___49___ Опубликовано 3 мая, 2019 Поделиться Опубликовано 3 мая, 2019 За что?(не понял шутку)За ударный труд не характерный для периферии нашей необъятной . (с/у , без сарказма) Ссылка на комментарий
kuziy12 Опубликовано 3 мая, 2019 Автор Поделиться Опубликовано 3 мая, 2019 Все, дошло. НЕее, я человек современный, давайте деньгами Ссылка на комментарий
Vladimirov Опубликовано 3 мая, 2019 Поделиться Опубликовано 3 мая, 2019 давайте деньгами да какиешь нынче в деревне деньги???? так если натурпродуктом фуражом там..... Ссылка на комментарий
suballex Опубликовано 13 мая, 2019 Поделиться Опубликовано 13 мая, 2019 да какиешь нынче в деревне деньги???? так если натурпродуктом фуражом там.....Бери салом и водкой! Потом можно поменять на что нибудь полезное. 3 Ссылка на комментарий
kuziy12 Опубликовано 13 мая, 2019 Автор Поделиться Опубликовано 13 мая, 2019 (изменено) За что люблю наше врачебное сообщество, так это за юмор!)) Изменено 13 мая, 2019 пользователем kuziy12 Ссылка на комментарий
kuziy12 Опубликовано 17 мая, 2019 Автор Поделиться Опубликовано 17 мая, 2019 Начал осваивать фотоаппарат, но пока хрень выходит, так что рентген снимки - one love. 3.7 Жалобы: боли при накусывании. Анамнез: боли появились 2 дня назад. Объективно:-Подвижность 2 степени-Сопр без изменений-Перкуссия резко болезненна-Небольшая кп на окклюзионной Отправляю на диагностический снимок(его не сфотал) - разряжение в области дистального. Ставлю диагноз - обострение хрон. периодонтита. Начинаю препарировать, а там нерв. Живой. Смотрит на меня и говорит: Хрен ли надо? Я в этот момент: Начинаем разбираться и выясняется: Итог: Вестибулярной нет вообще. Зуб удален. Сам пациент связывает с удалением 3.8 полтора года назад с помощь долота и молота. Вывод: Хорошая диагностика сокращает лишние телодвижения. 1 Ссылка на комментарий
brg Опубликовано 19 мая, 2019 Поделиться Опубликовано 19 мая, 2019 да какиешь нынче в деревне деньги???? так если натурпродуктом фуражом там.....давно вы в деревне не были. раньше только в самом захудалом доме не было коровы, а сейчас в каждом дворе по машине, а то и три. спутниковое антенны. а коров нет как и сало с яйцом, если только в магазине. Ссылка на комментарий
kuziy12 Опубликовано 6 июня, 2019 Автор Поделиться Опубликовано 6 июня, 2019 В начале своей карьеры...давным давно...где-то год назад удалял верхнюю восьмерку. Тогда я не знал, что при наличии пломб-залипух на соседних зубах, нужно предупреждать, что они могут вылететь. Что и произошло с 1.7 Пациент оказался адекватным, все понял, сказал через неделю придет, поставим пломбу и happy end. Прошел год - пришел пациент. На мое предложение удалять, так как от зуба немного осталось, а неделя неравна году, была сказана фраза: "на соседнем зубе тоже пломба-залипуха, так я вообще без зубов останусь". Ну надо воевать, подумал я. Изначального фото ситуации нет, но там пришлось убирать достаточное количество десны. (За фото прошу не пинать, бить только руками) Стандартная обработка машинными, с кофером, ГХ, блекджеком и... Пломба(СО ШТИФТОМ), сильно полировкой заморачиться не стал, так как в это же посещение обработка под МК Собственно господин преп Стандартный оттискной(деревня же) Фото на модели: Фото зафиксированной коронки 1 2 Ссылка на комментарий
vse32 Опубликовано 6 июня, 2019 Поделиться Опубликовано 6 июня, 2019 (изменено) Вопрос только один. Почему 16 не короновали? А так молодец!P.S. Купите технику учебник по моделировке. Изменено 6 июня, 2019 пользователем vse32 1 Ссылка на комментарий
kuziy12 Опубликовано 6 июня, 2019 Автор Поделиться Опубликовано 6 июня, 2019 Вопрос только один. Почему 16 не короновали? А так молодец!P.S. Купите технику учебник по моделировке.Ну ка, моего техника не обижать! Он золото у нас))) Ну по идее 1.6 нужно перелечивать, потому что в 1.6 не должно быть 2 канала)) Пациентка отказалась. Ссылка на комментарий
vse32 Опубликовано 6 июня, 2019 Поделиться Опубликовано 6 июня, 2019 Ну ка, моего техника не обижать! Он золото у нас))) Тогда надо стремится в платину! Зубы леденцы это не козырно. Ссылка на комментарий
kuziy12 Опубликовано 6 июня, 2019 Автор Поделиться Опубликовано 6 июня, 2019 Тогда надо стремится в платину! Зубы леденцы это не козырно. будем стараться) Прежде чем требовать что-то от техника, нужно давать ему норм преп, а он у меня хромает Ссылка на комментарий
Большой Зеленый Опубликовано 6 июня, 2019 Поделиться Опубликовано 6 июня, 2019 В начале своей карьеры...давным давно...где-то год назад Почувствовал себя древним мамонтом Ссылка на комментарий
kuziy12 Опубликовано 7 июня, 2019 Автор Поделиться Опубликовано 7 июня, 2019 Почувствовал себя древним мамонтом Главное молодость в душе)) 1 Ссылка на комментарий
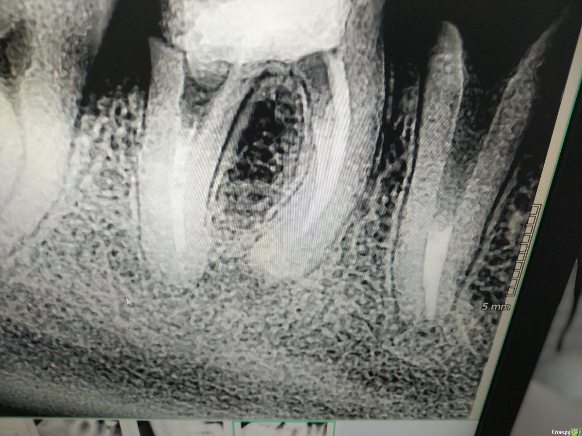
kuziy12 Опубликовано 20 июля, 2019 Автор Поделиться Опубликовано 20 июля, 2019 (изменено) Лето, хорошо... Начнем с хорошего..Жесть чуть позже. Обратилась женщина с 4.5, 4.6. Рекомендовал удалить 4.5, туда имплантация, 4.6 пробовать сохранять. Решили сохранять оба.Изначальная ситуация: Распломбировка, обработка машинными: 4.5 - до 30.04, .4.6 - до 25.04. Пульпосептин на 3 дня, пломбировка, культевая в 4.5, в 4.6 штифт и пломба. Дальше коронки МК связанные между собой. Надеюсь укрепит 4.5. Переживаю больше за его тонкие стенки. В храм сходил - свечку поставил. Вопрос: на сколько по времени ставите пульпосептин(если пользуетесь) при пульпитах, хронических, обострениях? Изменено 20 июля, 2019 пользователем kuziy12 Ссылка на комментарий
vse32 Опубликовано 20 июля, 2019 Поделиться Опубликовано 20 июля, 2019 Вопрос. У вас очень жёсткие снимки. На какой экспозиции делаете? Ссылка на комментарий
kuziy12 Опубликовано 20 июля, 2019 Автор Поделиться Опубликовано 20 июля, 2019 (изменено) Вопрос. У вас очень жёсткие снимки. На какой экспозиции делаете?не знаю, этим медсестра занимается. Резкость уже я настраиваю при фотографии. Ставлю максимум Изменено 20 июля, 2019 пользователем kuziy12 Ссылка на комментарий
vse32 Опубликовано 20 июля, 2019 Поделиться Опубликовано 20 июля, 2019 Очень прошу, поинтересуйтесь. Ссылка на комментарий
vse32 Опубликовано 20 июля, 2019 Поделиться Опубликовано 20 июля, 2019 Если честно, очень переживаю за бифуркацию 46. Думаю, через год вы там увидите неприятное разряжение. Тьфу-тьфу-тьфу конечно. Так что для меня тут более слабое звено 46, а не 45. Ссылка на комментарий
kuziy12 Опубликовано 20 июля, 2019 Автор Поделиться Опубликовано 20 июля, 2019 Если честно, очень переживаю за бифуркацию 46. Думаю, через год вы там увидите неприятное разряжение. Тьфу-тьфу-тьфу конечно. Так что для меня тут более слабое звено 46, а не 45.Там вроде все хорошо, просто сфотал так неудачно, чтобы бликов от монитора не было Ссылка на комментарий
vse32 Опубликовано 20 июля, 2019 Поделиться Опубликовано 20 июля, 2019 Вы не поняли. Я не про то сейчас мне видится из-за жёсткости или резкости. А из-за очень тонкого дна полости зуба, отделяющего ее от фурки. Обычно там уже все сильно инфицирование. Что впоследствии даёт проблемы - разряжение в бифуркации Ссылка на комментарий
vse32 Опубликовано 20 июля, 2019 Поделиться Опубликовано 20 июля, 2019 Сори за ошибки. С телефона. Ссылка на комментарий
kuziy12 Опубликовано 20 июля, 2019 Автор Поделиться Опубликовано 20 июля, 2019 (изменено) Вы не поняли. Я не про то сейчас мне видится из-за жёсткости или резкости. А из-за очень тонкого дна полости зуба, отделяющего ее от фурки. Обычно там уже все сильно инфицирование. Что впоследствии даёт проблемы - разряжение в бифуркацииПонял вас. Но тут аргумент: с такими зубами, как на первом снимке она ходила 1.5 года. Не знаю только в пользу он или нетP/s: в л.с написал вам Изменено 20 июля, 2019 пользователем kuziy12 Ссылка на комментарий
red_butler Опубликовано 21 июля, 2019 Поделиться Опубликовано 21 июля, 2019 Если честно, очень переживаю за бифуркацию 46. Думаю, через год вы там увидите неприятное разряжение. Тьфу-тьфу-тьфу конечно. Так что для меня тут более слабое звено 46, а не 45.+1 Ссылка на комментарий
ЛанаМ Опубликовано 22 июля, 2019 Поделиться Опубликовано 22 июля, 2019 Вопрос. У вас очень жёсткие снимки. На какой экспозиции делаете?А у меня наоборот снимки получаются слишком светлые и размытые. Рентген - Kodak2100, визиограф - Fimet. Там есть заводские настройки по группам зубов. Пробовала увеличить экспозицию взяв более высокую группу - снимать премоляры на молярах и т.д., но особого эффекта не было. Как с этим можно бороться? Ссылка на комментарий
Рекомендуемые сообщения
Для публикации сообщений создайте учётную запись или авторизуйтесь
Вы должны быть пользователем, чтобы оставить комментарий
Создать аккаунт
Зарегистрируйте новый аккаунт в нашем сообществе. Это очень просто!
Регистрация нового пользователяВойти
Уже есть аккаунт? Войти в систему.
Войти