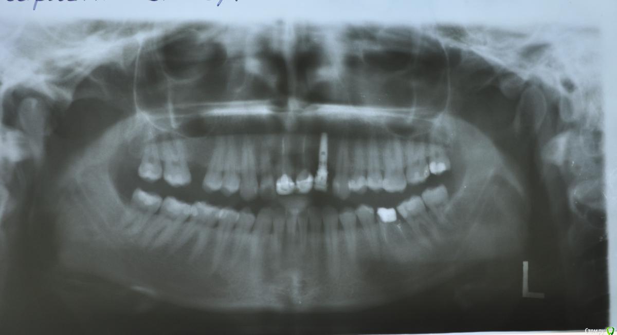
Лисица Опубликовано 25 июля, 2015 Поделиться Опубликовано 25 июля, 2015 (изменено) Начала ныть верхняя правая семерка, пошла к врачу - обнаружился глубокий скрытый прикорневой кариес. Совсем его не видно было После беременности и ГВ понавылазило.Вскрыв, врач сказала, что надо удалять нерв и пломбировать каналы. В процессе чистки все было хорошо, боли не было, как вдруг почувствовала резкий болезненный укол и потом стало ныть. Обратила внимание доктора на это, она добавила еще обезболивающего, но боль не прошла. Через некоторое время с штифтами (или как они называются) в каналах пошли на снимок. Сразу после вставания с кресла накатила пульсирующая сильная боль. (С начала лечения прошло около 30 минут.) После снимка и возвращения в кресло врач удалила эти иглы, еще почистила и - попросила зажать нос и дуть в него несколько раз. Оп-па. Вот тут я и поняла, что это была за боль После того как я смогла закрыть рот и говорить, спросила про перфорацию. Она сказала, что у вас, мол, такое строение челюсти, что ж я могу поделать. При вопросе об опасности такой ситуации замялась, потом сказала, что разве только при цементировании если попадет материал, но мы эту ситуацию отследим и не допустим. Сейчас она положила лекарство, временную гуттаперчевую пломбу и временным цементом замазано. Прошло около 4 часов после процедуры, верхняя челюсть ноет и периодически резко "колет". При наклоне головы влево по задней стенке глотки стекает жидкость с резким "медицинским" вкусом. Меня интересует, чем это мне может грозить в настоящий момент (до постоянной пломбировки), насколько часты осложнения? Какова вероятность, что придется удалять зуб? Или это частая ситуация и все заживет само? Можно ли было избежать такой ситуации и права ли врач, что раз у меня такое строение челюсти, то такая перфорация при чистке каналов неизбежна? Еще при моих вопросах, что делать если все же при цементировании загонят слишком глубоко материал и он вылезет в пазуху, как этого избежать, она сказала, что сделает снимок и если гуттаперчевый материал будет заходить слишком далеко, то она вытащит и поставит потолще, чтобы он не доходил до пазухи. Это действительно решение проблемы? Мне не давали никаких рекомендаций, может, стоит пропить антибиотики? Или лучше сперва посмотреть динамику? А то год назад удаляли зуб (правда, после воспаления и нагноения), неделю не заживала лунка и сильно болела, а быстро заживать стала только после курса Сумамеда. Прикрепляю на всякий случай ортопантомограмму старую 2013 года, может пригодится для оценки каналов. Извините за столько вопросов, но в таких больных во всех смыслах проблемах лучше перебдеть, чем недобдеть... PS Хм, похоже снимок не прикрепился. Еще раз пробую. Изменено 25 июля, 2015 пользователем Лисица Ссылка на комментарий
red_butler Опубликовано 25 июля, 2015 Поделиться Опубликовано 25 июля, 2015 http://forum.stom.ru/topic/20613-sovety-patcientam-obiazatelno-k-prochteniiu/Покажите снимки до и после лечения 1 Ссылка на комментарий
Лисица Опубликовано 25 июля, 2015 Автор Поделиться Опубликовано 25 июля, 2015 Извините, первый раз снимок почему-то не прикрепился. Отредактировала первое сообщение, добавив ортопантомограмму, правда, старую. Прицельный не делали вообще перед лечением. Снимка, сделанного во время лечения, увы, не имею, до моего затуманенного болью мозга стало что-то доходить уже по пути домой. А врач следующий раз работает только в среду, когда назначено окончание процедуры лечения. А в общих чертах хотя бы можно перспективы обрисовать? А то я сильно нервничаю Ссылка на комментарий
red_butler Опубликовано 25 июля, 2015 Поделиться Опубликовано 25 июля, 2015 А в общих чертах хотя бы можно перспективы обрисовать? к сожалению без объективных данных, ответить на вопросы не получится. Сделайте прицельный снимок или Кт 1 Ссылка на комментарий
Лисица Опубликовано 25 июля, 2015 Автор Поделиться Опубликовано 25 июля, 2015 к сожалению без объективных данных, ответить на вопросы не получится. Сделайте прицельный снимок или Кт Даже о целесообразности применения антибиотиков? При том факте, что перфорация точно была - при зажатом носе воздух через зуб выдувался в ротовую полость.Постараюсь сделать в понедельник снимок, главное время не упустить для превентивных действий Спасибо! Ссылка на комментарий
Лисица Опубликовано 25 июля, 2015 Автор Поделиться Опубликовано 25 июля, 2015 (изменено) Общая ноющая боль утихает, но началось легкое жжение и через правую ноздрю течет жидкий секрет с сильным запахом, видимо, того лекарства, что заложили. Привкус слегка горьковатый, слизистая раздражена. Это лекарство при соприкосновении со слизистой синуса не наделает делов? Стоит ли срочно убрать закладку или можно потерпеть? Изменено 25 июля, 2015 пользователем Лисица Ссылка на комментарий
St. Опубликовано 25 июля, 2015 Поделиться Опубликовано 25 июля, 2015 Добрый день. Отвечу на часть Ваших вопросов. о целесообразности применения антибиотиков? Чаще они не нужны. Какова вероятность, что придется удалять зуб? Или это частая ситуация и все заживет само? Можно ли было избежать такой ситуации и права ли врач, что раз у меня такое строение челюсти, то такая перфорация при чистке каналов неизбежна? Строение челюсти индивидуально, и бывает, что корни зубов находятся в пазухе. Это абсолютно нормально. По поводу всех остальных вопросов - нужны снимки в процессе лечения. Общая ноющая боль утихает, но началось легкое жжение и через правую ноздрю течет жидкий секрет с сильным запахом, видимо, того лекарства, что заложили. Привкус слегка горьковатый, слизистая раздражена. Это лекарство при соприкосновении со слизистой синуса не наделает делов? Стоит ли срочно убрать закладку или можно потерпеть?Если есть возможность, лучше показаться завтра доктору. Главное сами ничего не убирайте и зуб открытым не оставляйте. 1 Ссылка на комментарий
Лисица Опубликовано 25 июля, 2015 Автор Поделиться Опубликовано 25 июля, 2015 Спасибо, вы меня хоть как-то успокоили Моему врачу я не смогу показаться до среды, но попробую найти что-то...Сама я распломбировать каналы, конечно же, не собиралась (такие умники бывают? ), но испугалась, вдруг это лекарство ядовито, например... это не мышьяк, конечно, наверное, запах такой растительный, что-то общее с мазью "Звездочка" есть... Ссылка на комментарий
red_butler Опубликовано 25 июля, 2015 Поделиться Опубликовано 25 июля, 2015 Даже о целесообразности применения антибиотиков? Вы же не думаете, что Вам назначат а/б терапию по интернету? 2 Ссылка на комментарий
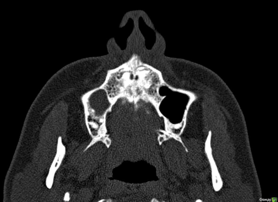
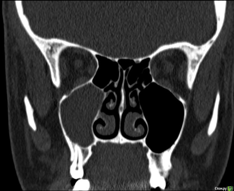
Лисица Опубликовано 26 июля, 2015 Автор Поделиться Опубликовано 26 июля, 2015 (изменено) Вы же не думаете, что Вам назначат а/б терапию по интернету? Я просто не знаю, исходя из каких показателей она назначается. Поэтому осведомилась на всякий случай. Итак, сходила я сегодня на КТ. И по ходу мне сделали что-то не то... Когда я обратилась в клинику, я уточнила, что мне нужно КТ для эндодонтии, чтобы видно было каналы, с достаточным разрешением, чтобы было видно зубы и их корни, входящие в верхнечелюстной синус. Администратор клиники уточнила у врача и сказала, что мне нужно заказывать не КТ верхней челюсти, а КТ пазух. У рентгенолога я также повторила все описанное, рассказала, что при лечении каналов вчера была продырявлена пазуха, уточнила, будут ли видны как следует зубы и их каналы, меня заверили, что "все будет". Причем у врача, судя по описанию на сайте клиники, была ординатура по хирургии в медико-стоматологическом университете, так что он, уж наверное, понимал, что мне нужно. В итоге я получила пленку со снимками формата чуть ли не А3 и диск. На пленке все зубы были просто белыми и коронки видны не целиком. Заключение: в правой верхнечелюстной пазухе уровень жидкости, острый правосторонний гайморит.Думала, может в программе можно будет увеличить разрешение. Но похоже, что нет... или я просто ламер? Зубы просто размытые и белые... Прилагаю сделанные мной скриншоты, как мне кажется, наиболее показательные... Если нужно другие "виды", то скажите какие, или такие снимки вообще ни о чем? Программа просмотра называется Philips DICOM Viewer R3.0-SP03. Аппарат был не местный "на голову", а здоровый, куда заезжаешь в лежачем положении. Изменено 26 июля, 2015 пользователем Лисица Ссылка на комментарий
Лисица Опубликовано 26 июля, 2015 Автор Поделиться Опубликовано 26 июля, 2015 Тьфу ты, Акелла промахнулся. Не та сторона в профиль. Вот парочка проекций с нужной больной стороны. Ссылка на комментарий
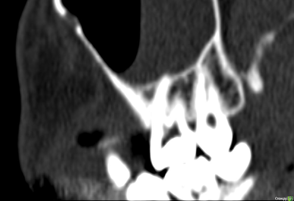
Лисица Опубликовано 26 июля, 2015 Автор Поделиться Опубликовано 26 июля, 2015 О, кажись я накопала настройки для более-менее понятного отображения Хоть и не уверена, что это то что нужно. Ссылка на комментарий
Лисица Опубликовано 27 июля, 2015 Автор Поделиться Опубликовано 27 июля, 2015 К сожалению, предыдущие сообщения уже не редактируются, но я наконец разобралась с правильным просмотром через DICOM Viewer Теперь у меня есть приличное 3D и я беру обратно свои слова насчет "неправильной" КТ %) Хотя все же нужно было делать челюсти, лобные доли мне как бы совсем ни к чему, а вот нижняя челюсть пригодилась бы...Думаю, как бы выложить DICOM-данные. Ссылка на комментарий
Лисица Опубликовано 27 июля, 2015 Автор Поделиться Опубликовано 27 июля, 2015 Вот, выложила архив всего добра с диска вместе с программой просмотра от Philips в дропбокс, 214 Мб. Ссылка на комментарий
Лисица Опубликовано 27 июля, 2015 Автор Поделиться Опубликовано 27 июля, 2015 Вот что я нарисовала, почти ортопантомограмма Но четкости добиться не выходит все же. Ссылка на комментарий
St. Опубликовано 27 июля, 2015 Поделиться Опубликовано 27 июля, 2015 Гайморит справа есть, и жидкость тоже. Корни этого зуба действительно заканчиваются в гайморовой.Ничего такого страшного, чтоб однозначно удалять зуб я не вижу. С гайморитом - к лорам на лечение.В зубе я бы ещё раз поменяла лекарство на пару недель, пока гайморит не притихнет, потом постоянно пломбировать. 1 Ссылка на комментарий
Лисица Опубликовано 27 июля, 2015 Автор Поделиться Опубликовано 27 июля, 2015 St., большое спасибо за ответ! Моя врач планировала закрыть его в среду (зная о том, что пазуха проткнута). Если запломбировать, пока воспаление есть, какие могут быть проблемы? И еще она сказала, что нащупала 4-й тонкий канал, но не было времени его прочистить, так что она оставила как есть до среды. Сказала, что почистит и сразу же закроет. Судя по КТ, корня 3, значит в одном из них 2 канала? В 3D похоже, что корни с медиальной стороны сросшиеся какие-то... и на небном тоже борозда. Ссылка на комментарий
DmitrySH Опубликовано 27 июля, 2015 Поделиться Опубликовано 27 июля, 2015 Главное герметично запломбировать каналы, и все должно быть нормально. Если из пазухи обильная экссудация в каналы, тогда лучше отсрочить пломбирование. 2 Ссылка на комментарий
Лисица Опубликовано 27 июля, 2015 Автор Поделиться Опубликовано 27 июля, 2015 Главное герметично запломбировать каналы, и все должно быть нормально. Если из пазухи обильная экссудация в каналы, тогда лучше отсрочить пломбирование. Большое спасибо за ответ! Главное - это дает моральную поддержку и устойчивость. А то я тут нафлудила столько по большей части от информационного вакуума В интернетах какие-то ужасы сплошь про пазухи пишут... Ссылка на комментарий
St. Опубликовано 28 июля, 2015 Поделиться Опубликовано 28 июля, 2015 Пожалуйста!По поводу закрывать или нет - врач на приеме посмотрит если жидкость в каналах и на основании этого примет решение. Да, в одном корне бывает несколько каналов.И не забудьте показать доктору КТ, это облегчает работу. Ссылка на комментарий
Рекомендуемые сообщения
Для публикации сообщений создайте учётную запись или авторизуйтесь
Вы должны быть пользователем, чтобы оставить комментарий
Создать аккаунт
Зарегистрируйте новый аккаунт в нашем сообществе. Это очень просто!
Регистрация нового пользователяВойти
Уже есть аккаунт? Войти в систему.
Войти