колесников Опубликовано 11 сентября, 2020 Поделиться Опубликовано 11 сентября, 2020 Не знаю, я предлагал расщеплять)Возможно, Игорь Колёсников предлагает расщепить только непосредственно по коронарной части винта на 3-4 мм, а дальше, учитывая сложность доступа и толщину лоскута, идти тупым образом. В этом есть определённая логика, на мой взгляд. Но лучше дождаться ответа самого автора высказыванияДа,да,точно так. Ссылка на комментарий
Марья Моревна Опубликовано 11 сентября, 2020 Поделиться Опубликовано 11 сентября, 2020 Спасибо, понятно!Расщепленный переходит в полнослойный.После гладилки по виткам будет новая фиброинтеграция. Ссылка на комментарий
Doctor Vlad Опубликовано 12 сентября, 2020 Автор Поделиться Опубликовано 12 сентября, 2020 Спасибо, понятно!Расщепленный переходит в полнослойный.После гладилки по виткам будет новая фиброинтеграция.Такие же трудности)? Ссылка на комментарий
Марья Моревна Опубликовано 12 сентября, 2020 Поделиться Опубликовано 12 сентября, 2020 Такие же Немного другие случаи). А шляпа Наполеона пойдет в копилку. Благодарю! Ссылка на комментарий
колесников Опубликовано 25 сентября, 2020 Поделиться Опубликовано 25 сентября, 2020 Моляр,но принцип тот же 2 Ссылка на комментарий
Doctor Vlad Опубликовано 26 сентября, 2020 Автор Поделиться Опубликовано 26 сентября, 2020 http://hu-friedyshop.ru/image/cache/data/KGF11X-1000x1340.jpg Ссылка на комментарий
Doctor Vlad Опубликовано 26 сентября, 2020 Автор Поделиться Опубликовано 26 сентября, 2020 Моляр,но принцип тот жеВот такую штуку у себя нашел, думаю после острого разреза пародонтальным ножем пойти.Как и советовали. Приходили недавно про гарантии спрашивали. Категорично сказал что их нет. немного напрягать стали. Какое то недоверие что ли. Зачем то маму на прием притащила, ей показалось что слюноотсос не новый. Не при ней поменяли. может реально принцип свои импланты лечи чужие удаляй самый рабочий. Про моляр... Я так понимаю там уже стоит имплант и похожая проблема с оголением? и был подшит в карман сст. у меня сейчас мой случай с молярами возник. Запротезировали меньше года назад. На рентгене уже со снятыми коронками. Когда сняли коронки ворс от щетки там нашел! ??? Решил убрать, да по гарантии переставить. Типа только заглушки стоят. И вот снимок есть. чтоб импланты поменяли. Щас вот думаю правильно ли поступаю. может заполировать да сст. но высоты десны маловато на самом деле было. видимо биологическая ширина отыгралась Ссылка на комментарий
колесников Опубликовано 27 сентября, 2020 Поделиться Опубликовано 27 сентября, 2020 Вот такую штуку у себя нашел, думаю после острого разреза пародонтальным ножем пойти.Как и советовали. Приходили недавно про гарантии спрашивали. Категорично сказал что их нет. немного напрягать стали. Какое то недоверие что ли. Зачем то маму на прием притащила, ей показалось что слюноотсос не новый. Не при ней поменяли. может реально принцип свои импланты лечи чужие удаляй самый рабочий. Про моляр... Я так понимаю там уже стоит имплант и похожая проблема с оголением? и был подшит в карман сст. у меня сейчас мой случай с молярами возник. Запротезировали меньше года назад. На рентгене уже со снятыми коронками. Когда сняли коронки ворс от щетки там нашел! ??? Решил убрать, да по гарантии переставить. Типа только заглушки стоят. И вот снимок есть. чтоб импланты поменяли. Щас вот думаю правильно ли поступаю. может заполировать да сст. но высоты десны маловато на самом деле было. видимо биологическая ширина отыграласьЯ бы переставилЗнаки. Кругом знаки. Надо их видеть и прислушиваться к внутреннему голосу,иногда действительно лучше отказаться . Чуть не раз в неделю такие бывают: мне там сделали плохо,они такие такие сякие,но туда я идти разбираться не пойду,пусть подавятся моими деньгами,но вы все переделайте хорошо и обязательно с гарантией и договором и личный телефон дайте. 7 Ссылка на комментарий
Doctor Vlad Опубликовано 28 сентября, 2020 Автор Поделиться Опубликовано 28 сентября, 2020 с гарантией и договором и личный телефон дайте Я думаю будет еще проверка на вшивость. Подпишем документ отказа от предложенного лечения с возможностью осложнений.. Ссылка на комментарий
Марья Моревна Опубликовано 29 сентября, 2020 Поделиться Опубликовано 29 сентября, 2020 Знаки. Кругом знаки. Психологические проблемы ведут за собой клинические( Ссылка на комментарий
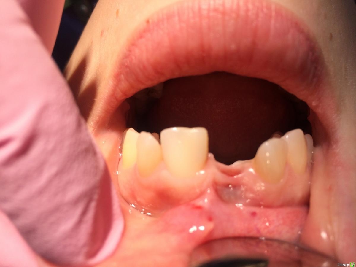
Doctor Vlad Опубликовано 10 декабря, 2020 Автор Поделиться Опубликовано 10 декабря, 2020 После ортопедии временной( не моей) выкрутил. Фото, что имеем аклюзионно. Кастомизировать коронку- макс утончив поддесневую часть. Обратите внимание на толщину слизистой вестибулярно. Зонт виден через нее. Ссылка на комментарий
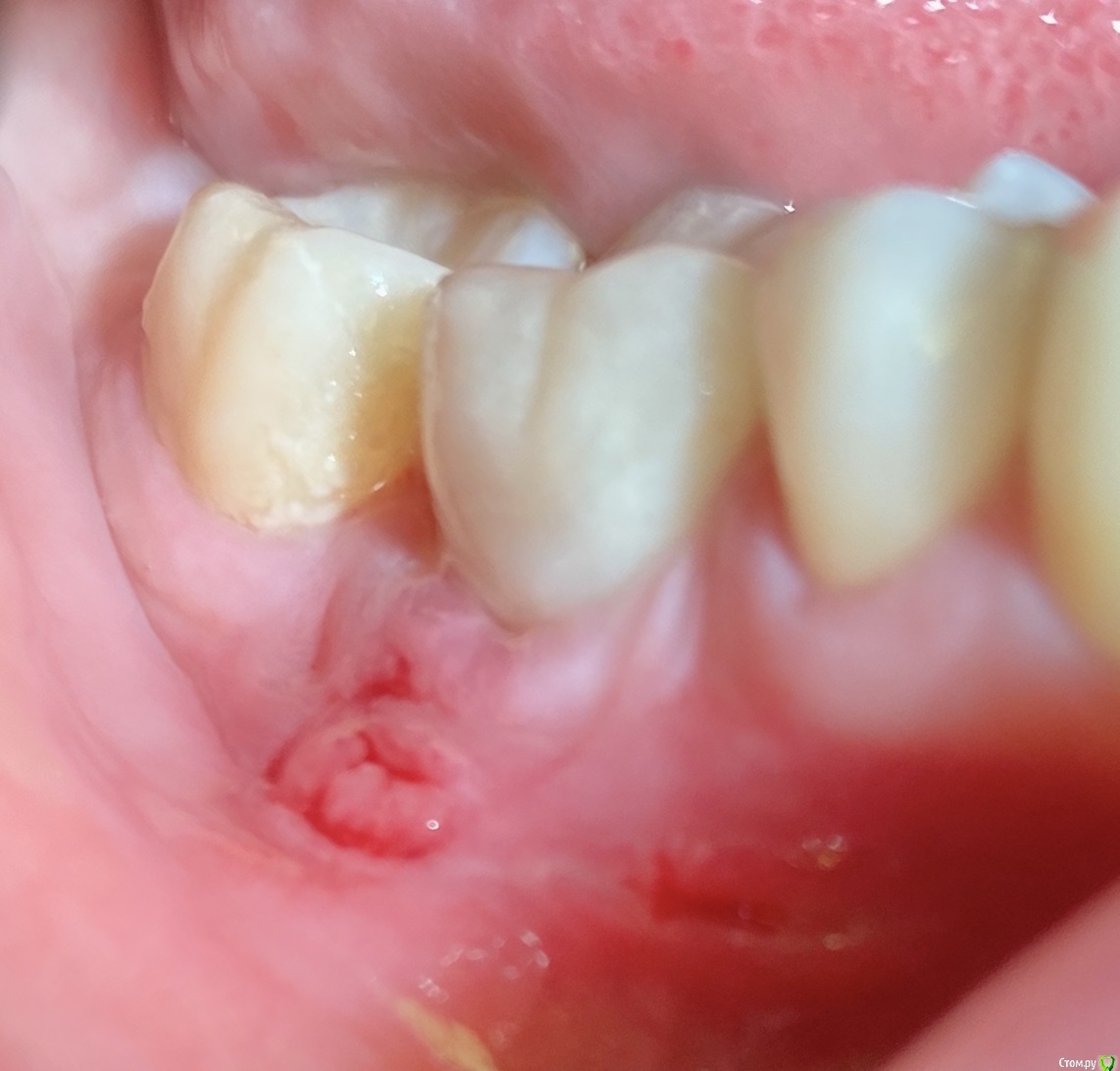
Doctor Vlad Опубликовано 10 декабря, 2020 Автор Поделиться Опубликовано 10 декабря, 2020 Не знаю, я предлагал расщеплять) Возможно, Игорь Колесников предлагает расщепить только непосредственно по коронарной части винта на 3-4 мм, а дальше, учитывая сложность доступа и толщину лоскута, идти тупым образом. В этом есть определённая логика, на мой взгляд. Но лучше дождаться ответа самого автора высказыванияК импланту прикрепление хорошее!! Ссылка на комментарий
колесников Опубликовано 10 декабря, 2020 Поделиться Опубликовано 10 декабря, 2020 Отлично! Добавить десны доступом через шахту и будет красиво 2 Ссылка на комментарий
Doctor Vlad Опубликовано 13 декабря, 2020 Автор Поделиться Опубликовано 13 декабря, 2020 Отлично! Добавить десны доступом через шахту и будет красивоhttps://www.facebook.com/1532115706827341/videos/888923591568123осталось повторить. но у него десна потолще Ссылка на комментарий
колесников Опубликовано 13 декабря, 2020 Поделиться Опубликовано 13 декабря, 2020 Очень эстетично ! Как процесс ,так и результат. Я срезаю сст треугольником с бугра,истончаю к вершине и вношу в тоннель вершиной апекально. Дефицит объёма можно корректировать толщиной лоскута,но не забывайте ,что он может прибавить в объёме ,1:1 не берите. Ссылка на комментарий
Doctor Vlad Опубликовано 13 декабря, 2020 Автор Поделиться Опубликовано 13 декабря, 2020 1:1 не берите я думаю срезать в случае гипертрофии проще чем нарастить Ссылка на комментарий
Irouil Опубликовано 13 декабря, 2020 Поделиться Опубликовано 13 декабря, 2020 я думаю срезать в случае гипертрофии проще чем нарастить Срезать раз в год? То еще удовольствие Ссылка на комментарий
колесников Опубликовано 13 декабря, 2020 Поделиться Опубликовано 13 декабря, 2020 Проще не усугублять . Просто прикиньте визуально ,что бугор прибавит в два раза в объёме так и подготовьте трансплантат Ссылка на комментарий
Doctor Vlad Опубликовано 14 декабря, 2020 Автор Поделиться Опубликовано 14 декабря, 2020 Срезать раз в год? То еще удовольствиеНе всегда же оно так. Почему тогда более мелкий транс не будет расти до бесконечности? Ссылка на комментарий
Doctor Vlad Опубликовано 14 декабря, 2020 Автор Поделиться Опубликовано 14 декабря, 2020 Проще не усугублять . Просто прикиньте визуально ,что бугор прибавит в два раза в объёме так и подготовьте трансплантатСогласен. Но здесь я жиробас сст не планировал пихать. Слабый потенциал у принимающего ложа Ссылка на комментарий
колесников Опубликовано 14 декабря, 2020 Поделиться Опубликовано 14 декабря, 2020 (изменено) Жиробас сам по себе плохо интегрируется ,толще 3ех мм лучше не фиксировать Изменено 14 декабря, 2020 пользователем колесников Ссылка на комментарий
Doctor Vlad Опубликовано 15 декабря, 2020 Автор Поделиться Опубликовано 15 декабря, 2020 (изменено) Я еще операцию не начал а там в корональной части пленочка эта- слизистая на сквозь протерлась. Из жиробаса настругал потоньше и на уровне платформы импланта разместил. хотел эту перфорацию закрыть, но там деэпителизировать нечего просто.. меньше 1 мм толщина. решил в дальнейшем коронально смещать уже более толстый объем Изменено 15 декабря, 2020 пользователем Doctor Vlad 5 Ссылка на комментарий
Doctor Vlad Опубликовано 15 декабря, 2020 Автор Поделиться Опубликовано 15 декабря, 2020 Жиробас сам по себе плохо интегрируется ,толще 3ех мм лучше не фиксироватья его хорошенько истончил. на фото до истончения Ссылка на комментарий
колесников Опубликовано 15 декабря, 2020 Поделиться Опубликовано 15 декабря, 2020 Сложная ситуация ,но Вы справились. Пусть созревает Ссылка на комментарий
Doctor Vlad Опубликовано 16 декабря, 2020 Автор Поделиться Опубликовано 16 декабря, 2020 Сложная ситуация ,но Вы справились. Пусть созреваетВаши слова, да Богу в уши! спасибо! Хоть бы созрел. А то высота скоро на убыль пойдет. Там слизистой нет Ссылка на комментарий
Рекомендуемые сообщения
Для публикации сообщений создайте учётную запись или авторизуйтесь
Вы должны быть пользователем, чтобы оставить комментарий
Создать аккаунт
Зарегистрируйте новый аккаунт в нашем сообществе. Это очень просто!
Регистрация нового пользователяВойти
Уже есть аккаунт? Войти в систему.
Войти