колесников Опубликовано 16 декабря, 2020 Поделиться Опубликовано 16 декабря, 2020 Десневой каркас работает. Надо его правильной протетикой поддержать 1 Ссылка на комментарий
колесников Опубликовано 1 февраля, 2021 Поделиться Опубликовано 1 февраля, 2021 Ну как там дела? Я сегодня вспомнил Ваш случай 5 Ссылка на комментарий
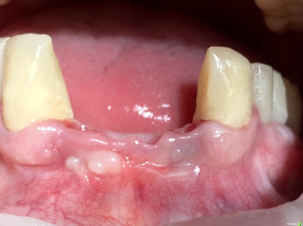
Doctor Vlad Опубликовано 2 февраля, 2021 Автор Поделиться Опубликовано 2 февраля, 2021 Ну как там дела? Я сегодня вспомнил Ваш случайОго,а я думал че икал вчера)) Она была на осмотре до нового года. В корональной части там где был пергамент по толщине я потерял. Но это и без операции ушло бы. Возможно это как-то связано с толщиной временной коронки. Я ее истончил, но не достаточно, на мой взгляд. Это к теме о поддержать протетикой. Отправил ее гулять на 2 месяца. потом думаю коронально смещать и еще добавлять. Чтобы высоту исправить. Ссылка на комментарий
Doctor Vlad Опубликовано 2 февраля, 2021 Автор Поделиться Опубликовано 2 февраля, 2021 Надо его правильной протетикой поддержать Ссылка на комментарий
Doctor Vlad Опубликовано 2 февраля, 2021 Автор Поделиться Опубликовано 2 февраля, 2021 здесь в корональной части получше, опять все гладилкой отслоили)? Ссылка на комментарий
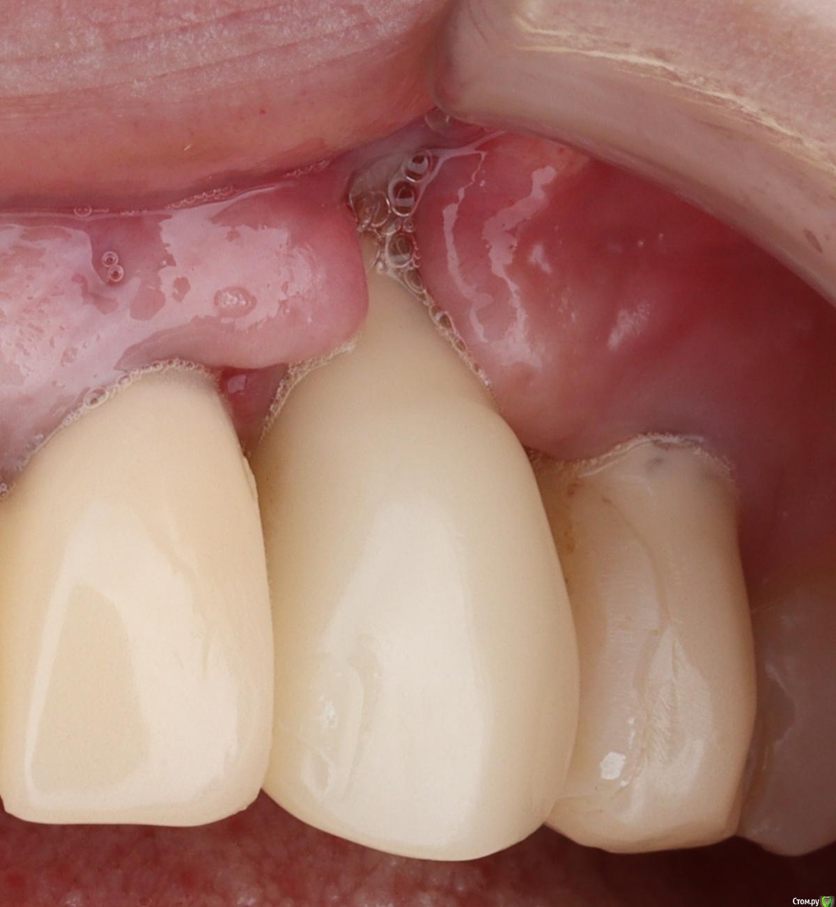
колесников Опубликовано 2 февраля, 2021 Поделиться Опубликовано 2 февраля, 2021 Я же писал,гладилка,скальпель15С,пинцет-вот все что нужно для работы. Правда тут был перионож,под углом в шахту не удавалось войти.Все хорошо у Вас. Надо подождать. Я думаю подрастёт. И ещё добавить . Расщеплять будет уже веселее. Красивый профиль сделали на реставрации. Но! Этот уступ 1мм! Он все портит. Или пилить юбку или брать высотой 3мм Ссылка на комментарий
Doctor Vlad Опубликовано 3 февраля, 2021 Автор Поделиться Опубликовано 3 февраля, 2021 Я же писал,гладилка,скальпель15С,пинцет-вот все что нужно для работы. Правда тут был перионож,под углом в шахту не удавалось войти.Все хорошо у Вас. Надо подождать. Я думаю подрастёт. И ещё добавить . Расщеплять будет уже веселее.Красивый профиль сделали на реставрации. Но! Этот уступ 1мм! Он все портит. Или пилить юбку или брать высотой 3ммНа рисунке отразил, если правильно понял? два варианта как убрать уступ. 1 и 2. Но это лучше делать на следующем этапе, теперь.Коронально смещенный с расщеплением и сст и с композитными каплями на контакт коронки Ссылка на комментарий
колесников Опубликовано 3 февраля, 2021 Поделиться Опубликовано 3 февраля, 2021 Мне нравится 2,но технически это не осуществимо,развалится все,обычно делаем по первому варианту. Насчёт коронального смешения,не могу ничего сказать,на имплантах Так не делал,есть сомнения,я бы другие варианты искал. 1 Ссылка на комментарий
Irouil Опубликовано 3 февраля, 2021 Поделиться Опубликовано 3 февраля, 2021 Мне кажется надо пользоваться высокими сосочками - там вся сила, брат. Из апикальной области там больше не вырастет, слишком далеко подложка. В общем, я бы диссекции под сосочки вывел и через них - на ползуба в обе стороны апроксимально, минимальная диссекция (или даже просто деэпителизация) в десневой борозде вдоль зенита, взял бы длинный графт с неба (может быть с эпителиальным островком посередине, но там может быть проблема с эстетикой потом - два раза бы подумал) и провёл бы его в пришеечной части, на 2-3 дня притянув П-образным швом вокруг коронки в небно-оклюзионном направлении. Графт тогда запитается строго апроксимально, а вестибуло-апикально ничего не потеряется. Есть еще убер-надежный способ, но опять таки - эстетика... Ротировать с неба надкостнично-соединительнотканный лоскут, коронку сквозь него (и да, истончать, ИСТОНЧААААААААТЬ!!!!11), вестибулярно с сосочков расщепить и сместить латерально. Тогда питания и толщины будет много 1 Ссылка на комментарий
Doctor Vlad Опубликовано 4 февраля, 2021 Автор Поделиться Опубликовано 4 февраля, 2021 ИСТОНЧААААААААТЬ!!!!11 я так понимаю на первой фотке проблема была в толстой поддесневой части. жаль промежуточных этапов не скинули. По картинке проще понять как делать. странно что никто коронально смещенный не поддержал. разные варианты предложили Ссылка на комментарий
Irouil Опубликовано 4 февраля, 2021 Поделиться Опубликовано 4 февраля, 2021 (изменено) я так понимаю на первой фотке проблема была в толстой поддесневой части. жаль промежуточных этапов не скинули.Фотки тут для примера результата через неделю после использования описанного метода, никаких особо этапов - во время самой хирургии я не фотографирую, к сожалению. Истончать тут для того, чтобы хватило места для питающей ножки - если коронка будет слишком толстая у основания, то она передавит лоскут крестально, ведь в лоскуте посередине перфорация через которую коронка фиксируется к импланту по типу "шашлыка"-пончо. А если интересна проблема, то она в расстоянии от платформы до зенита (на втором фото) порядка 7 мм. И тут уже была неудачная попытка что-то сделать, судя по всему - как раз натянуть коронарный лоскут.странно что никто коронально смещенный не поддержал. разные варианты предложилиА в чем преимущества, на Ваш взгляд? Как мне кажется, в Вашем кейсе с апикального направления тянуть далеко, прикрепленки не безгранично, риски потерять то, что есть - высокие. А сосочки совсем рядом, причем отличные по всем параметрам. Изменено 4 февраля, 2021 пользователем Irouil Ссылка на комментарий
Astronaft Опубликовано 5 февраля, 2021 Поделиться Опубликовано 5 февраля, 2021 Не самый подходящий случай для виста доступаПочему?Я просто не имею опыта с виста. Ссылка на комментарий
колесников Опубликовано 6 февраля, 2021 Поделиться Опубликовано 6 февраля, 2021 Почему?Я просто не имею опыта с виста. просто тут перфорировать легко. В основании уздечки ткани вплетаются в основание гребня и тут же витки импланта,вход рассечь можно,а дальше при отслаивании инструмент скользнёт по виткам и уйдёт вверх-перфорация ,потом эта дыра расползается. Проще открутить реставрацию и войти через шахту. А вообще виста самый анатомический доступ 1 Ссылка на комментарий
Doctor Vlad Опубликовано 11 февраля, 2021 Автор Поделиться Опубликовано 11 февраля, 2021 А в чем преимущества, на Ваш взгляд? да просто я так всегда делал и проще представить. риски конечно есть. Ссылка на комментарий
Doctor Vlad Опубликовано 11 февраля, 2021 Автор Поделиться Опубликовано 11 февраля, 2021 я бы диссекции под сосочки вывел и через них - на ползуба в обе стороны апроксимально, минимальная диссекция сложно в голове укладывается, попробовал изобразить. сосочки тут тоже не сильно жирные, как у вас в кейсе. Ссылка на комментарий
Irouil Опубликовано 11 февраля, 2021 Поделиться Опубликовано 11 февраля, 2021 Да, все верно Ссылка на комментарий
Doctor Vlad Опубликовано 15 февраля, 2022 Автор Поделиться Опубликовано 15 февраля, 2022 край десны через пару месяцев после пластики решил кровануть и воспалиться. он там остается очень тонким и видимо при чистке травмируется 1 Ссылка на комментарий
Рекомендуемые сообщения
Для публикации сообщений создайте учётную запись или авторизуйтесь
Вы должны быть пользователем, чтобы оставить комментарий
Создать аккаунт
Зарегистрируйте новый аккаунт в нашем сообществе. Это очень просто!
Регистрация нового пользователяВойти
Уже есть аккаунт? Войти в систему.
Войти