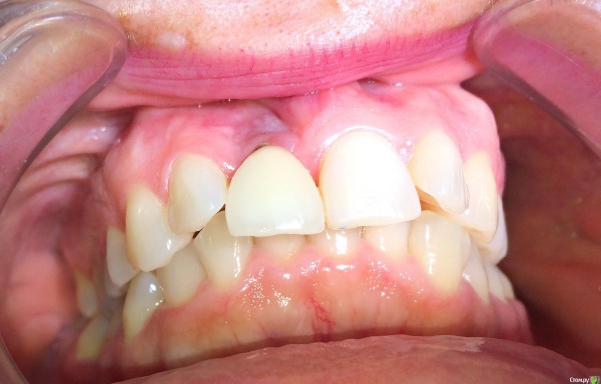
Doctor Vlad Опубликовано 6 сентября, 2020 Поделиться Опубликовано 6 сентября, 2020 Приветствую всех! Такая ситуация. Лет 5 назад имплантация. Кто делал уже не существует. Слизистая в области 11 тонкий биотип. Просвечивается имплант. высокая линия улыбки и выглядит просто темным пятном. Не красиво короче. В прошлом гноилось. Абатмент золотым колечком оголен чутка. кт приложен скрин. Витков 5 вестибулярно не в кости. коронка возможно перегружена прикусомМой план: начать с десны. если эстетически будет удовлетворительно и процесс остановится хорошо. коронку из прикуса вывести ещено остается вариант удаление импланта костная аугментация и десневая и все по новой Ссылка на комментарий
Irouil Опубликовано 6 сентября, 2020 Поделиться Опубликовано 6 сентября, 2020 ИМХО идеальной эстетики тут не добиться, апроксимально тоже выраженная атрофия. Я в таких случаях всегда предлагаю начать с десны+временных чтобы пациент рассмотрел предел возможностей малоинвазивного варианта, но если эстетические требования высокие... 2 1 Ссылка на комментарий
Doctor Vlad Опубликовано 6 сентября, 2020 Автор Поделиться Опубликовано 6 сентября, 2020 ИМХО идеальной эстетики тут не добиться, апроксимально тоже выраженная атрофия. Я в таких случаях всегда предлагаю начать с десны+временных чтобы пациент рассмотрел предел возможностей малоинвазивного варианта, но если эстетические требования высокие...тоже хотел предложить ей с десны начать, понравиться результат будет стабилизация на этом и остановиться. если нет, то будет первый этап подготовки к костной пластике. вариант о том, что может стать хуже тоже озвучил. десна очень тонкая думаю как поступить. отслоиться без вертикальных разрезов и в корман или сделать выше вертикальный небольшой вход и тунель но тогда имплант не заполируешь. сталкивались с такой проблемой? как решали сами? спасибо! Ссылка на комментарий
Doctor Vlad Опубликовано 6 сентября, 2020 Автор Поделиться Опубликовано 6 сентября, 2020 если эстетические требования высокие.. не низкие, но вроде все понимает и адекватно реагирует. Ссылка на комментарий
Irouil Опубликовано 6 сентября, 2020 Поделиться Опубликовано 6 сентября, 2020 отслоиться без вертикальных разрезов и в корман или сделать выше вертикальный небольшой вход и тунель но тогда имплант не заполируешь. сталкивались с такой проблемой? как решали сами? спасибо!Заполировать сразу нет, надежда работать с этим винтом только если вокруг него не зондируется карман более 4 мм, ибо к этим 4 Вы еще 1 добавите от силы - как раз чтобы выровнять зениты, но тогда нужно расщеплять, тунельно, причем я бы пошел в 2 этапа: толщина и высота. Срок 3 месяца между этапами, перед принятием решения о начале второго этапа убедиться, что глубина зондирования не изменилась. Если же зондируется глубоко - удалять. 1 Ссылка на комментарий
колесников Опубликовано 6 сентября, 2020 Поделиться Опубликовано 6 сентября, 2020 Можно попробовать,но очень вестибулярное положение платформы. Полировать нужно если графтинг планируется,а тут только гамборенинг вытянет-расщепится тоннельно. Абатмент надо сменить,максимально заузить. 2 Ссылка на комментарий
Doctor Vlad Опубликовано 7 сентября, 2020 Автор Поделиться Опубликовано 7 сентября, 2020 Заполировать сразу нет, надежда работать с этим винтом только если вокруг него не зондируется карман более 4 мм, ибо к этим 4 Вы еще 1 добавите от силы - как раз чтобы выровнять зениты, но тогда нужно расщеплять, тунельно, причем я бы пошел в 2 этапа: толщина и высота. Срок 3 месяца между этапами, перед принятием решения о начале второго этапа убедиться, что глубина зондирования не изменилась. Если же зондируется глубоко - удалять.все за расщеплять, а десна то там как копирка, на атомы расщеплять))? было бы не плохо зацепить и более толстую реципиентную зону для подпитки сст, но проще либо не расщеплять и тунель, либо зайти с акклюзионной поверхности и сделать карман апикально и туда сст Ссылка на комментарий
Doctor Vlad Опубликовано 7 сентября, 2020 Автор Поделиться Опубликовано 7 сентября, 2020 Можно попробовать,но очень вестибулярное положение платформы. Полировать нужно если графтинг планируется,а тут только гамборенинг вытянет-расщепится тоннельно. Абатмент надо сменить,максимально заузить.именно попробовать, в случае чего десна тут и перед кост пластикой нужна будет. если сст на инфицированный имплант ляжет ниче? не усугубит ситуацию? вы бы снимали коронку, глушили имплант? выжидали время или вместе с этой коронкой пластика десны? на каком этапе менять абатмент? Ссылка на комментарий
Дмитрий Л. Опубликовано 7 сентября, 2020 Поделиться Опубликовано 7 сентября, 2020 Тёмненькое над зенитом коронки это что? Платформа винта? Ссылка на комментарий
Doctor Vlad Опубликовано 7 сентября, 2020 Автор Поделиться Опубликовано 7 сентября, 2020 Тёмненькое над зенитом коронки это что? Платформа винта?там золотого цвета что-то. скорей всего абатмент Ссылка на комментарий
Дмитрий Л. Опубликовано 7 сентября, 2020 Поделиться Опубликовано 7 сентября, 2020 Угу. И видимо цементная фиксация.Мой план такой)1. Оценить прикрепление, есть ли оно вообще к абатменту хоть в какой то степени. Если десна спокойно отодвигается аж до винта - вскрываем, кюретажим, песочим, НКРим по всем канонам.Если десна прикреплена к абатменту, то можем считать поверхность винта неконтаминированной. Я вижу ряд проблем которые надо решить. 2.Уздечка губы. Слизистая над имплантом кажется подвижной. Возможно из-за того что вы её смещали коронально. Возможно из-за уздечки. Если это так, то первой отдельной операцией чикаем немножко уздечку. 3. Просвечивающийся имплант лучше чем-то перекрыть. Но мне кажется что там больше светит абатмент, чем винт, и что имплант всё-таки глубже. Решается десной. При чём я бы тут пошел снова в 2 пути. Сначала тоннельно, без отслойки по зениту, оставляя прикрепление к абатменту, всунул бы десны апикальней. После стабилизации ситуации уже добавлял бы по зениту и чуть подтягивал бы коронально созданный объём. Швы, которые будут удерживать трансплантат, фиксируйте не над ним, а ближе к соседним зубам, где десна явно кератинизированная. 4. Вцелом наблюдаем перимукозит. Там точно цемента не вывели? 5. Правильней всего было бы снять коронку и вести на узком формике или вообще глухо. Ну так, мои мысли) 2 Ссылка на комментарий
Irouil Опубликовано 7 сентября, 2020 Поделиться Опубликовано 7 сентября, 2020 все за расщеплять, а десна то там как копирка, на атомы расщеплять))? было бы не плохо зацепить и более толстую реципиентную зону для подпитки сст, но проще либо не расщеплять и тунель, либо зайти с акклюзионной поверхности и сделать карман апикально и туда сстА без расщепления тут нет резона - либо ткани растут на винте и Вы оставляете на нем какой-то слой нетронутым, либо Вы создаёте вокруг винта карман - но тогда сразу идти на радикальные меры 1 Ссылка на комментарий
колесников Опубликовано 7 сентября, 2020 Поделиться Опубликовано 7 сентября, 2020 именно попробовать, в случае чего десна тут и перед кост пластикой нужна будет. если сст на инфицированный имплант ляжет ниче? не усугубит ситуацию? вы бы снимали коронку, глушили имплант? выжидали время или вместе с этой коронкой пластика десны? на каком этапе менять абатмент? имплант не инфицирован,но там что то типа фиброинтеграции,по этому лучше пойти расщепленно . Вначале делается новый абатмент и временная коронка ,винтовая,потом сст. 2 Ссылка на комментарий
Doctor Vlad Опубликовано 9 сентября, 2020 Автор Поделиться Опубликовано 9 сентября, 2020 Угу. И видимо цементная фиксация.Мой план такой)1. Оценить прикрепление, есть ли оно вообще к абатменту хоть в какой то степени. Если десна спокойно отодвигается аж до винта - вскрываем, кюретажим, песочим, НКРим по всем канонам.Если десна прикреплена к абатменту, то можем считать поверхность винта неконтаминированной. Я вижу ряд проблем которые надо решить. 2.Уздечка губы. Слизистая над имплантом кажется подвижной. Возможно из-за того что вы её смещали коронально. Возможно из-за уздечки. Если это так, то первой отдельной операцией чикаем немножко уздечку. 3. Просвечивающийся имплант лучше чем-то перекрыть. Но мне кажется что там больше светит абатмент, чем винт, и что имплант всё-таки глубже. Решается десной. При чём я бы тут пошел снова в 2 пути. Сначала тоннельно, без отслойки по зениту, оставляя прикрепление к абатменту, всунул бы десны апикальней. После стабилизации ситуации уже добавлял бы по зениту и чуть подтягивал бы коронально созданный объём. Швы, которые будут удерживать трансплантат, фиксируйте не над ним, а ближе к соседним зубам, где десна явно кератинизированная. 4. Вцелом наблюдаем перимукозит. Там точно цемента не вывели? 5. Правильней всего было бы снять коронку и вести на узком формике или вообще глухо. Ну так, мои мысли). Спасибо за мысли) Прикрепление проверю. Уздечку тоже оценю. Коронально ничего не смещал. Она первичная. Сколько по срокам даёте десне закрепиться между апикальный и корональным подшиванием? Цемент запросто возможен Ссылка на комментарий
Doctor Vlad Опубликовано 9 сентября, 2020 Автор Поделиться Опубликовано 9 сентября, 2020 (изменено) Вы создаёте вокруг винта карман - но тогда сразу идти на радикальные мерыесли отслоить от винта то будет просто патологический карман по типу пародонтитного, а сст к импланту уже не прилипнет. правильно понял Вас? по этому лучше фиброзный слой оставить на импланте при расщеплении, как Игорь Колесников предлагает? Изменено 9 сентября, 2020 пользователем Doctor Vlad 1 Ссылка на комментарий
Doctor Vlad Опубликовано 9 сентября, 2020 Автор Поделиться Опубликовано 9 сентября, 2020 имплант не инфицирован,но там что то типа фиброинтеграции,по этому лучше пойти расщепленно . Вначале делается новый абатмент и временная коронка ,винтовая,потом сст.цыганской иглой) его в дистальный тупик туннеля завести и подшить? Ссылка на комментарий
колесников Опубликовано 9 сентября, 2020 Поделиться Опубликовано 9 сентября, 2020 Не самый подходящий случай для виста доступа. Уздечку пока не стоит трогать. Коронку убрать,абатмент вынуть,лезвием пройтись в шахте вестибулярно,далее по резьбе гдадилкой пройтись апекально,периодически используя перионожи. Дизайн сст изобразил. Абатмент заужен в основании. Как лоскут созреет,меняем реставрацию 3 Ссылка на комментарий
Doctor Vlad Опубликовано 9 сентября, 2020 Автор Поделиться Опубликовано 9 сентября, 2020 Не самый подходящий случай для виста доступа. Уздечку пока не стоит трогать. Коронку убрать,абатмент вынуть,лезвием пройтись в шахте вестибулярно,далее по резьбе гдадилкой пройтись апекально,периодически используя перионожи. Дизайн сст изобразил. Абатмент заужен в основании. Как лоскут созреет,меняем реставрациюя знал, что вы схемку нарисуете на 80% уверен был)) желтая шляпа Наполеона сверху это что такое? Ссылка на комментарий
колесников Опубликовано 9 сентября, 2020 Поделиться Опубликовано 9 сентября, 2020 Это сст обрезан по краям,что бы когда начнёт рости не выглядел как шишка. Покрывной лоскут тонкий,все должно выглядеть гармонично 1 Ссылка на комментарий
Doctor Vlad Опубликовано 9 сентября, 2020 Автор Поделиться Опубликовано 9 сентября, 2020 Это сст обрезан по краям,что бы когда начнёт рости не выглядел как шишка. Покрывной лоскут тонкий,все должно выглядеть гармоничноСпасибо! Это уже уровень 80+ Мне бы просто прижилось. Это как какой стороной сст укладывать) как надо отточить свои навыки и отнаблюдать чтоб до такой степени заморочиться... Ссылка на комментарий
Doctor Vlad Опубликовано 10 сентября, 2020 Автор Поделиться Опубликовано 10 сентября, 2020 Не самый подходящий случай для виста доступа. Уздечку пока не стоит трогать. Коронку убрать,абатмент вынуть,лезвием пройтись в шахте вестибулярно,далее по резьбе гдадилкой пройтись апекально,периодически используя перионожи. Дизайн сст изобразил. Абатмент заужен в основании. Как лоскут созреет,меняем реставрациюНа утро голова больше вопросов генерирует чем после 12 часов труда... может быть доступ с акклюзионной стороны и удобней чем виста, но придется отслоить прикрепление к абатменту . не думаете, что это может усугубить ситуацию и лучше как-то перепрыгнуть через это прикрепление. может вы это и имели ввиду на рисунке. сделать отступ? по зоне забора буду стараться искать бугор, для компенсации объема и цвета. и надеяться на его способность к росту в перспективе Ссылка на комментарий
Irouil Опубликовано 10 сентября, 2020 Поделиться Опубликовано 10 сентября, 2020 Если убрать абатмент, то прикрепление к нему нарушится априори Главное - прикрепление к винту, его нужно "обойти" 1 Ссылка на комментарий
Марья Моревна Опубликовано 11 сентября, 2020 Поделиться Опубликовано 11 сентября, 2020 по резьбе гдадилкой пройтись Главное - прикрепление к винту, его нужно "обойти" Подскажите, пожалуйста, как можно совместить данные рекомендации? Ссылка на комментарий
колесников Опубликовано 11 сентября, 2020 Поделиться Опубликовано 11 сентября, 2020 Подскажите, пожалуйста, как можно совместить данные рекомендации?Разрез в шахте отступая от внутреннего края Ссылка на комментарий
Irouil Опубликовано 11 сентября, 2020 Поделиться Опубликовано 11 сентября, 2020 (изменено) Подскажите, пожалуйста, как можно совместить данные рекомендации?Не знаю, я предлагал расщеплять) Возможно, Игорь Колесников предлагает расщепить только непосредственно по коронарной части винта на 3-4 мм, а дальше, учитывая сложность доступа и толщину лоскута, идти тупым образом. В этом есть определённая логика, на мой взгляд. Но лучше дождаться ответа самого автора высказывания Изменено 11 сентября, 2020 пользователем Irouil Ссылка на комментарий
Рекомендуемые сообщения
Для публикации сообщений создайте учётную запись или авторизуйтесь
Вы должны быть пользователем, чтобы оставить комментарий
Создать аккаунт
Зарегистрируйте новый аккаунт в нашем сообществе. Это очень просто!
Регистрация нового пользователяВойти
Уже есть аккаунт? Войти в систему.
Войти