SergioS Опубликовано 14 февраля, 2013 Поделиться Опубликовано 14 февраля, 2013 Прошу помощи разобраться:Пациентка была у терапевта:30.01.- орто,44 под витапекс, временная пломба. перкуссия 44 болезненна2.02. - осмотр болит меньше.9.02 - боли усилились перкуссия 45 резко болезненна, 45 под Vitapex. Амоксиклав.12.02. - мой прием: Из анамнеза 3 дня назад перенесенная ветрянкатемпературы нет, ассиметрия лица(отек щечной области справа), гиперемии кожн покровов нет. Слизистая в области 46-43 со щечной сторны гиперемирована.отечна, флуктуации нет. 46 - подвижность 0-I степени. Перкуссия 46,45.44,43 резко болезненна. Что предпологаете? Мне еще корни 46 не нравятся(короткие они(я понимаю.что Попова-Годона). Ссылка на комментарий
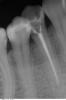
johniola Опубликовано 14 февраля, 2013 Поделиться Опубликовано 14 февраля, 2013 обратите внимание на 47 Ссылка на комментарий
SergioS Опубликовано 14 февраля, 2013 Автор Поделиться Опубликовано 14 февраля, 2013 обратите внимание на 47Там видел, но как ни странно, там - все спокойно. Ссылка на комментарий
johniola Опубликовано 14 февраля, 2013 Поделиться Опубликовано 14 февраля, 2013 Там видел, но как ни странно, там - все спокойно.я бы проверил зубы на витальность ну и методом исключения итд Ссылка на комментарий
Большой Зеленый Опубликовано 14 февраля, 2013 Поделиться Опубликовано 14 февраля, 2013 44 причина. Чего мудрить то? насчет корней 46 ничего не понял. Чем они вам не нравятся? Откуда какой Попова-Годона? Ссылка на комментарий
johniola Опубликовано 14 февраля, 2013 Поделиться Опубликовано 14 февраля, 2013 44 причина. Чего мудрить то? насчет корней 46 ничего не понял. Чем они вам не нравятся? Откуда какой Попова-Годона?и я не понял Ссылка на комментарий
SergioS Опубликовано 14 февраля, 2013 Автор Поделиться Опубликовано 14 февраля, 2013 я бы проверил зубы на витальность ну и методом исключения итдЭОД нет. Перед этим терапевт проверял их на витальность методом разогретой гладилки. Отмечал реакцию 46,43 в пределах нормы, а вот на 44,45- короткую реакцию( без следового компонента). Ссылка на комментарий
johniola Опубликовано 14 февраля, 2013 Поделиться Опубликовано 14 февраля, 2013 либо у меня на компе искажается видимость либо я уже не вижу,но на 47 ламина сдохла Ссылка на комментарий
SergioS Опубликовано 14 февраля, 2013 Автор Поделиться Опубликовано 14 февраля, 2013 44 причина. Чего мудрить то? насчет корней 46 ничего не понял. Чем они вам не нравятся? Откуда какой Попова-Годона?Корни 46 короче, чем 47 и 36. Зубо-альвеолярное выдвижение(попова-годона) присутствует на 46. Ссылка на комментарий
johniola Опубликовано 14 февраля, 2013 Поделиться Опубликовано 14 февраля, 2013 ЭОД нет. Перед этим терапевт проверял их на витальность методом разогретой гладилки. Отмечал реакцию 46,43 в пределах нормы, а вот на 44,45- короткую реакцию( без следового компонента).я бы его гладилке сильно не доверял если есть отёк значит где то зуб дохлый и скорее всего какой то один Ссылка на комментарий
Большой Зеленый Опубликовано 14 февраля, 2013 Поделиться Опубликовано 14 февраля, 2013 Корни 46 короче, чем 47 и 36. Зубо-альвеолярное выдвижение(попова-годона) присутствует на 46.Вы путаете его с кем то?))Это бывает при отсутствии антагонистоввыглядит вот такhttp://i011.radikal.ru/1302/ab/087ff0f932d4.jpg 2 Ссылка на комментарий
johniola Опубликовано 14 февраля, 2013 Поделиться Опубликовано 14 февраля, 2013 попова -годона есть на 27 а на 46 не вижу Ссылка на комментарий
SergioS Опубликовано 14 февраля, 2013 Автор Поделиться Опубликовано 14 февраля, 2013 Вы путаете его с кем то?))Это бывает при отсутствии антагонистовНе обязательно, отсутствие коронки антагониста тоже. К тому же один антагонист в виде 16 у него отсутствует. Ссылка на комментарий
Большой Зеленый Опубликовано 14 февраля, 2013 Поделиться Опубликовано 14 февраля, 2013 попова -годона есть на 27 а на 46 не вижу+ Ссылка на комментарий
SergioS Опубликовано 14 февраля, 2013 Автор Поделиться Опубликовано 14 февраля, 2013 (изменено) Вы путаете его с кем то?))Это бывает при отсутствии антагонистоввыглядит вот так Режьте фотографии из цитат!Согласен, но это крайняя форма его. Изменено 14 февраля, 2013 пользователем Bier фотографии в цитатах Ссылка на комментарий
Большой Зеленый Опубликовано 14 февраля, 2013 Поделиться Опубликовано 14 февраля, 2013 Ну в любом случае пациент идет к терапевтам. Ссылка на комментарий
SergioS Опубликовано 14 февраля, 2013 Автор Поделиться Опубликовано 14 февраля, 2013 я бы его гладилке сильно не доверял если есть отёк значит где то зуб дохлый и скорее всего какой то одинТак как определить то? ЭОД то нет? Ссылка на комментарий
johniola Опубликовано 14 февраля, 2013 Поделиться Опубликовано 14 февраля, 2013 Согласен, но это крайняя форма его.ну тут вообще тухэс но это ведь другой рот Ссылка на комментарий
SergioS Опубликовано 14 февраля, 2013 Автор Поделиться Опубликовано 14 февраля, 2013 Ну в любом случае пациент идет к терапевтам.Терапевт тот же сейчас тока пошел открывать эти оба два зуба. Ссылка на комментарий
Большой Зеленый Опубликовано 14 февраля, 2013 Поделиться Опубликовано 14 февраля, 2013 Так как определить то? ЭОД то нет?А чего вы там собрались определять то с помощью ЭОД? Зубы то уже депульпированы.Я вам и так скажу что вы увидите по 200 мА )) 1 Ссылка на комментарий
SergioS Опубликовано 14 февраля, 2013 Автор Поделиться Опубликовано 14 февраля, 2013 А чего вы там собрались определять то с помощью ЭОД? Зубы то уже депульпированы.Я вам и так скажу что вы увидите по 200 мА ))Согласен. +100 Ссылка на комментарий
SergioS Опубликовано 14 февраля, 2013 Автор Поделиться Опубликовано 14 февраля, 2013 Вскрытие покажет... Ссылка на комментарий
Большой Зеленый Опубликовано 14 февраля, 2013 Поделиться Опубликовано 14 февраля, 2013 Не понял я для чего тема... 2 Ссылка на комментарий
SergioS Опубликовано 14 февраля, 2013 Автор Поделиться Опубликовано 14 февраля, 2013 (изменено) Не понял я для чего тема...Для того, чтоб в причине разобраться.узнать: где собака порылась. Изменено 14 февраля, 2013 пользователем SergioS Ссылка на комментарий
DoctorN Опубликовано 14 февраля, 2013 Поделиться Опубликовано 14 февраля, 2013 Терапевт тот же сейчас тока пошел открывать эти оба два зуба.витапекс,если мне не изменяет память-это плотная масса с гидроокисью кальция.в некоторых случаях авторы инструкции предлагают обтурировать им канал на постоянку.по первоначальному снимку дохлый,причем прилично,44,и скорее всего уже начались явления эксудации в периапикальном пространстве.канал обтурируется витапексом-отток нет(а если еще туда терапевт протолкнул файлом кусочек сдохшего нерва-между нами-)вот и результат.на мой взгляд с 6м и 7м все в порядке Ссылка на комментарий
Рекомендуемые сообщения
Для публикации сообщений создайте учётную запись или авторизуйтесь
Вы должны быть пользователем, чтобы оставить комментарий
Создать аккаунт
Зарегистрируйте новый аккаунт в нашем сообществе. Это очень просто!
Регистрация нового пользователяВойти
Уже есть аккаунт? Войти в систему.
Войти