kamranchick Опубликовано 23 февраля, 2018 Поделиться Опубликовано 23 февраля, 2018 Спасибо,через 6 мес буду ставить 1 имплант в область 2.6.Да, вижу, что получился зиккурат, я еще плохо себе представляю как рассчитать соотношение высоты к основанию объёма,для наметки высоты я засверливаюсь на 3мм ниже будущей "вершины" или "будущего дна пазухи", не понимаю где будут границы основания.и старайтесь доводить до медиальной стенки. 1 Ссылка на комментарий
dok1 Опубликовано 23 февраля, 2018 Поделиться Опубликовано 23 февраля, 2018 А сразу имплант что не поставили? Ссылка на комментарий
Sampson Опубликовано 24 февраля, 2018 Поделиться Опубликовано 24 февраля, 2018 (изменено) А сразу имплант что не поставили?При планировании было желание рискнуть, попробовать,но опыта пока мало, суммарно я поставил 20 имплантов. Первый синус с установкой, так вообще бывает? Изменено 24 февраля, 2018 пользователем Sampson Ссылка на комментарий
Sampson Опубликовано 24 февраля, 2018 Поделиться Опубликовано 24 февраля, 2018 и старайтесь доводить до медиальной стенки. Спасибо, подскажите как рассчитывать, суммарный объём графта для операции? И границы окна. Ссылка на комментарий
kamranchick Опубликовано 24 февраля, 2018 Поделиться Опубликовано 24 февраля, 2018 границы окна делайте такое окно чтобы было вам видно все.а графт в первое время берите побольше...1 грамм берите не прогадаете) Ссылка на комментарий
Sampson Опубликовано 24 февраля, 2018 Поделиться Опубликовано 24 февраля, 2018 границы окна делайте такое окно чтобы было вам видно все.а графт в первое время берите побольше...1 грамм берите не прогадаете) спасибо Ссылка на комментарий
Irouil Опубликовано 24 февраля, 2018 Поделиться Опубликовано 24 февраля, 2018 При планировании было желание рискнуть, попробовать,но опыта пока мало, суммарно я поставил 20 имплантов. Первый синус с установкой, так вообще бывает?Не поверите, первый был с удалением и одномоментно имплантацией) Ссылка на комментарий
Aquarius Опубликовано 24 февраля, 2018 Поделиться Опубликовано 24 февраля, 2018 лет 5 назад пошел бы по протоколу- синус - импл с заглушкой - формик. Сейчас - маленько все притупилось. Заякорился, простите, за слово , имплом - пусть стоит. не вдохнет, пациент, надеюсь)) Губку напихал и все. Ссылка на комментарий
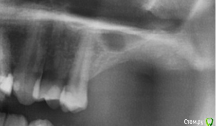
kamranchick Опубликовано 22 апреля, 2018 Поделиться Опубликовано 22 апреля, 2018 (изменено) Пациент после открытого синуса 2 месяца прошло, какие мысли коллеги? что делать, ничего не беспокоит, во рту все стабильно. Изменено 22 апреля, 2018 пользователем kamranchick Ссылка на комментарий
Irouil Опубликовано 22 апреля, 2018 Поделиться Опубликовано 22 апреля, 2018 Если сроки реабилитации не являются ключевым вопросом для пациента я бы оставил Ссылка на комментарий
kamranchick Опубликовано 22 апреля, 2018 Поделиться Опубликовано 22 апреля, 2018 Если сроки реабилитации не являются ключевым вопросом для пациента я бы оставилДобро) такое ощущение что мы с тобой вдвоем на форуме сидим)) Ссылка на комментарий
Irouil Опубликовано 22 апреля, 2018 Поделиться Опубликовано 22 апреля, 2018 Добро) такое ощущение что мы с тобой вдвоем на форуме сидим))Да нет, ты тут сам) я твое альтер эго, на самом деле) Вообще я чего-то траванулся и сегодня устроил себе выходной, так что делать все равно нечего, надо поднимать активность форумную 1 Ссылка на комментарий
Павел7809 Опубликовано 22 апреля, 2018 Поделиться Опубликовано 22 апреля, 2018 Друзья! Совершенно не могу найти схему подготовки к синусу через назонекс(хотя знаю точно что на форуме была!). Речь идет о хроническом гайморите с утолщением слизистой и все такое... Может кто пальцем ткнет или напишет....Был бы крайне признателен... Ссылка на комментарий
Smileee Опубликовано 23 января, 2019 Поделиться Опубликовано 23 января, 2019 Коллеги! Подскажите, стоит ли пытаться сохранить костное окно, сформировав его по периметру шаровидным бором для дальнейшего использования в качестве изоляции окна или не стоит этого делать и спилить весь кортикал фрезой (с точки зрения рисков)? Высоки ли риски перфорации при отделении кортикальной пластины от мембраны (после формирования окна)? Ссылка на комментарий
kamranchick Опубликовано 24 января, 2019 Поделиться Опубликовано 24 января, 2019 Коллеги! Подскажите, стоит ли пытаться сохранить костное окно, сформировав его по периметру шаровидным бором для дальнейшего использования в качестве изоляции окна или не стоит этого делать и спилить весь кортикал фрезой (с точки зрения рисков)? Высоки ли риски перфорации при отделении кортикальной пластины от мембраны (после формирования окна)?легче конечно алмазом все окно выпилить, риски при отделении есть, в зависимости от толщины мембраны, но при укладывании костного окна на места уже не нужна мембрана и восстановление уже идет лучше. 1 Ссылка на комментарий
Smileee Опубликовано 24 января, 2019 Поделиться Опубликовано 24 января, 2019 легче конечно алмазом все окно выпилить, риски при отделении есть, в зависимости от толщины мембраны, но при укладывании костного окна на места уже не нужна мембрана и восстановление уже идет лучше.Спасибо за ответ! Дело в том, что я ни разу не проводил отделение костного окна от мембраны. В момент сепаровки фрагмент будет подвижен, в отличии от стенок гайморовой пазухи и поэтому даже не знаю как мембрана себя поведет. Опыта в этом нет, может кто уже делал так, есть ли какие-то нюансы? И ещё, если рассматривать три варианта проведения ОСЛ, на каком из ниже перечисленных вы бы сделали свой выбор:1. Сформировать окно шаровидным бором по периметру и затем отделить данный фрагмент от мембраны для дальнейшего перекрытия им окна в конце, мембрану уложить только в области крыши.2. Сформировать окно шаровидным бором по периметру и затем не отделяя фрагмент сместить его в направлении крыши,а окно доступа в конце перекрыть мембраной.3. Сформировать окно специализированной фрезой и уложить мембрану в области крыши и латерального доступа. Ссылка на комментарий
___49___ Опубликовано 24 января, 2019 Поделиться Опубликовано 24 января, 2019 Спасибо за ответ! Дело в том, что я ни разу не проводил отделение костного окна от мембраны. В момент сепаровки фрагмент будет подвижен, в отличии от стенок гайморовой пазухи и поэтому даже не знаю как мембрана себя поведет. Опыта в этом нет, может кто уже делал так, есть ли какие-то нюансы? И ещё, если рассматривать три варианта проведения ОСЛ, на каком из ниже перечисленных вы бы сделали свой выбор:1. Сформировать окно шаровидным бором по периметру и затем отделить данный фрагмент от мембраны для дальнейшего перекрытия им окна в конце, мембрану уложить только в области крыши.2. Сформировать окно шаровидным бором по периметру и затем не отделяя фрагмент сместить его в направлении крыши,а окно доступа в конце перекрыть мембраной.3. Сформировать окно специализированной фрезой и уложить мембрану в области крыши и латерального доступа.+1 также интересует мнение более опытных коллег в вопросе отркрытого синуса. Хочу на днях сделать по 2 варианту . Ссылка на комментарий
Борис80 Опубликовано 24 января, 2019 Поделиться Опубликовано 24 января, 2019 выделение и сохранение окна-это лишние риски.Ваша задача( по моему мнению) делать манипуляции максимально предсказуемо( читай максимально упростив) и использовать те методики, которые лучше всего получаются у вас. Если вы будете ставить цель сохранить кусок кортикалки, вы гарантировано увеличите процент осложнений, борьба с которыми перекроет в разы всю пользу от полученного кусочка кости. Если вы видите толстую мембрану-сохраняйте кость, есть есть риск перфораций-сворачивайте дополнительные действия . У вас же набор ДАСК есть, зачем бором пилить? Скажу из личного опыта с ДАСКОМ, если пилишь алмазной фрезой, проблемы только с совсем тонкой мембраной, та фреза, которая коронка дает перфорации значительно чаще, тк не всегда заранее возможно оценить крепкость мембраны По поводу отделения кости от мембраны , если вы сделали пропил по кругу и кортикалка держится на плотной мембране, без перфораций, используйте обычную серповидную гладилку 1 Ссылка на комментарий
Борис80 Опубликовано 24 января, 2019 Поделиться Опубликовано 24 января, 2019 ЗЫ. внутрь итальянцы показывают, что не мембрану, а типа гемостатическую губку кладут Если родная мембрана без перфораций и плотная, дополнительные мембраны не использую совсем Ссылка на комментарий
Smileee Опубликовано 24 января, 2019 Поделиться Опубликовано 24 января, 2019 ЗЫ. внутрь итальянцы показывают, что не мембрану, а типа гемостатическую губку кладут Если родная мембрана без перфораций и плотная, дополнительные мембраны не использую совсемМаленькую перфорацию иногда можно не заметить, поэтому для собственного спокойствия думаю что лучше подкладывать мембрану) Ссылка на комментарий
___49___ Опубликовано 24 января, 2019 Поделиться Опубликовано 24 января, 2019 Маленькую перфорацию иногда можно не заметить, поэтому для собственного спокойствия думаю что лучше подкладывать мембрану)какую мембрану вы подкладываете? Ссылка на комментарий
Smileee Опубликовано 25 января, 2019 Поделиться Опубликовано 25 января, 2019 какую мембрану вы подкладываете? Впринципе можно любую резорбируюмую, лично я использую биоматрикс, цена/качество устраивают) Ссылка на комментарий
___49___ Опубликовано 25 января, 2019 Поделиться Опубликовано 25 января, 2019 Впринципе можно любую резорбируюмую, лично я использую биоматрикс, цена/качество устраивают)Много поставили ? слышал про них , но опасаюсь . Ссылка на комментарий
Smileee Опубликовано 25 января, 2019 Поделиться Опубликовано 25 января, 2019 Много поставили ? слышал про них , но опасаюсь .5 штук, но ещё не открывал. Использовал те, что тонкие. Ссылка на комментарий
Дмитрий М Опубликовано 25 января, 2019 Поделиться Опубликовано 25 января, 2019 ПРФ мембрана приготовленная в боксе или если нет бокса, можно чашкой петри отжимать перевернув крышку. сама прилипает, не нужны дополнительные манипуляции по подгонке Губкой тоже прикольно ) мне понравилось ))) Ссылка на комментарий
Рекомендуемые сообщения
Для публикации сообщений создайте учётную запись или авторизуйтесь
Вы должны быть пользователем, чтобы оставить комментарий
Создать аккаунт
Зарегистрируйте новый аккаунт в нашем сообществе. Это очень просто!
Регистрация нового пользователяВойти
Уже есть аккаунт? Войти в систему.
Войти