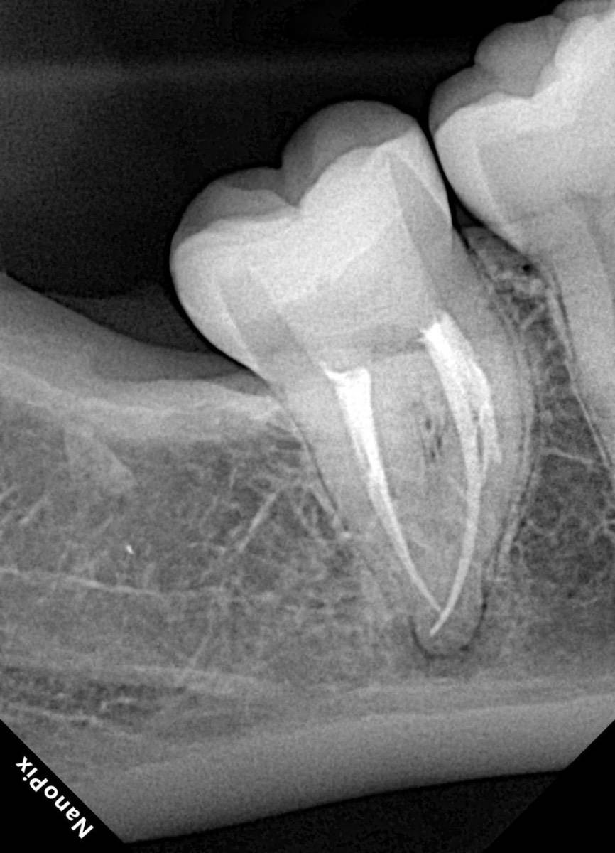
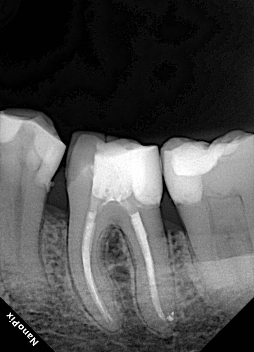
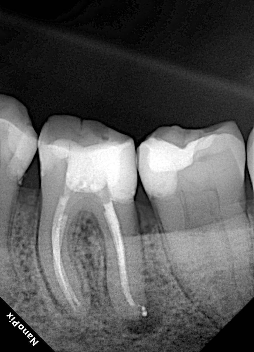
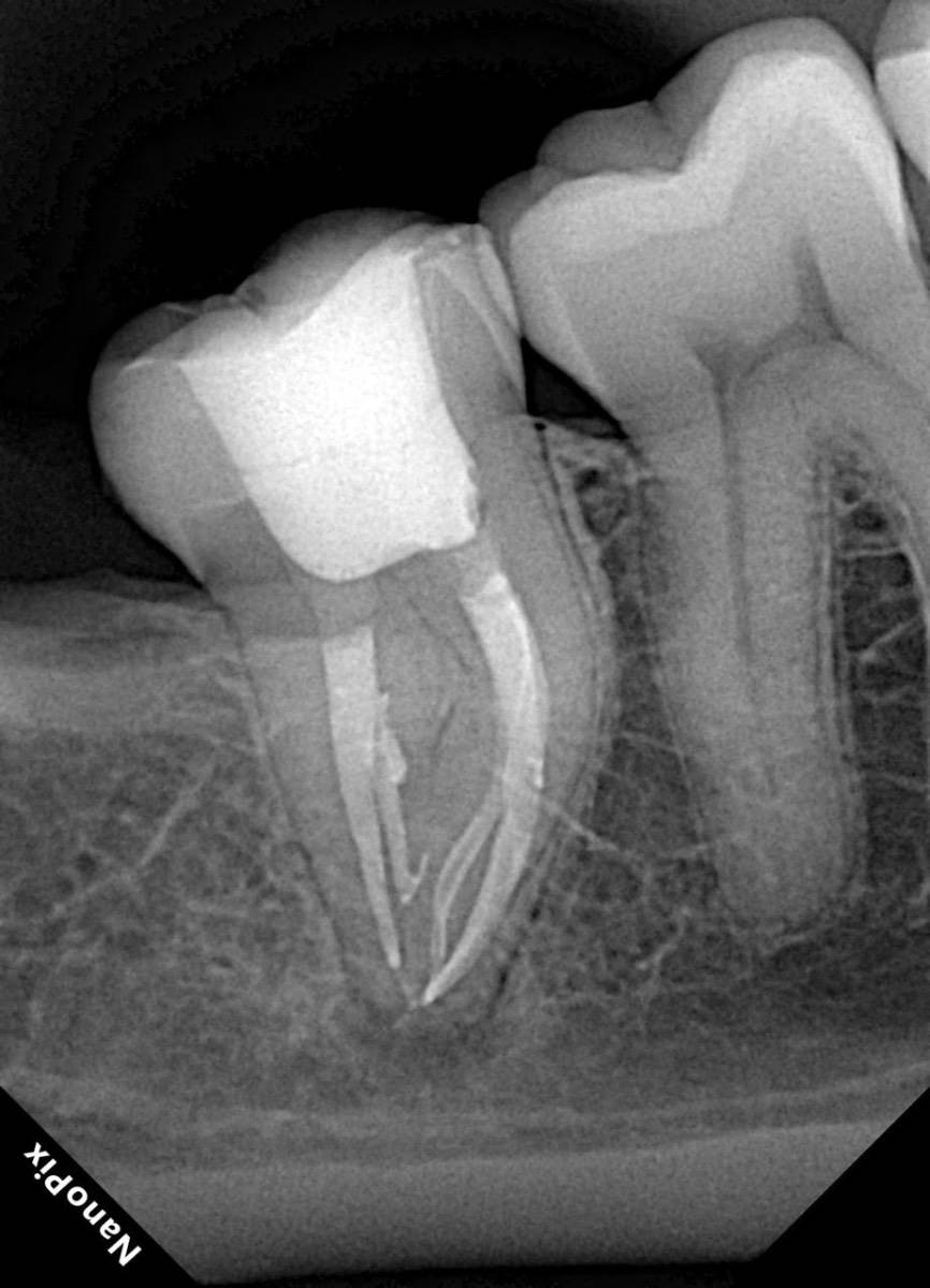
Гарриевич Опубликовано 31 января Автор Поделиться Опубликовано 31 января Когда в твоем кресле оказывается пациент с редким заболеванием «стоматолог-терапевт» работать всегда… легче. Именно! Потому что ты на 100% уверен, что этот человек понимает разницу между «гарантия» и «прогноз», а он на 100% уверен, что ты тот кто ему нужен. Зуб 4.7 со сложной анатомией, ступенькой в мезиальной системе, двойным изгибом, пропущенным каналом и апикальным периодонтитом. Реколл 1 год И сам осмотр через 1 год 4 1 1 Ссылка на комментарий
Carioznik Опубликовано 31 января Поделиться Опубликовано 31 января Наконечник для ручных файлов для чего использовали (для ступени)? А то, у меня где-то пылится такой, я и забыл про него... Ссылка на комментарий
Гарриевич Опубликовано 2 февраля Автор Поделиться Опубликовано 2 февраля @Carioznik да, им проще сглаживать ступень, проходить длинные каналы, в дистальном отделе удобнее фиксировать файл 1 1 Ссылка на комментарий
Гарриевич Опубликовано 13 марта Автор Поделиться Опубликовано 13 марта (изменено) Изменено 13 марта пользователем Гарриевич 2 1 1 Ссылка на комментарий
Doc Опубликовано 13 марта Поделиться Опубликовано 13 марта Круто! То, что вынимается, доктору вернуть надо или в металлолом сдать? :))) Ссылка на комментарий
Гарриевич Опубликовано 18 марта Автор Поделиться Опубликовано 18 марта В 13.03.2026 в 15:26, Doc сказал: Круто! То, что вынимается, доктору вернуть надо или в металлолом сдать? :))) Обычно мы сдаем в чернмет, какие никакие деньги)) Реколл 3 года 1 Ссылка на комментарий
Doc Опубликовано 18 марта Поделиться Опубликовано 18 марта 19 минут назад, Гарриевич сказал: Обычно мы сдаем в чернмет, какие никакие деньги)) Не зря говорят, что стоматологи жутко богатые. Вон оно откуда, оказывается! Ссылка на комментарий
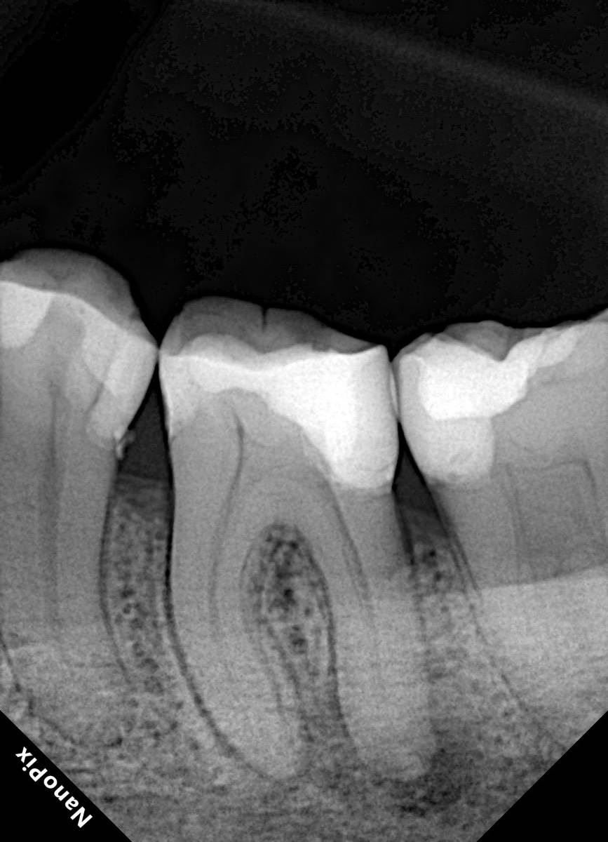
Гарриевич Опубликовано 10 часов назад Автор Поделиться Опубликовано 10 часов назад Еще один осмотр спустя 3 года и полное заживление 1 Ссылка на комментарий
Doc Опубликовано 46 минут назад Поделиться Опубликовано 46 минут назад 9 часов назад, Гарриевич сказал: Еще один осмотр спустя 3 года и полное заживление Круто, как обычно! Ссылка на комментарий
Рекомендуемые сообщения
Для публикации сообщений создайте учётную запись или авторизуйтесь
Вы должны быть пользователем, чтобы оставить комментарий
Создать аккаунт
Зарегистрируйте новый аккаунт в нашем сообществе. Это очень просто!
Регистрация нового пользователяВойти
Уже есть аккаунт? Войти в систему.
Войти