Bier Опубликовано 9 ноября, 2011 Поделиться Опубликовано 9 ноября, 2011 давайте отойдем от финансового вопроса вообще. Не знаю зачем его сюда припрели. Я не продажник, а врач. И лекций по продажам не посещаю. На пациенто-поток не жалуюсь. Я не делаю всем подряд костную пластику не потому, что у кого-то нет денег. А потому, что надо ко всему подходить целесообразно. 1. Костная пластика - гораздо менее прогнозируемый вид лечения, чем имплантация.2. Установка широкого имплантата либо не нужна (т.к. есть инд. абатмент) либо затруднит имплантацию в дальнейшем, если пациент потеряет соседние зубы. Мне ничего не стоит закрутить в лунку удаленного центрального резца имплантат диаметром 5,0, но что обо мне подумаете вы, когда через 10 лет пациент попадет к вам с желанием восстановить имплантатом боковой резец, а для имплантата там нет места.??? По этому для центрального резца - имплантат 4,3, а иногда и 3,5 (если для 4,3 потребуется пластика). Лучше вокруг 3,5 будет по 2мм кости, чем вокруг 4,3 - 1мм.3. Тонкие имплантаты прекрасно выполняют свою функцию и эстетику. 4 Ссылка на комментарий
Bier Опубликовано 9 ноября, 2011 Поделиться Опубликовано 9 ноября, 2011 Но мы же не говорим о ЧАСТОТЕ установки имплантатов.И никто из нас не будет устанавливать по 40 винтов в один рот,как в случае представленном на ЕАО.А соблюдая принципы расстояний между имплантатами и отталкиваясь от целесообразности выбора количества имплантатов под конкретную конструкцию кровоснабжение межпроксимальной кости страдать не будет . а если мы ставим имплантат между двух зубов? Например нет 14зуба - очень частая ситуация. По вашей табличке - туда надо впихнуть 4,3.Но он туда не лезет. Там между зубов 6,5-7мм. Я один раз впихнул, по молодости и неопытности, посмотрев, кстати именно на эту табличку. Благополучно кость ушла до того места, где между зубом и имплантатом есть положенные 1,5мм. Ссылка на комментарий
Большой Зеленый Опубликовано 9 ноября, 2011 Поделиться Опубликовано 9 ноября, 2011 (изменено) Так вот и я намекаю на то что это выглядит как развод на деньги .При возможности сделать все меньшим диаметром с инд.абатментом Изменено 9 ноября, 2011 пользователем Большой Зеленый Ссылка на комментарий
pit Опубликовано 9 ноября, 2011 Поделиться Опубликовано 9 ноября, 2011 Помимо упоминания об этом в рамках доклада, я уточнил этот момент и во время личного общения.По словам Иньяки он не может получить трансплантат с неба достаточного обьема и толщины у соотечественников.Разумно делая вывод о национальных особенностях Как у Вас с языком? Я буду переписываться с ним о возможности встречи у него на несколько дней весной.Если наши интересы совпадут -могу Вас записать С языком хреново - преинтермедиэйтНо если конкретные даты будут известны до весны подтянусь Ссылка на комментарий
Bobby Опубликовано 9 ноября, 2011 Автор Поделиться Опубликовано 9 ноября, 2011 (изменено) Вы же не будете списывать со счетов Кюри так же,как молодые доктора выше отправили в прошлое Нитцана с Мауро -до сих пор икается ,наверное Владислав, с Вашего позволения, я позволю себе немного поправить Вас, чтобы дальше выдёргивание из моих постов не верных посылов не вошло в привычку.Итак, процитирую самого себя:Что касается Бичачо и Фрадеани, то это очень успешные доктора своего времени. Технологии эволюционируют и каждый вибирает свой путь, либо жить прошлым, либо заглянуть в будущее. Вас, Владислав и Эмиля, немного покоробила именно эта фраза! Верно? Либо не покоробила, а повеселила, не важно.Возможно, вам показалось, что я списал со счетов великих мэтров стоматологии.Но всё обстоит совсем не так ! Прочтите фразу ещё раз и станет очевидным, что моё обращение было не конкретно про Фрадеани и Бичачо, а адресовано тем, кто живёт прошлым. Мне кажется адгезивная фиксация очень изменила многие подходы, а ведь классификация по Блэку и препарирование по Шилинбургу не учитывали этот нюанс. Вы же не молодые доктора, а значит умеете читать между строк. Изменено 9 ноября, 2011 пользователем Bobby Ссылка на комментарий
doctore Опубликовано 9 ноября, 2011 Поделиться Опубликовано 9 ноября, 2011 Если у Вас все отлично и пациенты на аугментацию просто валяться как "снег на голову" то Дай то бог! Остается только по доброму позавидовать.Можно смело отказывать сомневающимся . У нас же (говорю исключительно про себя) все сложнее .Я лучше поставлю меньшего диаметра имплант ( если конечно условия позволяют) чем перекрою ему небо и подбородок...ЗЫ: А картинка полезная.. Если поможет -скину всю презенташку в личку Ссылка на комментарий
Bobby Опубликовано 9 ноября, 2011 Автор Поделиться Опубликовано 9 ноября, 2011 давайте отойдем от финансового вопроса вообще. Не знаю зачем его сюда припрели. Я не продажник, а врач. И лекций по продажам не посещаю. На пациенто-поток не жалуюсь. Олег, при всём уважении, но мне кажется Вы немного лукавите. Модерировать форум, находясь очень много времени в онлайне и иметь плотную загрузку пациентами - это вещи не сопоставимые, имхо. Либо у нас с Вами совершенно разные понятия пациенто-потока. Сорри, что не по теме. Ссылка на комментарий
Bier Опубликовано 9 ноября, 2011 Поделиться Опубликовано 9 ноября, 2011 хех, просто я не ортопед и удаляя зуб за 7 минут, могу еще 23 провести он-лайн до след пациента ) Ссылка на комментарий
doctore Опубликовано 9 ноября, 2011 Поделиться Опубликовано 9 ноября, 2011 Александр,не кипятитесь . Чего не бывает в шутейном разговоре .Упоминание о Нитцане и Мауро,сделанное Вами,и дальнейшая интерпретация этого упоминания очень хорошо укладываются в идею об использования языка как о "речевых актах",которую выдвинул John Austin в 1962.В нем различают локуцию,иллокуцию и перлокуцию.И все это есть выше.Проще говоря,есть то,что передают слова,то,что Вы в них вложили(подтекст) и то,что восприняли читатели различается и позволяет делать разные выводы.Что приводит к непониманию или к перепалке. Мы же обратим это в шутку,а мэтры пусть икают Ссылка на комментарий
Bobby Опубликовано 9 ноября, 2011 Автор Поделиться Опубликовано 9 ноября, 2011 (изменено) Александр,не кипятитесь . Чего не бывает в шутейном разговоре .Упоминание о Нитцане и Мауро,сделанное Вами,и дальнейшая интерпретация этого упоминания очень хорошо укладываются в идею об использования языка как о "речевых актах",которую выдвинул John Austin в 1962.В нем различают локуцию,иллокуцию и перлокуцию.И все это есть выше.Проще говоря,есть то,что передают слова,то,что Вы в них вложили(подтекст) и то,что восприняли читатели различается и позволяет делать разные выводы.Что приводит к непониманию или к перепалке. Мы же обратим это в шутку,а мэтры пусть икают Да, мне сложно Вам что-то противопоставить ))) Красиво написали. Я действительно уважаю старших. Я так воспитан. В предидущем сообщении, которое адресовал Вам, я забыл смайлики поставить, писал на позитиве. Изменено 9 ноября, 2011 пользователем Bobby Ссылка на комментарий
Bobby Опубликовано 9 ноября, 2011 Автор Поделиться Опубликовано 9 ноября, 2011 (изменено) хех, просто я не ортопед и удаляя зуб за 7 минут, могу еще 23 провести он-лайн до след пациента ) Согласен. Просто я иногда месяцами не могу зайти на форум, просто почитать, работаю. Но бывают и спады, которые позволяют провести время с семьёй и в интернете ))) Изменено 9 ноября, 2011 пользователем Bobby Ссылка на комментарий
doctore Опубликовано 9 ноября, 2011 Поделиться Опубликовано 9 ноября, 2011 а если мы ставим имплантат между двух зубов? Например нет 14зуба - очень частая ситуация. По вашей табличке - туда надо впихнуть 4,3.Но он туда не лезет. Там между зубов 6,5-7мм. Я один раз впихнул, по молодости и неопытности, посмотрев, кстати именно на эту табличку. Благополучно кость ушла до того места, где между зубом и имплантатом есть положенные 1,5мм.Не спорю,что есть случаи,в которых действительно,выбор за узкой платформой.И он оправдан.Но положенных мм между имплантатом и зубом никто не отменял.И,согласитесь,что иногда ,несмотря возможность постановки узкой платформы,в такой ситуации мы позовем ортодонта.У меня тоже есть примеры 3,5 на премоляры.А на молярах их нет.Давайте нарисуем геометрию абатмента /коронки в сагитальном срезе и сравним 2 варианта с широкой и узкой платформой?Учитывая значительную степень атрофии и недостаток мягких тканей.У нас это должно получиться лучше ,чем у Остапа на пароходе А вот к разговору о количестве имплантатов Ссылка на комментарий
pit Опубликовано 9 ноября, 2011 Поделиться Опубликовано 9 ноября, 2011 Не спорю,что есть случаи,в которых действительно,выбор за узкой платформой.И он оправдан.Но положенных мм между имплантатом и зубом никто не отменял.И,согласитесь,что иногда ,несмотря возможность постановки узкой платформы,в такой ситуации мы позовем ортодонта.У меня тоже есть примеры 3,5 на премоляры.А на молярах их нет.Давайте нарисуем геометрию абатмента /коронки в сагитальном срезе и сравним 2 варианта с широкой и узкой платформой?Учитывая значительную степень атрофии и недостаток мягких тканей.У нас это должно получиться лучше ,чем у Остапа на пароходе А вот к разговору о количестве имплантатов Если к Вам придет такой пациент и Вы по той или иной причине откажете ему, незамедлительным образом отправляйте ко мне)))))))))))))))) Ссылка на комментарий
doctore Опубликовано 9 ноября, 2011 Поделиться Опубликовано 9 ноября, 2011 Если к Вам придет такой пациент и Вы по той или иной причине откажете ему, незамедлительным образом отправляйте ко мне ))))))))))))))))пишите адрес. Только заметьте,не я это предложил! Ссылка на комментарий
Bier Опубликовано 10 ноября, 2011 Поделиться Опубликовано 10 ноября, 2011 Не спорю,что есть случаи,в которых действительно,выбор за узкой платформой.И он оправдан.Но положенных мм между имплантатом и зубом никто не отменял.И,согласитесь,что иногда ,несмотря возможность постановки узкой платформы,в такой ситуации мы позовем ортодонта.У меня тоже есть примеры 3,5 на премоляры.А на молярах их нет.Давайте нарисуем геометрию абатмента /коронки в сагитальном срезе и сравним 2 варианта с широкой и узкой платформой?Учитывая значительную степень атрофии и недостаток мягких тканей.У нас это должно получиться лучше ,чем у Остапа на пароходе А вот к разговору о количестве имплантатов ну эту картинку мы все видели ) хороший пример грамотных продаж ) Владислав, вы, как ментор Нобеля, наверняка сейчас активно начнете использовать новые имплантаты.Так вот, какая у вас будет форма абатмента на "нобель платформшифт" и "нобель ЦЦ" при установке Rp имплантата в дистальном отделе? Объем мягких тканей как раз таки легко создается десневой пластикой. Ссылка на комментарий
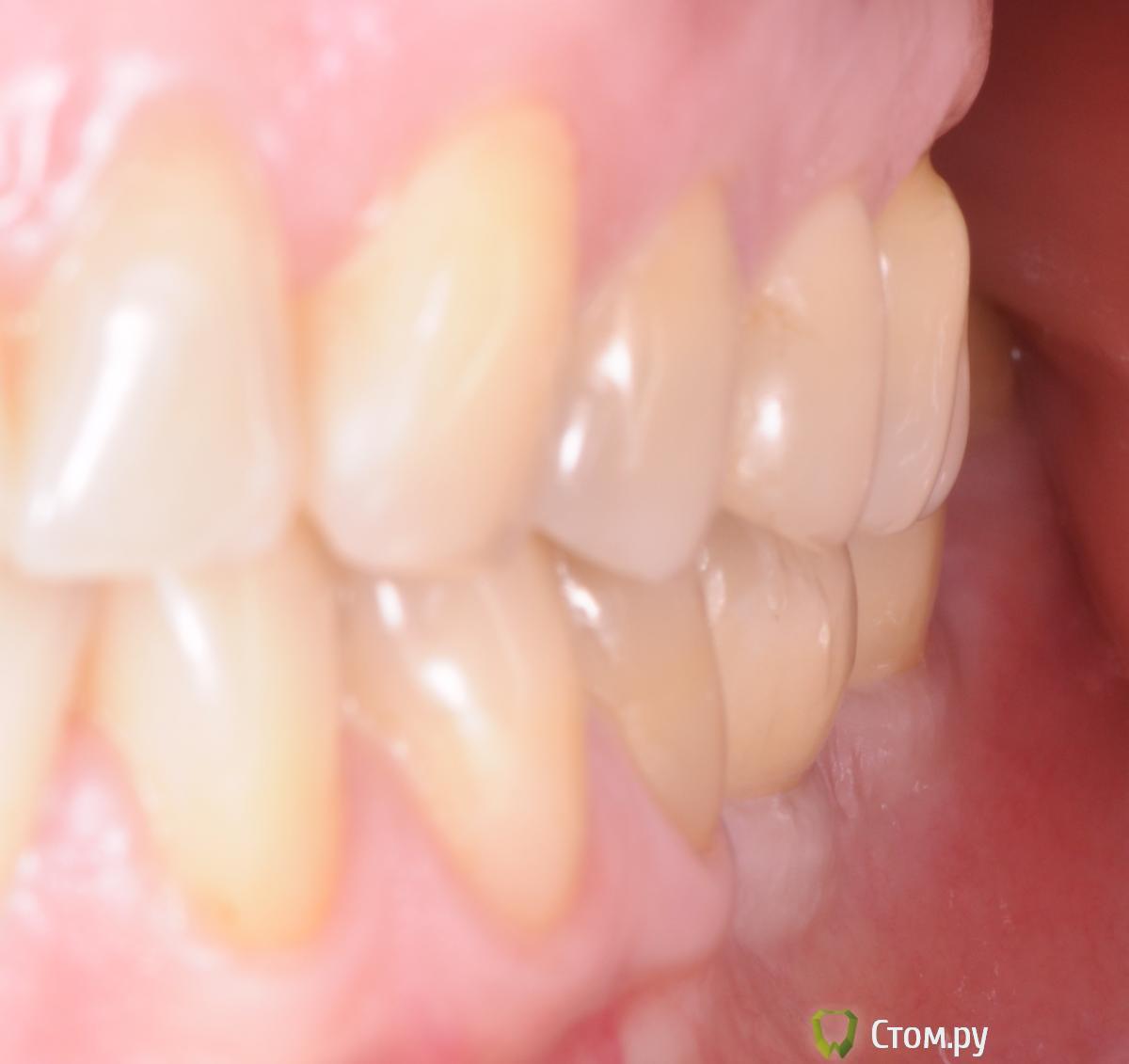
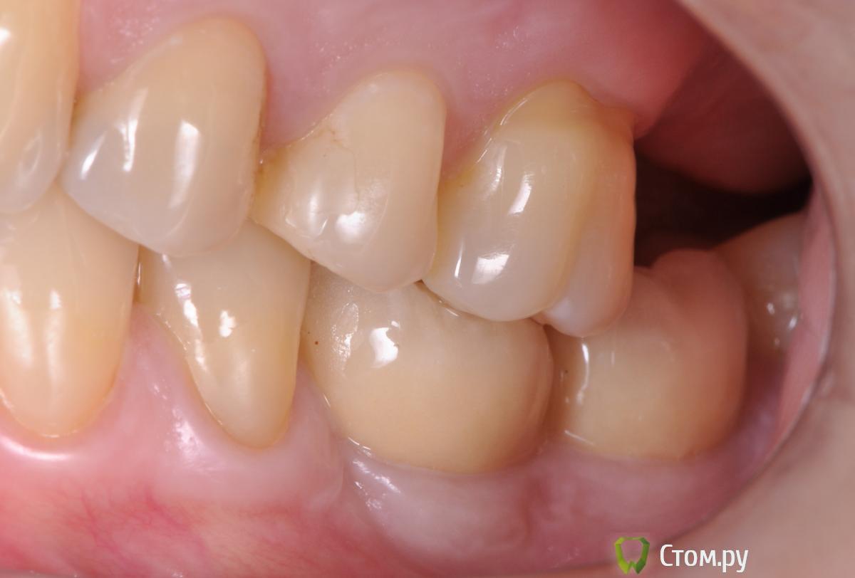
doctore Опубликовано 10 ноября, 2011 Поделиться Опубликовано 10 ноября, 2011 (изменено) ну эту картинку мы все видели ) хороший пример грамотных продаж ) Владислав, вы, как ментор Нобеля, наверняка сейчас активно начнете использовать новые имплантаты. Так вот, какая у вас будет форма абатмента на "нобель платформшифт" и "нобель ЦЦ" при установке Rp имплантата в дистальном отделе? Объем мягких тканей как раз таки легко создается десневой пластикой. Имплантолог,вероятно,крупно проигрался и задолжал.А тут две полные адентии откуда ни возьмись Согласен по поводу обьема и десневой пластики на 100%,но ведь в разумных пределах и при достаточной поддержке костной ткани(если она есть...Форма абатментов и результат,который я хочу видеть(это на Груви 4.3 и 5.0): Изменено 10 ноября, 2011 пользователем doctore Ссылка на комментарий
pit Опубликовано 11 ноября, 2011 Поделиться Опубликовано 11 ноября, 2011 (изменено) Имплантолог,вероятно,крупно проигрался и задолжал.А тут две полные адентии откуда ни возьмись Согласен по поводу обьема и десневой пластики на 100%,но ведь в разумных пределах и при достаточной поддержке костной ткани(если она есть...Форма абатментов и результат,который я хочу видеть(это на Груви 4.3 и 5.0): А Вы автор? И...... http://s42.radikal.ru/i096/1111/07/d9ba12a2a573.jpg Изменено 11 ноября, 2011 пользователем pit Ссылка на комментарий
doctore Опубликовано 11 ноября, 2011 Поделиться Опубликовано 11 ноября, 2011 (изменено) А Вы автор? И...... Пациентка одна-стороны разные.И хирургия и ортопедия мои. Изменено 11 ноября, 2011 пользователем doctore Ссылка на комментарий
r3yand Опубликовано 11 ноября, 2011 Поделиться Опубликовано 11 ноября, 2011 Док, а каким образом формировали профиль в данном кейсе?Явно ж не едиными фдм'ами)) Ссылка на комментарий
pit Опубликовано 11 ноября, 2011 Поделиться Опубликовано 11 ноября, 2011 Пациентка одна-стороны разные.И хирургия и ортопедия мои.Очень даже симпатично. Исходные условия тоже хорошие. Десну формировали апикальным смещением и временными коронками?Нагрузили имплантаты одномоментно ли вторым этапом? В свете Ваших приципов идеализации лечения, этот кейс выглядит не завершенным, позвольте пульнуть камушек в Ваш огород))))))))))))))))))))))) Почему Вы не сделали интрузию 26 зуба и не установили имплант в позицию 27 зуба? ( спрашиваю как ортопед) А вобщем работа понравилась и врачебное, и техническое исполнение Ссылка на комментарий
Большой Зеленый Опубликовано 11 ноября, 2011 Поделиться Опубликовано 11 ноября, 2011 Красиво Ссылка на комментарий
Большой Зеленый Опубликовано 11 ноября, 2011 Поделиться Опубликовано 11 ноября, 2011 Почему Вы не сделали интрузию 26 зуба и не установили имплант в позицию 27 зуба? ( спрашиваю как ортопед) там 38 уже удалять надо на фото видно ,что под 27 места уже не остается давно антагониста нету .. да и гребень там узковат... Ссылка на комментарий
Bobby Опубликовано 11 ноября, 2011 Автор Поделиться Опубликовано 11 ноября, 2011 Пациентка одна-стороны разные.И хирургия и ортопедия мои. Владислав, подскажите, а зачем соединяли 3.6 и 3.7 ? Ссылка на комментарий
pit Опубликовано 11 ноября, 2011 Поделиться Опубликовано 11 ноября, 2011 там 38 уже удалять надо на фото видно ,что под 27 места уже не остается давно антагониста нету .. да и гребень там узковат...Да все понятно.....Вопрос про идеализацию Ссылка на комментарий
pit Опубликовано 11 ноября, 2011 Поделиться Опубликовано 11 ноября, 2011 Владислав, подскажите, а зачем соединяли 3.6 и 3.7 ?+1? Ссылка на комментарий
Рекомендуемые сообщения
Для публикации сообщений создайте учётную запись или авторизуйтесь
Вы должны быть пользователем, чтобы оставить комментарий
Создать аккаунт
Зарегистрируйте новый аккаунт в нашем сообществе. Это очень просто!
Регистрация нового пользователяВойти
Уже есть аккаунт? Войти в систему.
Войти