колесников Опубликовано 25 октября, 2017 Автор Поделиться Опубликовано 25 октября, 2017 Да 1 Ссылка на комментарий
St.A Опубликовано 25 октября, 2017 Поделиться Опубликовано 25 октября, 2017 (изменено) Если тут же в/м ввести?Т.е. есть ли преимущества именно местно? Или только анестезия в месте иньекции? Изменено 25 октября, 2017 пользователем St.A Ссылка на комментарий
колесников Опубликовано 26 октября, 2017 Автор Поделиться Опубликовано 26 октября, 2017 Можно и в/м,я так раньше поступал,но это давало не выраженный эффект ,да и пациенту дополнительный дискомфорт,особенно женщинам. Ссылка на комментарий
колесников Опубликовано 31 октября, 2017 Автор Поделиться Опубликовано 31 октября, 2017 Ещё раз о закрытии лунки нижних 3их моляров. В лунке 0.5 г графта ,Выделен ретромолярноязычный лоскут и зафиксирован вестибулярно. Края лунки сведены после мобилизации и ушиты двойными узловыми швами. Со слов пациентки болезненность только в день удаления,далее течение бессимптомное. Судя по желтизне кожных покровов шеи,была гематома.Швы удалены через неделю,отмечается расхождение краев,нижний лоскут стабилен,герметичность сохранена. Отправлена на домашнее долечивание с антисептическими повязками. Итого: 1 визит. 3 Ссылка на комментарий
Карен Аванесов Опубликовано 31 октября, 2017 Поделиться Опубликовано 31 октября, 2017 Кетгутом шейте, вообще осмотры не нужны, а если что, вызовут. Ссылка на комментарий
BORA Опубликовано 31 октября, 2017 Поделиться Опубликовано 31 октября, 2017 Ещё раз о закрытии лунки нижних 3их моляров. В лунке 0.5 г графта ,Выделен ретромолярноязычный лоскут и зафиксирован вестибулярно. Края лунки сведены после мобилизации и ушиты двойными узловыми швами. Со слов пациентки болезненность только в день удаления,далее течение бессимптомное. Судя по желтизне кожных покровов шеи,была гематома.Швы удалены через неделю,отмечается расхождение краев,нижний лоскут стабилен,герметичность сохранена. Отправлена на домашнее долечивание с антисептическими повязками. Итого: 1 визит.Здравствуйте.Хороший метод,спасибо за кейс.Вы пробовали использовать грануляционную ткань,таким же методом,которая образуется в дистальной области лунки при хроническом воспалении? Ссылка на комментарий
колесников Опубликовано 31 октября, 2017 Автор Поделиться Опубликовано 31 октября, 2017 Спасибо за совет,но я не двое из ларца ,чтобы по первому требованию являться с одного конца Москвы на другой. Мне как раз нужна 100% уверенность что у пациента все впорядке,чтобы не дергаться по пустякам,у меня 5 клиник работе. Так что кетгут не наш метод. 1 Ссылка на комментарий
колесников Опубликовано 31 октября, 2017 Автор Поделиться Опубликовано 31 октября, 2017 Нет я старомоден в отношении грануляций,обычно все иссекаю и оболочку фолликула вылущиваю. Ссылка на комментарий
Santi Опубликовано 10 ноября, 2017 Поделиться Опубликовано 10 ноября, 2017 По кетгуту абсолютно согласен. По политике клиник в которых работаю , большая часть из пациентов - страховые, как итог по несколько нижних 8-ок каждый день. Рассекаю зуб Кометовскими борами для турбинки, очень нравятся, острые и живут долго.Всегда почти мобилизация язычного лоскута и слегка ретромолярно, ушиваю Кетгутом (опять же почти всегда получается ушиться наглухо), возвращались всего раза 2 за год и то из-за несоблюдения рекомендаций. В лунке Альвостаз, больше ничего не кладу. 1 Ссылка на комментарий
колесников Опубликовано 10 ноября, 2017 Автор Поделиться Опубликовано 10 ноября, 2017 (изменено) Я тут уже писал, у меня убеждение,если пациент не пришёл на осмотр,у него все плохо и он пошёл куда ещё. Практика показывает,что первично наглухо ушитая лунка 8ки,через пару дней уже не является таковой,ткани не стабильны. Изменено 10 ноября, 2017 пользователем колесников 1 Ссылка на комментарий
Santi Опубликовано 10 ноября, 2017 Поделиться Опубликовано 10 ноября, 2017 Я тут уже писал, у меня убеждение,если пациент не пришёл на осмотр,у него все плохо и он пошёл куда ещё. Практика показывает,что первично наглухо ушитая лунка 8ки,через пару дней уже не является таковой,ткани не стабильны.В первые месяцы тоже вёл "статистику" и приглашал на повторный осмотр через 7 дней большую часть пациентов, хотя бы тех что посложнее) по итогу бросил это дело , благо есть телефон на тот "исключительный" случай. Кстати, согласен, что немного расползается, у меня процентов 20-25, но как видно не критично ) Ваши убеждения сформированы долгой практикой и помогают крепче спать, я думаю это главное Ссылка на комментарий
Irouil Опубликовано 12 ноября, 2017 Поделиться Опубликовано 12 ноября, 2017 Блин, только фоточку до посеял где-то. Тут язычно соеденительнотканный лоскут, щечно-дистально мышечный. Альвостаз в кость. Две с половиной недели. Ссылка на комментарий
Doctor Vlad Опубликовано 12 ноября, 2017 Поделиться Опубликовано 12 ноября, 2017 Рассекаю зуб Кометовскими борами для турбинки, очень нравятся, острые и живут долго. Поделитесь чем пилите каталожный номер там... алмазы NTI в таком экстримальном режиме как у меня долго не живут) Ссылка на комментарий
Irouil Опубликовано 12 ноября, 2017 Поделиться Опубликовано 12 ноября, 2017 Нет я старомоден в отношении грануляций,обычно все иссекаю и оболочку фолликула вылущиваю.Почему? Ссылка на комментарий
Irouil Опубликовано 12 ноября, 2017 Поделиться Опубликовано 12 ноября, 2017 Можно и в/м,я так раньше поступал,но это давало не выраженный эффект ,да и пациенту дополнительный дискомфорт,особенно женщинам.Внутримышечно местно как вариант) рядом жевалочка. Сосудов, опять таки, больше. Ссылка на комментарий
Santi Опубликовано 12 ноября, 2017 Поделиться Опубликовано 12 ноября, 2017 (изменено) Я остановился на синих, изредка пользуюсь зелеными, но колоссальной разницы нету , чуть погрубее.Есть длинные и короткие , берите оба. Алмазами уже не пользуюсь давно , но рассечение коронки этим бором уходит меньше минуты времени. Изменено 12 ноября, 2017 пользователем Santi Ссылка на комментарий
Doctor Vlad Опубликовано 13 ноября, 2017 Поделиться Опубликовано 13 ноября, 2017 Алмазами уже не пользуюсь давно , но рассечение коронки этим бором уходит меньше минуты времени. тонковатые мне кажется Ссылка на комментарий
Santi Опубликовано 13 ноября, 2017 Поделиться Опубликовано 13 ноября, 2017 тонковатые мне кажетсяТолще и не надо) Ссылка на комментарий
колесников Опубликовано 1 апреля, 2018 Автор Поделиться Опубликовано 1 апреля, 2018 (изменено) Бытует мнение,что капсулу фолликула ретенированой 8ки надо удалять . полностью и тщательно. Аргументов я уже не помню,вроде бы как она стремительно гранулирует,затрудняя регенерацию лунки и кажется что то подобное было у меня в начале практики,что я поверил в эту теорию. Но капсула из этого клин случая ,своей плотностью ,эластичностью и крепостью прикрепления язычно,толкнула меня на эксперимент использовать ее в качестве покровного материала. Протокол был обычный :сепарация и экстракция моляра,графт в лунку (1 г), далее вместо ретромолярно язычного лоскута-капсула фолликула (не фиксировалась,т.к. легла без натяжения) ,края сопоставлены и ушиты. Течение без симптомное. Через неделю: открывание рта не затруднено, слизистая без признаков воспаления. Прогнозируемо щелевидное расхождение краев в первой трети,но при зондировании все плотно и эпителизировано. Как обычно 1 визит,но течение без сопутствующих дискомфортных ощущений. Случай единичный,но результат мне понравился,если будут соответствующие условия- стану использовать Изменено 1 апреля, 2018 пользователем колесников 2 Ссылка на комментарий
Irouil Опубликовано 2 апреля, 2018 Поделиться Опубликовано 2 апреля, 2018 (изменено) Если капсула есть всегда ей пользуюсь.Только не "вместо", а "вместе") Изменено 2 апреля, 2018 пользователем Irouil 2 Ссылка на комментарий
колесников Опубликовано 4 апреля, 2018 Автор Поделиться Опубликовано 4 апреля, 2018 Еще вариант перекрытия графта -фиброзные грануляции однтогенного очага 1 Ссылка на комментарий
Kazankov.Egor Опубликовано 2 июня, 2018 Поделиться Опубликовано 2 июня, 2018 Ещё раз о закрытии лунки нижних 3их моляров. В лунке 0.5 г графта ,Выделен ретромолярноязычный лоскут и зафиксирован вестибулярно. Края лунки сведены после мобилизации и ушиты двойными узловыми швами. Со слов пациентки болезненность только в день удаления,далее течение бессимптомное. Судя по желтизне кожных покровов шеи,была гематома.Швы удалены через неделю,отмечается расхождение краев,нижний лоскут стабилен,герметичность сохранена. Отправлена на домашнее долечивание с антисептическими повязками. Итого: 1 визит.Откуда начинаете выкраивать лоскут? Как избежать травмы язычного нерва? Ссылка на комментарий
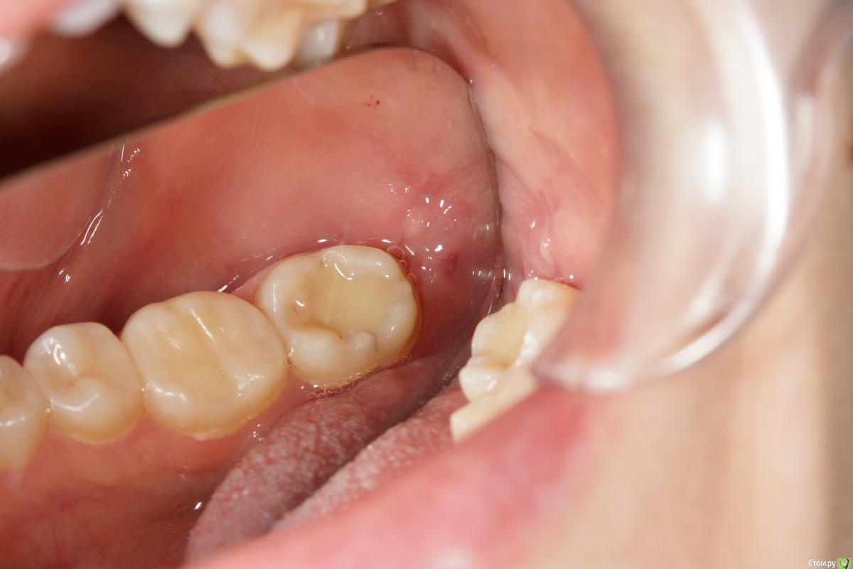
Irouil Опубликовано 25 июля, 2018 Поделиться Опубликовано 25 июля, 2018 Откуда начинаете выкраивать лоскут? Как избежать травмы язычного нерва?Этого?) 5 Ссылка на комментарий
колесников Опубликовано 26 июля, 2018 Автор Поделиться Опубликовано 26 июля, 2018 (изменено) Рассекаете первично поверхностно ,от края 7ки и назад по складке. Все как обычно чтобы визуализировать 8 ку,но разрез поверхностный для расщепленного лоскута. Раскрыли. Далее варианты, определяете где у вас «подушка» из прикреплённых тканей. Выделяете ее заходя вестибулярно, язычно расщепляете. Дистально-язычно не углубляетесь. Если получился короткий лоскут,мобилизуете в основании,он хорошо тянется.Вчера была Пациентка с тонким биотипом, ни ретромолярно ни язычно не было ничего что можно было выделить. Расщепил вестибулярный лоскут,выделил надкостницу и перекинул ее лоскутом язычно. В общем импровизируйте,но про анатомию не зыбавайте. Изменено 26 июля, 2018 пользователем колесников 1 Ссылка на комментарий
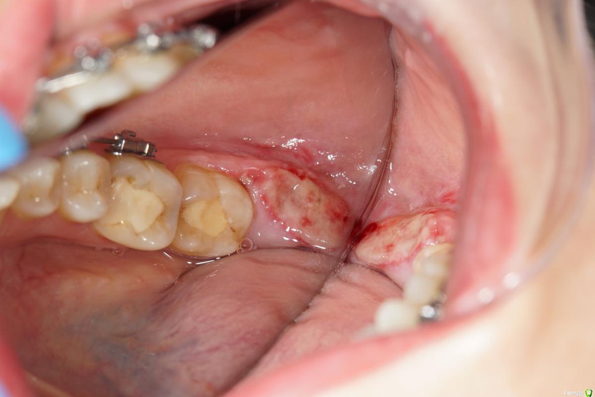
Irouil Опубликовано 26 июля, 2018 Поделиться Опубликовано 26 июля, 2018 Вот тут я не фоткал "до", так как не было никакого капюшона и не рассчитывал на первичное натяжение. Но язычная стенка лунки оказалась очень низкой, так что я даже не расщеплял, а повернул полнослойный. Два маленьких вертикальных разреза и расщепил надкостницу по язычному краю лунки. 1 Ссылка на комментарий
Рекомендуемые сообщения
Для публикации сообщений создайте учётную запись или авторизуйтесь
Вы должны быть пользователем, чтобы оставить комментарий
Создать аккаунт
Зарегистрируйте новый аккаунт в нашем сообществе. Это очень просто!
Регистрация нового пользователяВойти
Уже есть аккаунт? Войти в систему.
Войти