St. Опубликовано 29 июля, 2015 Автор Поделиться Опубликовано 29 июля, 2015 Что же тогда панацея? Именно для диагностики трещин?В том то и дело, что панацеи нет. Ссылка на комментарий
St. Опубликовано 29 июля, 2015 Автор Поделиться Опубликовано 29 июля, 2015 (изменено) прицел не делали?Нет, только ОПГ. Эх, пациент выписался. Сказал пока не готов лечиться Изменено 29 июля, 2015 пользователем St. Ссылка на комментарий
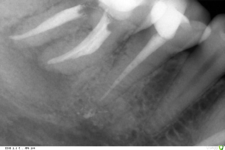
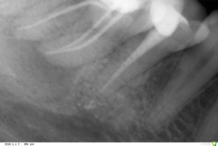
St. Опубликовано 29 сентября, 2015 Автор Поделиться Опубликовано 29 сентября, 2015 (изменено) 36 зуб, плановая ревизия перед постановкой коронки. Асимптоматичен. Довольно плотная РФП. Дистальный и мед/щечный "допилила" ещё до 0 по апексу. В мед/яз упираюсь в ступень. Оставила кальций.Попробую подолбаться в следующий визит ещё. Что бы вы делали, если не получилось обойти? Изменено 29 сентября, 2015 пользователем St. Ссылка на комментарий
Гарриевич Опубликовано 29 сентября, 2015 Поделиться Опубликовано 29 сентября, 2015 Я бы устьевую и средне часть подравшие о и попробовал другое направление файлу задать, и конечно в хлорке резорцин отмачиватьНедавно с такой же ситуацией столкнулся, в тонне хлора эндочаком докопался до истины, правда в соседнем канале так и недокопался Ссылка на комментарий
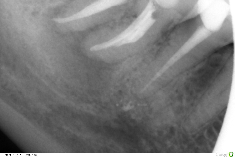
Shamxal Опубликовано 30 сентября, 2015 Поделиться Опубликовано 30 сентября, 2015 С вашего позволения хочу выставить рентген и задать пару вопросов Уважаемые коллеги, вопрос такой. Пришла пациентка с хроническим периапикальным разряжением. 46 зуб отрицательная реакция на перкуссию. Коффер снял, никак не получался снимок с клампом. Протокол иррегации 3 раза гипохлорит + озвучка, эдта и снова гипохлорит. Кроун даун дорожка затем протейперы. Апекслокатор в наличии. А тепер вопросы: 1) есть ли дополнительный 5 канал?2) если даже есть перфа в трифуркации, то в него невозможно попасть.3) прогноз лечения Ссылка на комментарий
DOCTORARSEN Опубликовано 30 сентября, 2015 Поделиться Опубликовано 30 сентября, 2015 С вашего позволения хочу выставить рентген и задать пару вопросов Уважаемые коллеги, вопрос такой. Пришла пациентка с хроническим периапикальным разряжением. 46 зуб отрицательная реакция на перкуссию. Коффер снял, никак не получался снимок с клампом. Протокол иррегации 3 раза гипохлорит + озвучка, эдта и снова гипохлорит. Кроун даун дорожка затем протейперы. Апекслокатор в наличии. А тепер вопросы: 1) есть ли дополнительный 5 канал?2) если даже есть перфа в трифуркации, то в него невозможно попасть.3) прогноз лечения по мне, зуб на удаление Ссылка на комментарий
Гарриевич Опубликовано 30 сентября, 2015 Поделиться Опубликовано 30 сентября, 2015 Думаю это периодонт, а не канал 2 Ссылка на комментарий
Shamxal Опубликовано 30 сентября, 2015 Поделиться Опубликовано 30 сентября, 2015 Думаю это периодонт, а не канал исчерпывающий ответ)) Ссылка на комментарий
sydnik Опубликовано 30 сентября, 2015 Поделиться Опубликовано 30 сентября, 2015 Я бы устьевую и средне часть подравшие о и попробовал другое направление файлу задать, и конечно в хлорке резорцин отмачивать Недавно с такой же ситуацией столкнулся, в тонне хлора эндочаком докопался до истины, правда в соседнем канале так и недокопался а я бы запломбировал на сколько возможно и не парился? а то начнешь искать и перф наделаешь!!! имхо . 1 Ссылка на комментарий
St. Опубликовано 30 сентября, 2015 Автор Поделиться Опубликовано 30 сентября, 2015 а я бы запломбировал на сколько возможно и не парился? а то начнешь искать и перф наделаешь!!! имхо .Это и останавливает Поэтому интересно мнение со стороны. Ссылка на комментарий
Zuri Опубликовано 2 октября, 2015 Поделиться Опубликовано 2 октября, 2015 Это и останавливает Поэтому интересно мнение со стороныПосле обработки протейперами апикальную треть дорабатываете в ручную? и как калибруете 1 Ссылка на комментарий
St. Опубликовано 2 октября, 2015 Автор Поделиться Опубликовано 2 октября, 2015 После обработки протейперами апикальную треть дорабатываете в ручную? и как калибруетеДа, именно так. После протейперов апикальную треть дорабатываю стандартными к-файлами, чаще до 35.02 -40.02, но бывает по-разному. Под финальный файл калибрую гуттаперчу .02 конусности и латералю. 2 Ссылка на комментарий
Zuri Опубликовано 3 октября, 2015 Поделиться Опубликовано 3 октября, 2015 Да, именно так. После протейперов апикальную треть дорабатываю стандартными к-файлами, чаще до 35.02 -40.02, но бывает по-разному. Под финальный файл калибрую гуттаперчу .02 конусности и латералю.Ясно. Спасибо ) 2 Ссылка на комментарий
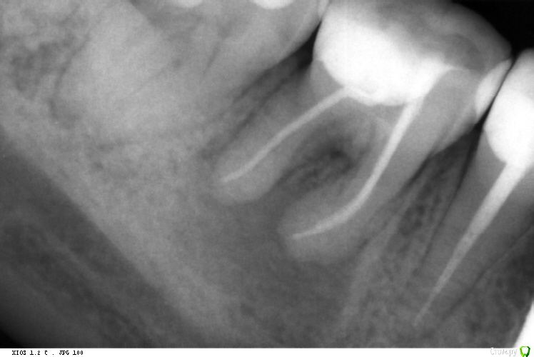
St. Опубликовано 3 декабря, 2015 Автор Поделиться Опубликовано 3 декабря, 2015 Пациентка, 28лет. Зуб ранее лечен по поводу неосложненного кариеса около 8 лет назад, пломба состоятельная. Полгода назад на ОПГ обнаружен очаг разрежения, свищ по переходной складке. Субъективно жалоб не было. Сделали КТ. Обсудили возможности и риски эндо.Пациентка согласилась попробовать консервативное лечение, но только позже. В первый визит свищ с экссудатом, перкуссия слабо положительная. Открыли, трещин нет, каналы широкие, некротические массы, специфический запах. ПроТейперы Ф1, апикально 35.02 .Медобработка гипохлорит(+ у/з), эдта. Кальций. Временная пломба. Через 10 дней симптоматики нет, экссудата из свища нет, однако свищ сохраняется.Ещё раз мех и мед обработка. Гидроокись. Пациентка уехала на месяц. Визит третий. Свищ закрылся. Перкуссиб б/б.Расширила апикально до 45.02. Мед.обработка гипохлорит, ЭДТА, перекись, хлоргексидин 2%. Латералка. Ждем что будет через 6 мес. 1 Ссылка на комментарий
St. Опубликовано 22 декабря, 2015 Автор Поделиться Опубликовано 22 декабря, 2015 Немножко фейл... Надо таки было МТА закрывать, хотя и четкий апикальный упор был. 2 Ссылка на комментарий
DmitrySH Опубликовано 22 декабря, 2015 Поделиться Опубликовано 22 декабря, 2015 Анастасия, да протолкнули герметик, но ничего ужасного от этого не произойдет. Мне вот на финальном снимке интересно, это не трещина? Ссылка на комментарий
St. Опубликовано 22 декабря, 2015 Автор Поделиться Опубликовано 22 декабря, 2015 (изменено) Нет, это у нас со снимками беда.. По твердым тканям всё гуд. С силлером перебор случился. А пациентка вообще несчастливая. 47 уже удалили. Изменено 22 декабря, 2015 пользователем St. Ссылка на комментарий
DmitrySH Опубликовано 22 декабря, 2015 Поделиться Опубликовано 22 декабря, 2015 Да уж, работы полон рот. И не только 47 будет удален. 2 Ссылка на комментарий
St. Опубликовано 22 декабря, 2015 Автор Поделиться Опубликовано 22 декабря, 2015 (изменено) Да, Вы правы. Вот такая вот подготовка под мк. Со слов лет 15 простояло. Будем спасать, что можно. Изменено 22 декабря, 2015 пользователем St. Ссылка на комментарий
Паращук Роман Опубликовано 23 декабря, 2015 Поделиться Опубликовано 23 декабря, 2015 Да, Вы правы. Вот такая вот подготовка под мк. Со слов лет 15 простояло. Будем спасать, что можно.Сколько же ур0ду нужно денег,что бы такое не партачил.... Ссылка на комментарий
Гарриевич Опубликовано 23 декабря, 2015 Поделиться Опубликовано 23 декабря, 2015 ОПТГ трындецхотя у меня щас случай по жестче есть, в Белоруссии поналечили по туризму Ссылка на комментарий
St. Опубликовано 23 декабря, 2015 Автор Поделиться Опубликовано 23 декабря, 2015 Сколько же ур0ду нужно денег,что бы такое не партачил....Боюсь, это от убеждений , а не от жадности. Ссылка на комментарий
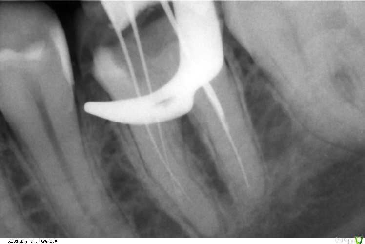
St. Опубликовано 26 декабря, 2015 Автор Поделиться Опубликовано 26 декабря, 2015 В продолжение темы из поста №17 http://forum.stom.ru/topic/29857-endo/?p=509407. Трещин не нашли, зато латеральку обнаружили В устье и апексе достаточно плотная РФП, в середине вообще было пусто. 6 Ссылка на комментарий
Гарриевич Опубликовано 29 декабря, 2015 Поделиться Опубликовано 29 декабря, 2015 отлично справилисьчто убедило пациента вернуться? Ссылка на комментарий
St. Опубликовано 29 декабря, 2015 Автор Поделиться Опубликовано 29 декабря, 2015 Спасибо! Да, тут хорошо вышло, зато в другом накосячила. Скоро покажу(Сама не знаю, позвонил, сказал что решил лечиться. Видимо свободное время появилось. Вот и все.. Ссылка на комментарий
Рекомендуемые сообщения
Для публикации сообщений создайте учётную запись или авторизуйтесь
Вы должны быть пользователем, чтобы оставить комментарий
Создать аккаунт
Зарегистрируйте новый аккаунт в нашем сообществе. Это очень просто!
Регистрация нового пользователяВойти
Уже есть аккаунт? Войти в систему.
Войти