Бобби. Вдруг у него есть какой-нибудь современный способ решения этой проблемы без компромиссов с эстетикой и пациентами. Ссылка на комментарий
Doc Опубликовано 23 ноября, 2011 Автор Поделиться Опубликовано 23 ноября, 2011 Ну не повернется у меня язык предложить пациентке поднять зениты на соседних зубах чтобы победить кариес на одном.(да еще и не факт что красивее будет)Ждем.. Бобби поднимает зениты своей любимой жене вообще безо всякого кариеса, по эстетическим показаниям. Я бы, наверное, тоже не решился. Мы тут пытаемся рассмотреть не какой-то конкретный случай у конкретного доктора, а методику в целом. Хотим сделать некий ликбез по конкретной проблеме. Поэтому будем учитывать все возможные варианты. Ссылка на комментарий
Bobby Опубликовано 23 ноября, 2011 Поделиться Опубликовано 23 ноября, 2011 (изменено) Я обязательно вернусь к дискуссии в этой теме. Забегая вперёд, открою некий секрет: если предидущий оператор завёл границу препарирования слишком глубоко, нарушив биологическую ширину, то возможно два выхода из ситуации: хирургическое удлиннение или смещение границы препарирования коронально. Вопрос остаётся в том, как сместить эту самую границу?! Как вернуть уступ коронально? Изменено 23 ноября, 2011 пользователем Bobby Ссылка на комментарий
Рекомендуемые сообщения
Для публикации сообщений создайте учётную запись или авторизуйтесь
Вы должны быть пользователем, чтобы оставить комментарий
Создать аккаунт
Зарегистрируйте новый аккаунт в нашем сообществе. Это очень просто!
Регистрация нового пользователяВойти
Уже есть аккаунт? Войти в систему.
Войти