Джима Опубликовано 14 июня, 2016 Поделиться Опубликовано 14 июня, 2016 если будет кровить после кальсепта то удаление необязательно именно кровить. если через неделю не будет хорошая плотная бледно-розовая десна и физиологическая подвижность, то лучше убрать. Что с этим делать? лечить имхо, у него все шансы.crown, какая у вас программа для визио? Ссылка на комментарий
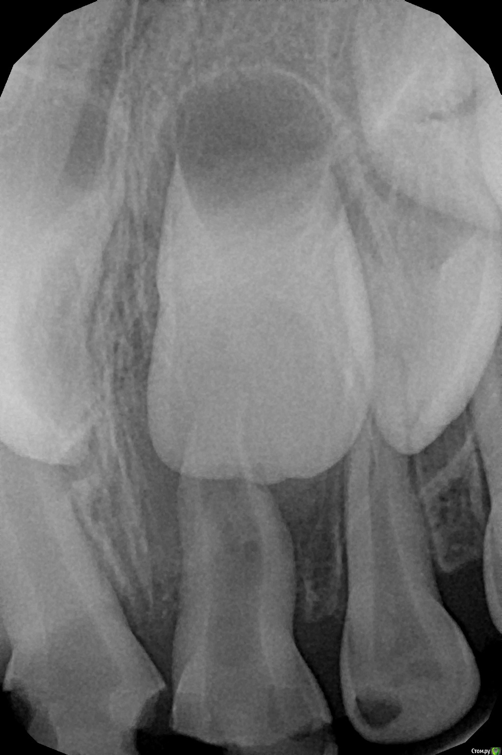
crown Опубликовано 14 июня, 2016 Поделиться Опубликовано 14 июня, 2016 Не помню название, завтра посмотрю. Просто внешне все в порядке и с десной и с подвижностью и зуб не беспокоит, это так диагностическая рентгенограмма была. Да хотел еще спросить, откуда там берется воспаление? Паста на дне лежит, реставрация герметична, а все равно воспаление и это приговор для всех резорциненных зубов. Ссылка на комментарий
Джима Опубликовано 15 июня, 2016 Поделиться Опубликовано 15 июня, 2016 реставрация герметична, нифига не герметична, оттуда и воспаление. вообще на сиц похоже Ссылка на комментарий
crown Опубликовано 15 июня, 2016 Поделиться Опубликовано 15 июня, 2016 нифига не герметична, оттуда и воспаление. вообще на сиц похожеЕсли поставили композит дожил бы до смены? Программа vinwix на визиограф. Джима как думаете в чем причина неудач рф метода? По идее это очень надежный метод, здесь неважно воспалена корневая или нет, все равно мы ее убиваем, может "недоимпрегнируем" ? хотя вряд ли, ведь там остается паста, которая продолжает мумифицировать. Ссылка на комментарий
ЕленаВалерьевна Опубликовано 16 июня, 2016 Поделиться Опубликовано 16 июня, 2016 как думаете в чем причина неудач рф метода? По идее это очень надежный метод, здесь неважно воспалена корневая или нет, все равно мы ее убиваем, может "недоимпрегнируем" ? я могу ошибаться, но мне кажется что если не нарушая технологии в три посещения всё сделать и закрыть герметичной световой реставрацией, а не лепешкой из СИЦа, то метод вполне себе даже удачен. и не меньше любого другого. просто к рф самому по себе относятся негативно из за его токсичности. а если в госках он применяется из-за дешевизны, то там и сиц из-за дешевизны сверху идет, вот получаем обострение через несколько месяцев. 1 Ссылка на комментарий
Джима Опубликовано 16 июня, 2016 Поделиться Опубликовано 16 июня, 2016 да, как-то так. ну и корни не рассасываются, тож плохо.на том снимке, кмк, классический набор проблем: широко крупным бором раздолбан зуб, потом сиц, потом скалываются края зуба и параллельно стирается сиц, всё это до того места, где плохо отмыли стенку и паста лежит на стенке между сиц и стенкой - вот и разгерметизация.так и думала, что vinwix. там справа ряд окошечек, есть стрелки - перевернуть снимок, уж очень стрёмно, когда снимки вверх ногами, и там же есть окошечко "структурное увеличение" - делает снимок чётким. потом сохраняете уже то, что получилось. два клика - и приличный снимок. 3 Ссылка на комментарий
crown Опубликовано 16 июня, 2016 Поделиться Опубликовано 16 июня, 2016 (изменено) Елена вот лепешка из СИЦа, апроксимальные стенки полностью разрушены и так уже не один год, зуб лечен рф методом. Где воспаление? Джима как меньше сделать снимок, а то он гигантский открывается на форуме? Изменено 16 июня, 2016 пользователем crown Ссылка на комментарий
ЕленаВалерьевна Опубликовано 16 июня, 2016 Поделиться Опубликовано 16 июня, 2016 Елена вот лепешка из СИЦа, апроксимальные стенки полностью разрушены и так уже не один год, зуб лечен рф методом. Где воспаление? значит из сица не лепешка, а пломба)а где стенки разрушены? вроде нет, особенно дистально много тканей сохранено Ссылка на комментарий
Brigita Опубликовано 16 июня, 2016 Поделиться Опубликовано 16 июня, 2016 И медиальная стенка вроде как есть...Мне кажется успех сиц и р/ф из-за того, что дети прощают нам многое..Перестала работать им, благодоря Джиме и Оксане "бешенный утке" ( Оксан, прости за мой французский) и это моя маленькая гордость))) 1 Ссылка на комментарий
crown Опубликовано 16 июня, 2016 Поделиться Опубликовано 16 июня, 2016 (изменено) значит из сица не лепешка, а пломба)а где стенки разрушены? вроде нет, особенно дистально много тканей сохраненоЭто область некротизированного и размягченного дентина. Вобщем огрызок, пломба в середине. Изменено 16 июня, 2016 пользователем crown Ссылка на комментарий
crown Опубликовано 16 июня, 2016 Поделиться Опубликовано 16 июня, 2016 И медиальная стенка вроде как есть...Мне кажется успех сиц и р/ф из-за того, что дети прощают нам многое..Перестала работать им, благодоря Джиме и Оксане "бешенный утке" ( Оксан, прости за мой французский) и это моя маленькая гордость)))Если бы, но нет не прощают! К молочному зубу должно быть такое же отношение как и к постоянному. Ссылка на комментарий
ЕленаВалерьевна Опубликовано 17 июня, 2016 Поделиться Опубликовано 17 июня, 2016 Это область некротизированного и размягченного дентина. Вобщем огрызок, пломба в середине. ну это значит изначально каку оставили, не резорцин же его некротизировал) Ссылка на комментарий
ЕленаВалерьевна Опубликовано 17 июня, 2016 Поделиться Опубликовано 17 июня, 2016 Если бы, но нет не прощают! К молочному зубу должно быть такое же отношение как и к постоянному.прощают здесь наверно имелось ввиду, что иммунная система ребенка и строение пульпы молочного зуба позволяют нам иногда согрешить (ненароком) Ссылка на комментарий
ЕленаВалерьевна Опубликовано 17 июня, 2016 Поделиться Опубликовано 17 июня, 2016 Перестала работать им, благодоря Джиме и Оксане "бешенный утке" ( Оксан, прости за мой французский) и это моя маленькая гордость))) и я тоже, спасибо форуму, во многом пересмотрела свои методы!) и витремер тоже теперь не использую))) 1 Ссылка на комментарий
crown Опубликовано 17 июня, 2016 Поделиться Опубликовано 17 июня, 2016 Как думает после девита каналы необходимо на всю длинну проходить? Ссылка на комментарий
Джима Опубликовано 17 июня, 2016 Поделиться Опубликовано 17 июня, 2016 да.а зачем меньше снимки? так лучше видно crown, я не уверена, что на том снимке огрызка так уж всё благополучно. изменения там есть. но бог знает, за счёт чего, организм нашёл равновесие, и зуб бессимптомный. если в таком виде, не лазя внутрь, попробовать сверху всё вычистить и накрыть коронкой, думаю, он рванёт. 1 Ссылка на комментарий
crown Опубликовано 25 июня, 2016 Поделиться Опубликовано 25 июня, 2016 Сегодня лечил 55. У меня возникло 2 вопроса. 1. На медиальном корне апикальный периодонтит, или это все пришло с бифуркации и малой кривизны? 2. МБ2 нужно искать, он вообще бывает в молочных? Ссылка на комментарий
Джима Опубликовано 25 июня, 2016 Поделиться Опубликовано 25 июня, 2016 1. crown, а какая, по большому счёту, разница?2. есть очень часто. если могу расковырять - расковыриваю, если не могу - значит, не судьба. у них кроме мб2 ещё много чего есть. Ссылка на комментарий
crown Опубликовано 25 июня, 2016 Поделиться Опубликовано 25 июня, 2016 1. crown, а какая, по большому счёту, разница?2. есть очень часто. если могу расковырять - расковыриваю, если не могу - значит, не судьба. у них кроме мб2 ещё много чего есть.Ну как, если инфекция в апикальной трети то нужно полностью проходить канал, а не на 2\3 как мы обычно делаем. Просто пропущенный мб2 в шестерке периодонтитной дает о себе знать со временем, т. к. там все таки есть инфекция. Ссылка на комментарий
Джима Опубликовано 28 июня, 2016 Поделиться Опубликовано 28 июня, 2016 crown, ни разу не претендуя на истину в последней инстанции, попробую тезисно обрисовать, как я на сегодняшний день вижу концепцию молочного эндо.1. У постоянных зубов даже идеальное эндо не даёт 100% чистоты и 100% вечной обтурации. На одном из вебинаров озвучивали исследование, что со временем протекает абсолютно всё, любой композит, силлер, даже хвалёный мта через 50 суток протекает 100%. Не протекает только сиц, и то если он идеально поставлен.2. Где-то здесь на форуме, давно, кто-то описывал пациентку (кажется, даже Док), которой пролечили эндо несколько зубов, и пролечили очень хорошо, 8 лет они стояли-не чихали, а потом стали обостряться один за другим все, кроме одного. Пациентку тотально обследовали и выявили онкологию. Т.е. в неудаче эндо виноват общий сбой иммунитета.3. Ещё одно известное исследование, где сравнивали зубы с хорошим/плохим эндо и хорошей/плохой коронковой реставрацией. У зубов с хорошим эндо/плохой реставрацией оказался прогноз хуже, чем у зубов с хорошей реставрацией/плохим эндо.4. Получается, что зуб с эндо - всегда очаг хронической инфекции, и чем меньше очаг, чем меньше течёт из-под материалов в периапекс, чем меньше в корне оставлено пустот, заполненных мушмулой с микробами, чем здоровее человек и лучше общий иммунитет, тем легче организму найти с зубом баланс и спокойно с ним жить без обострений. Не случайно ревматикам и людям с протезами клапанов рекомендуют удалять леченные эндо зубы.5. У организма есть несколько способов борьбы с эндодонтической инфекцией. Он может отгораживаться гранулёмой, гиперцементозом консервировать снаружи корень, резорбцией корня пытаться сожрать инфицированный участок, наконец, просто вытолкать плохой замумифицированный зуб, как инородное тело (все ведь видели поднимающиеся из десны резорцинки). Какой механизм преобладает - зависит от возраста, группы зуба, нагрузки, пародонта, ещё кучи всего, и в т.ч., от строения зуба.6. Молочный зуб построен таким образом и существует в таком организме и в таких условиях, что у него преобладают процессы резорбции и элиминации.7. Мельникова (?кажется) показывала картинку удалёнок-моляров с полной длиной корней с такой дикой анатомией, что их можно очистить, отмыть и запломбировать только какими-нить растворами-расплавами в центрифуге под десятью атмосферами. Со словами, мол, не тщи себя надеждой, ты не сделаешь здесь эндо никогда-никак-совсем. Если в постоянном эндо нетронутыми остаются от 30 до 70% поверхности корня, то здесь даже представить страшно .8. Поиски идеального силлера - в разгаре, потому что всё же всем хотелось бы, чтобы в каналах микробы чем-то убивались на постоянной основе. Но это "что-то" при этом не должно убивать сам организм, а так ведь не бывает... Некоторые гуру эндодонтии работают активным силлером на основе цоэ. Правда, это не владмивовский эодент Но эвгенол тоже токсичен. А гидроксид кальция - ваще крепкая щёлочь и разъедает всё живое, йад, ужас-ужас. Итого: у молочек в тканях корня всегда что-то остаётся, и всегда немало. Но чем здоровее дитё, чем живее зуб, чем больше мы уберём, чем ядовитей положим внутрь антисептик и чем герметичней всё замажем, тем лучше прогноз. Всё живое в корне получает инфекционную стимуляцию и даёт внутреннюю резорбцию ( чем хуже реставрашка - тем быстрее резорбция), поэтому даже успешная витальная ампутация с цоэ или пульпотеком выпадает всегда чуть раньше срока; идеал, который выпадет вовремя - это вит.ампутация с МТА и коронкой, посаженной на сиц (но коронку, как Полина справедливо заметила, сложнее идеально ввести в прикус, чем пломбу). Всё, что осталось в тканях корней неживого - это резервуар для инфекции, оно будет сожрано вместе с тканями корня ( это и незапломбированные неживые апексы после девита, и малая кривизна, и часть корня с мб2, дб2 и ещё чёрт-те какие части, и вообще весь корень целиком) либо вытолкано из челюсти вон, когда у зуба начинает опускаться десна либо сам зуб начинает подниматься и поворачиваться. Организм такую спокойно-деструктивную деятельность распознаёт как физ.смену и запускает рост зачатка. Через год-два-три (ну ладно, четыре) молочка падает сама либо с нашей незначительной помощью, и следом сразу растёт постоянный. Даже если это рано по возрасту, постоянный растёт спокойно и хороший, потому что он сам поменялся. Если же в этом случае плохая реставрашка - антисептик в канале быстро перестаёт быть ядовитым, а микробам, наоборот, открывается широкая дорога в резервуар с едой - будет неудача, массивные грануляции со стороны периодонта, которые затронут и зачаток, экспресс-резорбция корней и экспресс-элиминация в виде нагноения. Зачатку будет, скорее всего, плохо. А дальше надо вспомнить, что медицина и философия суть одно, что наша работа лежит между "не навреди" и "делай, что должен, и будь, что будет", что у организма очень большой запас компенсаторных возможностей, и врач не лечит болезнь, а только помогает организму её вылечить, ну и про ядовитость ядов, того же формалина, писала уже. Ведь мы, по сути, кариес и его осложнения не лечим, мы его ампутируем, только на разных уровнях, и всегда надо поймать ту самую грань, достаточный для заживления уровень ампутации с минимальным ущербом для целостности организма, используя фармакологию в виде "ядов" и ортопедию в виде "протезов-реставраций". А ещё "медицина вторая по точности наука после богословия", она не стоит на месте, и через 20лет над нашими потугами наши дети будут ржать так же, как мы сейчас над РФ-методом. Это моё мнение, которое хрен оспоришь, но контраргументы приветствуются 9 Ссылка на комментарий
Brigita Опубликовано 28 июня, 2016 Поделиться Опубликовано 28 июня, 2016 Умница. Ссылка на комментарий
crown Опубликовано 28 июня, 2016 Поделиться Опубликовано 28 июня, 2016 Интересное видение. Спасибо. Ссылка на комментарий
Джима Опубликовано 29 июня, 2016 Поделиться Опубликовано 29 июня, 2016 Интересное видение. Спасибо.А дискуссии, что, не будет?.. Ссылка на комментарий
crown Опубликовано 29 июня, 2016 Поделиться Опубликовано 29 июня, 2016 А дискуссии, что, не будет?.. так спорить нельзя же с шефом)) Ссылка на комментарий
crown Опубликовано 29 июня, 2016 Поделиться Опубликовано 29 июня, 2016 Народ ну подскажите вот такая ситуация. Парню 5 лет, 6.1 периодонтит, немного припухла десна, люксирует слабо, перкуссия болезненна. Как вы лечите? Вернее как обезболиваете? Попробовал без анестезии в канал, больно. Вообщем сделал анестезию со слезами с криками (больно, т. к. отек, ну и фронт больнее обезболить). Далее все норм, закинул са, вот только парень сильно расстроился, боюсь сломать его. Задние зубы лечим норм, анестезию терпит, а вот фронт беда. Как вы делаете? Ссылка на комментарий
Рекомендуемые сообщения
Для публикации сообщений создайте учётную запись или авторизуйтесь
Вы должны быть пользователем, чтобы оставить комментарий
Создать аккаунт
Зарегистрируйте новый аккаунт в нашем сообществе. Это очень просто!
Регистрация нового пользователяВойти
Уже есть аккаунт? Войти в систему.
Войти