Kolchanov Опубликовано 3 марта, 2021 Автор Поделиться Опубликовано 3 марта, 2021 Можете зафотать свой "бор"? 1 Ссылка на комментарий
НадяЗуб Опубликовано 3 марта, 2021 Поделиться Опубликовано 3 марта, 2021 Бор thermacut называетсяА в чем именно его фишка? Он для термофильных изначально был? Чем он круче В таких ситуациях Костиной железяки ? Ссылка на комментарий
kramer Опубликовано 3 марта, 2021 Поделиться Опубликовано 3 марта, 2021 Чем он круче Ничем Ссылка на комментарий
НадяЗуб Опубликовано 3 марта, 2021 Поделиться Опубликовано 3 марта, 2021 Ничем То есть вы таким пользуетесь , и он тоже хорошо коагулирует трением? Ссылка на комментарий
andraks Опубликовано 6 марта, 2021 Поделиться Опубликовано 6 марта, 2021 Для этих целей использую "фальш бор". Ссылка на комментарий
ЛанаМ Опубликовано 7 марта, 2021 Поделиться Опубликовано 7 марта, 2021 Использую лазер для таких целей. Пациенты ни разу не жаловались. Ничего не назначаю. Ссылка на комментарий
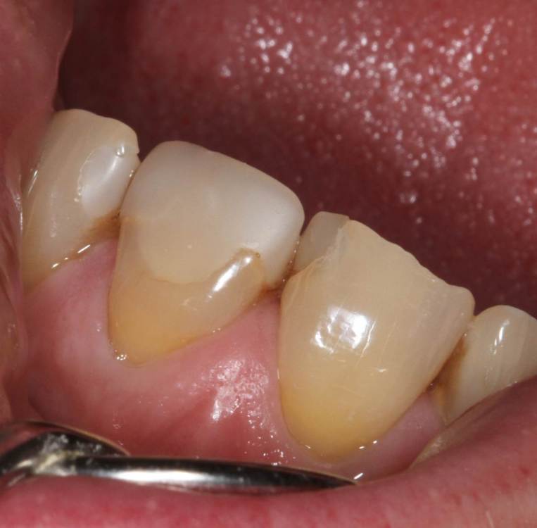
НадяЗуб Опубликовано 9 марта, 2021 Поделиться Опубликовано 9 марта, 2021 IMG_20210303_092429.jpgКонстантин , все работает отлично Доктора, спасибо за предложенные варианты 1 Ссылка на комментарий
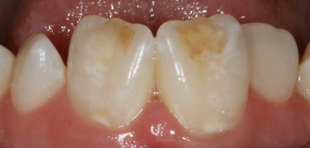
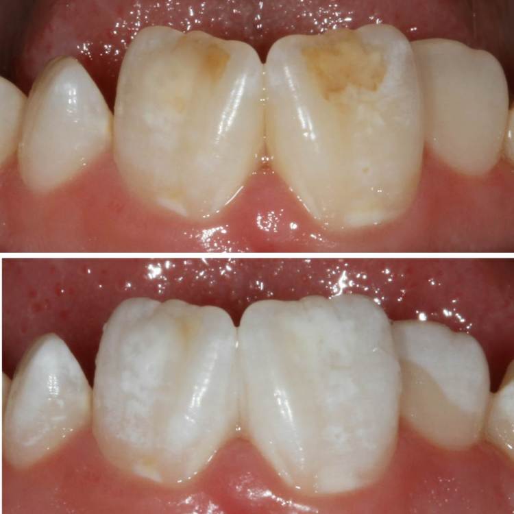
Sier10 Опубликовано 1 июня, 2021 Поделиться Опубликовано 1 июня, 2021 (изменено) Доктора, какая конструкция была бы наиболее верной в данной ситуации на ваш взгляд? Оверлей? Коронка? Изменено 1 июня, 2021 пользователем Sier10 Ссылка на комментарий
Sier10 Опубликовано 1 июня, 2021 Поделиться Опубликовано 1 июня, 2021 (изменено) Изменено 1 июня, 2021 пользователем Sier10 Ссылка на комментарий
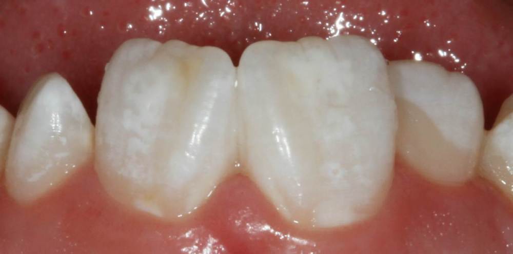
Kolchanov Опубликовано 17 июня, 2021 Автор Поделиться Опубликовано 17 июня, 2021 4 месяца. Пока всё путём. 3 Ссылка на комментарий
Dent32 Опубликовано 21 июня, 2021 Поделиться Опубликовано 21 июня, 2021 (изменено) 03.03.2021 в 09:29, Kolchanov сказал: Гладилку штопфер над спиртовкой греть и прижигать десневой край? И анестетик с адреналином Изменено 21 июня, 2021 пользователем Dent32 Ссылка на комментарий
Kolchanov Опубликовано 22 июля, 2021 Автор Поделиться Опубликовано 22 июля, 2021 Пришли за композитом, так мол сказали в другой клинике. Отговорил. На 21 маленько не добил, но светить сорок минут лампой обычной утомительно. В следующий раз как-нибудь... 3 Ссылка на комментарий
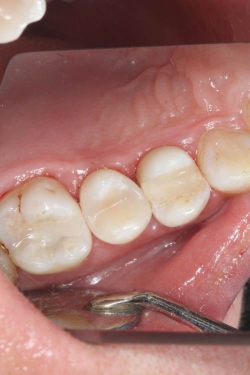
Kolchanov Опубликовано 29 сентября, 2023 Автор Поделиться Опубликовано 29 сентября, 2023 Значит, как сделать контакт на резцах где надо без всяких танцев. Нормальный, плотный, часто даже без клина. 3 1 Ссылка на комментарий
Kolchanov Опубликовано 29 сентября, 2023 Автор Поделиться Опубликовано 29 сентября, 2023 Моделируем тело свободно. Приклеиваемся к соседнему зубу точечно, там, где надо контакт. Как правило, ближе к режущему краю. Если прям приклеилось, то маленько гладилкой подразжали, вставили матрицу, а дальше и так ясно. 3 2 1 Ссылка на комментарий
Бардо Опубликовано 30 сентября, 2023 Поделиться Опубликовано 30 сентября, 2023 22 часа назад, Kolchanov сказал: Моделируем тело свободно. Приклеиваемся к соседнему зубу точечно, там, где надо контакт. Как правило, ближе к режущему краю. Если прям приклеилось, то маленько гладилкой подразжали, вставили матрицу, а дальше и так ясно. О, обязательно попробую. Спасибо за идею Ссылка на комментарий
Kolchanov Опубликовано 7 октября, 2023 Автор Поделиться Опубликовано 7 октября, 2023 (изменено) Изменено 7 октября, 2023 пользователем Kolchanov 8 3 Ссылка на комментарий
red_butler Опубликовано 10 октября, 2023 Поделиться Опубликовано 10 октября, 2023 @Kolchanov Круто Ссылка на комментарий
Kolchanov Опубликовано 19 октября, 2023 Автор Поделиться Опубликовано 19 октября, 2023 Когда имеем дело с воспалённой и кровоточащей десной, то, чтобы уменьшить вероятность появления кровищи в самый неподходящий момент, нанесите гель "Алюмогель" (Синий! Рыжий не покупайте), а потом уже одевайте коффер дам. 4 1 1 Ссылка на комментарий
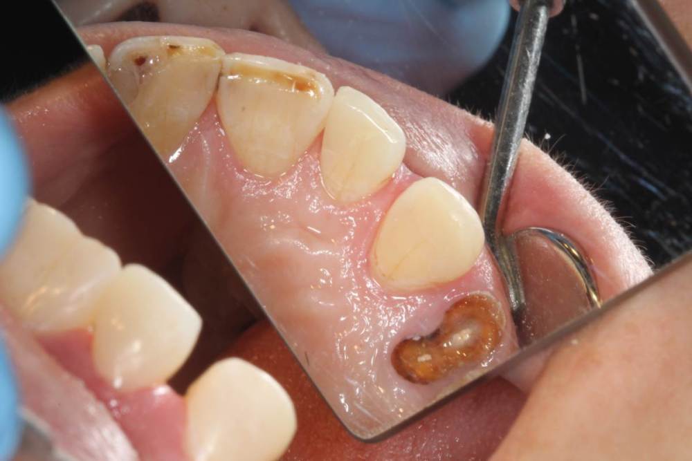
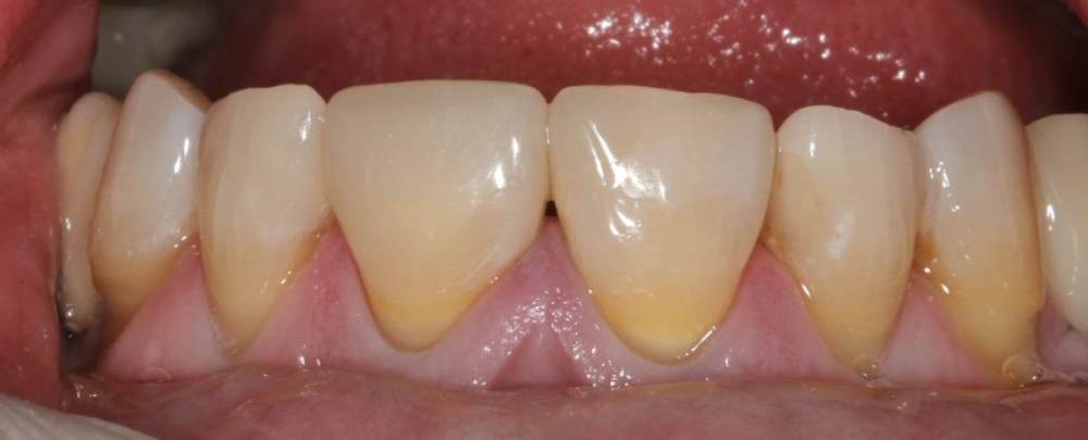
Kolchanov Опубликовано 4 мая, 2024 Автор Поделиться Опубликовано 4 мая, 2024 А где нынче движ-то весь стоматологический? Форум вообще печальный стал. Чтоб не флудить. Вот Пациентка 2008 года рождения. И вот такой, где циркулярный, где 3/4, кариесище почти на всех зубах. Половина из тех, что сделали, уже со вскрытиями (3-4 зуба), но за 5 месяцев пока ни один не стрельнул. Прогноз печальный. Сегодня посмотрел фото декабря прошлого года, когда она появилась и сегодняшние. Везде прогрессирование процессов. 2 1 1 Ссылка на комментарий
Carioznik Опубликовано 5 мая, 2024 Поделиться Опубликовано 5 мая, 2024 (изменено) 9 часов назад, Kolchanov сказал: А где нынче движ-то весь стоматологический? Форум вообще печальный стал. Все в телеграмах сидят. Но понять не могу, почему форумы стали вымирать... они же такие удобные по структурированию информации. В отличие от этих каналов, где всё свалено в одну кучу. Форум -это как книга с содержанием. А эти каналы... даже не знаю с чем сравнить.... Только если с помойкой, правда на которой есть очень много стоящих вещей (для каждого своих), но чтобы их найти, придется перебрать всё остальное. А самое неприятное, что там темы существуют обычно пару дней и даже часов, а потом теряются и не развиваются больше. На форуме тема может быть бессмертной и развиваться годами. Изменено 5 мая, 2024 пользователем Carioznik 3 Ссылка на комментарий
Carioznik Опубликовано 5 мая, 2024 Поделиться Опубликовано 5 мая, 2024 (изменено) 9 часов назад, Kolchanov сказал: кариесище почти на всех зубах. Тоже есть такой подросток, тоже с кариесами и деминерализацией почти на всех зубах, но не так сильно. Есть у Вас мысли по стратегии лечения таких случаев (профилактика , ремтерапия, общее обследование)? А то лечишь, лечишь, а потом через 2 года рецидив(( Изменено 5 мая, 2024 пользователем Carioznik Ссылка на комментарий
АнтонТЛТ Опубликовано 5 мая, 2024 Поделиться Опубликовано 5 мая, 2024 3 часа назад, Carioznik сказал: Все в телеграмах сидят. Но понять не могу, почему форумы стали вымирать... они же такие удобные по структурированию информации. В отличие от этих каналов, где всё свалено в одну кучу. Форум -это как книга с содержанием. А эти каналы... даже не знаю с чем сравнить.... Только если с помойкой, правда на которой есть очень много стоящих вещей (для каждого своих), но чтобы их найти, придется перебрать всё остальное. А самое неприятное, что там темы существуют обычно пару дней и даже часов, а потом теряются и не развиваются больше. На форуме тема может быть бессмертной и развиваться годами. На форуме только фото и текстовая информация. В телеге часто выкладывают видео кейсов, что сделать намного проще чем тут. Ссылка на комментарий
Kolchanov Опубликовано 5 мая, 2024 Автор Поделиться Опубликовано 5 мая, 2024 А куда в телегу в группы попасть? Я даже не представляю. Поиском какая-то шляпа только попадается. Ссылка на комментарий
Kolchanov Опубликовано 5 мая, 2024 Автор Поделиться Опубликовано 5 мая, 2024 9 часов назад, Carioznik сказал: 18 часов назад, Kolchanov сказал: Есть у Вас мысли по стратегии лечения таких случаев Только то, что написано тут Но, поскольку там должен сам пациент шустрить, то всё это, как об стенку горох. 1 Ссылка на комментарий
Aquarius Опубликовано 5 мая, 2024 Поделиться Опубликовано 5 мая, 2024 (изменено) Форумы тоже имеют свойство понемногу деградировать. Я начинал в начале нулевых с великолепной, как тогда казалось , площадки Дмитрия Конева . 100mat. Ресурс оказал колоссальное влияние на меня как врача. Какие были там дебаты, эх. Прибалты, ребята такое творили. Был момент , я даже случайно вскрыл баг на том форуме. Мог зайти в ЛК любого форумчанина. Конев мне даже не поверил. Пока я ему сам не написал ему в личку с его же ЛК . В общем весело было. До тех пор пока форум не сдулся. Потом форум Эмиля . Сначала под одним ником. С 2013 под нынешним. Что сказать - вторая семья. Без преувеличения. Что только не было. И в личку и так. Не променяю на новомодные телеги. Только если буквально форум умрет. Вам доктор спасибо за композитные кейсы. Вот реально дано от Бога так композицировать. Спасибо Изменено 5 мая, 2024 пользователем Aquarius 4 Ссылка на комментарий
Рекомендуемые сообщения
Для публикации сообщений создайте учётную запись или авторизуйтесь
Вы должны быть пользователем, чтобы оставить комментарий
Создать аккаунт
Зарегистрируйте новый аккаунт в нашем сообществе. Это очень просто!
Регистрация нового пользователяВойти
Уже есть аккаунт? Войти в систему.
Войти