руслан64 Опубликовано 9 апреля, 2015 Поделиться Опубликовано 9 апреля, 2015 Спасибо, Саша! Ссылка на комментарий
Mailze Опубликовано 9 апреля, 2015 Поделиться Опубликовано 9 апреля, 2015 Вы немного ошибаетесь. Например, посмотрите какая тут толщина резцов до лечения: А вот так выглядит воск и техник красным маркером пометил зону, где я должен снять композит с зубов, прежде чем изготовить мокап: А вот что получилось. Против часовой стрелки: 1) До лечения, 2) Воксап, 3) Мокап, 4) Окончательные реставрации. Все верно, Александр Владимирович. Видимо я не правильно понял вопрос. Имел в виду другое, если техник значительно откорректировал направление зубов на модели, наложить её на зубной ряд без препарирования не получится. Ссылка на комментарий
Bobby Опубликовано 9 апреля, 2015 Поделиться Опубликовано 9 апреля, 2015 Все верно, Александр Владимирович. Видимо я не правильно понял вопрос. Имел в виду другое, если техник значительно откорректировал направление зубов на модели, наложить её на зубной ряд без препарирования не получится. Значит и я не понял Вас, но полностью согласен. Ссылка на комментарий
Bobby Опубликовано 9 апреля, 2015 Поделиться Опубликовано 9 апреля, 2015 Спасибо, Саша! Ссылка на комментарий
Dmitriy84 Опубликовано 9 апреля, 2015 Поделиться Опубликовано 9 апреля, 2015 (изменено) Это всё что есть.Значит я не ошибся в том, что Ваш техник не запаривается моделировать работу не доходя границы препа и не делает плавных линий перехода винира в зуб. Как и в том кейсе с "типа недосевшим виниром", там излом виден, а здесь дистальные контакты "хромают". Я бы на вашем месте техника бы озадачил. Главное, чтобы только не в ущерб эстетике, т. к. она- Зэ Бэст! Изменено 9 апреля, 2015 пользователем Dmitriy84 Ссылка на комментарий
Bobby Опубликовано 9 апреля, 2015 Поделиться Опубликовано 9 апреля, 2015 Значит я не ошибся в том, что Ваш техник не запаривается моделировать работу не доходя границы препа и не делает плавных линий перехода винира в зуб. Как и в том кейсе с "типа недосевшим виниром", там излом виден, а здесь дистальные контакты "хромают". Я бы на вашем месте техника бы озадачил. Главное, чтобы только не в ущерб эстетике, т. к. она- Зэ Бэст!Вы просто не были на курсе Манье, там был ответ на ваш вопрос насчёт стыков виниров с тканями зуба в интерпроксимальных участках. Ссылка на комментарий
Bobby Опубликовано 9 апреля, 2015 Поделиться Опубликовано 9 апреля, 2015 То, что Вам кажется случайностью или недочётом, сделано специально. Ссылка на комментарий
Dmitriy84 Опубликовано 9 апреля, 2015 Поделиться Опубликовано 9 апреля, 2015 Вы просто не были на курсе Манье, там был ответ на ваш вопрос насчёт стыков виниров с тканями зуба в интерпроксимальных участках.Я понял о чём Вы), просто не видел фото виниров после Вашей фиксации и провёл анологию с тем злосчастным... Ссылка на комментарий
Bobby Опубликовано 13 апреля, 2015 Поделиться Опубликовано 13 апреля, 2015 Я понял о чём Вы), просто не видел фото виниров после Вашей фиксации и провёл анологию с тем злосчастным... Дмитрий, у меня не было возможности ответить был в зарубежной поездке. Я тут немного порисовал, художником никогда не был, но постараюсь донести свою мысль: http://i209.photobucket.com/albums/bb76/Baburov/Baburov070/IMG_5046_zpsoanu3jtq.jpg http://i209.photobucket.com/albums/bb76/Baburov/Baburov070/IMG_5048_zpscl9gbzyc.jpg 1 - винир без редукции контакного пункта2 - винир с редукцией контактного пункта 3 - винир с редукцией контакта, но граница препарирования уходит на нёбную поверхность, создавая поднутрение, что не позволит сохранить путь введения винира с вестибулярной поверхности. В таком случае два подхода: а) снести больше тканей, чтобы не было поднутрения б) сделать винир "короче" и провести "затирку" композитом (помечено стрелками). Понятна концепция? Есть ещё выход: сделать путь введения реставрации как у коронки, т.е. со стороны режущего края (вдоль оси зуба), но тогда вам придётся отказаться от трёхплоскостного препарирования вестибулярной поверхности и перевести в двухплоскотное, получится винир/коронка три четверти. Но в таком случае мы больше уничтожаем эмали, которая является важнейшим субстратом для адгезивной фиксации. 9 Ссылка на комментарий
Dmitriy84 Опубликовано 13 апреля, 2015 Поделиться Опубликовано 13 апреля, 2015 (изменено) NBТак отменно парировать мой намёк показать post-op!Я отстал в восхищении без иронии улыбка с лица не сходит Изменено 13 апреля, 2015 пользователем Dmitriy84 Ссылка на комментарий
Bobby Опубликовано 17 апреля, 2015 Поделиться Опубликовано 17 апреля, 2015 Я даже не понял, что Вы файнал вью хотите увидеть )))Пациентка прилетит на КО, пофотографирую. 1 Ссылка на комментарий
molchanoff Опубликовано 18 апреля, 2015 Поделиться Опубликовано 18 апреля, 2015 Я был у вас, но с очень коротенькой программой. В этом году буду в Ставрополе, Москве, Красноярске и Иркутске. А когда в Иркутск планируете? Ссылка на комментарий
Bobby Опубликовано 19 апреля, 2015 Поделиться Опубликовано 19 апреля, 2015 А когда в Иркутск планируете? Планировалось осенью 2015. Даты не утверждены. Ссылка на комментарий
molchanoff Опубликовано 19 апреля, 2015 Поделиться Опубликовано 19 апреля, 2015 Ок Ссылка на комментарий
Bratok Опубликовано 2 апреля, 2016 Поделиться Опубликовано 2 апреля, 2016 (изменено) Искал и нашел таки эту тему Хотел бы задать пару вопросов..При фиксации виниров нужно ли расклинивать зубы? У меня один раз было так что при примерке все ок-а на фиксации между зубами появилась небольшая щель.. Расклинивание помогло бы решить проблему? Просто когда натягиваешь фум ленту на соседний зуб получается тонкая прослойка этой ленты и когда ее снимаешь на ее толщину щель..или механизм другой? я правильно понял центральные резцы (виниры) лучше фиксировать одновременно? Изменено 2 апреля, 2016 пользователем Bratok Ссылка на комментарий
DR.P Опубликовано 2 апреля, 2016 Поделиться Опубликовано 2 апреля, 2016 (изменено) Искал и нашел таки эту тему Хотел бы задать пару вопросов..При фиксации виниров нужно ли расклинивать зубы? У меня один раз было так что при примерке все ок-а на фиксации между зубами появилась небольшая щель.. Расклинивание помогло бы решить проблему? Просто когда натягиваешь фум ленту на соседний зуб получается тонкая прослойка этой ленты и когда ее снимаешь на ее толщину щель..или механизм другой? я правильно понял центральные резцы (виниры) лучше фиксировать одновременно?Фум лента бывает разной толщины. Но дело не в этом..В начале мы смотрим внимательно как сидят виниры именно на чек модели. Должен быть пассивный фит, но при этом контакт в контакт. Если на примерке виниры сидят контакт в контакт, при этом пассивно и не толкаются между собой, то абсолютно так же они должны сидеть после фиксации. Так же хочу спросить была ли чек модель (она делается сразу же по рабочему оттиску после изготовления рабочей модели) И по поводу оттиска, он должен быть одноэтапным. Виниры делали с полным/неполным раскрытием контактов? Вероятные причины:1) Отсутствие чек модели и как следствие отсутсвие проверки техниками контактов именно на чек модели2) Двухэтапный оттиск, а не одноэтапный3) Возможно полировка апроксимальных пунктов была агрессивной и стала причиной разобщения контакта, особенно если виниры изготавливались с неполным раскрытием контакта Изменено 2 апреля, 2016 пользователем DR.P 1 Ссылка на комментарий
DR.P Опубликовано 2 апреля, 2016 Поделиться Опубликовано 2 апреля, 2016 я правильно понял центральные резцы (виниры) лучше фиксировать одновременно?Я всегда начинаю именно с центральных - это как эталон и доминирующая часть улыбки. Фиксирую центральные оба сразу, дальше попарно симметрично (2-2, 3-3.....) Ссылка на комментарий
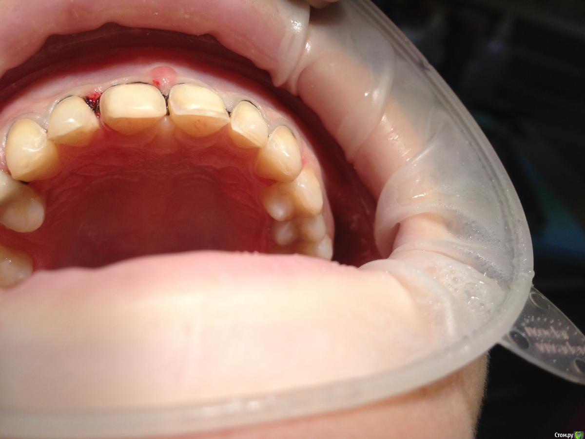
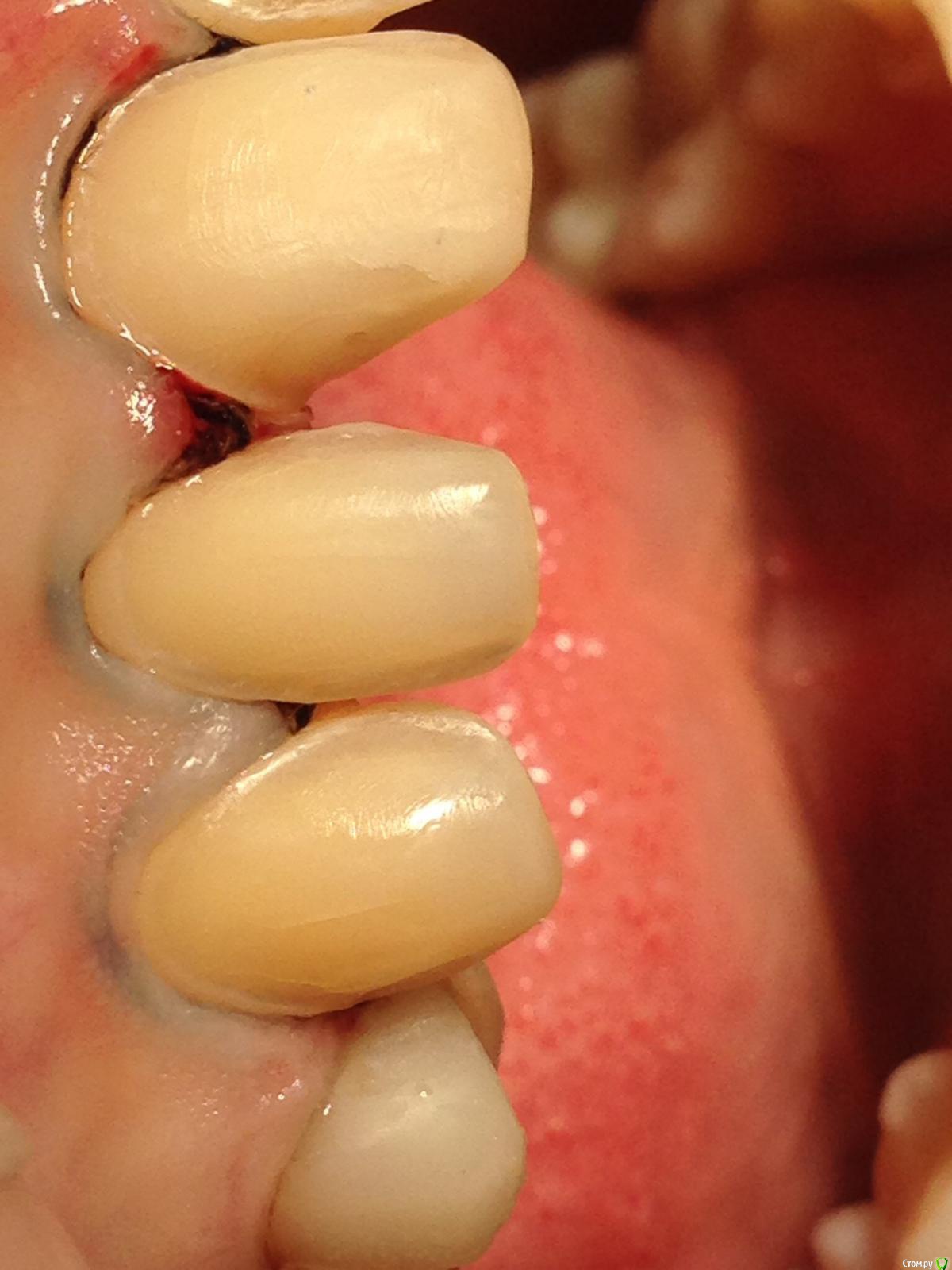
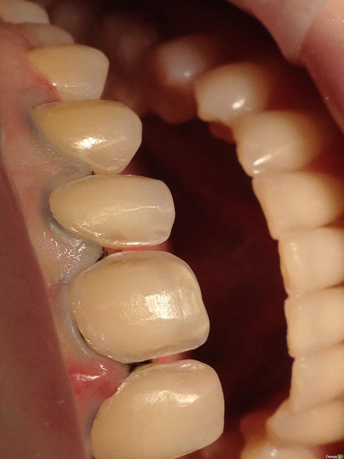
Bratok Опубликовано 2 апреля, 2016 Поделиться Опубликовано 2 апреля, 2016 (изменено) Это новый кейс. Извиняюсь за качество фоток..Раскрытие контактов как на фото.Чек модель не делалась. Тепеоь будет делаться спасибо!!Оттиски всегда одноэтапно. Масса bisico. Что скажете по поводу препа? Какие замечания? Изменено 2 апреля, 2016 пользователем Bratok Ссылка на комментарий
DR.P Опубликовано 2 апреля, 2016 Поделиться Опубликовано 2 апреля, 2016 (изменено) Это новый кейс. Извиняюсь за качество фоток..Раскрытие контактов как на фото.Чек модель не делалась. Тепеоь будет делаться спасибо!!Оттиски всегда одноэтапно. Масса bisico.Что скажете по поводу препа? Какие замечания?Отличные слепки! Аккуратное препарирование. Но есть один момент: когда вы раскрываете контакты, то не нужно делать уступы апроксимально (имею ввиду не придесневой, а именно на стенке) вы просто выходите бором в сторону неба, получается придесневой уступ только в апроксимальной и вестибулярных зонах, а стенки ровные: таким образом граница керамика-зуб будет небно, а у вас получается сложная фигура - отсюда и проблема с контактами (техникам сложно делать эту волну в контакт) Если вы хотите оставить такое препарирование как на фото, тогда не нужно было раскрывать контакты, а просто пройтись штрипсой - слегка (для тонкого коррегирующего слоя)Завтра вышлю фото) Изменено 2 апреля, 2016 пользователем DR.P 1 Ссылка на комментарий
chervoncevdaniil Опубликовано 2 апреля, 2016 Поделиться Опубликовано 2 апреля, 2016 По протоколу Рыбалка препарировали?Как впечатления? Ссылка на комментарий
Bratok Опубликовано 2 апреля, 2016 Поделиться Опубликовано 2 апреля, 2016 Огромное спасибо за комментарий! Учту этот моиент! Если честно я так и делал, без уступа в аппроксимальной области, Но..техник с которым я работал не понял задумки и сделал виниры, границы которых не перекрывали всей отпрепарированной поверхности... И позже он просил делать символ хотябы уступа по границам..с тех появился "страх" что ли, что техников надо вести по грантцам.. Хотя я понимаю, что это бред полнейший ) просто как один из этапов моего развития )) Еще раз спасибо за комментарий! На счет протокола Е.Рыбалки я начал с центральных по его схеме..протокол сильно экономит время и не позволяет убрать лишнего..мне так показалось..(если сравнивать, например, с протоколом Максимова..) С другой стороны, как сказал сам Е.Рыбалка не так давно - вы можете точить по кому то, то есть если вы были у Фрадеани или Мешке вы не точите по Фрадеани, это Фрадеани точит по Фрадеани Так и тут.. Ссылка на комментарий
Bratok Опубликовано 2 апреля, 2016 Поделиться Опубликовано 2 апреля, 2016 Кстати добавлю еще один мой страх ) как точить под виниры, без раскрытия контактов..там иногда бывает тонкая щель(например между центральными) и масса слепочная рвется, застревая в этих промежутках.. Ссылка на комментарий
Петр Бриньковский Опубликовано 3 апреля, 2016 Поделиться Опубликовано 3 апреля, 2016 Кстати добавлю еще один мой страх ) как точить под виниры, без раскрытия контактов..там иногда бывает тонкая щель(например между центральными) и масса слепочная рвется, застревая в этих промежутках..Попробуйте закрывать межзубные щели жидким коффердамом Ссылка на комментарий
art700 Опубликовано 3 апреля, 2016 Поделиться Опубликовано 3 апреля, 2016 Кстати добавлю еще один мой страх ) как точить под виниры, без раскрытия контактов..там иногда бывает тонкая щель(например между центральными) и масса слепочная рвется, застревая в этих промежутках..Если есть щель раскрывайте контакты. или я что-то не так понимаю в вашем вопросе? Ссылка на комментарий
Рекомендуемые сообщения
Для публикации сообщений создайте учётную запись или авторизуйтесь
Вы должны быть пользователем, чтобы оставить комментарий
Создать аккаунт
Зарегистрируйте новый аккаунт в нашем сообществе. Это очень просто!
Регистрация нового пользователяВойти
Уже есть аккаунт? Войти в систему.
Войти