ger_berra Опубликовано 21 декабря, 2010 Поделиться Опубликовано 21 декабря, 2010 Для обработки каналов пользуюсь протейперами,для обтурации дают только стандартную и конусную гутту(04 и 06) и АН+.Плотно по объёму обтурировать иногда не получается-боюсь продавить силер,т.к. за пафы "ругают".Апексы стараюсь не ломать,силером только стенки обмазываю.Хочется ещё и дельту максимально закрыть.Знаю,что необходимо трёхмерное пломбирование,но пока вопрос о приобретении такой системы в клинику остаётся открытым.Доктора,посоветуйте,пожалуйста,как можно наиболие грамотно "залатералить" канал,разработаный протейпером? Ссылка на комментарий
Dr.Lesh Опубликовано 22 декабря, 2010 Поделиться Опубликовано 22 декабря, 2010 (изменено) Мастер штифтов от того же Tulsa Dental!) Изменено 22 декабря, 2010 пользователем Dr.Lesh Ссылка на комментарий
zybnaya feya Опубликовано 22 декабря, 2010 Поделиться Опубликовано 22 декабря, 2010 Доктора,посоветуйте,пожалуйста,как можно наиболие грамотно "залатералить" канал,разработаный протейпером?Тем же методом латеральной конденсации,только конусные штифты используйте неглазурированные+02 конусность почеу не используется? Ссылка на комментарий
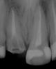
Ico Опубликовано 22 декабря, 2010 Поделиться Опубликовано 22 декабря, 2010 Для обработки каналов пользуюсь протейперами,для обтурации дают только стандартную и конусную гутту(04 и 06) и АН+.Плотно по объёму обтурировать иногда не получается-боюсь продавить силер,т.к. за пафы "ругают".Апексы стараюсь не ломать,силером только стенки обмазываю.Хочется ещё и дельту максимально закрыть.Знаю,что необходимо трёхмерное пломбирование,но пока вопрос о приобретении такой системы в клинику остаётся открытым.Доктора,посоветуйте,пожалуйста,как можно наиболие грамотно "залатералить" канал,разработаный протейпером?Попробуите сделать ап.упор фаилами и латеральте на здоровье.Апекс зондироавть только 10 - 15 а протеипер S2 ,F1 может апекс раскрыть поэтому доводите его на 1мм до апекса остальное делаите Н и К фаилами.Конусную гутту хорошо латералить не получится,она плотнее и под вертикалку нужна,кстати она и дороже обычнои гутты.Насчет пафов не знаю у меня они случаются иногда.семерка- до апексов на 0.5 фаил 30 дистальныи не помню но нобольше. http://s003.radikal.ru/i204/1012/c9/37316d43c891.jpgЗдесь мезиальные 30,дистальныи 35.http://i040.radikal.ru/1012/d4/c964ae3700cd.jpgПафы пошли 0,5 до апекса 45 фаил.http://s007.radikal.ru/i300/1012/b7/c1ae61d83293.jpgздесь 35 фаил.http://i045.radikal.ru/1012/11/05e37b25844e.jpghttp://i070.radikal.ru/1012/ac/e4cf942fa4a8.jpgПримерно так получается.Что дают тем работаем. Ссылка на комментарий
ger_berra Опубликовано 22 декабря, 2010 Автор Поделиться Опубликовано 22 декабря, 2010 Тем же методом латеральной конденсации,только конусные штифты используйте неглазурированные+02 конусность почеу не используется?02 как раз используется,но она бывает с погрешностями в размере,например,у №30 кончик как №25.Подскажите фирму,выпускающую эти неглазурированые штифты. Ссылка на комментарий
zybnaya feya Опубликовано 22 декабря, 2010 Поделиться Опубликовано 22 декабря, 2010 02 как раз используется,но она бывает с погрешностями в размере,например,у №30 кончик как №25.Подскажите фирму,выпускающую эти неглазурированые штифты.Да МЕТА самая простоая и недорогая Примерно так получается.Что дают тем работаем.Ico,ну вы скромняга))) Замечательные работы. Ссылка на комментарий
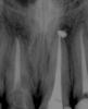
ger_berra Опубликовано 22 декабря, 2010 Автор Поделиться Опубликовано 22 декабря, 2010 Да МЕТА самая простоая и недорогаяПонятно.Есть такая.А мои снимки зацените,а то самооценочка хромает.Только,плиз,ничем не кидайтесь(тапками,помидорами,яйцами и т.п.),что без кофера.Каюсь,уже заказала набор.После 3-х недель с метапексом.Гранулирующий переодонтит 21Он же на метапексе.Прошло 3 месяца,постоянная обтурация АН+ гуттой(латералка) Ссылка на комментарий
pawa Опубликовано 22 декабря, 2010 Поделиться Опубликовано 22 декабря, 2010 [После 3-х недель с метапексом.[А зачем, вообще, этот метапекс? имхо, куда приятнее работать метапастой. Ссылка на комментарий
mirexes Опубликовано 22 декабря, 2010 Поделиться Опубликовано 22 декабря, 2010 А зачем, вообще, этот метапекс? имхо, куда приятнее работать метапастой.Мне наоборот лучше работается метапексом, заметил что после метапасты часто появляется болезненность при перкуссии. Ссылка на комментарий
ger_berra Опубликовано 22 декабря, 2010 Автор Поделиться Опубликовано 22 декабря, 2010 после метапасты часто появляется болезненность при перкуссии.Согласна.Но на мой взгляд-кому что нравится.Главное результат.И ещё раз про латералку.Силер нужен для того,чтоб "приклеивать" гутту к стенкам канала и между собой.Часть его должна стекать в дельту и "обтурировать" её.Капелька силера за апексом не является вредом для макроорганизма(есессьно,канал расширен и хорошо отмыт).Верно?Практически цитирую другие посты,потому что на работе приходится доказывать,что ты не жираф. Ссылка на комментарий
д-р Вит Опубликовано 22 декабря, 2010 Поделиться Опубликовано 22 декабря, 2010 http://i070.radikal.ru/1012/ac/e4cf942fa4a8.jpg[/url]Примерно так получается.Что дают тем работаем.lеще один канал пропущенный,похоже на то.. Ссылка на комментарий
Kivilgar Опубликовано 22 декабря, 2010 Поделиться Опубликовано 22 декабря, 2010 заметил что после метапасты часто появляется болезненность при перкуссии.Не правда. Основная причина овер инструментация и ее последствия. Ссылка на комментарий
pawa Опубликовано 22 декабря, 2010 Поделиться Опубликовано 22 декабря, 2010 Не правда. Основная причина овер инструментация и ее последствия.плюсадин Ссылка на комментарий
Kivilgar Опубликовано 22 декабря, 2010 Поделиться Опубликовано 22 декабря, 2010 02 как раз используется,но она бывает с погрешностями в размере,например,у №30 кончик как №25.Подскажите фирму,выпускающую эти неглазурированые штифты.Гутту калибровать однозначно, калибровочный снимок делаю с гуттой предварительно залив в каналы хлорку, потом вытягиваю их и кладу в лужу с хлоркой, пока домою, досушу и прочее они квасятся, протираю спиртом (обеззараживаются и становятся заметно мягче), в идеале введенный спредер надо держать в канале 1-2 минуты, чтоб хорошо расплющело и отжало, понятно что так не реально, так я ввожу спредер, оставляю в канале, потом беру следующую гуттину не торопясь макаю в хлорку, протираю спиртом, обмакну в силер, примерюсь, почешусь а уж потом спредер вытаскиваю- секунд 20-30 на это уходит. Ссылка на комментарий
Kivilgar Опубликовано 22 декабря, 2010 Поделиться Опубликовано 22 декабря, 2010 Попробуите сделать ап.упор фаилами и латеральте на здоровье.Апекс зондироавть только 10 - 15 а протеипер S2 ,F1 может апекс раскрыть поэтому доводите его на 1мм до апекса остальное делаите Н и К фаилами.Конусную гутту хорошо латералить не получится,она плотнее и под вертикалку нужна,кстати она и дороже обычнои гутты.Насчет пафов не знаю у меня они случаются иногда.семерка- до апексов на 0.5 фаил 30 дистальныи не помню но нобольше. Здесь мезиальные 30,дистальныи 35.Пафы пошли 0,5 до апекса 45 фаил.здесь 35 фаил.Примерно так получается.Что дают тем работаем.Есть мнение обоснованное, что не происходит эффективного промывания в 5 апикальных мм если канал не расширен до 35-40 размера. lеще один канал пропущенный,похоже на то..Не факт, возможно корень такой формы, другую проекцию бы глянуть. А факт, что не плотно в устьевой и средней трети Ссылка на комментарий
ger_berra Опубликовано 22 декабря, 2010 Автор Поделиться Опубликовано 22 декабря, 2010 Гутту калибровать однозначно, калибровочный снимок делаю с гуттой предварительно залив в каналы хлорку, потом вытягиваю их и кладу в лужу с хлоркой, пока домою, досушу и прочее они квасятся, протираю спиртом (обеззараживаются и становятся заметно мягче), в идеале введенный спредер надо держать в канале 1-2 минуты, чтоб хорошо расплющело и отжало, понятно что так не реально, так я ввожу спредер, оставляю в канале, потом беру следующую гуттину не торопясь макаю в хлорку, протираю спиртом, обмакну в силер, примерюсь, почешусь а уж потом спредер вытаскиваю- секунд 20-30 на это уходит.Спасибо за совет! Не знала о такой методе. Теперь тоже буду гутту в хлорке "парить". Ссылка на комментарий
Kivilgar Опубликовано 22 декабря, 2010 Поделиться Опубликовано 22 декабря, 2010 Спасибо за совет! Не знала о такой методе. Теперь тоже буду гутту в хлорке "парить". Да всегда пожалуйста, рыцарские поступки у меня в крови Ссылка на комментарий
zybnaya feya Опубликовано 22 декабря, 2010 Поделиться Опубликовано 22 декабря, 2010 Понятно.Есть такая.А мои снимки зацените,а то самооценочка хромает.С самооценкой у вас все ОК!)) Также как и с работой Хорошая латералка,но как по мне,то конусность маловата в молярах. Ссылка на комментарий
zybnaya feya Опубликовано 22 декабря, 2010 Поделиться Опубликовано 22 декабря, 2010 (изменено) З зачем в резцах через кальций проводить? Изменено 22 декабря, 2010 пользователем zybnaya feya Ссылка на комментарий
ger_berra Опубликовано 22 декабря, 2010 Автор Поделиться Опубликовано 22 декабря, 2010 З зачем в резцах через кальций проводить?Пациент ранее лечился в моей клинике,а тот доктор уволился.После первого эндо прошло примерно полгода.В общем гарантийный случай,поэтому я решила подстраховаться. Ссылка на комментарий
Ico Опубликовано 23 декабря, 2010 Поделиться Опубликовано 23 декабря, 2010 lеще один канал пропущенный,похоже на то..Все может быть но стараюсь не пропускать Фото с телефона и работе уже год.Канал широкии увидел бы Есть мнение обоснованное, что не происходит эффективного промывания в 5 апикальных мм если канал не расширен до 35-40 размера.Не факт, возможно корень такой формы, другую проекцию бы глянуть. А факт, что не плотно в устьевой и средней трети Зуб под ВКВ шел,плагера отжечь и придавить тоже не было (что дают тем работаю)поэтому переделывать не стал. Ссылка на комментарий
silver77 Опубликовано 23 декабря, 2010 Поделиться Опубликовано 23 декабря, 2010 lеще один канал пропущенный,похоже на то..похоже,что просто наложилась тень от инвагинации Ссылка на комментарий
moonch Опубликовано 3 января, 2011 Поделиться Опубликовано 3 января, 2011 С самооценкой у вас все ОК!)) Также как и с работой Хорошая латералка,но как по мне,то конусность маловата в молярах. а какая должна быть конусность в молярах, если конусность больше 06 -уже риск вертикальной трещины корня.Главное то не конусность, а грамотный протокол ирригации. Ссылка на комментарий
Kivilgar Опубликовано 3 января, 2011 Поделиться Опубликовано 3 января, 2011 а какая должна быть конусность в молярах, если конусность больше 06 -уже риск вертикальной трещины корня.Главное то не конусность, а грамотный протокол ирригации. Эндодонтические процедуры всегда ведут к ослаблению зуба и пр. а ирригация все это тоже усугубляет. Ссылка на комментарий
zybnaya feya Опубликовано 11 января, 2011 Поделиться Опубликовано 11 января, 2011 а какая должна быть конусность в молярах, если конусность больше 06 -уже риск вертикальной трещины корня.Главное то не конусность, а грамотный протокол ирригации.А она и не должна быть 06 по всей длине. Только в коронарной трети. Хотя надо смотреть каждый случай отдельно. Смотря какаие каналы. Ссылка на комментарий
Рекомендуемые сообщения
Для публикации сообщений создайте учётную запись или авторизуйтесь
Вы должны быть пользователем, чтобы оставить комментарий
Создать аккаунт
Зарегистрируйте новый аккаунт в нашем сообществе. Это очень просто!
Регистрация нового пользователяВойти
Уже есть аккаунт? Войти в систему.
Войти