Гарриевич Опубликовано 31 января Автор Поделиться Опубликовано 31 января Когда в твоем кресле оказывается пациент с редким заболеванием «стоматолог-терапевт» работать всегда… легче. Именно! Потому что ты на 100% уверен, что этот человек понимает разницу между «гарантия» и «прогноз», а он на 100% уверен, что ты тот кто ему нужен. Зуб 4.7 со сложной анатомией, ступенькой в мезиальной системе, двойным изгибом, пропущенным каналом и апикальным периодонтитом. Реколл 1 год И сам осмотр через 1 год 4 1 1 Ссылка на комментарий
Carioznik Опубликовано 31 января Поделиться Опубликовано 31 января Наконечник для ручных файлов для чего использовали (для ступени)? А то, у меня где-то пылится такой, я и забыл про него... Ссылка на комментарий
Гарриевич Опубликовано 2 февраля Автор Поделиться Опубликовано 2 февраля @Carioznik да, им проще сглаживать ступень, проходить длинные каналы, в дистальном отделе удобнее фиксировать файл 1 1 Ссылка на комментарий
Гарриевич Опубликовано 13 марта Автор Поделиться Опубликовано 13 марта (изменено) Изменено 13 марта пользователем Гарриевич 2 1 1 Ссылка на комментарий
Doc Опубликовано 13 марта Поделиться Опубликовано 13 марта Круто! То, что вынимается, доктору вернуть надо или в металлолом сдать? :))) Ссылка на комментарий
Гарриевич Опубликовано 18 марта Автор Поделиться Опубликовано 18 марта В 13.03.2026 в 15:26, Doc сказал: Круто! То, что вынимается, доктору вернуть надо или в металлолом сдать? :))) Обычно мы сдаем в чернмет, какие никакие деньги)) Реколл 3 года 1 Ссылка на комментарий
Doc Опубликовано 18 марта Поделиться Опубликовано 18 марта 19 минут назад, Гарриевич сказал: Обычно мы сдаем в чернмет, какие никакие деньги)) Не зря говорят, что стоматологи жутко богатые. Вон оно откуда, оказывается! Ссылка на комментарий
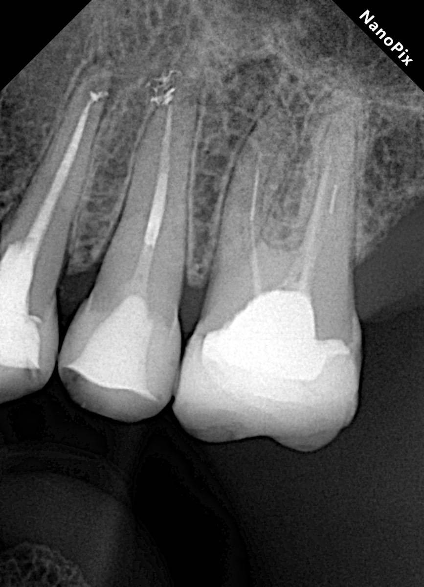
Гарриевич Опубликовано 3 апреля Автор Поделиться Опубликовано 3 апреля Еще один осмотр спустя 3 года и полное заживление 2 1 Ссылка на комментарий
Doc Опубликовано 3 апреля Поделиться Опубликовано 3 апреля 9 часов назад, Гарриевич сказал: Еще один осмотр спустя 3 года и полное заживление Круто, как обычно! 1 1 Ссылка на комментарий
Гарриевич Опубликовано 7 апреля Автор Поделиться Опубликовано 7 апреля Извлечение двух фрагментов сломанных инструментов из одного зуба:) И если кому интересно, то вот полный фотопротокол 3 Ссылка на комментарий
Doc Опубликовано 7 апреля Поделиться Опубликовано 7 апреля Да уж! Отличная работа! 1 1 1 Ссылка на комментарий
Рекомендуемые сообщения
Для публикации сообщений создайте учётную запись или авторизуйтесь
Вы должны быть пользователем, чтобы оставить комментарий
Создать аккаунт
Зарегистрируйте новый аккаунт в нашем сообществе. Это очень просто!
Регистрация нового пользователяВойти
Уже есть аккаунт? Войти в систему.
Войти