Перейти к содержанию
Стоматология для всех

Будни деревенского стоматолога


kuziy12

Рекомендуемые сообщения

  • 2 месяца спустя...
  • Ответов 122
  • Создана
  • Последний ответ

Топ авторов темы

  • kuziy12

    49

  • vse32

    25

  • Vladimirov

    8

  • Бардо

    5

  • 2 месяца спустя...

Ведьмаку заплатите чеканной монетой!

 

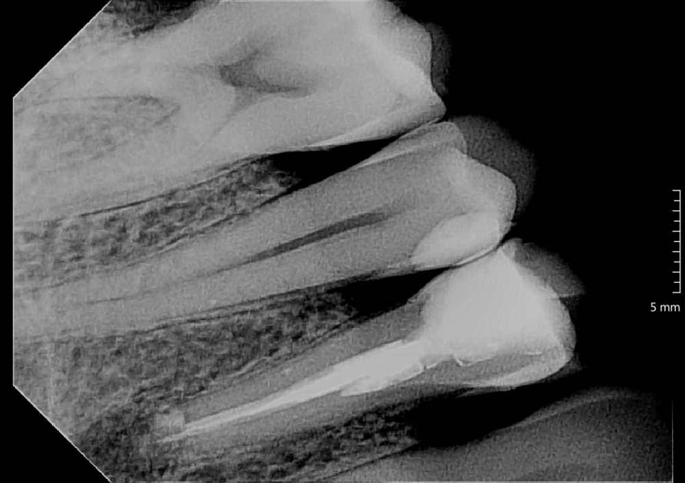
4.6 - острый пульпит. В дистальном 25.04, в медиальных 20.02. Не смог обработать до большего, да и не увидел в этом смысла. В дистальном я силер не выводил, он сам))

post-52119-0-67753300-1577290991_thumb.jpg 

 

 

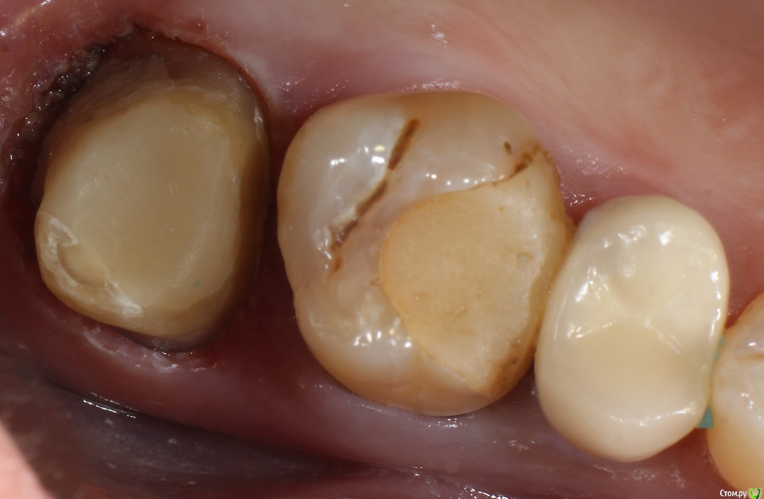
Просто несколько работ, достаточно рутинных 

post-52119-0-20295000-1577291406_thumb.jpg

post-52119-0-72851000-1577291413_thumb.jpg

post-52119-0-99190300-1577291423_thumb.jpg

Ссылка на комментарий

 

 

Просто несколько работ, достаточно рутинных

Вопрос конечно дурацкий, но почему делаете скриншоты с экрана а не пользуетесь функцией экспорт.

P.S. одноканальники хорошенькие. 46 тоже, но не верится, что в медиальных 20.02 

Ссылка на комментарий

Я больше скажу, я на телефон фотаю))Компьютер в рентгене выход в интернет не имеет, а париться с флешками не хочется.

Ссылка на комментарий
  • 1 месяц спустя...

Надо смахнуть пыль с темы...

Чаще стали попадаться двухканальные нижние передние зубы или я стал просто чаще находить. 

3.3 : 

post-52119-0-89230800-1581239363_thumb.jpg

 

Но бывают и веселые случаи. Научился за 15 минут обрабатывать и пломбировать нижние шестые. Правда пока только такие)) 

post-52119-0-41171600-1581239495_thumb.jpg

  • Поддерживаю 3
Ссылка на комментарий
  • 2 недели спустя...

Подскажите, пожалуйста, что изменилось в работе, что стали находить второй канал? (я так понимаю, щечный) В курсе, что нужно расширять доступ больше в сторону режущего края, но все никак не ищется...

Ссылка на комментарий

Язычный*

C опытом) Не спеша, расширяю устье канала, смотрю расположение канала относительно корня и его наклона. Если устье смещено, то в 90% есть еще один канал. 

Ссылка на комментарий

C опытом) Не спеша, расширяю устье канала, смотрю расположение канала относительно корня и его наклона. Если устье смещено, то в 90% есть еще один канал. 

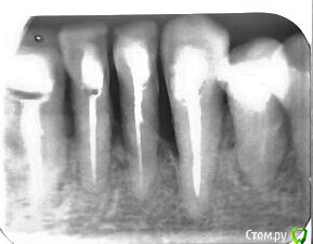
это да, но бывает, это устье раздваивается далеко не в устьевой части корня,а глубоко в средней , например как тут, хз как туда попасть

post-56770-0-48666200-1582799105_thumb.jpg

Ссылка на комментарий

это да, но бывает, это устье раздваивается далеко не в устьевой части корня,а глубоко в средней , например как тут, хз как туда попасть

мое мнение(человека без микро), в этом случае нужно просто работать в ванночке из ГХ, он растворяет пульпу, а вовремя пломбировки это ответвление  заполнится силером. 

  • Поддерживаю 1
Ссылка на комментарий

Ничего не запомлнится,к сожалению, если не обработать механически.Измеряете на снимке расстояние до разветвления-стопер на файле 08 ставите так же и гнете кончик файла язычно,либо вестибулярного. Потихоньку тыкаемся и поворачивает,тыкаемся и поворачивает файл(подобно байпасу)нашли один канал-берете следующий 08,не вытаскивая первый и повторяет действия

Изменено пользователем zubolekar163
  • Поддерживаю 2
Ссылка на комментарий

мое мнение(человека без микро), в этом случае нужно просто работать в ванночке из ГХ, он растворяет пульпу, а вовремя пломбировки это ответвление  заполнится силером. 

неа, силер после гх продавливается только на такую глубину

post-56770-0-58474200-1583323033_thumb.jpg

Ссылка на комментарий
  • 1 год спустя...

???УВОЛИЛСЯ С ГОСКИ???

IMG_20210722_115607.thumb.jpg.fd3bcf8a89f7e5d39946925e8fd87d72.jpgIMG_20210722_115622.thumb.jpg.624a76706a0c45ad5fabfea4feaa5815.jpgIMG_20210722_115616.thumb.jpg.18e50b818896e94052e16910759aa272.jpgIMG_20210722_115622.thumb.jpg.624a76706a0c45ad5fabfea4feaa5815.jpgIMG_20210722_115640.thumb.jpg.959587968762f7985f49613565f96b19.jpgIMG_20210722_111944.thumb.jpg.74cb971437cec3f4e2950b834a99531a.jpg

 

Проработал 3 года. Еще 2 до закрытия долга по земскому доктору не смог. Начал часто грустить))

Изменено пользователем kuziy12
  • Like 3
  • Спасибо 1
Ссылка на комментарий

Кейс под названием: Что для тебя успешное эндо?

Пациент: девушка 16 лет. Задача дотянуть зуб сколько сможем по времени, затем имплантация. 

Исходная ситуация:  симптоматический апикальный периодонтит. Отломок в медиально-щечном канале.IMG_20210716_134030.thumb.jpg.0b754f1cf44f10a3d2e05ed70884f5b7.jpg

Бился примерно 2 часа, Прошел медиально-язычный. Немного обошел обломок, за ним стопорюсь. Дистальный глухо. Оставил пульпосептин, готовился к удалению. 

На следующем приеме жалоб нет, принял решение пломбировать что есть.

IMG_20210716_134113.thumb.jpg.2e302712b90b1c8656830a1d42006bcd.jpg

С пацом решили: если за 3 месяца не появится болей, и в прицельном не появится разряжение - то коронуем. 

3 месяца спустя: 

IMG_20210716_134129.thumb.jpg.71631666cf042a4c7352572d6c371b77.jpg

Устанавливаем коронку.

Прошло 1.5 года.

Звонит: ходуном ходит зуб. Думаю: ну, здравствуй, обострение, здравствуй, удаление. Пришла, оказывается расцементировка коронки. Делаем снимок:

IMG_20210716_134216.thumb.jpg.209b4330c838774d9bf6e170ae51304f.jpg

Изменено пользователем kuziy12
  • Like 3
Ссылка на комментарий

Первая резекция.

Внутриротовых фото нет, так как во время хирургии страшно, мир вокруг трясется или это я трясусь, поэтому не до фото. 

Зуб 2.4, отломок в небном канале. До гайморовой рукой подать, ближайший лор в 200 км. 

Жалобы: периодические боли при накусывании. 

До:

1151819050_.thumb.png.c642dbc82dbfb554ac2baaf02a8b90b8.png

Сначала перелечиваем. Оба канала обработаны до 20.04, щечный прошел до конца, небный до отломка.

После моей эндодонтии:

363835048_.thumb.png.5b75eaaf360eb0fbb5879c69386c8ece.png

1943898502_.thumb.png.18347fcb26ec201fe8638f8f284b0a44.png

Резекция: на видосах у них как то все быстро, легко. Апексы в пустоте, пили не хочу. Померил расстояние до апексов, пошел. Разрез трапециевидный, откинул, выпилил окно шариком на прямом наконечнике. Убрал апекс щечного, чтобы долезть до небного. Слева клык, справа гайморова. Расширять окно боязно. Визуализировал небный апекс, благодаря отломку в нем. Спилюкал. Проверил сообщение, отрицательно. Углубления шариком в корнях, МТА. Готово. Поменять штаны и на рентген. 

После резекции:

1813961350_.thumb.png.476564b527766e6d6e6f59cead471dcc.png

  • Like 4
Ссылка на комментарий
06.06.2019 в 12:59, kuziy12 сказал:

В начале своей карьеры...давным давно...где-то год назад удалял верхнюю восьмерку. Тогда я не знал, что при наличии пломб-залипух на соседних зубах, нужно предупреждать, что они могут вылететь. Что и произошло с 1.7 Пациент оказался адекватным, все понял, сказал через неделю придет, поставим пломбу и happy end. Прошел год - пришел пациент. На мое предложение удалять, так как от зуба немного осталось, а неделя неравна году, была сказана фраза: "на соседнем зубе тоже пломба-залипуха, так я вообще без зубов останусь". Ну надо воевать, подумал я. Изначального фото ситуации нет, но там пришлось убирать достаточное количество десны. (За фото прошу не пинать, бить только руками)

post-52119-0-37089500-1559803596_thumb.jpg

 

Стандартная обработка машинными, с кофером, ГХ, блекджеком и...

post-52119-0-31081100-1559803692_thumb.jpg

 

Пломба(СО ШТИФТОМ), сильно полировкой заморачиться не стал, так как в это же посещение обработка под МК

post-52119-0-99816300-1559803724_thumb.jpg

 

Собственно господин преп

post-52119-0-45724000-1559803741_thumb.jpg

 

Стандартный оттискной(деревня же)

post-52119-0-46218800-1559803753_thumb.jpg

 

Фото на модели:

post-52119-0-51425400-1559803768_thumb.jpg

 

Фото зафиксированной коронки

post-52119-0-32477700-1559803777_thumb.jpg

post-52119-0-81554000-1559803785_thumb.jpg

 

Спасли комбайнеру зуб! Тяжело так, но уверенно нарабатывате базу пациентов.

Ссылка на комментарий
29.07.2019 в 20:35, kuziy12 сказал:

Ортопедия...

 

Изначальная ситуация:

post-52119-0-27043000-1564421516_thumb.jpg

post-52119-0-52272000-1564421532_thumb.jpg

 

Преп:

post-52119-0-49731400-1564421552_thumb.jpg

 

Фиксация:

post-52119-0-44541500-1564421590_thumb.jpg

 

По поводу цвета...Я настаивал на коррекции, пациент сказал, что его все устраивает и менять ничего не нужно. От проф. гигиены отказался.

А цвет, очень даже подходит, особо под подгнивший моляр.

  • Like 1
Ссылка на комментарий
27.07.2021 в 15:50, kuziy12 сказал:

???УВОЛИЛСЯ С ГОСКИ???

IMG_20210722_115607.thumb.jpg.fd3bcf8a89f7e5d39946925e8fd87d72.jpgIMG_20210722_115622.thumb.jpg.624a76706a0c45ad5fabfea4feaa5815.jpgIMG_20210722_115616.thumb.jpg.18e50b818896e94052e16910759aa272.jpgIMG_20210722_115622.thumb.jpg.624a76706a0c45ad5fabfea4feaa5815.jpgIMG_20210722_115640.thumb.jpg.959587968762f7985f49613565f96b19.jpgIMG_20210722_111944.thumb.jpg.74cb971437cec3f4e2950b834a99531a.jpg

 

Проработал 3 года. Еще 2 до закрытия долга по земскому доктору не смог. Начал часто грустить))

Уютный кабинет, обивка кресла статусная,  ковер бы еще на стену. 

28.07.2021 в 19:32, It'sGeorgy сказал:

Перечитал всю тему, крайне годное чтиво. Автору спасибо.

+

  • Like 1
  • Смех 3
Ссылка на комментарий
12 часов назад, Карен Аванесов сказал:

Уютный кабинет, обивка кресла статусная,  ковер бы еще на стену. 

По санпину не пройдет???

  • Like 1
  • Смех 2
Ссылка на комментарий

Для публикации сообщений создайте учётную запись или авторизуйтесь

Вы должны быть пользователем, чтобы оставить комментарий

Создать аккаунт

Зарегистрируйте новый аккаунт в нашем сообществе. Это очень просто!

Регистрация нового пользователя

Войти

Уже есть аккаунт? Войти в систему.

Войти
×
×
  • Создать...
Вверх