Kolchanov Опубликовано 17 октября, 2020 Автор Поделиться Опубликовано 17 октября, 2020 Через месяц 8 Ссылка на комментарий
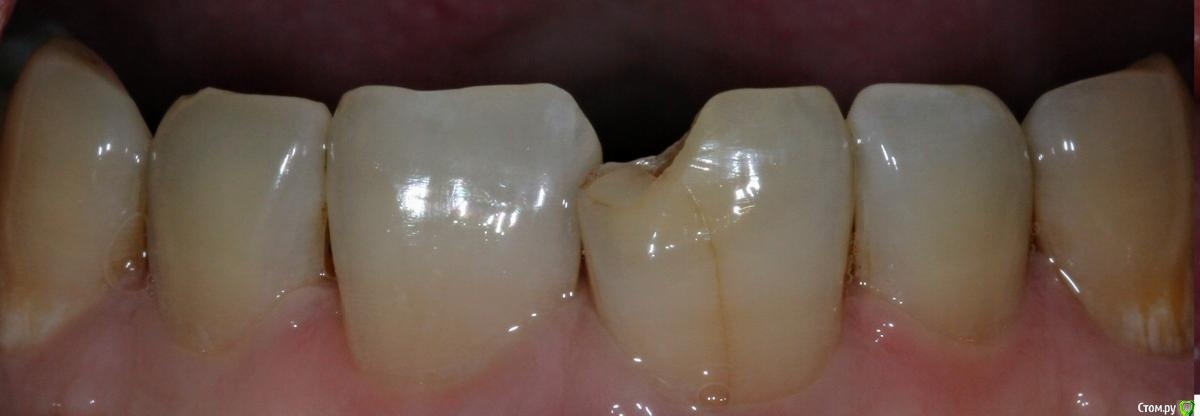
Kolchanov Опубликовано 17 февраля, 2021 Автор Поделиться Опубликовано 17 февраля, 2021 (изменено) Травма. Менее 24 часов назад Что бы вы сделали с таким фрагментом? Сразу после. Через трое суток. Изменено 17 февраля, 2021 пользователем Kolchanov 8 Ссылка на комментарий
vse32 Опубликовано 17 февраля, 2021 Поделиться Опубликовано 17 февраля, 2021 А подробности? Протокол, материалы? Ссылка на комментарий
Kolchanov Опубликовано 17 февраля, 2021 Автор Поделиться Опубликовано 17 февраля, 2021 Анестезия, коффер дам, отпесочил зубы, фрагменты не стал, пульпу гипохлоритом помыл, всё протравил, адгезив (prime bond nt), estelite flow (oa3), сопоставил, засветил, полирнул. Ссылка на комментарий
vse32 Опубликовано 17 февраля, 2021 Поделиться Опубликовано 17 февраля, 2021 адгезив (prime bond nt), estelite flow (oa3), сопоставил, засветил, полирнул. Вот почему у всех стоит, а у меня отламывается? Причем в течении суток. Ссылка на комментарий
Kolchanov Опубликовано 18 февраля, 2021 Автор Поделиться Опубликовано 18 февраля, 2021 Я не уверен, что не отломится. Если на централном там наискось и условия хорошие, то боковой чисто поперёк.да и на фрагменте там отслойка эта... Не стал убирать.Поэтому пациентку предупредил, что, если что, то коронка. Ссылка на комментарий
Sier10 Опубликовано 20 февраля, 2021 Поделиться Опубликовано 20 февраля, 2021 Анестезия, коффер дам, отпесочил зубы, фрагменты не стал, пульпу гипохлоритом помыл, всё протравил, адгезив (prime bond nt), estelite flow (oa3), сопоставил, засветил, полирнул.Пульпу гх мыли в отломке? Ссылка на комментарий
Kolchanov Опубликовано 21 февраля, 2021 Автор Поделиться Опубликовано 21 февраля, 2021 Там не было Ссылка на комментарий
red_butler Опубликовано 25 февраля, 2021 Поделиться Опубликовано 25 февраля, 2021 а что так можно было как я отстал Ссылка на комментарий
Kolchanov Опубликовано 25 февраля, 2021 Автор Поделиться Опубликовано 25 февраля, 2021 Приклеить-то? А что бы и нет? Ссылка на комментарий
Kolchanov Опубликовано 25 февраля, 2021 Автор Поделиться Опубликовано 25 февраля, 2021 (изменено) Еще композит. Изменено 25 февраля, 2021 пользователем Kolchanov 5 Ссылка на комментарий
Sier10 Опубликовано 26 февраля, 2021 Поделиться Опубликовано 26 февраля, 2021 здорово интегрировано Ссылка на комментарий
Astronaft Опубликовано 1 марта, 2021 Поделиться Опубликовано 1 марта, 2021 Чем десну поправили? Ссылка на комментарий
Kolchanov Опубликовано 1 марта, 2021 Автор Поделиться Опубликовано 1 марта, 2021 Я от длинного шаровидного бора отрезаю голову и вот этой железякой, без воды, работаю по десне. Ссылка на комментарий
Astronaft Опубликовано 1 марта, 2021 Поделиться Опубликовано 1 марта, 2021 Так кровит же потом, а у Вас сухо выглядит. Почему? Ссылка на комментарий
Kolchanov Опубликовано 1 марта, 2021 Автор Поделиться Опубликовано 1 марта, 2021 От трения коагулирует. Но, если сильно воспалённая десна, да грануляции там, то будет кровить. Ссылка на комментарий
НадяЗуб Опубликовано 1 марта, 2021 Поделиться Опубликовано 1 марта, 2021 От трения коагулирует. Но, если сильно воспалённая десна, да грануляции там, то будет кровить.Константин, а сколько мм вросшего сосочка в полости вы таким образом ( бором ) устраняли максимально ? Актуальная задачка- раскоываешь полость по второму классу- а там сюрприз. К хирургу направлять - приём теряется. Коагулятора у меня нет . Хочу попробовать описанный вами способ с бором. Ссылка на комментарий
Kolchanov Опубликовано 1 марта, 2021 Автор Поделиться Опубликовано 1 марта, 2021 (изменено) Сколько нужно. Часто до кости. Собственно, и на этом фото ее видно. Изменено 1 марта, 2021 пользователем Kolchanov 1 Ссылка на комментарий
НадяЗуб Опубликовано 2 марта, 2021 Поделиться Опубликовано 2 марта, 2021 Сколько нужно. Часто до кости. Собственно, и на этом фото ее видно.Благодарю вас за ответ. И за то, что находите время, энергию и внутреннюю мотивацию выкладывать фото и делиться всякими лайфхаками( перечитала все ваши темы почти ) Ссылка на комментарий
Kolchanov Опубликовано 2 марта, 2021 Автор Поделиться Опубликовано 2 марта, 2021 Сколько нужно. Часто до кости. Собственно, и на этом фото ее видно.Это через месяц или полтора. 2 Ссылка на комментарий
Astronaft Опубликовано 2 марта, 2021 Поделиться Опубликовано 2 марта, 2021 Можете зафотать свой "бор"? Ссылка на комментарий
kramer Опубликовано 2 марта, 2021 Поделиться Опубликовано 2 марта, 2021 Бор thermacut называется Ссылка на комментарий
НадяЗуб Опубликовано 2 марта, 2021 Поделиться Опубликовано 2 марта, 2021 Я от длинного шаровидного бора отрезаю голову и вот этой железякой, без воды, работаю по десне.Я сегодня сотворила это. Кровило нещадно конечно, так как отдавлен долго был сосочек , но теперь у меня есть такой бор, и буду пробовать ещё Ссылка на комментарий
Astronaft Опубликовано 3 марта, 2021 Поделиться Опубликовано 3 марта, 2021 Оно? Прямо в сухую? Как потом ощущения у пациентов? о чем предупреждать? 1 Ссылка на комментарий
Kolchanov Опубликовано 3 марта, 2021 Автор Поделиться Опубликовано 3 марта, 2021 О том, что может побеспокоить. Порекомендовать солкосерил адгезивный или же асепту, тоже адгезивную.По описаниям пациентов, беспокоит пару-тройку дней, редко дольше. Не сильно. Обезболивающие, вроде, никто не пил. Ссылка на комментарий
Рекомендуемые сообщения
Для публикации сообщений создайте учётную запись или авторизуйтесь
Вы должны быть пользователем, чтобы оставить комментарий
Создать аккаунт
Зарегистрируйте новый аккаунт в нашем сообществе. Это очень просто!
Регистрация нового пользователяВойти
Уже есть аккаунт? Войти в систему.
Войти