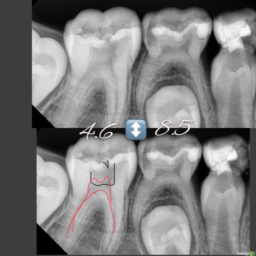
CRAZYDUCK Опубликовано 3 мая, 2018 Поделиться Опубликовано 3 мая, 2018 Обратимый пульпит 4.6 ,почти 8 лет ( в середине мая )сначала сделала силиконовый ключ .1.препарирование 2.вскрытый рог - кровотечение незначительное 3.спонтанный гемостаз (через 4-5 минут после вскрытия )4. ХГ 2% 5. МТА ( рутдент быстротвердеющий технодент ) застывает за 8-10 минут 6. Calcimol изолирующая, убираю излишки , Rondoflex 7. Реставрация с помощью силиконового ключа.8. Полировка .Наблюдаем - осмотр реставрации , витальность и RVG каждые 3-4 месяца. 6 Ссылка на комментарий
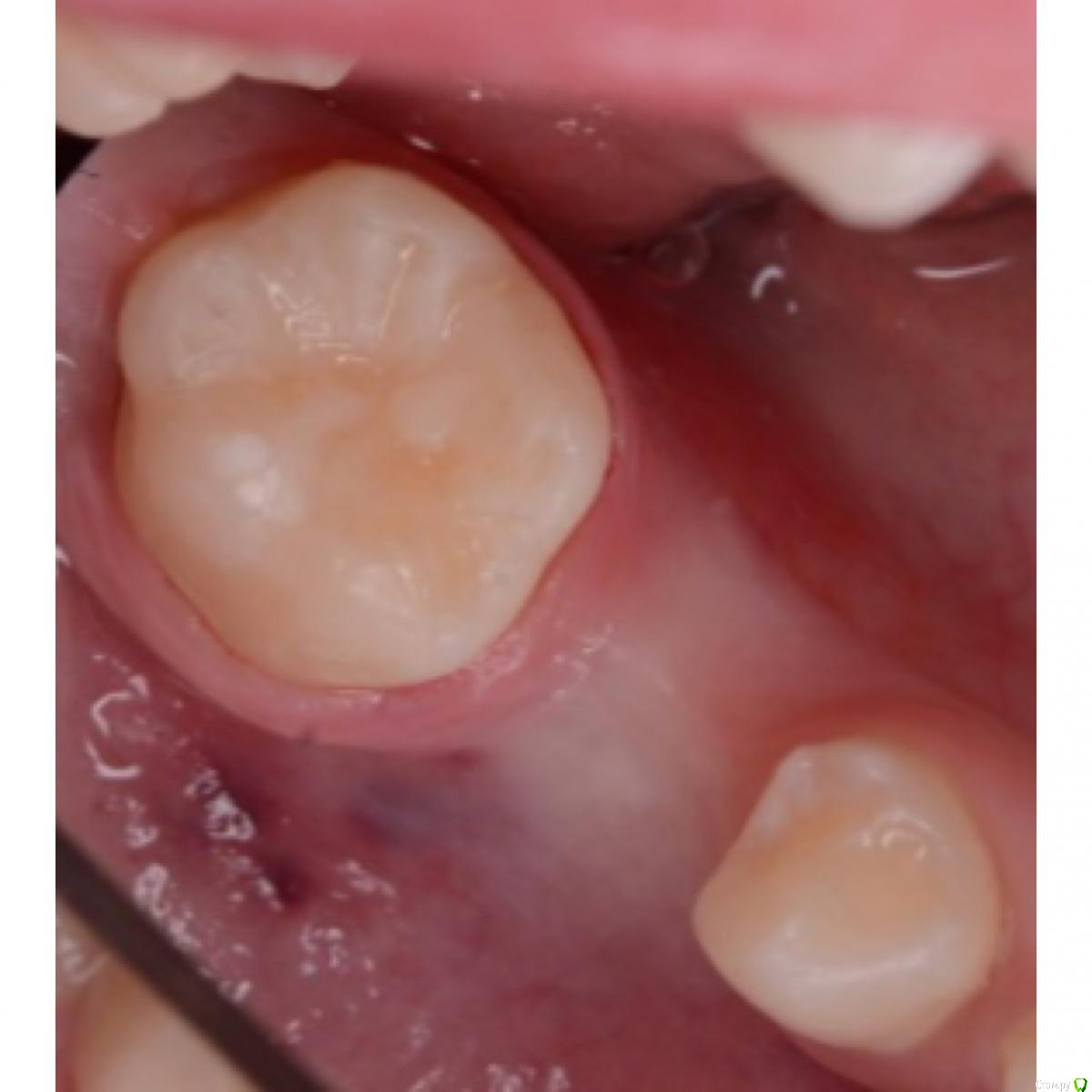
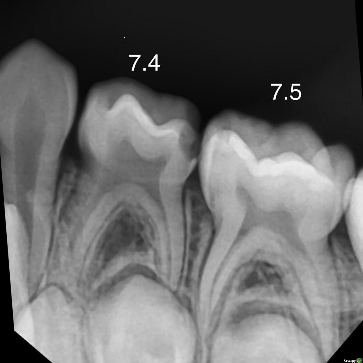
CRAZYDUCK Опубликовано 3 мая, 2018 Автор Поделиться Опубликовано 3 мая, 2018 Просто кариесули 7.4 и 7.5Обязательно убираем миловидную эмаль по контактам ( красной стрелкой на 7.5 указала )Обратите внимание , что rvg практически не визуализирует кариес медиально на 7.5 6 Ссылка на комментарий
CRAZYDUCK Опубликовано 4 мая, 2018 Автор Поделиться Опубликовано 4 мая, 2018 Слушайте , ребят , я забыла как фотки здесь скидывать . Видно вообще фото ? Я с телефона вижу , а с ноута -нет Ссылка на комментарий
Monkey Опубликовано 4 мая, 2018 Поделиться Опубликовано 4 мая, 2018 Слушайте , ребят , я забыла как фотки здесь скидывать . Видно вообще фото ? Я с телефона вижу , а с ноута -нет все видно Ссылка на комментарий
CRAZYDUCK Опубликовано 4 мая, 2018 Автор Поделиться Опубликовано 4 мая, 2018 все видно ок Ссылка на комментарий
krokomot Опубликовано 4 мая, 2018 Поделиться Опубликовано 4 мая, 2018 немного с десной прихватили клампом Ссылка на комментарий
CRAZYDUCK Опубликовано 5 мая, 2018 Автор Поделиться Опубликовано 5 мая, 2018 (изменено) Осложнённый кариес , 7 лет . Лечение обратимого пульпита 6.5 , удаление 6.4 . Удаляю в коффердаме, после лечения 6.5. Фиксатор места не нужен - 2.6 уже практически прорезался Изменено 5 мая, 2018 пользователем CRAZYDUCK 2 Ссылка на комментарий
CRAZYDUCK Опубликовано 5 мая, 2018 Автор Поделиться Опубликовано 5 мая, 2018 (изменено) немного с десной прихватили клампом Спасибо . Цель этих постов - учиться на своих недочетах , помогать учиться другим ( начинающим детским стоматологам). Буду выкладывать все как есть , те случаи , которые нравятся и не нравятся . Фотография в этом деле здорово помогает . Изменено 5 мая, 2018 пользователем CRAZYDUCK 2 Ссылка на комментарий
St. Опубликовано 5 мая, 2018 Поделиться Опубликовано 5 мая, 2018 У Вас отличные работы! 3 Ссылка на комментарий
CRAZYDUCK Опубликовано 5 мая, 2018 Автор Поделиться Опубликовано 5 мая, 2018 (изменено) https://radikal.ru/video/A9NobSl7D8k На заметку «взрослым» коллегам . Если Вам удалось вылечить одного-двух детей ( чаще родственники -знакомые ), но детский приём не профильный для Вас ,то не спешите с выводами ( типа детей лечить легко.Дети разные .Дима ,8 лет. Кариес 4.6 - вообще ничего сложного . Но❗️❗️❗️ на видео Дима собран , до видео - три раза переодевал очки ( один раз «вверх ногами» Изменено 5 мая, 2018 пользователем CRAZYDUCK 5 Ссылка на комментарий
krokomot Опубликовано 5 мая, 2018 Поделиться Опубликовано 5 мая, 2018 Считаю за прием детей надо брать в 2 раза больше, ибо психологически очень сложно. 5 Ссылка на комментарий
CRAZYDUCK Опубликовано 5 мая, 2018 Автор Поделиться Опубликовано 5 мая, 2018 Сложно у меня с загрузкой - то текст не весь , то фото не все - все желание пропадает чем-то делиться ;( Ссылка на комментарий
CRAZYDUCK Опубликовано 5 мая, 2018 Автор Поделиться Опубликовано 5 мая, 2018 (изменено) Про Диму дубль три ;/Дети разные .Дима ,8 лет. Кариес 4.6 - вообще ничего сложного . Но❗❗❗ на видео Дима собран , до видео - три раза переодевал очки ( один раз «вверх ногами» ), пытался удобнее устроиться в кресле , уронил пульт от телека , жонглировал мячом , поправлял лампу установки , пытался потрогать пальцами резиновый платок и зуб ( за что «коварная» Оксана Сергеевна брызнула водой в этот палец из пустера - Дима такой «подлости» от меня не ожидал и секунд на 30 успокоился . Но потом , ему это понравилось и теперь уже специально пытался вертеть пальцами , чтобы снова его облили водой . Если вы видите на фото порванный платок ( коффердам), не совсем по оси установленный кламп - не спешите с выводами . Здесь я два раза кламп поправляла . А Алина ( ассистент)чуть с пальцами не попрощалась . Всем добра . Изменено 5 мая, 2018 пользователем CRAZYDUCK 3 Ссылка на комментарий
CRAZYDUCK Опубликовано 5 мая, 2018 Автор Поделиться Опубликовано 5 мая, 2018 У Вас отличные работы! спасибо Ссылка на комментарий
CRAZYDUCK Опубликовано 5 мая, 2018 Автор Поделиться Опубликовано 5 мая, 2018 По поводу фото - очень хочется делать качественные , но пока учусь .Тут кариесуля на 6.3 . Ариша , почти 7 лет . Коронку на 6.4 раньше установили .С Аришей мы мечтали - вот бы придумать такую конфету специальную -стоматологическую , нужно зуб лечить - съел у стоматолога конфету и здоров . Не надо щеку «морозить», десенка потом не болит , эээх, Мечты.... 4 1 Ссылка на комментарий
CRAZYDUCK Опубликовано 6 мая, 2018 Автор Поделиться Опубликовано 6 мая, 2018 Считаю за прием детей надо брать в 2 раза больше, ибо психологически очень сложно.Ответ мой будет в духе «знали куда шли» Каждому своё , я очень хирургов -стоматологов уважаю , мне их труд кажется нереально сложным . А Детская Стоматология современная может быть очень комфортной и ненапряжной , дело в подходе и в оснащении клиники ( Седация , наркоз и тд).Поэтому в «детстве» оаботают врачи , которым это подходит . 1 Ссылка на комментарий
krokomot Опубликовано 6 мая, 2018 Поделиться Опубликовано 6 мая, 2018 Наркоз - это работа с телом, а не с ребенком, я говорю про работу с детьми без применения хим препаратом. Считаю нормальным именно такую работу, а наркоз как крайнюю необходимость. Только безразличному человеку может быть всё равно, остальные переживают вместе с ребенком. Как сделать так что бы было не больно и не страшно, вот это искусство. 2 Ссылка на комментарий
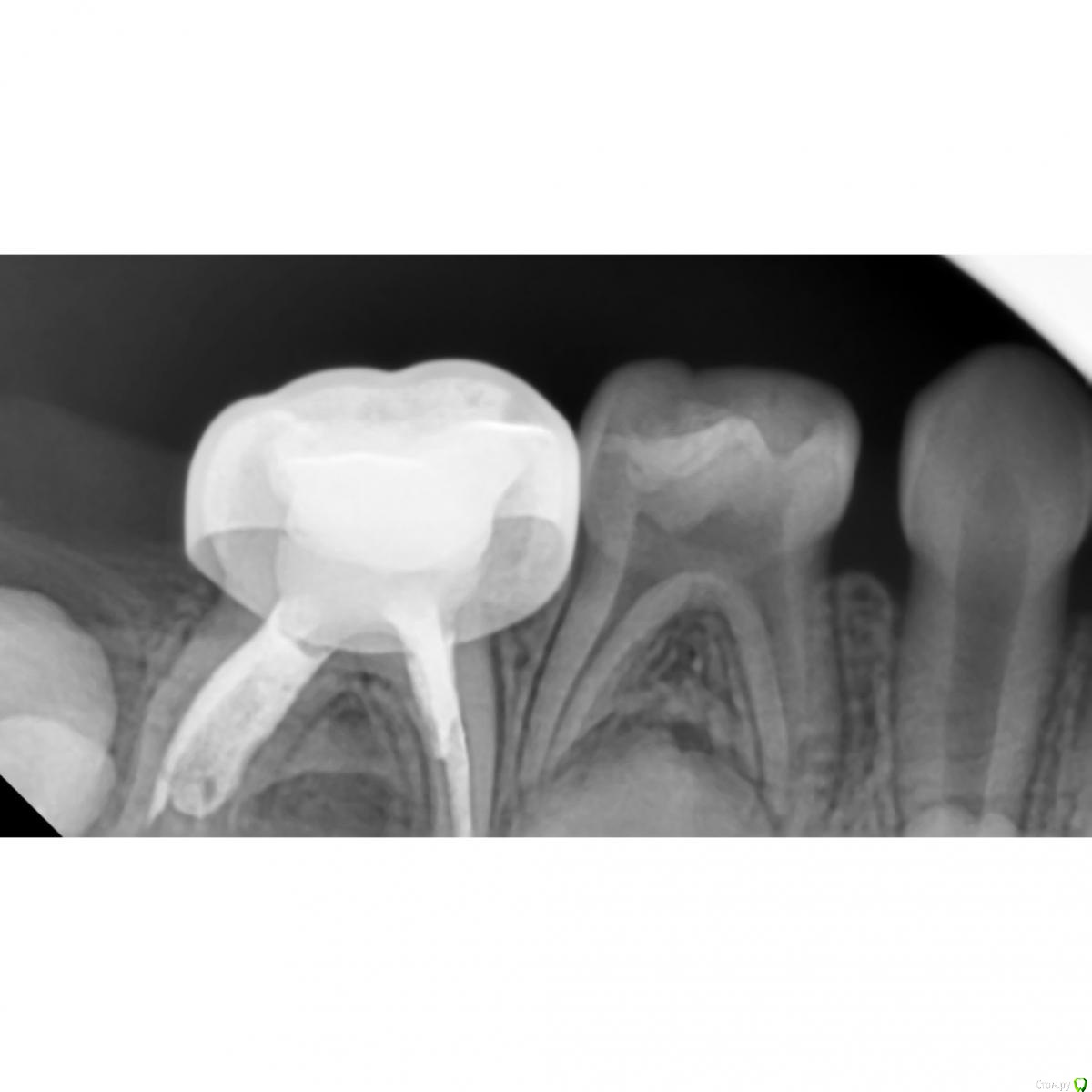
CRAZYDUCK Опубликовано 7 мая, 2018 Автор Поделиться Опубликовано 7 мая, 2018 (изменено) Лечение пульпита ; 6.4 необратимый , 6.5 обратимый .Продолжительность 1:15 час ( с момента входа в кабинет и до прощания )6.4-каналы -протейпер дентсплай Sx, ручные инструменты 25.02, гипохлорит 3,2%, пломбирование каналов Йодотин( отличный аналог метапекса , который всегда идёт из канюли в отличии от метапекса ), восстановление культи СИЦ, коронка 3М ESPE стальная .6.5 - ампутация , ХГ2%, спонтанный гемостаз , рутдент быстротвердеющий ( МТА), изоляция Calcimol, реставрация Charisma. Все лечение в одно посещение - долго для ребёнка 4 лет , но так лучше . Пришла к такому методу работы относительно недавно .Больше нравится работать таким образом - 2-3 рядом стоящих зуба в одно посещение . В этот раз было уже не до фото . Для начинающих коллег на rvg выделила полости кариозные и пульпарные полости. Изменено 7 мая, 2018 пользователем CRAZYDUCK 4 Ссылка на комментарий
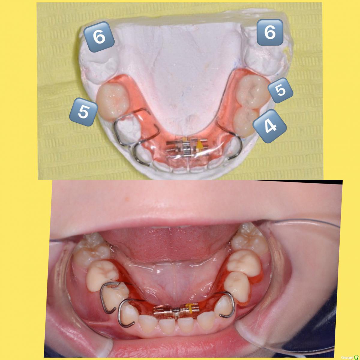
CRAZYDUCK Опубликовано 7 мая, 2018 Автор Поделиться Опубликовано 7 мая, 2018 Немного о фиксаторах места после преждевременной потери временных моляров . Каждый случай индивидуален , выбор конструкции порой сложен и на мой взгляд роль родителей в адаптации ребёнка к фиксатору места очень важна . В случае преждевременной потери 5 временных ( вторые временные моляры) фиксация места нужна всегда ! Если 6 зубы ещё не прорезались , то объясняем родителям стратегическую важность регулярных осмотров , периодичность осмотров зависит от предполагаемого времени прорезывания 6 зуба . Если 6 зубы уже есть в полости рта , то сразу изготавливаем фиксатор места ( несъёмный в приоритете ).Если же потеряли 4 временные ( первые молочные моляры), то большая вероятность , что медиального смещения 6 и 5 временного не произойдёт ( из своего опыта могу сказать , что случаи с выраженным дефицитом места - исключение). В том случае , если 4 временный потеряли , а 6 постоянный ещё не показался , то я выбираю тактику наблюдения каждый месяц ( опять же , если нет выраженного дефицита места ). 3 Ссылка на комментарий
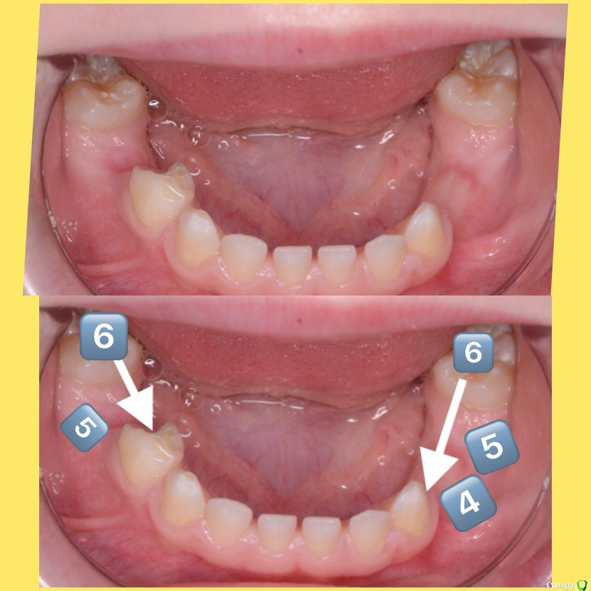
CRAZYDUCK Опубликовано 7 мая, 2018 Автор Поделиться Опубликовано 7 мая, 2018 И вариант несъёмного фиксатора , здесь видно , что 6 зуб уже хорошо так вперёд проехался . Но не забываем , что ширина временных 5 зубов больше ширины постоянных 5 зубов примерно на 2-2,5 мм. 4 Ссылка на комментарий
CRAZYDUCK Опубликовано 10 мая, 2018 Автор Поделиться Опубликовано 10 мая, 2018 Кариес 1.6 , ребёнок 11 лет . Коффердам порвала , контакт заполировала . 5 Ссылка на комментарий
CRAZYDUCK Опубликовано 12 мая, 2018 Автор Поделиться Опубликовано 12 мая, 2018 Вероничке 4,5 годика . Очень веселая и контактная девчушка ( такой пирожочек сладенький , булочка 5 Ссылка на комментарий
CRAZYDUCK Опубликовано 12 мая, 2018 Автор Поделиться Опубликовано 12 мая, 2018 К предыдущему посту Но предстоящее лечение 8.5 все же сложное и это первый опыт . Как он пройдёт ? Не испугается ли онемения ? «Высидит» ли за один раз все ? Старшая сестричка Вероники очень боится лечить зубы ( с третьего визита позволила только почистить зубы ) . Был Негативный опыт , может повезёт и покажу и сестричку .Вероника молодцом ! Только устала , но выбор подарка после лечения ее взбодрил .Теперь по делу - экстирпация во временных зубах - это глубокая или очень глубокая ампутация. Наша задача удалить нерв , не выходя за апекс временного ( примерно на 2/3 длины канала ), моем гипохлоритом (!!!!) , сушим пылесосом ( можно одеть канюлю от метапекса - метапасты на насадку пылесоса и просушить в канале ( я ещё досушиваю бумажными пинами).Апекслокатор - не нужен ! Главное , чтобы из канала не кровило и было сухо . Инструментальная обработка Sx ( устьевик), потом ручными ( я чаще до 25.02 максимум прохожу ),пломбирую пастой Йодотин ( аналог метапекса), проверяем вне полости рта - идёт ли паста из канюли - вводим в устье , аккуратно выдавливаем - появилась паста в устье - начинаем вытягивать канюлю из канала ( одновременно выдавливая пасту ). Делаем то же самое с другими каналами и убираем излишки . Я перекрываю кальцимолом устья , под коронку восстанавливаю IRM. Фиксация Коронки без коффердама . Излишки цемента из межзубных промежутков убираю флоссом, посередине нитки делаем узелок , чтобы он помог вывести излишки . Фиксирую на айрекс цем .( с дёсны излишки цемента не убрала - устала Вероничка). Ссылка на комментарий
crown Опубликовано 14 мая, 2018 Поделиться Опубликовано 14 мая, 2018 А что пломбу не поставили? Ссылка на комментарий
CRAZYDUCK Опубликовано 14 мая, 2018 Автор Поделиться Опубликовано 14 мая, 2018 А что пломбу не поставили?Стенки тонкие , не простоит реставрация долго . Лучше лечить один раз временный зуб . Ссылка на комментарий
Рекомендуемые сообщения
Для публикации сообщений создайте учётную запись или авторизуйтесь
Вы должны быть пользователем, чтобы оставить комментарий
Создать аккаунт
Зарегистрируйте новый аккаунт в нашем сообществе. Это очень просто!
Регистрация нового пользователяВойти
Уже есть аккаунт? Войти в систему.
Войти