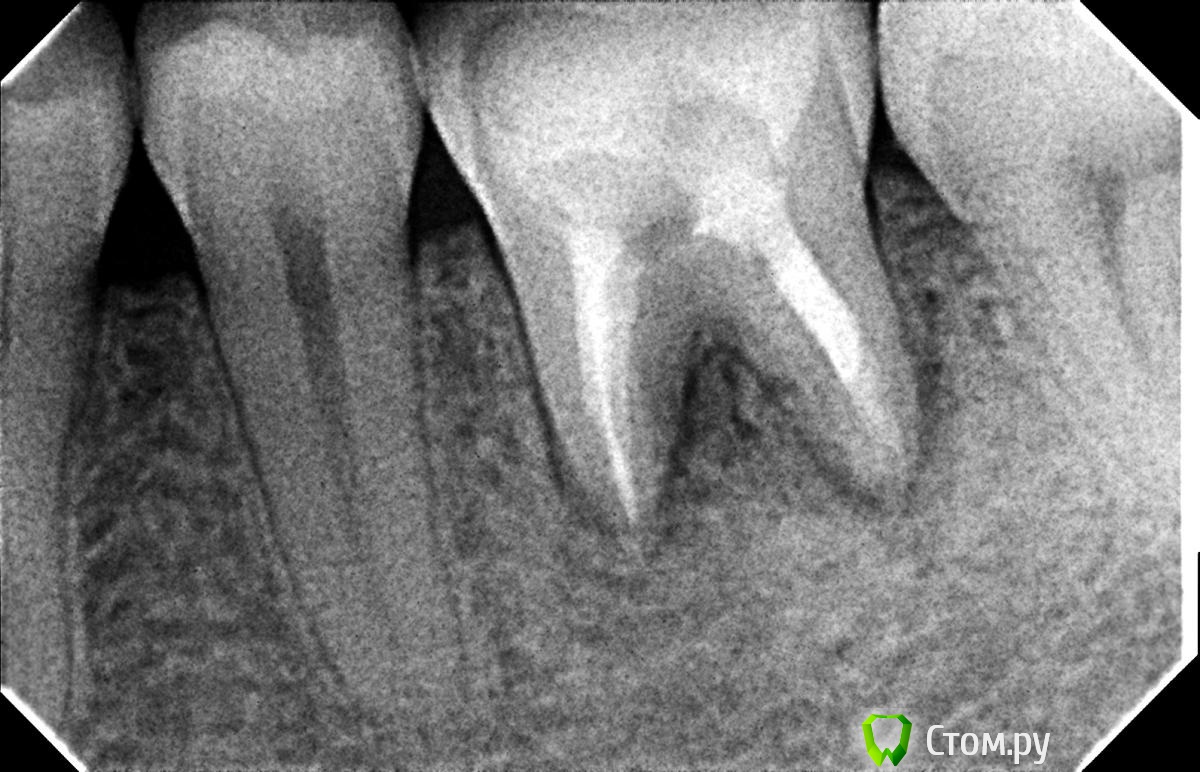
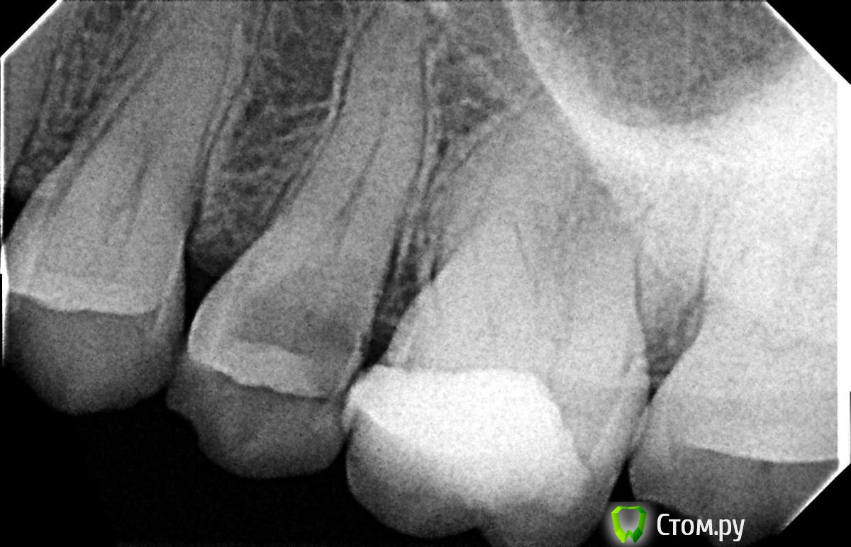
Hans85 Опубликовано 8 января, 2014 Поделиться Опубликовано 8 января, 2014 Только зарегистрировался на форуме,хотелось бы познакомится с коллегами.для начала выкладываю небольшой кейс с названием "Почти мини".Направлен пациент прошло 6 месяцев после фиксации композитной вкладки,заболел.Эндо без рук (только контроль проходимости 10 К-file)Rece+ProFile,пломбирование волна.Всем здравствуйте.P.S Сан Саныч привет)). 12 Ссылка на комментарий
Hans85 Опубликовано 8 января, 2014 Автор Поделиться Опубликовано 8 января, 2014 видимо еще не разобрался картинку 1 и 4 местами поменять надо бы,ну и 2 и 3 тоже Ссылка на комментарий
Чертков Александр Опубликовано 8 января, 2014 Поделиться Опубликовано 8 января, 2014 Привет. Тут ретрит? Логическую цепь картинок выстрой нормально... Ссылка на комментарий
Большой Зеленый Опубликовано 8 января, 2014 Поделиться Опубликовано 8 января, 2014 видимо еще не разобрался картинку 1 и 4 местами поменять надо бы,ну и 2 и 3 тожеНормально. Все Всё поняли ..) Ссылка на комментарий
Hans85 Опубликовано 8 января, 2014 Автор Поделиться Опубликовано 8 января, 2014 Привет. Тут ретрит? Логическую цепь картинок выстрой нормально... Первичное эндо Александр Александрович.VTVT техника обработки каналов. Ссылка на комментарий
zybnaya feya Опубликовано 8 января, 2014 Поделиться Опубликовано 8 января, 2014 Шикарный доступ! Понравилось. 1 Ссылка на комментарий
Hans85 Опубликовано 8 января, 2014 Автор Поделиться Опубликовано 8 января, 2014 Кстати насчет ретрита-случай из разряда ну пожалуйста доктор или спасение рядовой 6ки. 8 Ссылка на комментарий
Art 7 Опубликовано 8 января, 2014 Поделиться Опубликовано 8 января, 2014 Круто, доступ ващее 1 Ссылка на комментарий
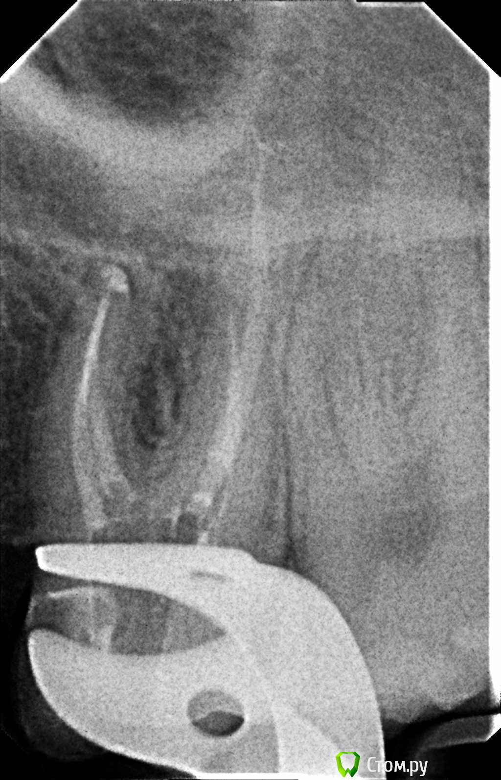
Hans85 Опубликовано 8 января, 2014 Автор Поделиться Опубликовано 8 января, 2014 НУ еще чуток доступа может кому будет интересноПациент - геморная кариозная полость по дистальной поверхности 47,точка сообщения с полостью зуба обнаружилась,традиционный доступ уничтожил бы зуб,пришлось хитрить. 11 Ссылка на комментарий
Kolchanov Опубликовано 8 января, 2014 Поделиться Опубликовано 8 января, 2014 При таких доступах файлы Ni-Ti одноразово используете? Ссылка на комментарий
Hans85 Опубликовано 8 января, 2014 Автор Поделиться Опубликовано 8 января, 2014 Нет не одноразово просто беру новые и прошу ассистента убрать сразу половину лепестков по ромашке.Потом такие инструменты на прямых каналах таки можно использовать там даже если сломается достать не проблема.Кейсы с инструментами своими и чужими выложу позже. Ссылка на комментарий
Мартовский Опубликовано 8 января, 2014 Поделиться Опубликовано 8 января, 2014 Только зарегистрировался на форуме,хотелось бы познакомится с коллегами.для начала выкладываю небольшой кейс с названием "Почти мини". Направлен пациент прошло 6 месяцев после фиксации композитной вкладки,заболел. Эндо без рук (только контроль проходимости 10 К-file)Rece+ProFile,пломбирование волна. Всем здравствуйте. P.S Сан Саныч привет)).Отличный доступ и эндо, но желательно выставлять снимок до, с инструментами, и после. Как сказали выше, выстраивать логическую цепочку. Ссылка на комментарий
Чертков Александр Опубликовано 9 января, 2014 Поделиться Опубликовано 9 января, 2014 Кстати насчет ретрита-случай из разряда ну пожалуйста доктор или спасение рядовой 6ки.Полагаю на КТ будет не такая уж радужная картинка...Чем завершено лечение? Коронка? Ссылка на комментарий
Hans85 Опубликовано 9 января, 2014 Автор Поделиться Опубликовано 9 января, 2014 Отличный доступ и эндо, но желательно выставлять снимок до, с инструментами, и после. Как сказали выше, выстраивать логическую цепочку.Ок учел,про снимок до,снимок с инструментами делаю редко(обычно при интересной анатомии) так как Morita Denta Port не подводит. Ссылка на комментарий
Hans85 Опубликовано 9 января, 2014 Автор Поделиться Опубликовано 9 января, 2014 Полагаю на КТ будет не такая уж радужная картинка...Чем завершено лечение? Коронка?Как только поставим Pax i 3d обязательно сделаем.Но факт в том что два года зуб функционирует и пока без предпосылок к удалению.Единственно насчет коронки каюсь-не смог убедить пациента-стращал как мог,что все расколется и разрушится -пациент ни в какую.Печально что же - буду учить НЛП. Ссылка на комментарий
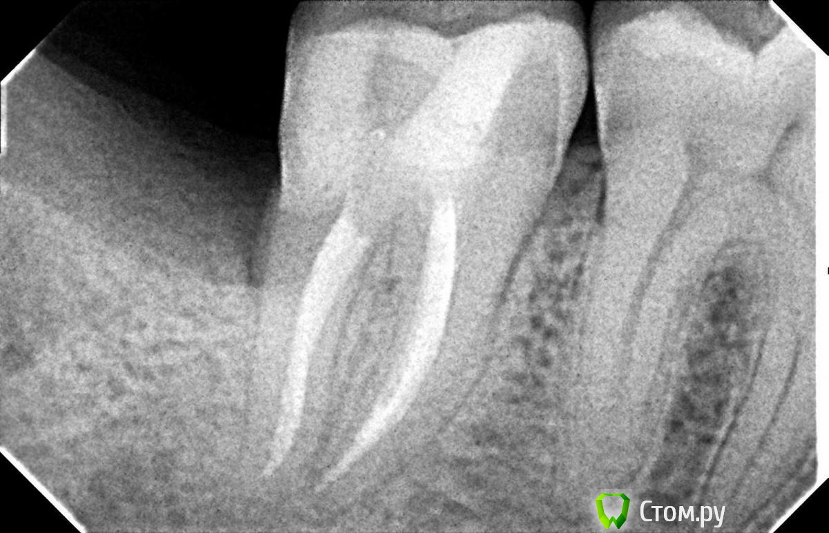
Hans85 Опубликовано 9 января, 2014 Автор Поделиться Опубликовано 9 января, 2014 (изменено) Так теперь попробуем выстроить нормальную логическую цепочку.Кейс из разряда сам сломал сам доставай-благо канал относительно прямой,времени удаление фрагмента заняло 15-20 минут.Сломал кстати протейпер S2 Изменено 9 января, 2014 пользователем Hans85 8 Ссылка на комментарий
Shaid Опубликовано 9 января, 2014 Поделиться Опубликовано 9 января, 2014 (изменено) Hans85, как извлекли инструмент? Судя по апексу - был риск протолкнуть отломок за апекс. Клевый кейс! Изменено 9 января, 2014 пользователем Shaid Ссылка на комментарий
Hans85 Опубликовано 9 января, 2014 Автор Поделиться Опубликовано 9 января, 2014 Hans85, как извлекли инструмент? Судя по апексу - был риск протолкнуть отломок за апекс. Клевый кейс! Сделал минимально пространство в области торца инструмента 15 U-File чуть расшатал и с водой озвучивал рассчитывая на гидроудар. Ссылка на комментарий
Л Ю С Я Опубликовано 9 января, 2014 Поделиться Опубликовано 9 января, 2014 Полагаю на КТ будет не такая уж радужная картинка...Чем завершено лечение? Коронка?что коронку не поставил- плохо, но все признаки хилинга имеются Ссылка на комментарий
ромашечка Опубликовано 9 января, 2014 Поделиться Опубликовано 9 января, 2014 но все признаки хилинга имеются Люся , что такое хилинг ? Спасибо. Ссылка на комментарий
Л Ю С Я Опубликовано 9 января, 2014 Поделиться Опубликовано 9 января, 2014 Люся , что такое хилинг ? Спасибо. Healing(англ) - заживление, излечение Ссылка на комментарий
ромашечка Опубликовано 9 января, 2014 Поделиться Опубликовано 9 января, 2014 Healing(англ) - заживление, излечение Так просто . Спасибо Ссылка на комментарий
Каплан Опубликовано 9 января, 2014 Поделиться Опубликовано 9 января, 2014 Все круто, и доступ тоже. Но в первом случае уж точно изврат. Все равно ведь пломбу выпиливать... Пс. Да слово зависть пишется короче, но все равно... а вообще вы молодец. Работа в скоп? Ссылка на комментарий
Чертков Александр Опубликовано 10 января, 2014 Поделиться Опубликовано 10 января, 2014 Все круто, и доступ тоже. Но в первом случае уж точно изврат. Все равно ведь пломбу выпиливать... Пс. Да слово зависть пишется короче, но все равно... а вообще вы молодец. Работа в скоп?В скоп. (точно знаю ) Ссылка на комментарий
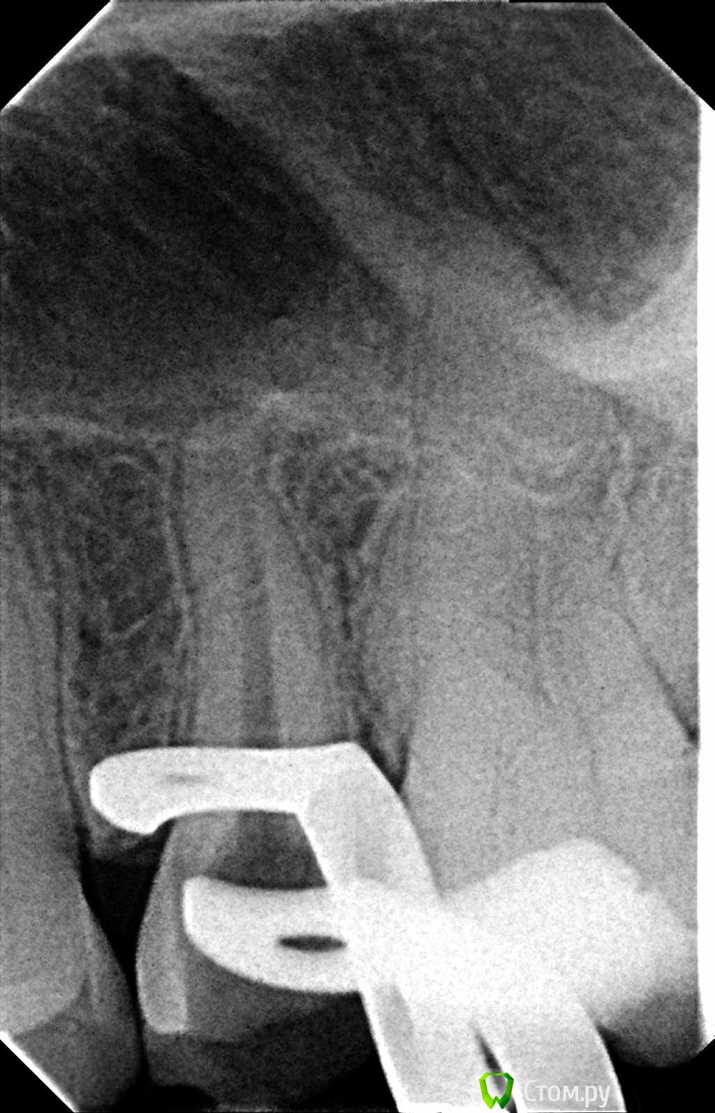
Hans85 Опубликовано 10 января, 2014 Автор Поделиться Опубликовано 10 января, 2014 (изменено) .Новый кейс-совсем свежий пока без долгосрочного результата.Пациентка попала случайно удаляла зуб 28 и хирург сделал ОПТГ,где стали видны обширные периапикальные процессы в области 37 47.Побывав у меня на консультации и услышав план лечения и стоимость,пациентка решила видимо полечить подешевле.,побывав на консультациях в нескольких клиниках и в итоге даже попала к главному стоматологу нашей области. Все ей сказали что удаление онли. Вернулась,-засада была в том что план я писал исходя из ОТПГ не сделав прицел(виноват),сделав прицел понимаю что все сложнее чем я думал-ну что же тем интереснее.Переписав план лечения и подняв ценник на 40%(пациентке не оставалась выбора),начали лечение.1-посещение-ревизия пломбы.понимаю что кто то до меня с маниакальным упорством пытался запломбировать мезиальный язычный канал каналонаполнителями. Убрал два фрагмента из верхней трети мезиального язычного.2-посещение еще фрагмент из мез язычного плюс немного с дистальными поработал(их оказалось два сплит в верхней трети)3-визит обошел фрагмент в мезиальном щечном и доработал остальные каналы.4-визит -паковка.На предпоследнем снимке видны поры-допаковал(просто на финальном не очень видно) Изменено 10 января, 2014 пользователем Hans85 Ссылка на комментарий
Рекомендуемые сообщения
Для публикации сообщений создайте учётную запись или авторизуйтесь
Вы должны быть пользователем, чтобы оставить комментарий
Создать аккаунт
Зарегистрируйте новый аккаунт в нашем сообществе. Это очень просто!
Регистрация нового пользователяВойти
Уже есть аккаунт? Войти в систему.
Войти