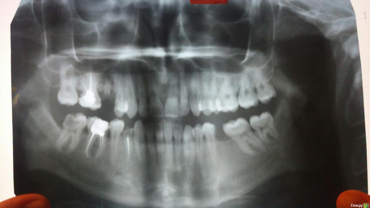
Krevetka Опубликовано 4 февраля, 2016 Поделиться Опубликовано 4 февраля, 2016 Коллеги, помогите пожалуйста с диагнозом. Или подскажите к какому специалисту направить...Есть пациент (не мой, просто вызвалась помочь ))) ) с жалобами на боль в нижней челюсти. Со слов пациента: сначала боль была в области уха, потом в нижней челюсти (под ухом), потом в области виска. боль имеет разлитый характер, пульсирующая, постоянная. Раньше болела только левая сторона, сейчас начинает болеть и правая. При жевании боль немного уменьшаеться. Утром болит меньше, вечером больше, во время физической нагрузки начинает пульсировать в ухе. пациент был на консультации в ЛОРа, челюстно-лицевого, стоматолога, ревматолога, невропатолога... точный диагноз так никто и не поставил. есть панорамный ртг (до лечения в стоматолога) Ссылка на комментарий
krokomot Опубликовано 5 февраля, 2016 Поделиться Опубликовано 5 февраля, 2016 может сиалоаденит проведите узи слюнных желёз Ссылка на комментарий
Елена Миллер Опубликовано 5 февраля, 2016 Поделиться Опубликовано 5 февраля, 2016 пульпит 47, обострение Ссылка на комментарий
ЕленаВалерьевна Опубликовано 5 февраля, 2016 Поделиться Опубликовано 5 февраля, 2016 а мне и 4.6 не нравится, ну и 4.7 наверняка пульпит, согласна с Еленой Миллер. и даже по описанию жалоб классические пульпитные боли. Ссылка на комментарий
annda Опубликовано 5 февраля, 2016 Поделиться Опубликовано 5 февраля, 2016 (изменено) Болит левая сторона от обострения пульпита в 47?Миофасциальная боль,триггерные точки надо искать в шее и жевательных мышцах.Справа пульпитный зуб есть.Болеть имеет право. Изменено 5 февраля, 2016 пользователем annda Ссылка на комментарий
red_butler Опубликовано 5 февраля, 2016 Поделиться Опубликовано 5 февраля, 2016 Санировать и суставы посмотреть. Бруксирует? Ссылка на комментарий
Krevetka Опубликовано 5 февраля, 2016 Автор Поделиться Опубликовано 5 февраля, 2016 панорама была сделана до лечения у стоматолога. со слов пациента, ротовая полость сейчас полностью санорована Ссылка на комментарий
red_butler Опубликовано 5 февраля, 2016 Поделиться Опубликовано 5 февраля, 2016 панорама была сделана до лечения у стоматолога. со слов пациента, ротовая полость сейчас полностью санорованаНужен новый снимок. 1 Ссылка на комментарий
Паращук Роман Опубликовано 5 февраля, 2016 Поделиться Опубликовано 5 февраля, 2016 А что с суставами? Хрустят? Триггерные точки проверяли? Ссылка на комментарий
Krevetka Опубликовано 5 февраля, 2016 Автор Поделиться Опубликовано 5 февраля, 2016 панорама была сделана до лечения у стоматолога. со слов пациента, ротовая полость сейчас полностью санорованакак Вам сказать.... полностью санирована.... Сегодня еще с ним списывались, выложеная панорама - это панорама "до", панорама "после" отличается тем, что на 38, 45, 46, 47 стоят пломбы. Эндо в 37 не делали, в 47 - пациент сам не знаетНачинает болеть правая сторона-сомневаюсь, что в 47 вылечен пульпит. В 38 тоже пульпит под вопросом.... 80% таких болей имеют стоматологическую этиологию. рекомендовала пациенту провести нормальную санацию полости рта. думаю, он в эти 80% попадает. если же нет-по рекомендации невропатолога- рентген сустава, возможно консультация нейрохирурга, возможно мрт головы. как-то так Ссылка на комментарий
Krevetka Опубликовано 5 февраля, 2016 Автор Поделиться Опубликовано 5 февраля, 2016 коллеги, спасибо за ответы ))) Ссылка на комментарий
Magomed Опубликовано 6 февраля, 2016 Поделиться Опубликовано 6 февраля, 2016 А что с суставами? Хрустят? Триггерные точки проверяли?подскажите пожалуйста что за Триггерные точки. Ссылка на комментарий
annda Опубликовано 6 февраля, 2016 Поделиться Опубликовано 6 февраля, 2016 http://forum.stom.ru/topic/17746-na-priyome-patcient-iz-gruppy-riska/page-8 Ищите на этой странице про миофасциальные боли Ссылка на комментарий
сирена Опубликовано 7 февраля, 2016 Поделиться Опубликовано 7 февраля, 2016 http://forum.stom.ru/topic/17746-na-priyome-patcient-iz-gruppy-riska/page-8Ищите на этой странице про миофасциальные болиАннда,мне кажется,Вы очень доходчиво описали этот синдром на стомате,можно перепостить? Ссылка на комментарий
Girl Опубликовано 9 февраля, 2016 Поделиться Опубликовано 9 февраля, 2016 У меня был похожий случай. Боли в области нижней челюсти, виска и сустава. Оказалось болела верхняя шестерка на этой же стороне, что облегчило искать причину. На боли в в/ч вообще не было жалоб. Ссылка на комментарий
annda Опубликовано 19 марта, 2016 Поделиться Опубликовано 19 марта, 2016 Аннда,мне кажется,Вы очень доходчиво описали этот синдром на стомате,можно перепостить?Только что увидела. Да, конечно.В пациентской тоже , ИМХО, из этой же оперы трагедия.http://forum.stom.ru/topic/32215-4-mesiatca-bolej-v-desne-i-net-diagnoza/Сейчас начнет зубы драть, начиная с нижнй правой семерки... Ссылка на комментарий
сирена Опубликовано 20 марта, 2016 Поделиться Опубликовано 20 марта, 2016 (изменено) Ну вот,скопировала все посты.Ссылку же нельзя давать Погуглите -Тревелл и Симонс,лечение миофасциальных болей... Я лично просто нахожу эти узлы и раздавливаю их,уходит 2-3 мин на это...Но это не в сильно запущенных случаях,а если только -только возникли(после лечения,удаления и т.п.)Я ищу и нахожу миофасциальные узлы в жевательных и кивательных мышцах.Иногда до лопаточных мышц даже дело доходит,но там просто показываю,что они есть и отправляю к мануальщикам или массажистам.А с узлами в жевательных через одного после удалений приходят,зубы мудрости рулят.Жалуются и жалуются,боль на стороне удаления,с иррадиацией в половину головы,по зубам,в глаз на половине удаления, с утра до ночи.Естественно ,с комментариями:"у меня инфекция,обезболивающие пью-не помогает").Садишь его,начинаешь пальпировать,плотно так,не жалеючи,находишь плотный ,катающийся тяж или просто плотный комок,очень болезненный,при надавливании на него-сразу та самая иррадиация,отражённая боль,начинают выть.Говорю-сидеть смирно,руки на колени(иногда пытаются за руку ухватить),и долго,медленно ,но сильно,начинаешь раздавливать этот комок(происходит ишемия больного участка за счёт компрессии и его разрушение ,образно).Минуты одна-две-три,и прямо под пальцами мышца расправляется,становится мягкой, эластичной.Боль уходит тут же на глазах.Техника так и называется-ишемическая компрессия(впервые описана Prudden в 80 м году,гугль в помощь). В принципе,на видео тоже идёт разрушение узла иглой,анестетик просто обезболивает этот процесс,у авторов,что я дала,это всё описано.Есть ещё книга-двухтомник "Миофасциальные боли",авторы те же,просто бестселлер.Там отдельная глава каждому отделу человеческого тела посвящена.Правда,голове не так много,но зато разобрана связь и дифдиагностика с дисфункцией ВНЧС..В книге описано несколько механизмов разрушения ТТ инъекционным способом.Но они применяли новокаин. Пы.сы.все стоматологи-просто скопище ТТ(триггерных точек) со всеми сопутствующими(ИМХО) И ещё пы.сы.Были пациенты,которые просили удалить нерв или зуб из-за этой дряни,совершенно здоровые.Лечила таким способом.Морфологически -это плотный болезненый мышечный комок(участок мышцы очень напряжён и укорочен).Этиологии и механизмам посвящено полкниги.По моим наблюдениям,основные причины у наших пациентов-длительное открывание рта(миостатическое растяжение мышц),спазм в ответ на проводниковую инъекцию в момент прохода иглы через ткани(боль),стресс перед,во время и после вмешательства,дефекты протезирования(очень часто маскируется под дисфункцию ВНЧС),гиперконтакты.Часто у бруксистов(одна пациентка-бруксистка четыре раза приходила ко мне только за этим,"покайфовать",как она говорила,потому как после раздавливания,по её словам,даже сон значительно улучшался.Потом ,видимо,сама приноровилась.http://www.100mat.ru/ubbimages/icons/cool.gif).Не так давно у меня прошёл случай с имплантатом.Поставила имплантат в область 22,непосредственно после удаления,ушила,времянку сделала типа мериленда,на это ушло немало времени(на приклейку).Через месяц звонит и жалуется,что болит в области имплантата и всё.Ничего не помогает.Постоперационно а/б пропила,нимесил пьёт,болит и всё(иногда до неврозов такая боль пациентов доводит),что делать? .Приходит,внешне всё нормально,ни отёка,ни гиперемии.Вот как бы кто поступил при таких жалобах?У меня по телефону первым делом мысли о периимлантите,на рентгене ещё после удаления лунка накладывается,вокруг имплантата всё выглядит не фонтан.То есть -удалять имплантат?А дело было в триггере,лечила,как писала,всё тут же в кресле прошло.Сейчас уже запротезирована.Так что цена вопроса иногда зашкалить может.http://www.100mat.ru/ubbimages/icons/frown.gifА в данном случае,был бы просто цимус,если бы имплантат удалила,а боли так и не прошлиНет,именно там, где болит, искать не нужно( жалуются на зубы,интактные часто, на боли в области глаза, в виске), а триггерные точки ( узлы) находятся в мышцах. В нашей области не очень большой выбор, где искать . Это жевательные мышцы( включая крыловидные) и мышцы шеи. Ищешь наложением рук и глубокой пальпацией в этих местах )Находишь плотный болезненный комок, он может быть подвижным, перекатываться под рукой. В общем , надо прижать его к твердой поверхности( как правило , к кости) и медленно , по нарастающей, давить. Изменено 20 марта, 2016 пользователем сирена 4 Ссылка на комментарий
annda Опубликовано 20 марта, 2016 Поделиться Опубликовано 20 марта, 2016 (изменено) Да,спасибо,я уже и забыла,где и кому я это писала )))Безусловно,всё это совмещаем с дифдиагностикой с основной,нашей,патологией.У тети по ссылке ,ИМХО,даже глубокие карманы из пальца высосаны,не то,что обострение хронического периодонтита в течение 4х месяцев... Изменено 20 марта, 2016 пользователем annda 1 Ссылка на комментарий
Girl Опубликовано 20 октября, 2016 Поделиться Опубликовано 20 октября, 2016 Сегодня обратилась пациентка с жалобами в обл в/ч слева21,22 интактны, 23 - 25 м/к мост, 26, 27 интактны.Показывает на отсутствующий 25, вроде как боль от туда. Экзостозы есть. Переходная незначительно отечна, пальпация - перкуссия б/б.На 22 контактная полость Подскажите,пожалуйста, что может быть? Ссылка на комментарий
krokomot Опубликовано 20 октября, 2016 Поделиться Опубликовано 20 октября, 2016 Сегодня обратилась пациентка с жалобами в обл в/ч слева21,22 интактны, 23 - 25 м/к мост, 26, 27 интактны.Показывает на отсутствующий 25, вроде как боль от туда. Экзостозы есть. Переходная незначительно отечна, пальпация - перкуссия б/б.На 22 контактная полость Подскажите,пожалуйста, что может быть?В шестерке дырка и кариес корня пятерки, гдеж интактные? Нужны снимки с читаемой переапикальной областью, на счет тройки тоже сомнения, сделайте более качественные снимки, зубов под мостом и смежных с ним зубов 2 Ссылка на комментарий
Рекомендуемые сообщения
Для публикации сообщений создайте учётную запись или авторизуйтесь
Вы должны быть пользователем, чтобы оставить комментарий
Создать аккаунт
Зарегистрируйте новый аккаунт в нашем сообществе. Это очень просто!
Регистрация нового пользователяВойти
Уже есть аккаунт? Войти в систему.
Войти