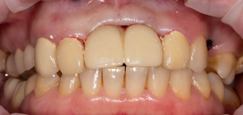
Женька Опубликовано 10 мая, 2022 Поделиться Опубликовано 10 мая, 2022 Установка 2х формирователей на снуконы, поставленные в ЯНАО. Винты оказались глубоко. Почему-то совсем забыл про всякие расщепления лоскутов и тупо пошёл до кости. Нёбо было очень "сочным", но по факту весь сок был из железистой-жировой ткани. СДТ получился достаточно тоненьким, около 1мм. Постарался изобразить какой-то сосочек, хотя сейчас пересматривая фотки думаю, что врядли там что-то вырастет. Хотя вестибулярно объём конечно мне нравится (надо же себя и хвалить иногда?) ) К сожалению, фоток временных коронок уже не сделал (коронки были сделаны предыдущим доктором в ЯНАО, одел их же обратно, чуть создав место под фдмы). Какие ошибки есть, коллеги? 3 Ссылка на комментарий
Женька Опубликовано 14 мая, 2022 Автор Поделиться Опубликовано 14 мая, 2022 Подниму тему Коллеги, всё так удручающе, что никто даже не дизлайкнет? 1 Ссылка на комментарий
kramer Опубликовано 14 мая, 2022 Поделиться Опубликовано 14 мая, 2022 Выкладывайте результат через 6-8 недель, посмотрим что получилось Ссылка на комментарий
Женька Опубликовано 14 мая, 2022 Автор Поделиться Опубликовано 14 мая, 2022 (изменено) @kramer это так долго ждать до постоянного протезирования?:( Изменено 14 мая, 2022 пользователем Женька хотя с другой стороны, 4 недели на заживление+2 на изготовление мк-коронок, не так уж и долго Ссылка на комментарий
kramer Опубликовано 14 мая, 2022 Поделиться Опубликовано 14 мая, 2022 Постоянного? Здесь времянки так-то надо делать сначала. Коллаген восстанавливается за 6 недель после разрезов и т.д. Так что следующие манипуляции только спустя указанный период 1 Ссылка на комментарий
Женька Опубликовано 14 мая, 2022 Автор Поделиться Опубликовано 14 мая, 2022 @kramer времяхи не укладываются в бюджет пациентки Ссылка на комментарий
annda Опубликовано 21 мая, 2022 Поделиться Опубликовано 21 мая, 2022 Берите письменный отказ от медицинского вмешательства и потом никаких претензий по форме коронок не принимайте.Проверять карманы пациентов не наша задача,информацию до них все равно надо доносить,зачем это надо и чем обернется,если не делать.И на бумаге с подписью закреплять. 4 Ссылка на комментарий
Дилмурад Опубликовано 25 мая, 2022 Поделиться Опубликовано 25 мая, 2022 15.05.2022 в 01:10, Женька сказал: @kramer времяхи не укладываются в бюджет пациентки Лучше сделать временные коронки немного потратится.. была такая работа в практике без временных мучались долго чтобы сдать! Ссылка на комментарий
Doc Опубликовано 25 мая, 2022 Поделиться Опубликовано 25 мая, 2022 14.05.2022 в 21:10, Женька сказал: @kramer времяхи не укладываются в бюджет пациентки Это на уровне "у пациентки денег хватило только на один имплантат, поэтому мост будет на нем стоять". Ну как в переднем отделе делать работу без времянок? 1 Ссылка на комментарий
Женька Опубликовано 25 мая, 2022 Автор Поделиться Опубликовано 25 мая, 2022 @Doc я когда сказал, что надо ещё подождать то созревания десны, на меня уже косо стали смотреть... попробую пробить эту стену конечно... но думаю, всё тщетно 1 Ссылка на комментарий
Doc Опубликовано 26 мая, 2022 Поделиться Опубликовано 26 мая, 2022 22 часа назад, Женька сказал: @Doc я когда сказал, что надо ещё подождать то созревания десны, на меня уже косо стали смотреть... попробую пробить эту стену конечно... но думаю, всё тщетно Сочувствую... Что я еще могу сказать? Ссылка на комментарий
annda Опубликовано 29 мая, 2022 Поделиться Опубликовано 29 мая, 2022 26.05.2022 в 00:03, Женька сказал: @Doc я когда сказал, что надо ещё подождать то созревания десны, на меня уже косо стали смотреть... попробую пробить эту стену конечно... но думаю, всё тщетно А кто стал косо смотреть- пациент или начальство? Ссылка на комментарий
Женька Опубликовано 30 мая, 2022 Автор Поделиться Опубликовано 30 мая, 2022 @annda пациент Ссылка на комментарий
annda Опубликовано 30 мая, 2022 Поделиться Опубликовано 30 мая, 2022 (изменено) Но ведь это значит, что пациент в первый раз это услышал именно на этапе постановки формирователей с пластикой.По правилам, он об этом должен быть информирован еще до установки имплантата, на самой первой консультации и изначально знать все сроки каждого этапа. В идеале, подписывается план лечения со стоимостью и сроками исполнения. И никаких взглядов.Где он чего там не хочет или финансово не вывозит, то подписывается отказ от медицинского вмешательства, где перечисляются все последствия этого отказа, это все упирается в немалые финансы потом. По опыту, такие , которые жмотятся на ерунде, потом на постоянках и начинают мозги выносить не подеццки:(( Изменено 30 мая, 2022 пользователем annda 3 1 Ссылка на комментарий
Женька Опубликовано 31 мая, 2022 Автор Поделиться Опубликовано 31 мая, 2022 @annda пациентка пришла с уже установленными имплантами в ЯНАО. Причём ранее, в том же месте ей поставили ещё и моляры снизу и уже запротезировали. Естественно без времянок. Ссылка на комментарий
annda Опубликовано 31 мая, 2022 Поделиться Опубликовано 31 мая, 2022 (изменено) Евгений, ну вы же ее в первый раз консультировали? Прежде чем за скальпель браться? Что- то говорили? План лечения рассказывали?Перед тем как она согласилась на лечение в клинике? Скажите ей, что это стандартный, общепринятый протокол протезирования на имплантатах в переднем отделе, принятый во всем мире, что нарушение его чревато. Ее право отказаться, но пусть бумаги подпишет, нет проблем.Подскажите это вашему ортопеду, столько головняков с его пятой точки снимете. Изменено 31 мая, 2022 пользователем annda 1 Ссылка на комментарий
Женька Опубликовано 1 июня, 2022 Автор Поделиться Опубликовано 1 июня, 2022 Да, безусловно тут мой косяк... план составил, а вот времяши не включил (забыл совершенно про них) Не могу пока я продумывать все моменты до конца наперёд... Ссылка на комментарий
kramer Опубликовано 1 июня, 2022 Поделиться Опубликовано 1 июня, 2022 12 часов назад, Женька сказал: Да, безусловно тут мой косяк... план составил, а вот времяши не включил (забыл совершенно про них) Не могу пока я продумывать все моменты до конца наперёд... Для этого и существуют протоколы. Не нужно каждый раз ничего придумывать, как заново. Работа с временными коронками во фронте обязательная, я даже не знаю, кто считает иначе. Вы наверное не начинаете лечение без снимков, например, ни у кого ведь не возникает косых взглядов и недовольств 1 Ссылка на комментарий
Женька Опубликовано 3 июня, 2022 Автор Поделиться Опубликовано 3 июня, 2022 В общем надо видимо витамины какие попить, глицин там или что ещё? Сегодня работал с этой пациенткой. Про времяшки я ей сказал изначально, ума не приложу как это выскочило из головы. Сегодня сняли оттиск под временные PMMA. Далее планирую по готовности времяшек отпилить 1.2, 2.2 зубы от старого моста и поставить их на соответствующие зубы. Насколько отправляем пациента гулять? p/s научил жену на своё счастье фоткать на макрообъектив, а не на телефон...остался без фотоаппарата временно) Ссылка на комментарий
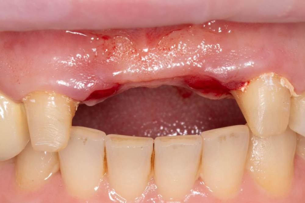
Женька Опубликовано 21 июня, 2022 Автор Поделиться Опубликовано 21 июня, 2022 В общем вот сейчас я осознал, что фронт это очень сложный участок Профили упилил, но кажется надо было ещё редуцировать. Коллеги, что ещё бы сделали? Пациентка придёт через неделю. Хочу снять, доработать профиль на 2.1 (добавить по зениту и сделать зуб "длинее" + убрать до существующей десны перешеек. Рг нет, к сожалению. Результат меня расстраивает. ПАМАГИТЕ 2 Ссылка на комментарий
Pavel-Pskov Опубликовано 21 июня, 2022 Поделиться Опубликовано 21 июня, 2022 Сосочек зажат кмк. 1 Ссылка на комментарий
Женька Опубликовано 21 июня, 2022 Автор Поделиться Опубликовано 21 июня, 2022 @Pavel-Pskov да, забыл упомянуть. Фиксировал через разрез по средине сосочков. Недели слишком много ожидания? и правильно ли я написал, как это исправить теперь? Очень много вопросов в голове Ссылка на комментарий
kramer Опубликовано 21 июня, 2022 Поделиться Опубликовано 21 июня, 2022 В конечном итоге все сведется к искусственному сосочку между коронками. Вы уже ничего принципиально не измените, и не стоит предпринимать больше никакую хирургию. Сделайте искусственную десну, так будет проще для вас и пациента Ссылка на комментарий
Женька Опубликовано 21 июня, 2022 Автор Поделиться Опубликовано 21 июня, 2022 @kramer хирургию и не хотел. Как не уходить в такую крайность в будущем? на что обратить внимание? Ссылка на комментарий
kramer Опубликовано 21 июня, 2022 Поделиться Опубликовано 21 июня, 2022 Тут ещё по самой первой фотографии было ясно, что вертикальный дефицит десны. Я б может не стал сразу ставить формики, а попробовал положить сст прям на гребень (или что-то в этом духе), мобилизовать и ушить наглухо, а раскрыть имплантаты позже мукотомом. 1 1 Ссылка на комментарий
Рекомендуемые сообщения
Для публикации сообщений создайте учётную запись или авторизуйтесь
Вы должны быть пользователем, чтобы оставить комментарий
Создать аккаунт
Зарегистрируйте новый аккаунт в нашем сообществе. Это очень просто!
Регистрация нового пользователяВойти
Уже есть аккаунт? Войти в систему.
Войти