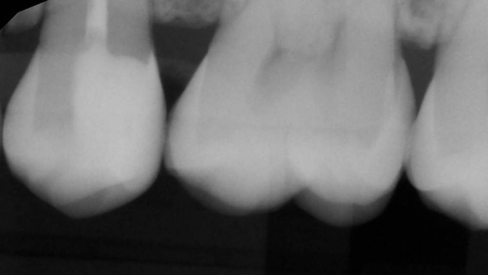
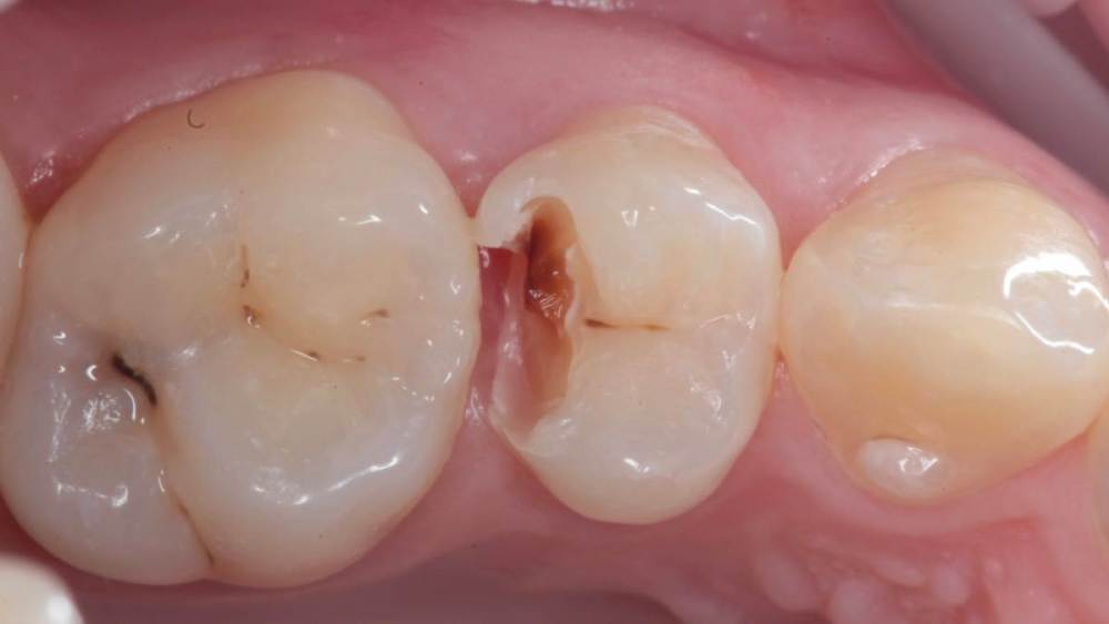
Гарриевич Опубликовано 21 мая, 2022 Поделиться Опубликовано 21 мая, 2022 (изменено) Будущее за регенеративной эндодонтией?) лечение в 2 посещения из-за нехватки времени (новый ассистент, перегруз пациентами, мысли о поднятии стоимости лечения, гипердиагностика?) глубокая пульпотомия, триоксидент, композит. фото подробно выложил это снимок с временной пломбой мало ли что вы подумаете Изменено 21 мая, 2022 пользователем Гарриевич 1 Ссылка на комментарий
ЛанаМ Опубликовано 23 мая, 2022 Поделиться Опубликовано 23 мая, 2022 Показаниями к пульпотомии является острый очаговый пульпит, а судя по снимку там хронический пульпит + хронический фиброзный периодонтит. Я бы выбрала пульпэктомию. 1 1 Ссылка на комментарий
Гарриевич Опубликовано 23 мая, 2022 Автор Поделиться Опубликовано 23 мая, 2022 13 часов назад, ЛанаМ сказал: Показаниями к пульпотомии является острый очаговый пульпит, а судя по снимку там хронический пульпит + хронический фиброзный периодонтит. Я бы выбрала пульпэктомию. Спасибо за мнение, но Зуб адекватно реагировал на холодовой раздражитель Скрытия произошло в момент препарирования полости Ссылка на комментарий
ЛанаМ Опубликовано 28 мая, 2022 Поделиться Опубликовано 28 мая, 2022 23.05.2022 в 23:33, Гарриевич сказал: Спасибо за мнение, но Зуб адекватно реагировал на холодовой раздражитель Скрытия произошло в момент препарирования полости Я не имела в виду, что вы лечили зуб с погибшей пульпой. Я написала, что там похоже был длительно существующий хронический пульпит. Есть у нас по классификации острый очаговый пульпит. Это при котором боль при раздражителях 15-30 мин, пульповая камера не сообщается с полостью зуба, ЭОД 15-25 мкА. В патогенезе там серозное воспаление, длится это состояние 1-2 суток, поймать на приеме его удается редко. Именно при этом диагнозе по учебникам допускается лечение биологическим методом или пульпотомией. При диффузном пульпите воспаление уходит в корневую пульпу, острый гнойный является необратимым. При хронических пульпитах уже по всей протяженности пульпы встречаются скопления микроорганизмов, происходит усиленная пролиферация соединительнотканных волокон и снижается количество клеточных элементов. Некоторые хронические пульпиты сопровождаются расширением периодонтальной щели как реакция периодонта на наличие патологической микрофлоры в пульпе. При этом пульпа частична жива, холодовой тест сработает. Если удалить половину пульпы, то микробы из оставшейся половины никуда не денутся. Будут жить и размножаться. Большой риск получить периодонтит через несколько лет. Бактерицидный эффект триоксидента завязан на гидроокиси кальция. Но если бы можно было уничтожать микрофлору просто накладывая кальций на пульпу, так бы пульпиты и лечили. Просто и быстро. Но тут часами моем хлоркой, и то может не сработать. У пульпы вообще слабые способности к регенерации. Одним из требований к корневым пломбировочным материалам является возможность извлечения при необходимости. Сами представляете сложность распломбирования цемента, а некоторые доктора и возиться не будут, сразу на удаление отправят. 1 1 Ссылка на комментарий
Гарриевич Опубликовано 29 мая, 2022 Автор Поделиться Опубликовано 29 мая, 2022 8 часов назад, ЛанаМ сказал: Я не имела в виду, что вы лечили зуб с погибшей пульпой. Я написала, что там похоже был длительно существующий хронический пульпит. Есть у нас по классификации острый очаговый пульпит. Это при котором боль при раздражителях 15-30 мин, пульповая камера не сообщается с полостью зуба, ЭОД 15-25 мкА. В патогенезе там серозное воспаление, длится это состояние 1-2 суток, поймать на приеме его удается редко. Именно при этом диагнозе по учебникам допускается лечение биологическим методом или пульпотомией. При диффузном пульпите воспаление уходит в корневую пульпу, острый гнойный является необратимым. При хронических пульпитах уже по всей протяженности пульпы встречаются скопления микроорганизмов, происходит усиленная пролиферация соединительнотканных волокон и снижается количество клеточных элементов. Некоторые хронические пульпиты сопровождаются расширением периодонтальной щели как реакция периодонта на наличие патологической микрофлоры в пульпе. При этом пульпа частична жива, холодовой тест сработает. Если удалить половину пульпы, то микробы из оставшейся половины никуда не денутся. Будут жить и размножаться. Большой риск получить периодонтит через несколько лет. Бактерицидный эффект триоксидента завязан на гидроокиси кальция. Но если бы можно было уничтожать микрофлору просто накладывая кальций на пульпу, так бы пульпиты и лечили. Просто и быстро. Но тут часами моем хлоркой, и то может не сработать. У пульпы вообще слабые способности к регенерации. Одним из требований к корневым пломбировочным материалам является возможность извлечения при необходимости. Сами представляете сложность распломбирования цемента, а некоторые доктора и возиться не будут, сразу на удаление отправят. абсолютно с вами не согласен ни с серозным пульпитом, ни вообще с этой устаревшей, и не имеющей ничего общего с клиникой картиной, классификацией ни с отсутствием у пульпы возможности к регенерации и тем более со сложностью переучивания мта, это минутное дело Ссылка на комментарий
Ico Опубликовано 30 мая, 2022 Поделиться Опубликовано 30 мая, 2022 Рикуччиология) 2 Ссылка на комментарий
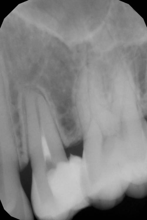
Гарриевич Опубликовано 6 апреля, 2023 Автор Поделиться Опубликовано 6 апреля, 2023 3 1 Ссылка на комментарий
Doc Опубликовано 7 апреля, 2023 Поделиться Опубликовано 7 апреля, 2023 Удивительное рядом. 1 Ссылка на комментарий
Гарриевич Опубликовано 7 апреля, 2023 Автор Поделиться Опубликовано 7 апреля, 2023 5 часов назад, Doc сказал: Удивительное рядом. Хейтеры скажут фотошоп Ссылка на комментарий
Doc Опубликовано 8 апреля, 2023 Поделиться Опубликовано 8 апреля, 2023 19 часов назад, Гарриевич сказал: Хейтеры скажут фотошоп Не, я не скажу. Первый раз про такое я лет 20 назад слушал лекцию. Наш Арком привозил какого-то лектора из Америки. Тогда очень удивлялся, помню. Но потом регулярно эта методика где-то всплывала, хоть и очень-очень редко. Сам не стал бы так рисковать, наверное. Хотя бы потому, что не уверен, что в суде потом можно отбиться от обвинения в некачественной пломбировке канала. :))) Ссылка на комментарий
Kolchanov Опубликовано 8 апреля, 2023 Поделиться Опубликовано 8 апреля, 2023 И сам заработал и неизвестному коллеге-ретритчику помог. Ссылка на комментарий
Гарриевич Опубликовано 8 апреля, 2023 Автор Поделиться Опубликовано 8 апреля, 2023 6 часов назад, Kolchanov сказал: И сам заработал и неизвестному коллеге-ретритчику помог. А я чего вообще кто то может решить туда лезть?) с виду отличный зуб)) Ссылка на комментарий
annda Опубликовано 24 июня, 2023 Поделиться Опубликовано 24 июня, 2023 А лет жертве сколько? Ссылка на комментарий
Рекомендуемые сообщения
Для публикации сообщений создайте учётную запись или авторизуйтесь
Вы должны быть пользователем, чтобы оставить комментарий
Создать аккаунт
Зарегистрируйте новый аккаунт в нашем сообществе. Это очень просто!
Регистрация нового пользователяВойти
Уже есть аккаунт? Войти в систему.
Войти