Популярный пост Kolchanov Опубликовано 11 марта, 2017 Популярный пост Поделиться Опубликовано 11 марта, 2017 (изменено) Товарищи, скажу я вам...........Вкратце. Может я где-то что-то и приврал, надеюсь, кто еще был, поправят. Честно говоря немного прибалдел от уровня Доктора. Очень, очень высоко! Приедет еще раз, пойду еще. 1) Фиссуры зондирует острым зондом и выпиливает все дотла. По факту у него уже пломбы, а не герметизация.2) Bite-wing у первичных пациентов всегда.3) Если кариес диагносцирован, то лечить его, пофиг какой он там. Эмали, дентина…4) Препарирует до твердого (или до вскрытия J ). CAD, СID… в топку. Кариес маркером не пользуется, проверяет острым зондом/экскаватором. Вычищает все дотла. Считает, что даже небольшое количество бактерий в дентине под пломбой вызывают хроническое воспаление в пульпе. С его слов у него на контроле где-то 500 вскрытий, не удивительно при таком подходе к очистке.5) Тщательная изоляция. Коффер порвался – меняет. Большое значение герметичности реставрации. под замену6) Критерии обратимости и необратимости.Гистологически, обратимый тот, что без абсцессов в пульпе, но клинически это понять нельзя, только предположить.Здесь был бы обратимый, если бы не удалил. Нет микробов в пульпе. Линия - граница обработки.Покрытие 27 лет назад. Dycal, СИЦ, композит. От дайкала одно воспоминание.7) Вскрылись. Размер перфорации, возраст и прочее не играют роли, важно только состояние пульпы, т.е. диагноз.Примеры перфораций.8) Кровотечение останавливает стерильным ватным шариком. Если останавливается, то покрытие, если нет, то пульпотомия или пульпэктомия.9) Использует гидроокись кальция (порошок), перекрывает Dycal или СИЦ. Потом восстановление Нередко под IRM, потом все убирает (через пару-тройку месяцев) и смотрит, что получилось. Порой приходится повторять! Использует и МТА, его тоже убирает.10) Наблюдение 6мес, 1 год, 2…. Все может провалиться и через месяц и через 24 года.Примеры проваловНиже - 24 года спустя появилась дуля. 11) Неравномерная облитерация полости зуба на RG (после покрытия) – признак текущего хронического воспаления, где-то остались микробы. Рекомендует эндо.12) Мостик который образуется – это не дентин! И одонтобласты не регенерируют и новые не образуются. Что это такое он и сам не знает, но раз это твердые ткани, то и наплевать.Вот фиолетовое это дентинные опилки вмурованные в розовую ткань бог знает кем сформированную.13) Пульпотомия в зубах с несформированной верхушкой и в сформированных, при подозрении на частичное поражение коронковой пульпы. Иссекается стерильным алмазным бором часть пульпы, гидроокись, временная пломба на 90 дней, после повторное раскрытие, оценка результата, восстановление в случае формирования твердых тканей. Гипохлоритом можно мыть, можно не мыть, если мыть, то 0,5-1%.14) В апикальной части пульпа чаще витальна, чем нет.15) Периапикальные поражения возникают по причине поступления токсинов микробов с током крови, а не самих бактерий.16) За апикальные расширения в полностью некротических случаях. Надо механически отодрать биопленку и срезать инфицированный дентин. На ирриганты надежды мало.17) Биопленка на поверхности в 6% случаев.Синенькие пид@расы18) Обработку проводить нежно, краун-даун. Чередовать с H-файлом, чтобы посмотреть докуда распространяется некроз.19) Патенси в витальных кейсах не колоть, сохранять витальную пульпу в констрикции!Формирование еще большего сужения в констрикции за счет сохранения витальной пульпы. Изменено 11 марта, 2017 пользователем Kolchanov 31 Ссылка на комментарий
parallax Опубликовано 11 марта, 2017 Поделиться Опубликовано 11 марта, 2017 Константин, Ваш стиль изложения бесподобен. 2 Ссылка на комментарий
Fred Опубликовано 11 марта, 2017 Поделиться Опубликовано 11 марта, 2017 Последний пункт. А ведь как говорили, что патенси - самое важное что может быть в эндо, если нет патенси, значит случай провален! Патенси нужно всеми силами достигать, сидеть, крутить, тыкать, пока не будет патенси. И что? А то, что наконец-то кто-то из крутых заговорил, что патенси - это зло. А мне не верили 5 лет назад 7 Ссылка на комментарий
Ico Опубликовано 12 марта, 2017 Поделиться Опубликовано 12 марта, 2017 Костя спасибо за конспект,я уже и телефон достать боялся)) Ссылка на комментарий
Ico Опубликовано 12 марта, 2017 Поделиться Опубликовано 12 марта, 2017 (изменено) Патенси нужно всеми силами достигать, сидеть, крутить, тыкать, пока не будет патенси. И что? А то, что наконец-то кто-то из крутых заговорил, что патенси - это зло. А мне не верили 5 лет назад Не путайте патенси с идиотизмом!Он говорил про американцев которые делают петенси(рекапитуляцию) после каждой смены роторного инструмента! Изменено 12 марта, 2017 пользователем Ico Ссылка на комментарий
DmitrySH Опубликовано 12 марта, 2017 Поделиться Опубликовано 12 марта, 2017 Константин, большое спасибо! Ссылка на комментарий
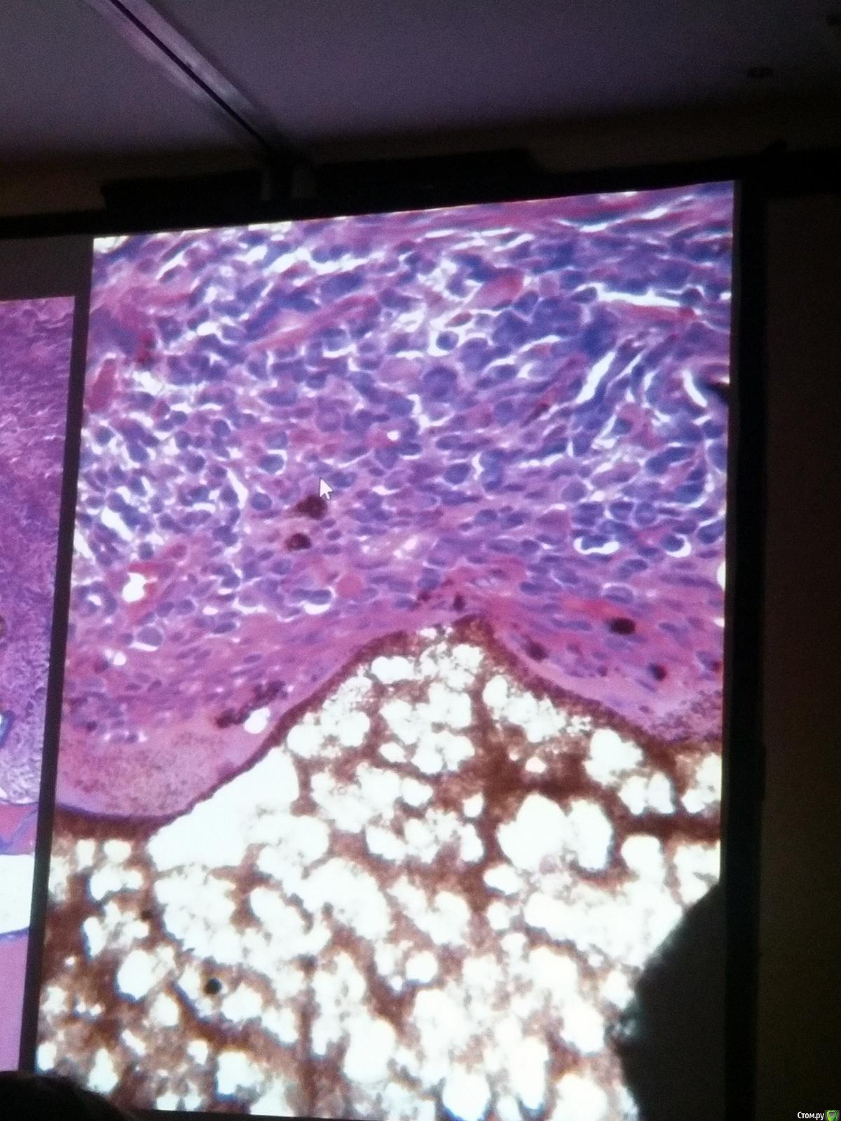
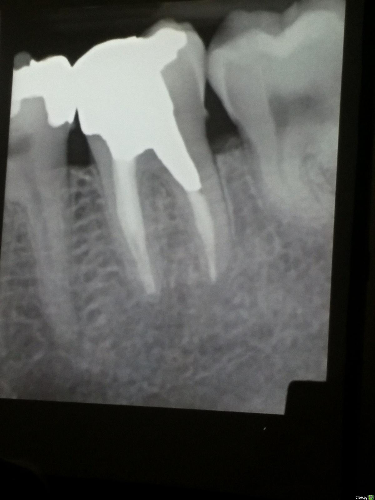
Популярный пост Kolchanov Опубликовано 12 марта, 2017 Автор Популярный пост Поделиться Опубликовано 12 марта, 2017 Второй день.1) Дезинфекция зуба и раббер дама перед работой. Вначале установка системы, потом протирка тампоном 30% перекиси, потом протирка всего йодинолом. Потом преп, потом повторение и только потом доступ к к/к. Все старые реставрации надо убрать, кариес убрать, противник лечения через коронку.2) Гидроокись на неделю. Замешивает на стерильном физрастворе. При необходимости повторяет. Т.е. в случае сохранения свища, симптоматики, экссудации, запаха. Если свищ не исчезает после трех смен временных вложений, то хирургия.3) Пломбирует латеральной компакцией. Лучше контроль длины обтурации.4) Высушивание канала стерильными штифтами, на рабочую длину минус 1мм. После высушивания штифт оставляется на 60с. в канале и должен выйти сухим.5) Определение рабочей длины. Витальные случаи. АЛ должен три раза дать одну и ту же картинку в определенной точке + проверка RG. Девитальные случаи. На АЛ полагаться сложно, т.к. из-за наличия резорбции констрикции может врать, больше ориентируется на RG.6) Использует ЦОЭ силеры. Резорбируются при незначительном выведении. Резорбируются в канале, позволяя закрыть апекс цементоподобной тканью. Вот так вот.Случаи исчезновения силера, как за пределами канала так и в канале7) Выведение материала (не важно какого) в большом объеме способно вызвать защитную реакцию тканей. Которая должна пройти спустя некоторое время. (иногда это будет 25 лет J Случай 1ый. Студенты наломали инструментов. Периодонтит на RG через год. Резекция и гистология. Бактерий не обнаружил. Да, маленькое замечание. Каждый препарат дает 500-600 срезов. И ищет он на всех. Объем работы, конечно….Случай 2й. Его собственный. Периапикальное поражение, обнаруженное на реколле через 10 лет зажило еще через 15.8) «Функционирующий зуб» считает результатом неприемлемым. Осталась инфекция с которой надо что-то делать. То, что бактерий можно замуровать в дентинных трубочках и под пломбировочным материалом, считает неправильным. Продукты метаболизма один фиг будут просачиваться и могут поддерживать реакцию воспалительную.Случай. Синее – маленькая кучка микробов, предположительно, препятствовавших заживлению очага.9) Биопленка на поверхности корня может принимать вид кальцификатов (камней) и тут уже только хирургия в помощь. При длительном существовании свищевого хода, например.Черное - это камни вокруг апикального отверстия. И гистология их с кучей синих микробов.Здесь камни на фуркации и отсутствие заживления и свищ даже после ретроградной обработки и пломбировки.А здесь вообще чертова уйма камней. И зацените разветвление канала в этом боковом резце (последнее фото препарата). 10) Реваскуляризация.В некротических случаях дентина не образуется, т.к. одонтобластов нет и не будет новых. Образуется та самая бог знает какая ткань, которая даже и с корнем не связана может быть. Суть здоровый дентикль-петрификат. А в витальных это не реваскуляризация, а обычное формирование корня. Так что нечего тут.11) Трещины дентина.Советует расшивать, братья и сестры. Без фанатизма, если нет симптоматики, но, по возможности максимально. Если есть симптоматика, то там уже по обстоятельствам. Чертова уйма микробов там и ползет, ползет к пульпе. Надеюсь, что еще раз этот замечательный Доктор приедет. Схожу с удовольствием. 2 23 Ссылка на комментарий
Каплан Опубликовано 13 марта, 2017 Поделиться Опубликовано 13 марта, 2017 Костя, спасибо! 1 Ссылка на комментарий
sswalter Опубликовано 13 марта, 2017 Поделиться Опубликовано 13 марта, 2017 1) Фиссуры зондирует острым зондом и выпиливает все дотла. По факту у него уже пломбы, а не герметизация.2) Bite-wing у первичных пациентов всегда.3) Если кариес диагносцирован, то лечить его, пофиг какой он там. Эмали, дентина…4) Препарирует до твердого (или до вскрытия J ). CAD, СID… в топку. Кариес маркером не пользуется, проверяет острым зондом/экскаватором. Вычищает все дотла. Считает, что даже небольшое количество бактерий в дентине под пломбой вызывают хроническое воспаление в пульпе. С его слов у него на контроле где-то 500 вскрытий, не удивительно при таком подходе к очистке. Интересно ,ну выпилили мы этот пигментировнный дентин до белого плотного скрепучего . поставили чудо компазит и через 3-4 года развалится адгезив ( по исследованиям таких же ученных ) и второе посещение точно и наверняка будет не замена пломбы а пульпэктомия . и где же будет больше -не навреди? оставить плотный пигмент и позже поменять пломбу ИЛИ сделать эндо ? с одной стороны очень выгодно лечить кариес с экстерпацией пульпы ( но не все -супер эндодонтисты) а с другой стороны лично для своего зуба что бы выбрали многие доктора ? вобщем думаю сила в адгезии -которая не совершенна и над которой работают ученные . очень жаль что многие пациенты приходят не в стадии того самого фисурного кариеса для его герметизации . Ссылка на комментарий
катерина 81 Опубликовано 13 марта, 2017 Поделиться Опубликовано 13 марта, 2017 Костя,спасибо большое!!!очень интересно было Вас читать)))),впрочем,как и всегда.Эх,пойду книжку Рикуччи дочитаю. Ссылка на комментарий
zubolekar163 Опубликовано 10 апреля, 2017 Поделиться Опубликовано 10 апреля, 2017 (изменено) Больше всего в вебинаре Рикуччи меня убило то что он ЦОЭ силером пользуется.А кое кто нам тут про биокерамические силеры рассказывает Изменено 10 апреля, 2017 пользователем zubolekar163 Ссылка на комментарий
Fibez Опубликовано 11 апреля, 2017 Поделиться Опубликовано 11 апреля, 2017 Возвращаетесь к эндометазону? Ссылка на комментарий
zubolekar163 Опубликовано 11 апреля, 2017 Поделиться Опубликовано 11 апреля, 2017 Хм...в раздумьях) Ссылка на комментарий
Kolchanov Опубликовано 11 апреля, 2017 Автор Поделиться Опубликовано 11 апреля, 2017 Эндометазон он не советовал. Параформ, говорит, убрали, но придрался к дексаметазону. Вообще, я смотрю, по вопросам, людям хочется чтобы кто-то из авторитетов сказал уже, что вот я пломбирую с формалином каким-нибудь, вот статья, вот реколы. Очень, очень многих бы облегчило такое признание Мне иногда прямо грезится наяву, как появляется годная статья, какое-нибудь здоровое исследование, слепое и все-такое, 10 летнее, и, фигак, разница в 10% в пользу формалина. Ой-йой! Как бы напряглись ворота у многих. Как бы начали в интернете ан+ и формалин в котлах кипятить и кидать туда оппонентов. 6 Ссылка на комментарий
vse32 Опубликовано 11 апреля, 2017 Поделиться Опубликовано 11 апреля, 2017 Я считаю, что многие вещи в эндодонтии, если понимать суть проблемы, могут быть решены минимальным набором простых препаратов. Это я о лимонке, хлорке, перекиси и силлере и гутте. Нам просто нужно всю живность умертвить отмыть, и запаковать. И нечего скупать всю линейку хитрых септодонтовских бутылочек и баночек, что бы чувствовать себя супер доктором. Во всяком случае, именно такую мысль мне внушил Илья Мер. Ссылка на комментарий
Бардо Опубликовано 11 апреля, 2017 Поделиться Опубликовано 11 апреля, 2017 Нам просто нужно всю живность умертвить отмыть, и запаковать Как говорится, просто было на бумаге... 1 Ссылка на комментарий
annda Опубликовано 13 апреля, 2017 Поделиться Опубликовано 13 апреля, 2017 Когда речь о биопленке,отмыть не получается.И в микроскоп это прекрасно видно(Надо именно скрести.Я вообще пескострую рондофлексом полость зуба,жаль в каналах невозможно...Спасибо за сухой лекционный остаток,супер.Кстати,Биодентин на вскрытые точки и не очень точки ставила,через четыре -пять недель убирала(веренее,сам отваливался),там был реальный твердый мостик.Думала-заместительный дентин. 1 Ссылка на комментарий
ger_berra Опубликовано 13 апреля, 2017 Поделиться Опубликовано 13 апреля, 2017 В кариесологии почерпнула много важного для себя! В эндо убедилась в том,что всегда работала правильно. Также смутил момент с ЦОЭ силерами. Хотя и про эпоксидные силеры не было нареканий.Как я поняла,доктор Рикуччи боится эпителиальных островков Маляссе,дабы не случалось рождения радикулярных кист. А ЦОЭ силеры хорошо съедаются макрофагами.Но доказательная долгосрочная гистологическая и радиологическая база не оставила ни тени сомнения в высоком качестве работ доктора! Всем очень рекомендую поучиться у него! Ссылка на комментарий
annda Опубликовано 14 апреля, 2017 Поделиться Опубликовано 14 апреля, 2017 Первый свой аппарат для горячей конднсации гуттаперчи покупала в 2003м году, кажется, от Керра,к нему прилагался керровский же силер на основе цинкэвгенола, Пульп канал силер. Шикарнейший , кстати, силер ...И именно для вертикальной компакции. Ссылка на комментарий
crown Опубликовано 16 апреля, 2017 Поделиться Опубликовано 16 апреля, 2017 После девитализирующей пасты необходимо достигать патенси? Ссылка на комментарий
Kolchanov Опубликовано 16 апреля, 2017 Автор Поделиться Опубликовано 16 апреля, 2017 Он постепенно идет по каналу и смотрит, что выходит, если есть живая пульпа, то не колет. Ссылка на комментарий
Audutor Опубликовано 16 апреля, 2017 Поделиться Опубликовано 16 апреля, 2017 Любопытные исследования, единственное, мне не понятен смысл этих сендвичей с сиц и гидроокисью... ЦОЭ это как история с фосфат цементом) Потихоньку все возвращаються) Ссылка на комментарий
ger_berra Опубликовано 17 апреля, 2017 Поделиться Опубликовано 17 апреля, 2017 После девитализирующей пасты необходимо достигать патенси?Не надо девитализирующей пасты. 1 1 Ссылка на комментарий
crown Опубликовано 17 апреля, 2017 Поделиться Опубликовано 17 апреля, 2017 (изменено) Да и пульпита тоже не нужно, пусть с кариесом приходит). Интересно просто девит. до апексов все убивает? Изменено 17 апреля, 2017 пользователем crown Ссылка на комментарий
Fred Опубликовано 17 апреля, 2017 Поделиться Опубликовано 17 апреля, 2017 Патенси в половине случаев просто невозможно, если у вас АЛ пишит - это пролом апекса, а не следование по анатомическому пути. 1 Ссылка на комментарий
Рекомендуемые сообщения
Для публикации сообщений создайте учётную запись или авторизуйтесь
Вы должны быть пользователем, чтобы оставить комментарий
Создать аккаунт
Зарегистрируйте новый аккаунт в нашем сообществе. Это очень просто!
Регистрация нового пользователяВойти
Уже есть аккаунт? Войти в систему.
Войти