Александр1 Опубликовано 29 апреля Поделиться Опубликовано 29 апреля Здравствуйте, я молодой стоматолог. Ко мне приходил пациент на лечение кариеса дентина зуба 4.6(средний), 1 класс по Блэку. На следующий день после лечения появилась боль при накусывании на пломбу, пациент пришёл ко мне через 3 недели, что боль не прошла, я проверил на суперконтакт, его не обнаружилась, предположил дебондинг, заменил полностью пломбу, 5 дней все было хорошо, но потом опять появилась такая же боль, в этом месте(в углу пломбы). Реакции на холод и тепло нет, других каких-то симптомов тоже нет, был совсем не глубокий средний кариес. Помогите пожалуйста🙏🙏🙏, что мне делать Ссылка на комментарий
АнтонТЛТ Опубликовано 29 апреля Поделиться Опубликовано 29 апреля Добрый день, было бы фото можно было бы что-то посоветовать. Ссылка на комментарий
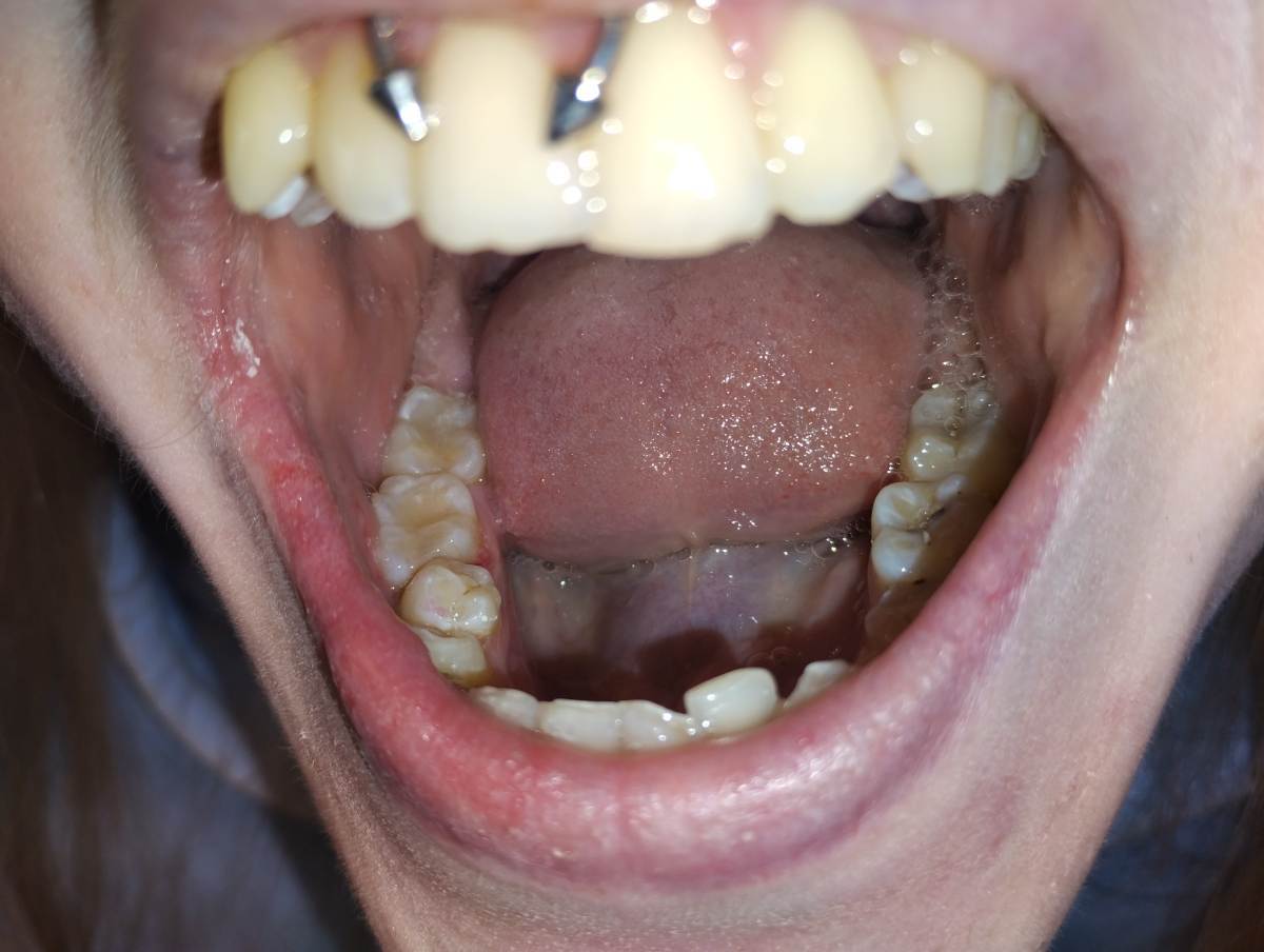
Александр1 Опубликовано 29 апреля Автор Поделиться Опубликовано 29 апреля (изменено) Извините, только такие(до и после) Изменено 29 апреля пользователем Александр1 Ссылка на комментарий
АнтонТЛТ Опубликовано 29 апреля Поделиться Опубликовано 29 апреля Отметьте, где болезненность Ссылка на комментарий
Александр1 Опубликовано 30 апреля Автор Поделиться Опубликовано 30 апреля В этой точке, пациент говорит в самом углу, боль ощущается при зондировании пломбы, сами ткани зуба безболезненны Ссылка на комментарий
red_butler Опубликовано 3 мая Поделиться Опубликовано 3 мая В 30.04.2026 в 06:07, Александр1 сказал: В этой точке, пациент говорит в самом углу, боль ощущается при зондировании пломбы, сами ткани зуба безболезненны скорее всего нарушение адгезивного протокола... Ссылка на комментарий
АнтонТЛТ Опубликовано 3 мая Поделиться Опубликовано 3 мая Опишите свой протокол поэтапно Ссылка на комментарий
krokomot Опубликовано 5 мая Поделиться Опубликовано 5 мая В 30.04.2026 в 06:07, Александр1 сказал: В этой точке, пациент говорит в самом углу, боль ощущается при зондировании пломбы, сами ткани зуба безболезненны скорее всего вы мало отпрепарировали и ваш адгезивный протокол не выдерживает и происходит дебондинг, сформируйте классическую полость по блэку с отвесными стенками. Второй вопрос ваш протокол в студию, четко по секундам и мелочам, что за чем. протравил, просушил, нанес бонд не подходит, каждое дейстиве с секундах и повторяемость. Ссылка на комментарий
Александр1 Опубликовано 8 мая Автор Поделиться Опубликовано 8 мая Спасибо всем большое! 1 Ссылка на комментарий
Рекомендуемые сообщения
Для публикации сообщений создайте учётную запись или авторизуйтесь
Вы должны быть пользователем, чтобы оставить комментарий
Создать аккаунт
Зарегистрируйте новый аккаунт в нашем сообществе. Это очень просто!
Регистрация нового пользователяВойти
Уже есть аккаунт? Войти в систему.
Войти