Kolchanov Опубликовано 23 марта, 2016 Автор Поделиться Опубликовано 23 марта, 2016 Полгода этому случаю Вроде ничего так, держится зубhttp://s016.radikal.ru/i336/1603/c6/b401bd84304f.jpghttp://s018.radikal.ru/i517/1603/7b/ed3fc7a51301.jpg 2 Ссылка на комментарий
anvladd Опубликовано 23 марта, 2016 Поделиться Опубликовано 23 марта, 2016 А как же изменения в обл верхушек этих зубов,или и так сойдет? Ссылка на комментарий
Kolchanov Опубликовано 23 марта, 2016 Автор Поделиться Опубликовано 23 марта, 2016 Что, большие? Может фиброз какой. Сделали все, что могли. Функционирующий зуб теперь называется.Ортопед, подлец, сделал все-таки спаянные коронки, хотя я предупреждал.... Ссылка на комментарий
Kolchanov Опубликовано 23 марта, 2016 Автор Поделиться Опубликовано 23 марта, 2016 Все забываю про этот случай дорассказать. Закончилось все некрозом сосочка от многочисленних анестезий вокруг и около, пломбировкой каналов в 35 и 36, новой пломбой на 35. Резорбция в за запломбирована Рутдентом.http://s018.radikal.ru/i504/1603/23/f81cfec580a7.jpghttp://i069.radikal.ru/1603/e6/4e1446274d24.jpghttp://s018.radikal.ru/i503/1603/4f/e4332be522f0.jpghttp://s017.radikal.ru/i406/1603/37/ba3f54f43f8f.jpg 1 Ссылка на комментарий
Brigita Опубликовано 23 марта, 2016 Поделиться Опубликовано 23 марта, 2016 Прикольный кирпичик Ссылка на комментарий
Л Ю С Я Опубликовано 24 марта, 2016 Поделиться Опубликовано 24 марта, 2016 Все забываю про этот случай дорассказать. Закончилось все некрозом сосочка от многочисленних анестезий вокруг и около, пломбировкой каналов в 35 и 36, новой пломбой на 35. Резорбция в за запломбирована Рутдентом.Боли прошли? Ссылка на комментарий
Kolchanov Опубликовано 24 марта, 2016 Автор Поделиться Опубликовано 24 марта, 2016 В зубе - да, десна болела еще, но сейчас уже почти порядок. 5ка симптоматику давала. Интересно было бы КТ глянуть, но вряд ли когда увидим. Ссылка на комментарий
Kolchanov Опубликовано 13 июня, 2016 Автор Поделиться Опубликовано 13 июня, 2016 (изменено) Что-то не могу понять, есть процесс или нет? Рисунок костной ткани какой-то... Изменено 13 июня, 2016 пользователем Kolchanov Ссылка на комментарий
anvladd Опубликовано 13 июня, 2016 Поделиться Опубликовано 13 июня, 2016 другой снимок сделайте Ссылка на комментарий
vse32 Опубликовано 13 июня, 2016 Поделиться Опубликовано 13 июня, 2016 Что-то не могу понять, есть процесс или нет? Рисунок костной ткани какой-то...45.jpgЯ перидонтальной щели не вижу. Есть желание предположить, что там что-то не совсем как видится. А может просто снимок плохой.Есть сомнения - переделайте снимок с увеличением экспозиции. Ссылка на комментарий
Л Ю С Я Опубликовано 14 июня, 2016 Поделиться Опубликовано 14 июня, 2016 Что-то не могу понять, есть процесс или нет? Рисунок костной ткани какой-то..45.jpgВот для этого нам и нужна КЛКТ. Там точно покажет. Но я уверена, что процесс есть , процентов на 90 Ссылка на комментарий
Kolchanov Опубликовано 15 июня, 2016 Автор Поделиться Опубликовано 15 июня, 2016 В городе нет, а в Москву фиг кто поедет. Будем ждать, пока не заболит, значит. Ссылка на комментарий
Kolchanov Опубликовано 25 июля, 2016 Автор Поделиться Опубликовано 25 июля, 2016 Собственно, спрашивал про этого парня у хирургов, но имплантировать рановато. После уборки всего ненужного, выяснилось, что зуб-то еще ничего себе. Толкнуть только кзади вместе с 7кой и порядок.Но я не о том. Только у меня возникает желание сохранить такую героическую пульпу, кинув шмат МТА в полость зуба и закрыв все это реставрацией?http://s017.radikal.ru/i415/1607/61/a5534e38251e.jpghttp://s45.radikal.ru/i107/1607/db/86d9a9acc8c9.jpg 1 Ссылка на комментарий
Л Ю С Я Опубликовано 25 июля, 2016 Поделиться Опубликовано 25 июля, 2016 Лень делать эндо? Пульпа то вся наружу.тогда понимаю))) Ссылка на комментарий
Kolchanov Опубликовано 25 июля, 2016 Автор Поделиться Опубликовано 25 июля, 2016 Эндо я уже сделал. Так по деньгам интереснее. Но как же пульпа? Это же так хорошо иметь витальную пульпу! Люди (японцы) бьются, антибиотик с кровью мешают, реваску... хрен выговоришь... А тут все взаправдашнее, а? Ссылка на комментарий
Л Ю С Я Опубликовано 25 июля, 2016 Поделиться Опубликовано 25 июля, 2016 Ради интереса возможно сделать вит ампутацию с мта. Но это же не ребёнок? Ссылка на комментарий
Kolchanov Опубликовано 25 июля, 2016 Автор Поделиться Опубликовано 25 июля, 2016 15 лет. Витальные ампутации в ГОСках каждый день делают, взрослым, без всякого МТА. Частенько срабатывает. Ссылка на комментарий
Л Ю С Я Опубликовано 26 июля, 2016 Поделиться Опубликовано 26 июля, 2016 )))) тогда да Ссылка на комментарий
Kolchanov Опубликовано 22 августа, 2016 Автор Поделиться Опубликовано 22 августа, 2016 Перфорация. И ведь не видно, т.к. на вестибулярной поверхности.http://s018.radikal.ru/i516/1608/08/9421ccdc065b.jpghttp://s019.radikal.ru/i622/1608/8a/4f6b47c70fbf.jpghttp://s61.radikal.ru/i174/1608/06/a35d8c20eab0.jpgТриоксидент, гуттаперча, латералка. 6 Ссылка на комментарий
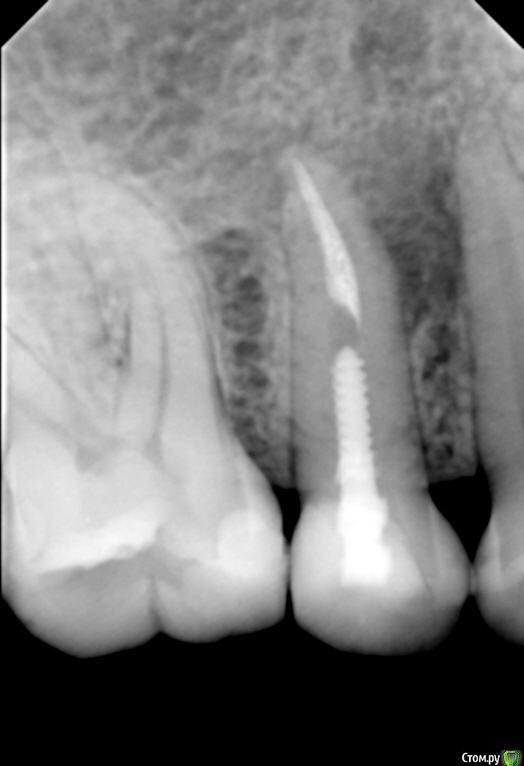
Kolchanov Опубликовано 22 августа, 2016 Автор Поделиться Опубликовано 22 августа, 2016 (изменено) Год этому случаю - http://forum.stom.ru/topic/21885-endosvalka/?p=504310http://s013.radikal.ru/i325/1608/7e/cbea914bafea.jpg Надо бы уже коронку делатьhttp://s011.radikal.ru/i315/1608/82/1e4dac731fab.jpg Изменено 22 августа, 2016 пользователем Kolchanov 3 Ссылка на комментарий
vse32 Опубликовано 22 августа, 2016 Поделиться Опубликовано 22 августа, 2016 Отличные результаты.А не подскажете как конкретно Ваша МТА вносилка называется. И где Вы ее покупали? На Ebay вот такие есть. Что про них думаете? http://www.medidenta.com/images/Endo%20Guns%20Medium%2072dpi.jpg Ссылка на комментарий
Kolchanov Опубликовано 22 августа, 2016 Автор Поделиться Опубликовано 22 августа, 2016 У меня иголки для спинномозговых пункций обрезанные. Типа таких - http://www.medtechmarket.ru/6745/17175/Внешний диаметр - 1мм. Шприцами никогда не пользовался, даже не видел. Ссылка на комментарий
Kolchanov Опубликовано 24 октября, 2016 Автор Поделиться Опубликовано 24 октября, 2016 Вытащил вкладку по DmitrySH. Аппарата не было. Пилил и шатал УЗ. Час ушел. С аппаратом столько же было бы, но безопаснее.http://s018.radikal.ru/i515/1610/a1/95e7deae274b.jpghttp://s017.radikal.ru/i427/1610/62/ece8b825041a.jpghttp://s014.radikal.ru/i327/1610/85/b6b2a79ca33e.jpg 5 Ссылка на комментарий
катерина 81 Опубликовано 25 октября, 2016 Поделиться Опубликовано 25 октября, 2016 Ничего себе вкладочка.Вы молодец Костя,что не ленитесь снимки выкладывать.Отличная работа! Ссылка на комментарий
Гарриевич Опубликовано 25 октября, 2016 Поделиться Опубликовано 25 октября, 2016 я бы такую хрен вынулподробнее про методику пожалуйста Ссылка на комментарий
Рекомендуемые сообщения
Для публикации сообщений создайте учётную запись или авторизуйтесь
Вы должны быть пользователем, чтобы оставить комментарий
Создать аккаунт
Зарегистрируйте новый аккаунт в нашем сообществе. Это очень просто!
Регистрация нового пользователяВойти
Уже есть аккаунт? Войти в систему.
Войти