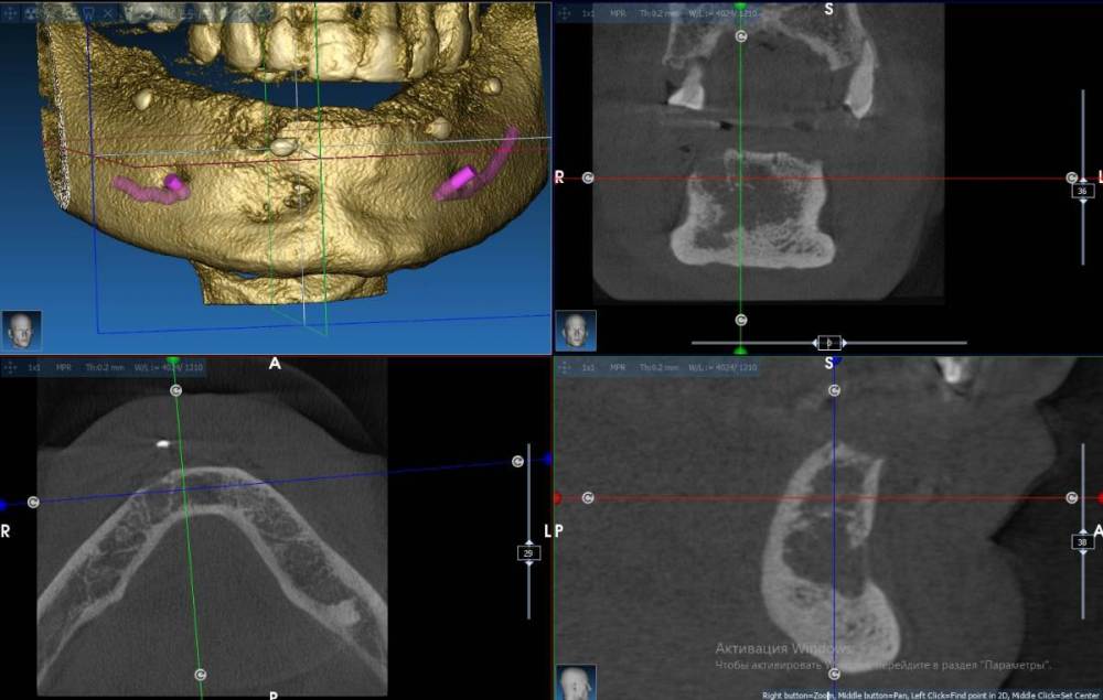
Fin Опубликовано 13 марта, 2022 Поделиться Опубликовано 13 марта, 2022 Здравствуйте коллеги. Появился очень странный вопрос. Год назад у меня был пациент - мужчина 40 лет на консультацию по имплантации все на 6 на НЧ. В процессе осмотра снимка КТ обнаружил в зоне 43 хронический воспалительный процесс. Данный процесс был прокюретажен, пациент отпущен на заживление на пару месяцев. Старый снимок Так получилось что с пациентом мы встретились только сейчас и решили продолжить наше лечение. Далее повторное КТ со скан маркерами на его съемном протезе, сделан слепок протеза- пациент отпущен. В ходе планирования шаблона я обнаружил улучшение со стороны воспалительного процесса но так же обнаружил странное образование рядом не сообщающееся со старым воспалением. Новый снимок Подскажите что это может быть т.к. вижу такое впервые. Сам думаю что скорее всего я преувеличиваю и это из-за того, что снимки сделаны на разных аппаратах, но хотелось бы услашать Ваше мнение. Ссылка на комментарий
Doctor Vlad Опубликовано 13 марта, 2022 Поделиться Опубликовано 13 марта, 2022 30 минут назад, Fin сказал: КТ обнаружил в зоне 43 хронический воспалительный процесс а как этот процесс проявлялся в полости рта? Ссылка на комментарий
Fin Опубликовано 13 марта, 2022 Автор Поделиться Опубликовано 13 марта, 2022 (изменено) 1 час назад, Doctor Vlad сказал: а как этот процесс проявлялся в полости рта? Пациент как таковых жалоб не предъявлял. В ходе осмотра обнаружил сообщение с полостью рта. Изменено 13 марта, 2022 пользователем Fin Ссылка на комментарий
wladdX Опубликовано 13 марта, 2022 Поделиться Опубликовано 13 марта, 2022 А не направить ли пациента к старшим братьям (aka ЧЛХ или онкологам)? Ссылка на комментарий
Fin Опубликовано 13 марта, 2022 Автор Поделиться Опубликовано 13 марта, 2022 1 час назад, wladdX сказал: А не направить ли пациента к старшим братьям (aka ЧЛХ или онкологам)? Вот как раз и думаю стоит ли беспокоиться или лучше перестраховаться и отправить в ЧЛХ для начала. Ссылка на комментарий
Doctor Vlad Опубликовано 14 марта, 2022 Поделиться Опубликовано 14 марта, 2022 кортикалки то не стало в стороне от лунки. может и стоит Ссылка на комментарий
Fin Опубликовано 14 марта, 2022 Автор Поделиться Опубликовано 14 марта, 2022 3 часа назад, Doctor Vlad сказал: кортикалки то не стало в стороне от лунки. может и стоит Меня это и удивило, видимо да, все таки отправлю пациента в ЧЛХ Ссылка на комментарий
Fin Опубликовано 23 марта, 2022 Автор Поделиться Опубликовано 23 марта, 2022 14.03.2022 в 22:26, Fin сказал: Меня это и удивило, видимо да, все таки отправлю пациента в ЧЛХ Коллеги подниму тему. Есть ли у Вас знакомый ЧЛХ хирург в Москве или в Московской области к которому могу направить данного пациента? Пациент ходил на одну консультацию, но доктор мягко говоря не обратил внимания на данную область. Буду благодарен. Ссылка на комментарий
syrovovec Опубликовано 28 марта, 2022 Поделиться Опубликовано 28 марта, 2022 я один вижу только лунки удаленных зубов без патологий? Ссылка на комментарий
Женька Опубликовано 28 марта, 2022 Поделиться Опубликовано 28 марта, 2022 @syrovovec вот этот участок вас не смутил? 1 Ссылка на комментарий
syrovovec Опубликовано 29 марта, 2022 Поделиться Опубликовано 29 марта, 2022 @Женька Не заметил. Перечитал повнимательнее ветку. Если есть сообщение т.е. свищ, то вопрос автору@Fin есть отделяемое? хорошо бы сделать снимок с гуттаперчей в штифт, наверняка идет к лунке удаленного. Ссылка на комментарий
Fin Опубликовано 29 марта, 2022 Автор Поделиться Опубликовано 29 марта, 2022 1 час назад, syrovovec сказал: @Женька Не заметил. Перечитал повнимательнее ветку. Если есть сообщение т.е. свищ, то вопрос автору@Fin есть отделяемое? хорошо бы сделать снимок с гуттаперчей в штифт, наверняка идет к лунке удаленного. На момент нашей второй встречи свища не было, акцентировал на это внимание, десна бледная.Сдедал все подготовительные работы и отправил на КТ(не в нашей клинике), а потом домой. Обнаружил данное образование на момент планирования. Ссылка на комментарий
Рекомендуемые сообщения
Для публикации сообщений создайте учётную запись или авторизуйтесь
Вы должны быть пользователем, чтобы оставить комментарий
Создать аккаунт
Зарегистрируйте новый аккаунт в нашем сообществе. Это очень просто!
Регистрация нового пользователяВойти
Уже есть аккаунт? Войти в систему.
Войти