ЕленаВалерьевна Опубликовано 13 мая, 2016 Поделиться Опубликовано 13 мая, 2016 лектор просто его использует. например периодонтит в обострении. все промыть хорошо и пульпосептин оставить на 3 дня под повязку. на следующий раз опять промыть и по ситуации. допускается 2-3 раза оставить повязку по 3 дня. потом пломбировка каналов и все. содержит антибиотик и дексаметазон. ну так у меня и кальций отлично работает на пару недель и потом пломбирую метапексом.про пульпотек вот у Тани подсмотрела методу, не знала что его на дно можно положить, попробую) а так по три дня да еще много раз, не охото много посещений, а в госе так и вовсе мне не подойдет, завышены скрои лечения напишут при проверке(( я пульпосептин если пробовала, то на 5-7 дней его накладывала, а уж во второе посещение пломбировка. о, кстати а после него можно ЦОЭ запломбировать же? ну вот и я в нем плюс нашла для себя) Ссылка на комментарий
Kota Опубликовано 13 мая, 2016 Поделиться Опубликовано 13 мая, 2016 я тоже больше кальцию доверяю, чем пульпосептину. да и гормон лишний раз детям ни к чему. а почему хвалили? в каких то определенных случаях или вообще типа он самый лучший? какую таблицу? там есть какая то реклама? если есть то не надо , лучше в личку скинуть) а вот фиг. говорю же, портится, и быстро. сейчас не вспомню уже, давно было, но кажется, где-то через месяц он уже не работал.а септомиксин не пробовала? Ссылка на комментарий
ЕленаВалерьевна Опубликовано 13 мая, 2016 Поделиться Опубликовано 13 мая, 2016 давай снимок вообще, если с временной зуб "не идёт", я его убираю.снимок только до лечения есть, 10 мая делали. сейчас на работу собираюсь, даже не знаю, может они уже удалили его утром, если не стало лучше. если полегчало, то придут 24-го долечивать.я тоже вчера как увидела его, настроила маму, что возможно удалять придется, жалко что возраст маленький. Ссылка на комментарий
Kota Опубликовано 13 мая, 2016 Поделиться Опубликовано 13 мая, 2016 да можно и сюда таблицу, ничё страшногоесли бы все так просто таблица на фото, а я не соображу как ее вставить. муж придет вечером разберется. Ссылка на комментарий
Kota Опубликовано 13 мая, 2016 Поделиться Опубликовано 13 мая, 2016 ну так у меня и кальций отлично работает на пару недель и потом пломбирую метапексом.про пульпотек вот у Тани подсмотрела методу, не знала что его на дно можно положить, попробую) а так по три дня да еще много раз, не охото много посещений, а в госе так и вовсе мне не подойдет, завышены скрои лечения напишут при проверке(( я пульпосептин если пробовала, то на 5-7 дней его накладывала, а уж во второе посещение пломбировка. о, кстати а после него можно ЦОЭ запломбировать же? ну вот и я в нем плюс нашла для себя)да, можно ЦОЭ. да я и после кальцие ЦОЭ пломбировала и все рассасывалось за пару лет. но раз пишу, что нельзя, то не будем. Ссылка на комментарий
Джима Опубликовано 13 мая, 2016 Поделиться Опубликовано 13 мая, 2016 после кальцие ЦОЭ пломбировала и все рассасывалось за пару лет. тоже делала несколько раз, вроде всё норм, но больше не делаю. думаю, там то, что не рассосалось, а это крохи, просто вытесняется под коронку и вместе с ней отваливается, да и всё. септомиксин не пробовала? не. мне кажется, те же яйца, только в профиль. гормон, опять же. имхо, воспаление само должно пройти, а не подавиться. Ссылка на комментарий
CRAZYDUCK Опубликовано 13 мая, 2016 Поделиться Опубликовано 13 мая, 2016 (изменено) привет, девчонки!!!как у вас тут интересно ! :wub: :wub: почитайте мое ообщение, пожалуйста в теме анестезия ( в детском разделе, тормозит ноут этот не вставляет ссылки) Изменено 13 мая, 2016 пользователем CRAZYDUCK Ссылка на комментарий
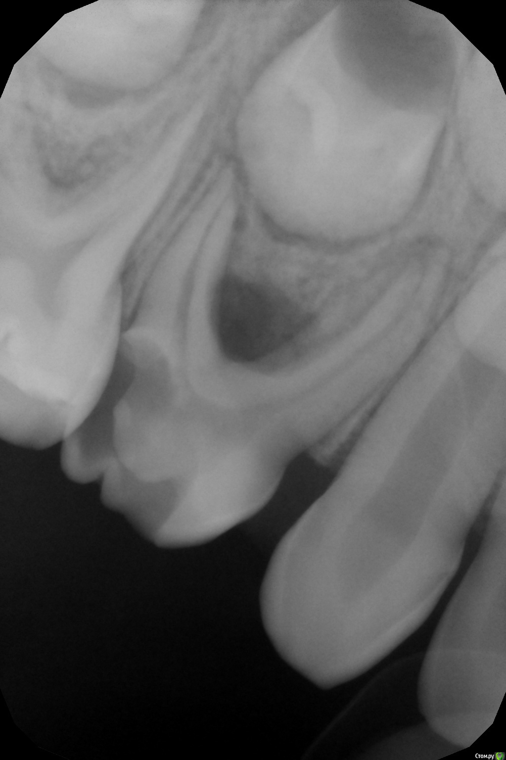
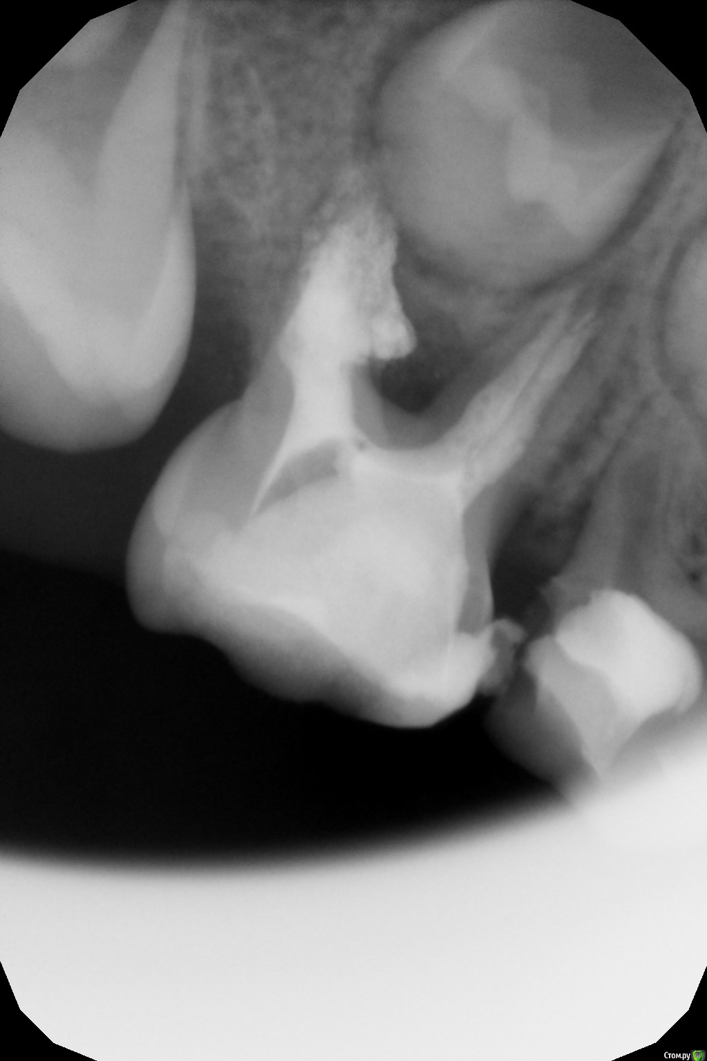
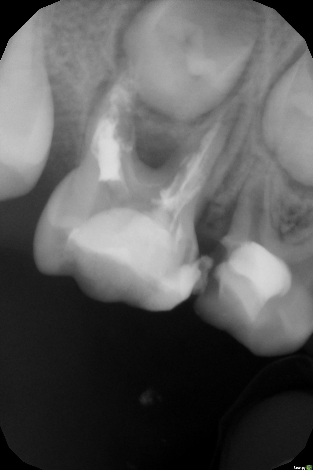
crown Опубликовано 31 мая, 2016 Поделиться Опубликовано 31 мая, 2016 5,5 лет, 75, ранее лечен по поводу кариеса, гигантская пломба, похоже на СИЦ, на десне с язычной стороны шишка), симптомы отсутствуют.Каналы про файлы 0.4 30, кровит нереально, особенно из дистальных, мед. обработка гипохлорит + перекись, оставил кальций на 2 недели. Сегодня свищ ушел, ничего не беспокоит, но дистальный язычный канал все равно кровит, остальные немного. Запломбировал метапексом вместе с кровью, назначил через пару дней. Почему кровит? И что делать с ним дальше? Удалять не хотят. Ссылка на комментарий
Джима Опубликовано 31 мая, 2016 Поделиться Опубликовано 31 мая, 2016 там же внутренняя резорпция обширная, в дистальных корнях. Надо было в дистальные не профайлами лезть, а вручную Н-файлами, и не "разрабатывать" ничего, а просто постараться выцарапать все грануляшки из каналов, не трогая сами стенки. возможно, что там уже дырки в стенках каналов были - тогда будет кровить, даже если в канале пусто. или вы дырки профайлом натёрли. или грануляции в каналах оставили. 2 Ссылка на комментарий
Kota Опубликовано 1 июня, 2016 Поделиться Опубликовано 1 июня, 2016 5,5 лет, 75, ранее лечен по поводу кариеса, гигантская пломба, похоже на СИЦ, на десне с язычной стороны шишка), симптомы отсутствуют.ИЛЬЯ_000.JPGКаналы про файлы 0.4 30, кровит нереально, особенно из дистальных, мед. обработка гипохлорит + перекись, оставил кальций на 2 недели. Сегодня свищ ушел, ничего не беспокоит, но дистальный язычный канал все равно кровит, остальные немного. Запломбировал метапексом вместе с кровью, назначил через пару дней. Почему кровит? И что делать с ним дальше? Удалять не хотят.ИЛЬЯ_я бы закрыла сейчас пломбой и ждала бы прорезывания 6 зуба. как только полностью прорежется шестерка- удалять и фиксатор места между 74 и 36. Ссылка на комментарий
Kota Опубликовано 1 июня, 2016 Поделиться Опубликовано 1 июня, 2016 там же внутренняя резорпция обширная, в дистальных корнях. Надо было в дистальные не профайлами лезть, а вручную Н-файлами, и не "разрабатывать" ничего, а просто постараться выцарапать все грануляшки из каналов, не трогая сами стенки. возможно, что там уже дырки в стенках каналов были - тогда будет кровить, даже если в канале пусто. или вы дырки профайлом натёрли. или грануляции в каналах оставили.Тань, как ты пломбируешь метапексом, он же вообще не лезет в каналы. вчера был мальчик, прошла 25 файлом. промыла, высушила. запломбировала файлом и каналонаполнителем тютелька в тютельку. это дистальный, там собственно и был очаг воспаления. а в мезиальный видно попала влага. допломбировала, но все равно канал пустой. основное условие для него это сухой канал или какие то фишки есть? Ссылка на комментарий
crown Опубликовано 1 июня, 2016 Поделиться Опубликовано 1 июня, 2016 там же внутренняя резорпция обширная, в дистальных корнях. Надо было в дистальные не профайлами лезть, а вручную Н-файлами, и не "разрабатывать" ничего, а просто постараться выцарапать все грануляшки из каналов, не трогая сами стенки. возможно, что там уже дырки в стенках каналов были - тогда будет кровить, даже если в канале пусто. или вы дырки профайлом натёрли. или грануляции в каналах оставили.Думаете там 2 дистальных корня? Так то все верно, только резорбция в верхней трети корня, а дальше норм стеночки толстые, а кровит именно из апикальной части. Ссылка на комментарий
crown Опубликовано 1 июня, 2016 Поделиться Опубликовано 1 июня, 2016 я бы закрыла сейчас пломбой и ждала бы прорезывания 6 зуба. как только полностью прорежется шестерка- удалять и фиксатор места между 74 и 36. согласен Ссылка на комментарий
Джима Опубликовано 1 июня, 2016 Поделиться Опубликовано 1 июня, 2016 может, не полностью раздельные, но и не один.Свет, метапекс, да, надо в сухой канал, канюля должна плотно перекрыть просвет канала, чтоб давилось внутрь, а не вокруг канюли наружу, метапекс должен быть свежим и правильно хранимым на складе (очень часто он слишком густой, не идёт сквозь канюлю, не знаю, с чем это связано, но факт). Уплотняю потом шариком пульпотека. 1 Ссылка на комментарий
Джима Опубликовано 2 июня, 2016 Поделиться Опубликовано 2 июня, 2016 такая внутрянка потом вот так заканчивается:http://radikal.ru:8033/tempfiles/944645611b6245738098a3440436f518/-88693455.jpghttp://radikal.ru:8033/tempfiles/1f5a186b77424a42abc5b9ebf07dc18e/-88693455.jpgоставила тоже до прорезывания 4.6, там и коронки почти нет. Ссылка на комментарий
crown Опубликовано 2 июня, 2016 Поделиться Опубликовано 2 июня, 2016 Родителям в данной ситуации проблематично объяснить, что нужно заплатить за лечение зуба, который уйдет через пол года. Кстати почему начальную резорбцию можно остановить и добиться заживления, а вот если пол корня рассосалось, то шансов нет? Ссылка на комментарий
Джима Опубликовано 2 июня, 2016 Поделиться Опубликовано 2 июня, 2016 ну почему же полгода? ему отстоять год, а может, и полтора, пока 46 встанет в прикус. а вообще, думаю, если всё заживёт, можно его через месяца три-четыре короночкой покрыть - пожуёт ещё. у таких остатков проблема в разгерметизации пломбы: зуба почти нет, пломба огромна, как ни старайся, а через время всё равно протечёт и опять разрежение будет на снимке. а с коронкой не протечёт.здесь эвгенолкой пломбировала. метапекс уйдёт мгновенно. Кстати почему начальную резорбцию можно остановить и добиться заживления, а вот если пол корня рассосалось, то шансов нет? не совсем поняла вопрос? начальную внутреннюю резорбцию? Ссылка на комментарий
crown Опубликовано 2 июня, 2016 Поделиться Опубликовано 2 июня, 2016 Да интересно, а я думал зубу капец. Так может и мой поживет, попробую закрыть коронкой. Нет имею виду верхушечную резорбцию вследствии гранулирующего периодонтита. Ссылка на комментарий
Джима Опубликовано 2 июня, 2016 Поделиться Опубликовано 2 июня, 2016 про ваш не знаю. там больно жидко метапекс в каналах выглядит, и кровило, говорите, сильно. вряд ли долго простоит. Света правильно написала, 36 выйдет - и на выход. Ещё раз напишу. Верхушечной резорбции в чистом виде у молочек практически не бывает. Резорбция идёт по фуркации с переходом на малую кривизну и до апекса - организм пытается съесть всё, что содержит воспалённую пульпу. Даже ещё не так: воспалённая пульпа, в т.ч. и в мелких канальцах в указанной зоне, работает как одно целое с воспалённым периодонтом в этой зоне. Вместе они съедают малую кривизну (забавно, что часто целым остаётся собственно апекс, бывает, что он полностью отделяется от корня). Наружная часть корня остаётся целой. А корневой канал становится срезанным по косой, с широченным выходным отверстием (назвать это апексом сложно). Чем больше эта дыра, тем быстрее вымывается материал из корневого канала. А пустоты в природе не бывает Мы используем активные силлеры - гидроокись кальция или ЦОЭ. Они не дают размножиться флоре. Нет силлера - есть флора, потому что говорить о 100% герметичных реставрациях в детстве не приходится: зубки мелкие, насыщенные органикой и одновременно хрупкие, с очень тонкими стенками. Поэтому наше лечение - это балансирование между плохими микробами в плохом зубе и хорошо проделанной работой в хорошем здоровом детском организме. Чем плотнее забита устьевая половина корня и чем надёжнее реставрация - тем выше шансы на успех у здорового ребёнка. 1 Ссылка на комментарий
crown Опубликовано 3 июня, 2016 Поделиться Опубликовано 3 июня, 2016 Понятно. Спасибо. Сегодня меньше кровил, видимо все таки там перфорация. Перепломбировал. Ждем. 1 Ссылка на комментарий
crown Опубликовано 3 июня, 2016 Поделиться Опубликовано 3 июня, 2016 Джима еще один вопрос. В молочных зубах рекомендуется пломбировать каналы на 2\3, так как разрежение в бифуркации или в малой кривизне, получается часть нерва, который в апикальной трети мы оставляем, а сверху на нем лежит паста? Ссылка на комментарий
Джима Опубликовано 3 июня, 2016 Поделиться Опубликовано 3 июня, 2016 как-то так, да.если апикальная часть пульпы живая, разрежения мы там не увидим, канал будет тоненьким, и нечего туда лезть, имхо. где-то выше писала, почему. если не живая - паста зайдёт сама до апекса и за апекс, т.к. там не апекс, а дыра уже. Ссылка на комментарий
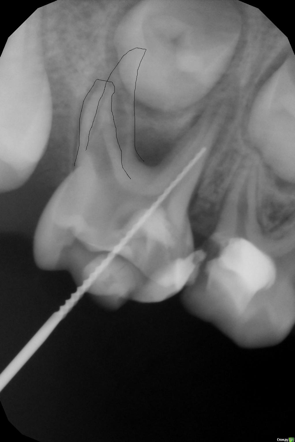
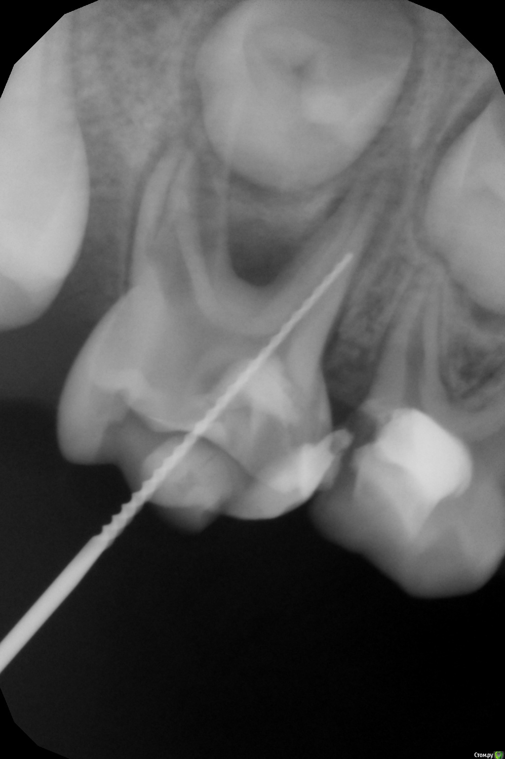
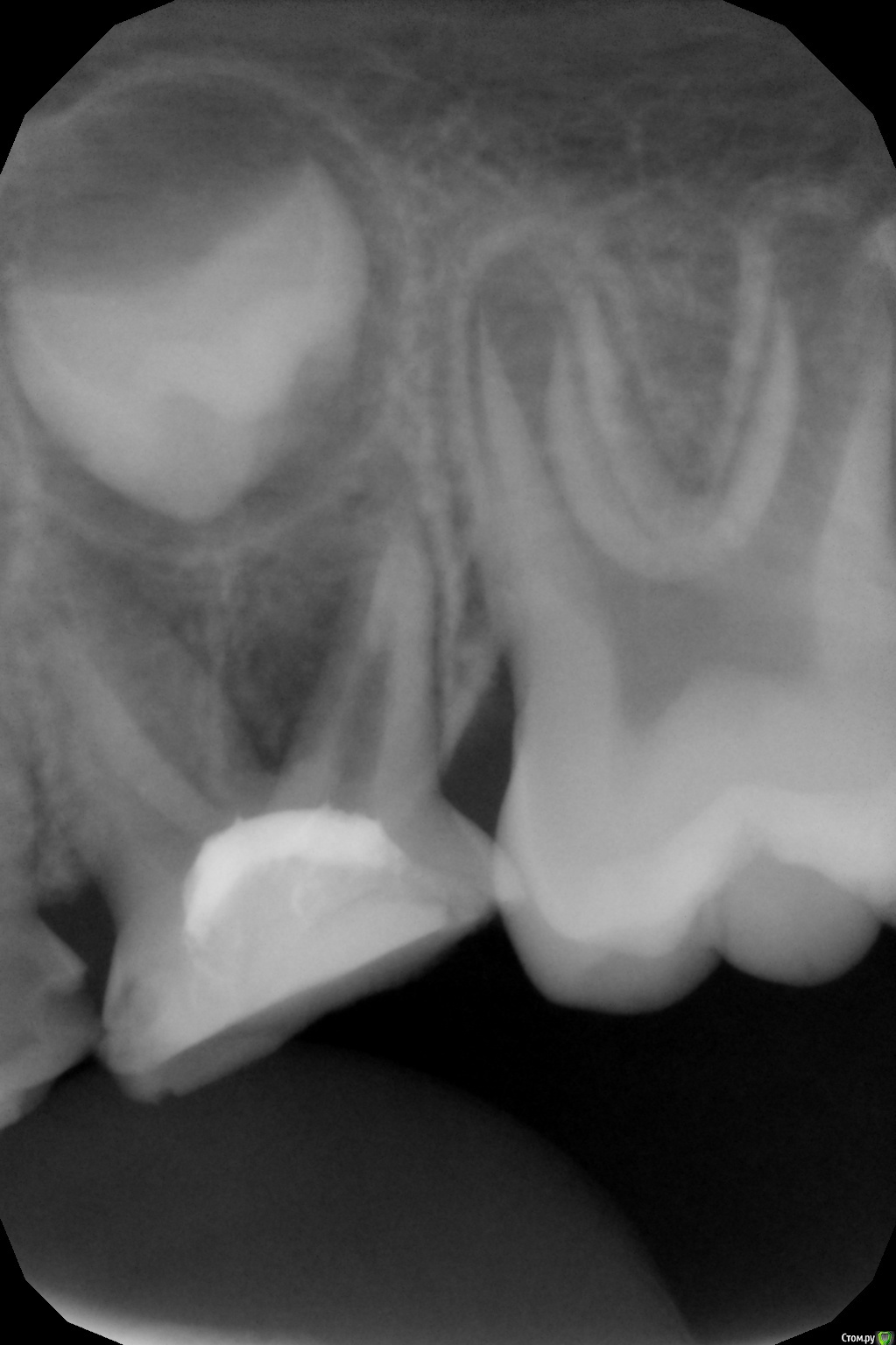
crown Опубликовано 13 июня, 2016 Поделиться Опубликовано 13 июня, 2016 5,5 лет, 8.5 - ранее лечен рф методом. Смущает дистальный корень, боюсь в процессе эндо будет перфо. Что думаете? Ссылка на комментарий
Джима Опубликовано 14 июня, 2016 Поделиться Опубликовано 14 июня, 2016 может, уже есть. машиной не лезьте, только руками, и родителям сразу говорите, что это "разведка боем", диагностическое препарирование, которое может закончиться удалением. временную с кальсептом, под ней видно будет, "пойдёт" зуб, или лучше удалить. 1 Ссылка на комментарий
crown Опубликовано 14 июня, 2016 Поделиться Опубликовано 14 июня, 2016 может, уже есть. машиной не лезьте, только руками, и родителям сразу говорите, что это "разведка боем", диагностическое препарирование, которое может закончиться удалением. временную с кальсептом, под ней видно будет, "пойдёт" зуб, или лучше удалить.Я так понял если будет кровить после кальсепта то удаление. Что то зачастили периодонтиты вот еще один. Что с этим делать? Ссылка на комментарий
Рекомендуемые сообщения
Для публикации сообщений создайте учётную запись или авторизуйтесь
Вы должны быть пользователем, чтобы оставить комментарий
Создать аккаунт
Зарегистрируйте новый аккаунт в нашем сообществе. Это очень просто!
Регистрация нового пользователяВойти
Уже есть аккаунт? Войти в систему.
Войти