Marishkin Опубликовано 5 января, 2016 Поделиться Опубликовано 5 января, 2016 Такая подготовка под протезирование, скорее всего, потому, что терапевтическую работу выполняет один врач, а протезную - другой. В нашем кабинете один врач работает и терапевтом и протезирует. В такой ситуации стоматолог несёт генеральную ответственность за качество лечения и судьбу зуба. Ссылка на комментарий
DmitrySH Опубликовано 6 января, 2016 Поделиться Опубликовано 6 января, 2016 Поясните, что подразумевается под "такая подготовка" и как бы лечил ваш врач который и терапию и ортопедию делает. А то ничего не понял из вашего поста. Ссылка на комментарий
St. Опубликовано 6 января, 2016 Автор Поделиться Опубликовано 6 января, 2016 Я тоже ничего не поняла. Поясните пожалуйста что Вы имели ввиду. Ссылка на комментарий
molchanoff Опубликовано 8 января, 2016 Поделиться Опубликовано 8 января, 2016 я тоже раньше генералилщас понимаю что разделение труда приводит к лучшему результату, а значит и прогнозуэто как бмв и жигули сравнивать Ссылка на комментарий
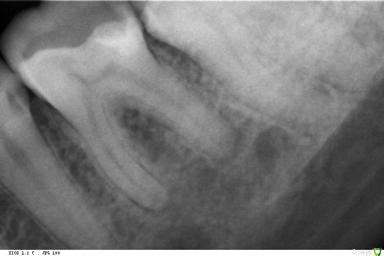
St. Опубликовано 23 марта, 2016 Автор Поделиться Опубликовано 23 марта, 2016 Эх, что-то сезон косяков. Аж руки опускаются... Видимо пора в отпуск. 36 пульпит. Запаковала по апексу -0,5. Что получилось - снимок 2. Попросили перепаковать. В итоге по апексу в 0, плюс 1,5 часа времени 1 Ссылка на комментарий
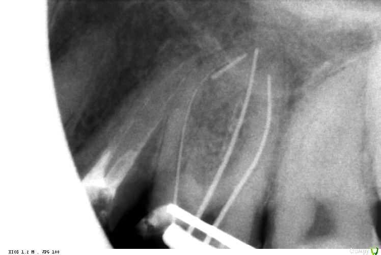
St. Опубликовано 23 марта, 2016 Автор Поделиться Опубликовано 23 марта, 2016 Совсем фейл. Повторное эндо. Сломала на финише профайл 30,04. Вроде обошла 15, но ротари ушла в сторону. Пац обо всем предупрежден. Наблюдаем. Решили не доставать ибо по твердым тканям там и так печаль, если спрямить доступ большая вероятность ленточной перфы. А что бы в таком случае сделали вы? 3 Ссылка на комментарий
St. Опубликовано 13 июля, 2016 Автор Поделиться Опубликовано 13 июля, 2016 Асимптоматический периодонтит 35з. И случайная находка - трехканальный 34. Даж не знаю, хотела бы я такой полечить или нет) 1 Ссылка на комментарий
St. Опубликовано 13 июля, 2016 Автор Поделиться Опубликовано 13 июля, 2016 Симптоматический периодонтит. Продолжала работу коллеги. Латерали радуют)) 5 Ссылка на комментарий
Audutor Опубликовано 15 июля, 2016 Поделиться Опубликовано 15 июля, 2016 Симптоматический периодонтит. Продолжала работу коллеги. Латерали радуют))На мо взгляд нужно убирать гутту поглубже от устья, и почему вы сразу не закрываете постоянными реставрациями? Риск контаминации устьевой части это оч серьезно... Ссылка на комментарий
Audutor Опубликовано 15 июля, 2016 Поделиться Опубликовано 15 июля, 2016 (изменено) Наверное надо что-то от себя показатьhttp://s018.radikal.ru/i524/1607/92/898e5d18e669.jpghttp://s018.radikal.ru/i513/1607/18/ea749055bec8.jpghttp://s019.radikal.ru/i634/1607/6f/520abda0ca90.jpghttp://s019.radikal.ru/i639/1607/db/2fd94ca36ee0.jpghttp://s019.radikal.ru/i642/1607/1d/80baf0fdd937.jpghttp://s020.radikal.ru/i707/1607/ef/86fe58ede953.jpghttp://s50.radikal.ru/i129/1607/b4/288b1fd03dae.jpghttp://s019.radikal.ru/i628/1607/8d/c2eef7d61873.jpghttp://s017.radikal.ru/i421/1607/ab/50aaf5abf9cc.jpghttp://s018.radikal.ru/i516/1607/4b/613ef0afc8f5.jpghttp://s56.radikal.ru/i154/1607/82/a3cd458eff72.jpghttp://s019.radikal.ru/i603/1607/7a/7133e4110f94.jpghttp://s018.radikal.ru/i503/1607/9a/5078f70dcd42.jpghttp://s019.radikal.ru/i636/1607/82/3b2d9a0259ec.jpghttp://s017.radikal.ru/i406/1607/bb/0f5a135c22a9.jpghttp://s008.radikal.ru/i304/1607/7a/6d21805d88da.jpghttp://s017.radikal.ru/i443/1607/fb/3a77b8065f5b.jpghttp://s016.radikal.ru/i336/1607/e2/15281cb64a56.jpghttp://s008.radikal.ru/i305/1607/0b/e9861a87c605.jpghttp://s019.radikal.ru/i624/1607/1e/9dc83e7e8cb8.jpghttp://s020.radikal.ru/i718/1607/d2/59d27cf6013d.jpghttp://s020.radikal.ru/i711/1607/1c/49b3cfdb4409.jpghttp://s017.radikal.ru/i419/1607/a4/e7b0c2d56edb.jpghttp://s017.radikal.ru/i406/1607/d8/64d8bc185f7e.jpghttp://s019.radikal.ru/i626/1607/9d/dabdd828773a.jpghttp://s45.radikal.ru/i108/1607/99/35f3d7b92888.jpghttp://s018.radikal.ru/i505/1607/1f/b52eaf693a24.jpghttp://s45.radikal.ru/i109/1607/74/984e787a31d0.jpghttp://s018.radikal.ru/i518/1607/2f/3ca7f082b2e9.jpghttp://s019.radikal.ru/i620/1607/8b/e0c5d80b84ef.jpghttp://s019.radikal.ru/i633/1607/f3/5beec446009f.jpghttp://s017.radikal.ru/i420/1607/e7/7f73af79739c.jpg 90 процентов кейсов закрыто термомеханической конденсацией.Есть кейсы которые сейчас не стал бы лечить...К критике отношусь адекватно) Так что... Изменено 15 июля, 2016 пользователем Audutor 2 Ссылка на комментарий
St. Опубликовано 15 июля, 2016 Автор Поделиться Опубликовано 15 июля, 2016 (изменено) На мо взгляд нужно убирать гутту поглубже от устья, и почему вы сразу не закрываете постоянными реставрациями? Риск контаминации устьевой части это оч серьезно...Про гутту знаю) Я только терапевтическую часть делаю, а дальше там протетика предстоит, поэтому временные из фотокомпозита.И всё моё что вывешено- это пока только латералка. Изменено 15 июля, 2016 пользователем St. Ссылка на комментарий
St. Опубликовано 15 июля, 2016 Автор Поделиться Опубликовано 15 июля, 2016 Симпатично! П.С. только, кмк, фотки лучше картинками выкладывать, а не ссылкой. Не очень удобно открывать каждую ссылку чтоб посмотреть, особенно когда их так много. Ссылка на комментарий
Audutor Опубликовано 15 июля, 2016 Поделиться Опубликовано 15 июля, 2016 (изменено) Симпатично! П.С. только, кмк, фотки лучше картинками выкладывать, а не ссылкой. Не очень удобно открывать каждую ссылку чтоб посмотреть, особенно когда их так много.Благодарю, ваши кейсы шикарны, особенно учитывая этот адский метод обтурации))Купите железку конденсор, попробуйте, когда увидите улетающую гуттаперчу в истмус забудете про латералку)Хотя по сути куда важнее что мы из канала убираем нежели засовываем... Я только терапевтическую часть делаю, а дальше там протетика предстоит, поэтому временные из фотокомпозита.И всё моё что вывешено- это пока только латералка.Есть кейсы когда нужна вкладка КХС но в большинстве случаев достаточно композитного билдапа, и сразу на коронку или оверлей, я уверен ортопеды в большинстве своем не удосуживаються ставить кофер для изоляции при разработке каналов, которую кстати категорически не стоит делать...результат контаминация и ваши труды увы ни к чему... Берите сертификат ортопеда, идите дальше, нельзя ставить себя в рамки специализации...Я считаю что разделение ортопедии и терапии это вообще бред... одно плавно перетекает в другое... Изменено 15 июля, 2016 пользователем Audutor Ссылка на комментарий
St. Опубликовано 15 июля, 2016 Автор Поделиться Опубликовано 15 июля, 2016 Спасибо за похвалу, стараюсь по мере возможности))Я работаю в частной организации, так что есть определенные организационные тонкости и разделение труда. Т.е. принято что ортопед сам готовит канал вне зависимости будет там культевая вкладка или композитный билдап. Берите сертификат ортопеда, идите дальше, нельзя ставить себя в рамки специализации... Я считаю что разделение ортопедии и терапии это вообще бред... одно плавно перетекает в другое... Да, Вы правы. Но всему свое время. Мне кажется, я ещё не достаточно пока освоила терапию, чтобы идти дальше. Ссылка на комментарий
Audutor Опубликовано 15 июля, 2016 Поделиться Опубликовано 15 июля, 2016 Спасибо за похвалу, стараюсь по мере возможности))Я работаю в частной организации, так что есть определенные организационные тонкости и разделение труда. Т.е. принято что ортопед сам готовит канал вне зависимости будет там культевая вкладка или композитный билдап. Да, Вы правы. Но всему свое время. Мне кажется, я ещё не достаточно пока освоила терапию, чтобы идти дальше. Я может немного категоричен но считаю что систему надо ломать, либо в ней не работать.Я начинал терапию, ортопедию и хирургию разом...Запилите пару оверлеев, войдете во вкус)) Ссылка на комментарий
St. Опубликовано 15 июля, 2016 Автор Поделиться Опубликовано 15 июля, 2016 Я может немного категоричен но считаю что систему надо ломать, либо в ней не работать. Я начинал терапию, ортопедию и хирургию разом... Запилите пару оверлеев, войдете во вкус)) Есть определенные нюансы)) когда всё устаканится может напишу в закрытом.. Ссылка на комментарий
Гарриевич Опубликовано 16 июля, 2016 Поделиться Опубликовано 16 июля, 2016 Я может немного категоричен но считаю что систему надо ломать, либо в ней не работать.Я начинал терапию, ортопедию и хирургию разом...Запилите пару оверлеев, войдете во вкус))Покажите свои вкусные оверлеи 2 Ссылка на комментарий
Audutor Опубликовано 17 июля, 2016 Поделиться Опубликовано 17 июля, 2016 Покажите свои вкусные оверлеиКогда появиться фотоаппарат, будет и фотопротокол) впрочем в след раз попробую сделать фото телефоном. Ссылка на комментарий
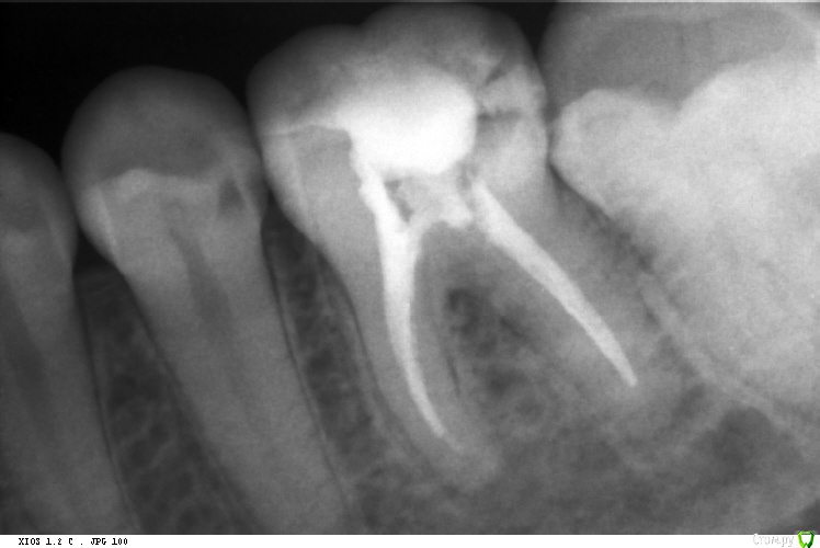
St. Опубликовано 29 октября, 2016 Автор Поделиться Опубликовано 29 октября, 2016 Реколл случая http://forum.stom.ru/topic/29857-endo/?p=529024. Прошло 11 месяцев после пломбировки)) 3 Ссылка на комментарий
DmitrySH Опубликовано 29 октября, 2016 Поделиться Опубликовано 29 октября, 2016 Анастасия, отличный результат! Ссылка на комментарий
St. Опубликовано 29 октября, 2016 Автор Поделиться Опубликовано 29 октября, 2016 Спасибо! Меня он очень обрадовал)) Ссылка на комментарий
Fred Опубликовано 29 октября, 2016 Поделиться Опубликовано 29 октября, 2016 Реколл случая http://forum.stom.ru/topic/29857-endo/?p=529024. Прошло 11 месяцев после пломбировки)) А почему такие жесточенные поры под реставрацией? Ссылка на комментарий
vse32 Опубликовано 29 октября, 2016 Поделиться Опубликовано 29 октября, 2016 А почему такие жесточенные поры под реставрацией? Может устья чем заливали, не контрастным. Свет, СИЦ? Ссылка на комментарий
St. Опубликовано 29 октября, 2016 Автор Поделиться Опубликовано 29 октября, 2016 (изменено) А почему такие жесточенные поры под реставрацией?Текучка градии нерентгенконтрастна. Как и сам материал большинства цветов. Керамика в планах. Ждали динамики. Изменено 29 октября, 2016 пользователем St. Ссылка на комментарий
Рекомендуемые сообщения
Для публикации сообщений создайте учётную запись или авторизуйтесь
Вы должны быть пользователем, чтобы оставить комментарий
Создать аккаунт
Зарегистрируйте новый аккаунт в нашем сообществе. Это очень просто!
Регистрация нового пользователяВойти
Уже есть аккаунт? Войти в систему.
Войти