Hans85 Опубликовано 10 января, 2014 Автор Поделиться Опубликовано 10 января, 2014 (изменено) . Изменено 10 января, 2014 пользователем Hans85 5 Ссылка на комментарий
АнтонТЛТ Опубликовано 10 января, 2014 Поделиться Опубликовано 10 января, 2014 Удалить могут только администраторы/модераторы Ссылка на комментарий
Shaid Опубликовано 10 января, 2014 Поделиться Опубликовано 10 января, 2014 Hans85, кейсы внушают уважение! Какой прогноз дали пациенту в последнем кейсе? Учитывая такой размер очага. Ссылка на комментарий
Hans85 Опубликовано 10 января, 2014 Автор Поделиться Опубликовано 10 января, 2014 Hans85, кейсы внушают уважение! Какой прогноз дали пациенту в последнем кейсе? Учитывая такой размер очага.Для меня размер очага не является определяющим в прогнозе зуба(речь идет про периапикальные процессы воспалительной этиологии)-ведь это всего лишь иммунный ответ организма на внутриканальную инфекцию,соответственно при устранении причины (инфекции) уйдет следствие (периапикальное воспаление).Тканей здесь достаточно,-единственное чего стоит опасаться в данном случае это наличия трещины и пропущенной анатомии системы каналов,хотя именно для этого у меня есть скоп.Так что Дело за коронкой. 1 Ссылка на комментарий
Л Ю С Я Опубликовано 10 января, 2014 Поделиться Опубликовано 10 января, 2014 .Новый кейс-совсем свежий пока без долгосрочного результата.Пациентка попала случайно удаляла зуб 28 и хирург сделал ОПТГ,где стали видны обширные периапикальные процессы в области 37 47.Побывав у меня на консультации и услышав план лечения и стоимость,пациентка решила видимо полечить подешевле.,побывав на консультациях в нескольких клиниках и в итоге даже попала к главному стоматологу нашей области. Все ей сказали что удаление онли. Вернулась,-засада была в том что план я писал исходя из ОТПГ не сделав прицел(виноват),сделав прицел понимаю что все сложнее чем я думал-ну что же тем интереснее.Переписав план лечения и подняв ценник на 40%(пациентке не оставалась выбора),начали лечение.1-посещение-ревизия пломбы.понимаю что кто то до меня с маниакальным упорством пытался запломбировать мезиальный язычный канал каналонаполнителями. Убрал два фрагмента из верхней трети мезиального язычного.2-посещение еще фрагмент из мез язычного плюс немного с дистальными поработал(их оказалось два сплит в верхней трети)3-визит обошел фрагмент в мезиальном щечном и доработал остальные каналы.4-визит -паковка.На предпоследнем снимке видны поры-допаковал(просто на финальном не очень видно)Класс! Ждем рекол через 6 месяцев. Паковка чем? Сквирт? Ссылка на комментарий
Hans85 Опубликовано 10 января, 2014 Автор Поделиться Опубликовано 10 января, 2014 Не чистый сквирт-скорее гибрид не знаю как правильно назвать -в общем сначала сквирт а затем дополнительно разогрев плаггером и уплотнение.Просто аппарат для сквирта пока не айс(Бифилл) ну вот клинику откроем там будет по фен-шую - ГуттаИзи. Ссылка на комментарий
M@estro Опубликовано 10 января, 2014 Поделиться Опубликовано 10 января, 2014 Ханс, отлично ! Ссылка на комментарий
Kivilgar Опубликовано 12 января, 2014 Поделиться Опубликовано 12 января, 2014 Хорошие, крепкие работы. Ссылка на комментарий
Дохтур Rusya Опубликовано 12 января, 2014 Поделиться Опубликовано 12 января, 2014 .а предъдущее лечеие это тактика пломбирования лентулой)Наns работы интересные. Ссылка на комментарий
Hans85 Опубликовано 13 января, 2014 Автор Поделиться Опубликовано 13 января, 2014 Спасибо всем за комменты. Буду протоколировать и выкладывать максимально интересные работы по мере поступления. Ссылка на комментарий
АнтонТЛТ Опубликовано 13 января, 2014 Поделиться Опубликовано 13 января, 2014 А фотика на скопе нет? Ссылка на комментарий
Hans85 Опубликовано 14 января, 2014 Автор Поделиться Опубликовано 14 января, 2014 А фотика на скопе нет?Пока нет,это следующий этап-к середине года будет. Ссылка на комментарий
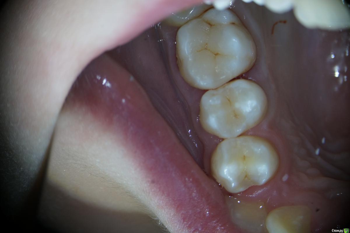
Hans85 Опубликовано 15 января, 2014 Автор Поделиться Опубликовано 15 января, 2014 Сразу скажу что с эндо у меня обстоит лучше чем с реставрациями так что сильно не пинайте.Пациентка страховая,так что речь про вкладки не идет.так сказать возможность тренится в художественной лепке.ЗУбы 26 25 24.На фото 26 уже сделанный. 7 Ссылка на комментарий
Shaid Опубликовано 15 января, 2014 Поделиться Опубликовано 15 января, 2014 Достойно! Ссылка на комментарий
Чертков Александр Опубликовано 15 января, 2014 Поделиться Опубликовано 15 января, 2014 25 МОД без перекрытия бугров....? Ну ну...ждём перелома? 1 Ссылка на комментарий
Hans85 Опубликовано 15 января, 2014 Автор Поделиться Опубликовано 15 января, 2014 МОД без перекрытия бугров....? Ну ну...ждём перелома? Конечно ждем - мы всегда чего то ждем......Главный вопрос-когда?? Ссылка на комментарий
Л Ю С Я Опубликовано 15 января, 2014 Поделиться Опубликовано 15 января, 2014 Хорошая работа , функционально и красиво. Зубы витальные, думаю не скоро сломается Ссылка на комментарий
Чертков Александр Опубликовано 16 января, 2014 Поделиться Опубликовано 16 января, 2014 Конечно ждем - мы всегда чего то ждем......Главный вопрос-когда??Лучше никогда...а на деле в самый неподходящий момент. Ссылка на комментарий
Каплан Опубликовано 16 января, 2014 Поделиться Опубликовано 16 января, 2014 Если контакт не приходится на границу пломба-зуб или на сам зуб- может никогда и не сколоться... Особенно если нет нависающих краев... 1 Ссылка на комментарий
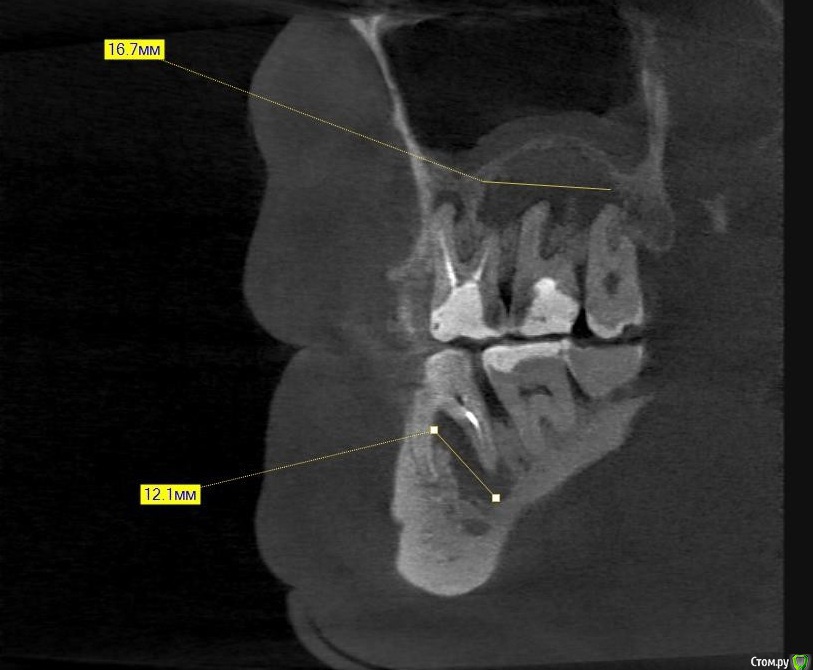
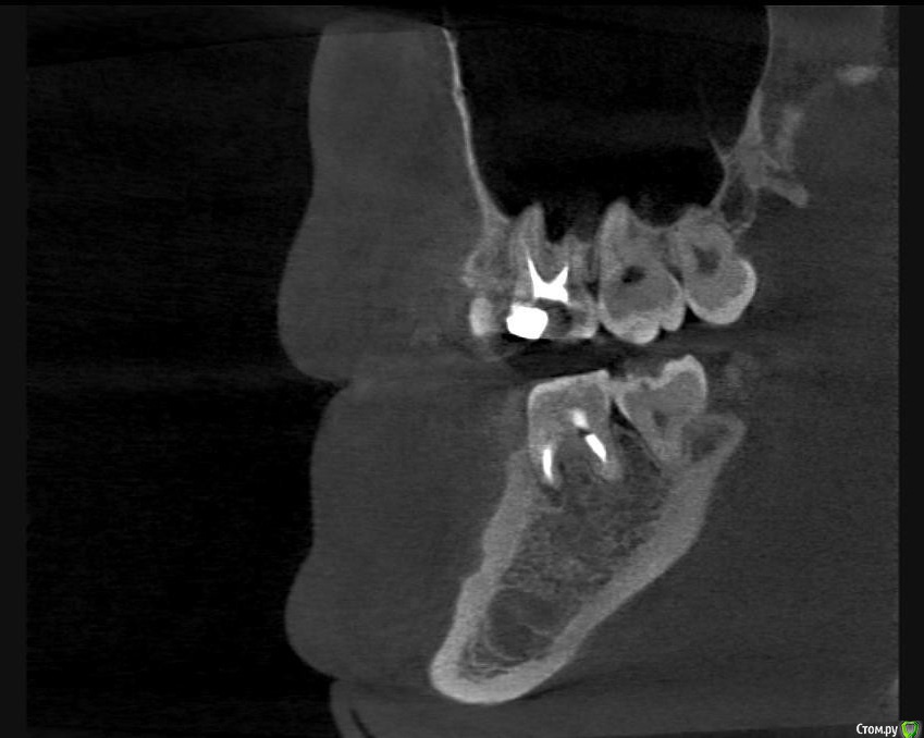
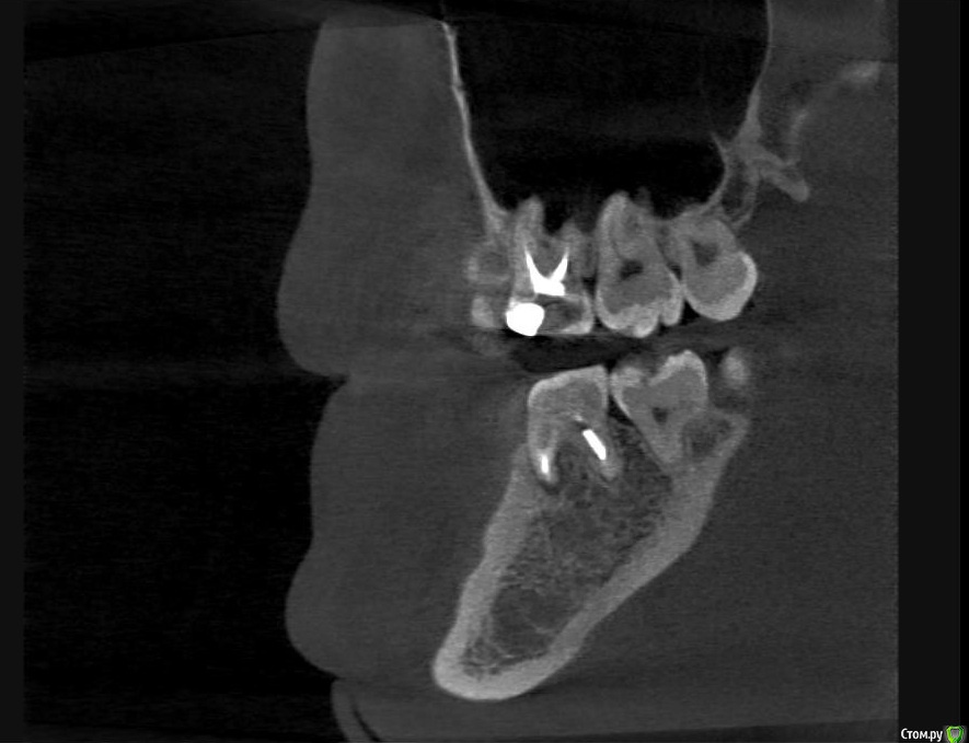
Hans85 Опубликовано 14 января, 2015 Автор Поделиться Опубликовано 14 января, 2015 Полагаю на КТ будет не такая уж радужная картинка...Чем завершено лечение? Коронка?Наконец то пациент пришел на коронку.Вот и Кт ,да заживление не 100% ,но все же . 3 Ссылка на комментарий
Hans85 Опубликовано 14 января, 2015 Автор Поделиться Опубликовано 14 января, 2015 для разбавления эндо чутка занимаюсь художественной лепкой,да Маэстро еще далеко,но будем учиться. 13 Ссылка на комментарий
Hans85 Опубликовано 14 января, 2015 Автор Поделиться Опубликовано 14 января, 2015 Ну и хотелось бы услышать ваше мнение по данному случаю. Ссылка на комментарий
SDC Опубликовано 14 января, 2015 Поделиться Опубликовано 14 января, 2015 МОД без перекрытия бугров....? Ну ну...ждём перелома? Зуб же витальный. Ссылка на комментарий
Чертков Александр Опубликовано 14 января, 2015 Поделиться Опубликовано 14 января, 2015 Зуб же витальный.Тоже ломаются...реже депульпированных, но ломаются... 1 Ссылка на комментарий
SDC Опубликовано 14 января, 2015 Поделиться Опубликовано 14 января, 2015 Тоже ломаются...реже депульпированных, но ломаются... Настолько редко, что эти случаи - казуистика. Ссылка на комментарий
Рекомендуемые сообщения
Для публикации сообщений создайте учётную запись или авторизуйтесь
Вы должны быть пользователем, чтобы оставить комментарий
Создать аккаунт
Зарегистрируйте новый аккаунт в нашем сообществе. Это очень просто!
Регистрация нового пользователяВойти
Уже есть аккаунт? Войти в систему.
Войти