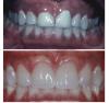
Лизок Опубликовано 3 января, 2010 Поделиться Опубликовано 3 января, 2010 Добрый вечер, уважаемые специалисты.Позвольте спросить - по вашему мнению, из чего изготовлены эти коронки?Фото взято с сайта одной очень известной голливудской стоматологической клиники.В подписи написано whole porcelain crown, что в переводе значит - цельная фарфоровая коронка.Делают ли в России такую красоту?И не обман ли это зрения? Зуб как настоящий.Спасибо. Ссылка на комментарий
Лизок Опубликовано 3 января, 2010 Автор Поделиться Опубликовано 3 января, 2010 И все? ))нельзя ли поподробнее? что за материл и адрес, раз уж на то пошло )) Ссылка на комментарий
Лизок Опубликовано 3 января, 2010 Автор Поделиться Опубликовано 3 января, 2010 Боже, я ничего не поняла (((Простите, а можно обычным, "пациентским" языком?Спасибо..мне понравилась 1я картинка. Что это?И какие зубы - "сделаны"? Ссылка на комментарий
Лизок Опубликовано 3 января, 2010 Автор Поделиться Опубликовано 3 января, 2010 Спасибо! Я все поняла.Как вы считаете, на моей картинке какой материал?И еще- все, что используется в Голливуде - используется и в России? Я имею ввиду - материалы и технику.. Ссылка на комментарий
Лизок Опубликовано 3 января, 2010 Автор Поделиться Опубликовано 3 января, 2010 Техника - я имела ввиду именно технику - техническое обеспечение.Нет, это Билл Дорфман.у него около 3 тысяч долларов за коронку.а кто тот доктор, кого упомянули вы? и откуда такие цены, по вашему?вот я сижу и думаю - есть ли резон копить доллары или в России можно такое получить?Мне вот сделали безметалловую керамику, но она даже близко не стоит с дорфманским фото.непрозачная, не сияет и нет прозрачного края (( Ссылка на комментарий
Лизок Опубликовано 3 января, 2010 Автор Поделиться Опубликовано 3 января, 2010 В этом-то и проблема... Когда я пришла в клинику примерно с такой же фотографией безметалла - мне сказали - так и будет (*горько усмехаюсь*)Вот теперь пытаюсь словить - в чем различие - в материале? умении техника?мне раз 5 переделывали - добиться красоты не удалось. я махнула рукой - на них. поняла - что они просто не могут.хочу начать копить на вот такую работу. Убасси - француз? Ссылка на комментарий
Doc Опубликовано 3 января, 2010 Поделиться Опубликовано 3 января, 2010 Лизок, видите ли, беда в том, что можно и у Штегера получить не самую лучшую работу, хотя вероятность, конечно, очень низка. А можно и в России получить высококлассную работу. Просто придется поискать хорошего доктора, а у него должен быть такой же прекрасный техник. Если совпадет, то все будет хорошо, чаще всего это все равно рулетка. Просто у одних один процент из ста, а у других девяносто девять. Ссылка на комментарий
Лизок Опубликовано 3 января, 2010 Автор Поделиться Опубликовано 3 января, 2010 Да просто Дорфман в Америке, а Убасси - француз. ехать ближе ))Ну а если не устроит врача мой опил - что будет? откажется работать? У меня он с уступом - и нервы не удалены.Я зашла к нему (Убасси) на сайт - просто нереальная красота! Это именно то, что мне было нужно!!!про спустила на тормозах - я читала и мне стало очень грустно за эту девушку... Позвольте Вас поблагодарить, за время, потраченное на обсуждение и за бесплатную, но очень толковую консультацию! СПАСИБО! Doc: вы совершенно правы, вот только не могу я ездить по всей стране -искать и пробовать на себе )) Ссылка на комментарий
Лизок Опубликовано 3 января, 2010 Автор Поделиться Опубликовано 3 января, 2010 (изменено) вам из воска/пластмассы показывали будущий результат (форма)? - этап планированияпредлагалось ли улучшить цвет зубов? - этап отбеливанияпримеряли ли работу на цветовой вазелин?присутствовал ли техник и объясняли ли вы ему что хотите?или скажем вам показывали компьютерный макет вашей будущей улыбки? присутствовал ли техник и объясняли ли вы ему что хотите - ТОЛЬКО ЭТО. думаете? опил опилу - рознь. иногда так сточат, что жалеешь,что снял...и такое бывает. нет вопросов - за этим мы здесь и есть. И что вы делаете, когда такое происходмит? Штифты?с опилом проблем нет. Врач была такая аккуратненькая - по минимуму все сняла, умничка. Изменено 3 января, 2010 пользователем Лизок Ссылка на комментарий
Doc Опубликовано 3 января, 2010 Поделиться Опубликовано 3 января, 2010 Да просто Дорфман в Америке, а Убасси - француз. ехать ближе ))Ну а если не устроит врача мой опил - что будет? откажется работать? У меня он с уступом - и нервы не удалены.Я зашла к нему (Убасси) на сайт - просто нереальная красота! Это именно то, что мне было нужно!!!про спустила на тормозах - я читала и мне стало очень грустно за эту девушку... Позвольте Вас поблагодарить, за время, потраченное на обсуждение и за бесплатную, но очень толковую консультацию! СПАСИБО! Doc: вы совершенно правы, вот только не могу я ездить по всей стране -искать и пробовать на себе )) Спасибо тут не прокатит. Вы лучше потом результат вывесите, либо нам в личку пришлите. Я люблю отслеживать такие вещи, ибо чем выше запросы у пациента, тем сложнее их удовлетворить. Так что, если можно, сообщите нам потом у кого лечились и чем кончилось Ссылка на комментарий
Лизок Опубликовано 3 января, 2010 Автор Поделиться Опубликовано 3 января, 2010 Ребята, ОБЯЗАТЕЛЬНО!!!! Обещаю, но только в личку ))).Если срастется с финансами, а это не так скоро.. думаю до декабря 2010 поставить..Да, запросы очень большие.. я лучше "голая" буду ходить, но с красивыми зубами ))) это мой приоритет. Ссылка на комментарий
Лизок Опубликовано 3 января, 2010 Автор Поделиться Опубликовано 3 января, 2010 ))))ТОЛЬКО В ЛИЧКУ!!! Ссылка на комментарий
Doc Опубликовано 3 января, 2010 Поделиться Опубликовано 3 января, 2010 Ребята, ОБЯЗАТЕЛЬНО!!!! Обещаю, но только в личку ))).Если срастется с финансами, а это не так скоро.. думаю до декабря 2010 поставить..Да, запросы очень большие.. я лучше "голая" буду ходить, но с красивыми зубами ))) это мой приоритет. Голая и с красивыми зубами??? Пожалуй Вы правы, лучше так! )) Ссылка на комментарий
26rus Опубликовано 4 января, 2010 Поделиться Опубликовано 4 января, 2010 У вас с ним связь?так давайте я к вам приду ))я не хочу "подешевлЕ", я хочу сэкономить.что в этом плохого?Мне просто кажется что любая зделаная вам работа не понравится.Ну а вобще вам перечесляли пункты которые должен делать доктор перед началом любых манипуляций связоных с фиксированым протезированием и эстетической реабилетацией Ссылка на комментарий
Следков Михаил Опубликовано 4 января, 2010 Поделиться Опубликовано 4 января, 2010 Добрый вечер, уважаемые специалисты.Позвольте спросить - по вашему мнению, из чего изготовлены эти коронки?Фото взято с сайта одной очень известной голливудской стоматологической клиники.В подписи написано whole porcelain crown, что в переводе значит - цельная фарфоровая коронка.Делают ли в России такую красоту?И не обман ли это зрения? Зуб как настоящий.Спасибо. Не ужели вы не нашли на этом форуме красивых зубов сделанных нашеми специалистами? http://i013.radikal.ru/0907/e8/e30074b3f6a0.jpghttp://i082.radikal.ru/0904/9d/5bb3110b13d7.jpg Или вот так http://s53.radikal.ru/i142/0812/4c/357eeb88ea65.jpg) Ссылка на комментарий
Лизок Опубликовано 4 января, 2010 Автор Поделиться Опубликовано 4 января, 2010 (изменено) А где прозрачность? Изменено 4 января, 2010 пользователем Лизок Ссылка на комментарий
Следков Михаил Опубликовано 4 января, 2010 Поделиться Опубликовано 4 января, 2010 А где прозрачность? То что Вы выложили сделано на черном фоне и при особом освещении На примет вот так.http://i013.radikal.ru/0904/14/79f9a45ccc6c.jpg Ссылка на комментарий
Лизок Опубликовано 4 января, 2010 Автор Поделиться Опубликовано 4 января, 2010 В зубах нет прозрачности? как это? Посмотрите на свои зубы - кончики у них - прозрачные! Так заложено природой и не я это выдумала! Ссылка на комментарий
Следков Михаил Опубликовано 4 января, 2010 Поделиться Опубликовано 4 января, 2010 или так http://s46.radikal.ru/i112/0904/1d/e6ee1314d64a.jpg Ссылка на комментарий
Лизок Опубликовано 4 января, 2010 Автор Поделиться Опубликовано 4 января, 2010 (изменено) Fury: а можно ту же фото, только спереди ))Михаил - это не одно и тоже. Изменено 4 января, 2010 пользователем Лизок Ссылка на комментарий
Следков Михаил Опубликовано 4 января, 2010 Поделиться Опубликовано 4 января, 2010 В зубах нет прозрачности? как это? Посмотрите на свои зубы - кончики у них - прозрачные! Так заложено природой и не я это выдумала! http://s49.radikal.ru/i126/0812/0a/d47b41b390fa.jpg Где вы видите у этого пациента прозрачность? Ссылка на комментарий
Лизок Опубликовано 4 января, 2010 Автор Поделиться Опубликовано 4 января, 2010 (изменено) я тут кончиков вообще не вижу! снимите зубы на просвет на темном фоне - я покажу вам прозрачность! Изменено 4 января, 2010 пользователем Лизок Ссылка на комментарий
Следков Михаил Опубликовано 4 января, 2010 Поделиться Опубликовано 4 января, 2010 Fury: а можно ту же фото, только спереди ))Михаил - это не одно и тоже. Что не одно и тоже? это http://i082.radikal.ru/0904/9d/5bb3110b13d7.jpgэто http://i013.radikal.ru/0904/14/79f9a45ccc6c.jpgи это?http://s46.radikal.ru/i112/0904/1d/e6ee1314d64a.jpg Ссылка на комментарий
Следков Михаил Опубликовано 4 января, 2010 Поделиться Опубликовано 4 января, 2010 я тут кончиков вообще не вижу! снимите зубы на просвет на темном фоне - я покажу вам прозрачность! У Fury есть фото зубов этого пациента на черном фоне. Может он покажет ? Ссылка на комментарий
Лизок Опубликовано 4 января, 2010 Автор Поделиться Опубликовано 4 января, 2010 Михаил, ЭТИ фотографии и Ваши - НЕ ОДНО и ТО ЖЕ! Ссылка на комментарий
Рекомендуемые сообщения