Витя Опубликовано 12 ноября, 2011 Поделиться Опубликовано 12 ноября, 2011 http://i209.photobucket.com/albums/bb76/Baburov/Baburov%202/004-12.jpg http://i209.photobucket.com/albums/bb76/Baburov/Baburov%202/002-32.jpg Александр Владимирович, подскажите как делать вот такие фото на черном плане? ( извините за оффтоп ) Ссылка на комментарий
Bobby Опубликовано 12 ноября, 2011 Автор Поделиться Опубликовано 12 ноября, 2011 Александр Владимирович, подскажите как делать вот такие фото на черном плане? ( извините за оффтоп ) Можно просто Александр ) Чёрный фон я создаю двумя путями:1) истинный контрастер (любой чёрный фон)2) виртуальный контрастер (фон создаётся в презентационной программе) Фотошоп не использую. На данных фотографиях истинный чёрный фон был усилен в программе keynote. Ссылка на комментарий
doctore Опубликовано 13 ноября, 2011 Поделиться Опубликовано 13 ноября, 2011 (изменено) Док, а каким образом формировали профиль в данном кейсе?Явно ж не едиными фдм'ами))Фдмы,через 3 месяца временные коронки.-Ошибка.Просмотрел кейс -вспомнил- выложил ниже. 3 года прошло- все не запомнить Изменено 13 ноября, 2011 пользователем doctore Ссылка на комментарий
Bier Опубликовано 13 ноября, 2011 Поделиться Опубликовано 13 ноября, 2011 для временных коронок вы как раздвигаете десну? ФДМ ведь Уже. Ссылка на комментарий
doctore Опубликовано 13 ноября, 2011 Поделиться Опубликовано 13 ноября, 2011 Док, а каким образом формировали профиль в данном кейсе?Явно ж не едиными фдм'ами))Фдмы сразу после имплантации,окончательный профиль -постоянными коронками.На фото сверху-снятые постоянные коронки для коррекции апроксимальных контактов. Ссылка на комментарий
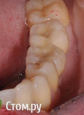
doctore Опубликовано 13 ноября, 2011 Поделиться Опубликовано 13 ноября, 2011 (изменено) для временных коронок вы как раздвигаете десну? ФДМ ведь Уже.В этом случае временных коронок не было.Если они есть-коррекция обьема поддесневого контура для увеличения компрессии в участках,где необходимо моделировать контур арки.Постепенное увеличение компрессии благодаря эластичности мягких тканей даст желаемый результат.Например как здесь спустя 6 месяцев: Изменено 13 ноября, 2011 пользователем doctore Ссылка на комментарий
doctore Опубликовано 13 ноября, 2011 Поделиться Опубликовано 13 ноября, 2011 Очень даже симпатично. Исходные условия тоже хорошие. Десну формировали апикальным смещением и временными коронками?Нагрузили имплантаты одномоментно ли вторым этапом? В свете Ваших приципов идеализации лечения, этот кейс выглядит не завершенным, позвольте пульнуть камушек в Ваш огород ))))))))))))))))))))))) Почему Вы не сделали интрузию 26 зуба и не установили имплант в позицию 27 зуба? ( спрашиваю как ортопед) А вобщем работа понравилась и врачебное, и техническое исполнение Еле на ногах устоял-это ж не камешек,а булыжник Алгоритм выложил выше .Не могу понять принцип распределения фотографий при загрузке- получились вперемешку.По результатам диагностики перед началом лечения было понятно,что выдвижение 26 принципиально ни на что не влияет-ни на функцию,ни на эстетику.27 был удален уже после протезирования.На фото внизу он еще есть.И при желании пациентки продолжить лечение мы будем планировать удаление 38 и имплантацию 27. Ссылка на комментарий
doctore Опубликовано 13 ноября, 2011 Поделиться Опубликовано 13 ноября, 2011 Владислав, подскажите, а зачем соединяли 3.6 и 3.7 ? Курьезный случай -невнимание техника к наряду,а может намеренное желание облегчить себе работу.Не стал заставлять переделывать,хотя изначально планировались раздельные конструкции.Смысла соединять их я тоже не вижу.Оглядываясь назад и учитывая,сколько раз перемоделировалась вестибулярка,апроксимальные контакты и пришеечная область-я даже рад,что они вместе.Головняка при раздельных коронках,учитывая уровень лабы,у меня было бы еще больше Ссылка на комментарий
pit Опубликовано 13 ноября, 2011 Поделиться Опубликовано 13 ноября, 2011 (изменено) Еле на ногах устоял-это ж не камешек,а булыжник Алгоритм выложил выше .Не могу понять принцип распределения фотографий при загрузке- получились вперемешку.По результатам диагностики перед началом лечения было понятно,что выдвижение 26 принципиально ни на что не влияет-ни на функцию,ни на эстетику.27 был удален уже после протезирования.На фото внизу он еще есть.И при желании пациентки продолжить лечение мы будем планировать удаление 38 и имплантацию 27.ОкХод работы посмотрел, исходная ситуация достаточно хорошая. Изменено 13 ноября, 2011 пользователем pit Ссылка на комментарий
Bobby Опубликовано 13 ноября, 2011 Автор Поделиться Опубликовано 13 ноября, 2011 Курьезный случай -невнимание техника к наряду,а может намеренное желание облегчить себе работу.Не стал заставлять переделывать,хотя изначально планировались раздельные конструкции.Смысла соединять их я тоже не вижу.Оглядываясь назад и учитывая,сколько раз перемоделировалась вестибулярка,апроксимальные контакты и пришеечная область-я даже рад,что они вместе.Головняка при раздельных коронках,учитывая уровень лабы,у меня было бы еще больше Спасибо. Мы иногда шинируем, если хирург приказывает, дескать если первичная стабильность хиленькая была, то потом коронки только вместе. Как Вам такой подход? Правильно ли? Ссылка на комментарий
doctore Опубликовано 13 ноября, 2011 Поделиться Опубликовано 13 ноября, 2011 Спасибо. Мы иногда шинируем, если хирург приказывает, дескать если первичная стабильность хиленькая была, то потом коронки только вместе. Как Вам такой подход? Правильно ли?Лично я не вижу в этом смысла.Если имплантат интегрирован-неважно какой была первичная стабилизация.Вы же его проверили перед протезированием?Это скорее ограничения для немедленной нагрузки.Более актуально для меня соотношение диаметра,длины имплантата и степени атрофии,что окажет влияние на размеры ортопедической конструкции,на биомеханику и приведет к необходимости обьединения имплантатов. Ссылка на комментарий
pit Опубликовано 13 ноября, 2011 Поделиться Опубликовано 13 ноября, 2011 Лично я не вижу в этом смысла.Если имплантат интегрирован-неважно какой была первичная стабилизация.Вы же его проверили перед протезированием?Это скорее ограничения для немедленной нагрузки.Более актуально для меня соотношение диаметра,длины имплантата и степени атрофии,что окажет влияние на размеры ортопедической конструкции,на биомеханику и приведет к необходимости обьединения имплантатов.А я наоборот стал соединять 6 имплантаты и 7 при отсутствии 8-х зубов, з исключением 4,3-5 х 13 и более Ссылка на комментарий
doctore Опубликовано 13 ноября, 2011 Поделиться Опубликовано 13 ноября, 2011 А я наоборот стал соединять 6 имплантаты и 7 при отсутствии 8-х зубов, з исключением 4,3-5 х 13 и болееДлина имеет гораздо более важное значение нежели диаметр для стабильности и долгосрочного прогноза имплантата.Совокупность факторов. Ссылка на комментарий
Bobby Опубликовано 13 ноября, 2011 Автор Поделиться Опубликовано 13 ноября, 2011 Лично я не вижу в этом смысла.Если имплантат интегрирован-неважно какой была первичная стабилизация.Вы же его проверили перед протезированием?Это скорее ограничения для немедленной нагрузки.Более актуально для меня соотношение диаметра,длины имплантата и степени атрофии,что окажет влияние на размеры ортопедической конструкции,на биомеханику и приведет к необходимости обьединения имплантатов. Спасибо. Логично всё. Ссылка на комментарий
Bier Опубликовано 14 ноября, 2011 Поделиться Опубликовано 14 ноября, 2011 есть мнение (при том довольно старое) что длина интегрированного имплантата не имеет значения и при увеличении вертикальной консоли, надо лишь увеличивать количество опор, а не их длину. Ссылка на комментарий
doctore Опубликовано 14 ноября, 2011 Поделиться Опубликовано 14 ноября, 2011 есть мнение (при том довольно старое) что длина интегрированного имплантата не имеет значения и при увеличении вертикальной консоли, надо лишь увеличивать количество опор, а не их длину.А что имеется в виду под вертикальной консолью?? Ссылка на комментарий
pit Опубликовано 14 ноября, 2011 Поделиться Опубликовано 14 ноября, 2011 Длина имеет гораздо более важное значение нежели диаметр для стабильности и долгосрочного прогноза имплантата.Совокупность факторов.для первичной стабильности да, начет долгосрочного прогноза, мне кажется, соотношение длины имплантата и высоты коронки имеет большее значение из механических факторов. Ссылка на комментарий
Bier Опубликовано 14 ноября, 2011 Поделиться Опубликовано 14 ноября, 2011 А что имеется в виду под вертикальной консолью?? высота супраструктуры. Ссылка на комментарий
Bier Опубликовано 14 ноября, 2011 Поделиться Опубликовано 14 ноября, 2011 для первичной стабильности да, начет долгосрочного прогноза, мне кажется, соотношение длины имплантата и высоты коронки имеет большее значение из механических факторов.имплантат же у вас интегрированный (подвижность = 0), нагрузка на апикальную его часть не передается вообще. Ссылка на комментарий
pit Опубликовано 14 ноября, 2011 Поделиться Опубликовано 14 ноября, 2011 (изменено) имплантат же у вас интегрированный (подвижность = 0), нагрузка на апикальную его часть не передается вообще.Вопрос про 3мм шеечной части импланта, на которую приходится вся нагрузка такой же риторический. Почему-то все имплантологи в дистальный отдел пытаются поставить импланы подлиннее и боятся в 7-ки крутить 6 и 8мм Изменено 14 ноября, 2011 пользователем pit Ссылка на комментарий
Ст@ся Опубликовано 14 ноября, 2011 Поделиться Опубликовано 14 ноября, 2011 Вопрос про 3мм шеечной части импланта, на которую приходится вся нагрузка такой же риторический. Почему-то все имплантологи в дистальный отдел пытаются поставить импланы подлиннее и боятся в 7-ки крутить 6 и 8мм а корейцы пупсиков не боятся.. Ссылка на комментарий
Bier Опубликовано 14 ноября, 2011 Поделиться Опубликовано 14 ноября, 2011 ну а реально какой длины имплантаты ставятся в дистальные отделы? 10мм как правило, если места нет - я и 8мм поставлю. меньше не ставлю. Ссылка на комментарий
doctore Опубликовано 14 ноября, 2011 Поделиться Опубликовано 14 ноября, 2011 ну а реально какой длины имплантаты ставятся в дистальные отделы? 10мм как правило, если места нет - я и 8мм поставлю. меньше не ставлю.Согласен,максимум 11,5мм. На мой взгляд и 8 и 6 имеют право на жизнь.Ни одного 6мм имплантата поставлено в клинике до сих пор не было,но при подходящем клиническом случае и отсутствии вариантов Shorty будет использован.Как ортопед предпочту увеличить количество имплантатов и связать конструкцию.Есть интересная схема распределения нагрузки по всей длине имплантата-найду в материалах-выложу.Суть в распределении по всей длине до апикальной части.Конечно можно поговорить и о беконе,но это ведь не предмет для обсуждения интеллигентными людьми ? Ссылка на комментарий
RuStom Опубликовано 15 ноября, 2011 Поделиться Опубликовано 15 ноября, 2011 Не в тему, конечно, но:получил на днях бесплатную книгу Шиллинбурга "Основы несъемного протезирования". Там в списке организаторов этого подарка перечислен и автор топика Bobby.Хочу сказать ему спасибо! Ссылка на комментарий
r3yand Опубликовано 15 ноября, 2011 Поделиться Опубликовано 15 ноября, 2011 (изменено) Это где такие подарки дают) я тоже хочу)) Изменено 15 ноября, 2011 пользователем r3yand Ссылка на комментарий
Рекомендуемые сообщения
Для публикации сообщений создайте учётную запись или авторизуйтесь
Вы должны быть пользователем, чтобы оставить комментарий
Создать аккаунт
Зарегистрируйте новый аккаунт в нашем сообществе. Это очень просто!
Регистрация нового пользователяВойти
Уже есть аккаунт? Войти в систему.
Войти