Гарриевич Опубликовано 3 мая, 2022 Поделиться Опубликовано 3 мая, 2022 (изменено) Хоть я и специализируюсь на эндодонтии, ну во главу угла всегда ставлю витальность зуба. В некоторых случаях проведение пульпэктомии не обязательно, А возможно ограничиться глубокой ампутацией пульпы. Изменено 3 мая, 2022 пользователем Гарриевич 3 Ссылка на комментарий
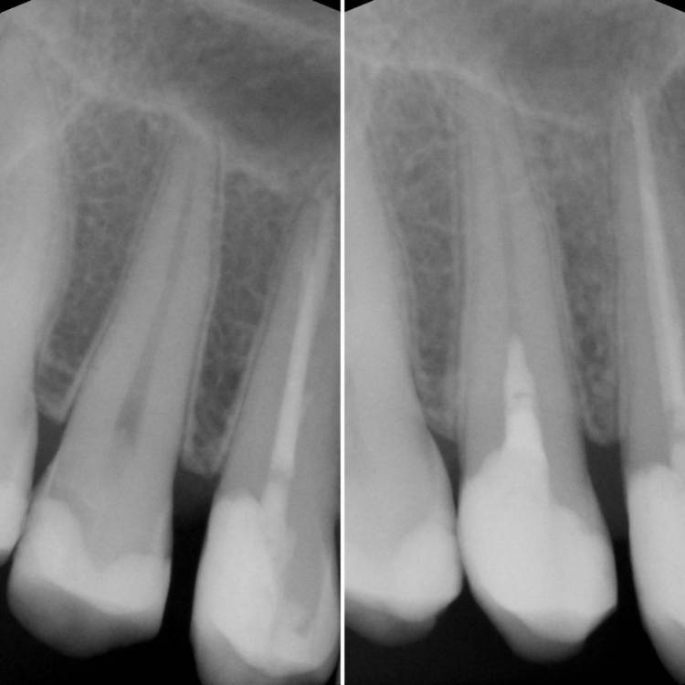
Гарриевич Опубликовано 3 мая, 2022 Автор Поделиться Опубликовано 3 мая, 2022 (изменено) Гемостаз и перекрытие мта гуттой Изменено 3 мая, 2022 пользователем Гарриевич 1 Ссылка на комментарий
1586Doc Опубликовано 3 мая, 2022 Поделиться Опубликовано 3 мая, 2022 Возраст пациента? Чем будет восстановлен зуб? Ссылка на комментарий
Гарриевич Опубликовано 3 мая, 2022 Автор Поделиться Опубликовано 3 мая, 2022 На вид лет 30-40 Какая разница чем восстановлен? Ссылка на комментарий
1586Doc Опубликовано 3 мая, 2022 Поделиться Опубликовано 3 мая, 2022 (изменено) 32 минуты назад, Гарриевич сказал: На вид лет 30-40 Какая разница чем восстановлен? пытаюсь понять Поркуа ? Зуб явно под ортопедию. Изменено 3 мая, 2022 пользователем 1586Doc Ссылка на комментарий
Гарриевич Опубликовано 4 мая, 2022 Автор Поделиться Опубликовано 4 мая, 2022 (изменено) 6 часов назад, 1586Doc сказал: пытаюсь понять Поркуа ? Зуб явно под ортопедию. Зуб под ортопедию. Но сохранение витальности приоритетная задача не только в случаях дальнейшей прямой реставрации, но и непрямой тоже Изменено 4 мая, 2022 пользователем Гарриевич Ссылка на комментарий
Notherbrick Опубликовано 4 мая, 2022 Поделиться Опубликовано 4 мая, 2022 7 часов назад, 1586Doc сказал: пытаюсь понять Поркуа ? Зуб явно под ортопедию. Прошу прощения за дичайший оффтоп, но. Все в мире циклично. И вот, в очередной раз как маятник мироздания достиг крайней точки и начинает ускоряться, а колесо сансары начинает новый круг, так на смену гуманным хирургам, зрящим в будущее и экономящим деньги, время и нервы пациентов пришли терапевты во главе стола которых стоит борьба за витальность зуба или хотя бы огрызков пульпы. А может просто время такое и экономим запасы имплантатов до лучших времён, когда с поставками проще будет и все немного устаканится. Поэтому наконец то появился простор для творчества у терапевтов. А то не все же править бал шуруповертам) P.S. ни в коем случае не было цели кого либо оскорбить. Прошу отнестись с юмором к вышесказанному. 1 Ссылка на комментарий
NazranDantist Опубликовано 4 мая, 2022 Поделиться Опубликовано 4 мая, 2022 Всем привет. Если честно, попади ко мне этот пациент, первым делом отправил бы на реэндо, сказав, что предыдущий доктор немного не доработал?. Нельзя такое показывать, щас начинающие специалисты решат, что можно в принципе не пломбировать канал до апекса, чтобы сохранить витальность пульпы, или просто оправдывать свое неумение или нехотение в работе. Ссылка на комментарий
1586Doc Опубликовано 4 мая, 2022 Поделиться Опубликовано 4 мая, 2022 3 часа назад, Гарриевич сказал: Зуб под ортопедию. Но сохранение витальности приоритетная задача не только в случаях дальнейшей прямой реставрации, но и непрямой тоже Доктор, по Вашей статистике, как часто такие зубы "стреляют" ( Переходят в хронический периодонтит) С пациентом заранее обговариваете такие риски? Ссылка на комментарий
Гарриевич Опубликовано 4 мая, 2022 Автор Поделиться Опубликовано 4 мая, 2022 2 часа назад, 1586Doc сказал: Доктор, по Вашей статистике, как часто такие зубы "стреляют" ( Переходят в хронический периодонтит) С пациентом заранее обговариваете такие риски? Обговариваю все варианты, но по моей личной статистике (да и по исследованиям) если периодонтита уже не было, то он и не возникнет Ссылка на комментарий
Гарриевич Опубликовано 4 мая, 2022 Автор Поделиться Опубликовано 4 мая, 2022 6 часов назад, NazranDantist сказал: Всем привет. Если честно, попади ко мне этот пациент, первым делом отправил бы на реэндо, сказав, что предыдущий доктор немного не доработал?. Нельзя такое показывать, щас начинающие специалисты решат, что можно в принципе не пломбировать канал до апекса, чтобы сохранить витальность пульпы, или просто оправдывать свое неумение или нехотение в работе. Вы бы это сделали, потому что большинство врачей-стоматологов лечат не пациента, а снимки ) но я вас понимаю, без знания протокола того доктора это выглядит стремно для большинства 1 Ссылка на комментарий
annda Опубликовано 5 мая, 2022 Поделиться Опубликовано 5 мая, 2022 Как вы контролируете витальность в отсроченной перспективе? 1 Ссылка на комментарий
NazranDantist Опубликовано 5 мая, 2022 Поделиться Опубликовано 5 мая, 2022 04.05.2022 в 15:07, Гарриевич сказал: Вы бы это сделали, потому что большинство врачей-стоматологов лечат не пациента, а снимки ) но я вас понимаю, без знания протокола того доктора это выглядит стремно для большинства Скорее по данным снимка лечим пациента. Может быть банально, но эффективно? Ссылка на комментарий
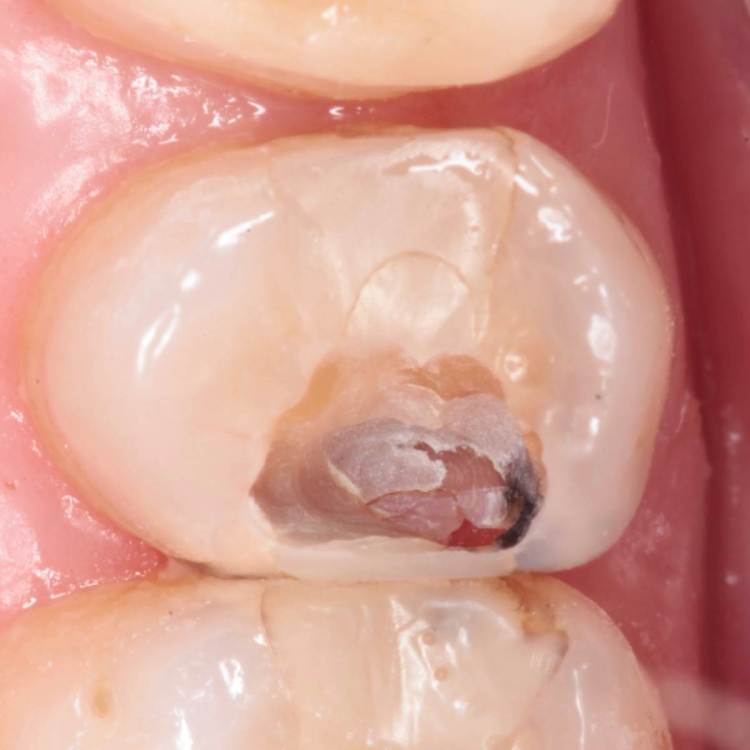
Kolchanov Опубликовано 7 мая, 2022 Поделиться Опубликовано 7 мая, 2022 Как по мне, то смысл отсутствует в таком. Ради интереса, если только. Потеря прочности, как и при эндо, штифт не засунуть, картинка такая себе. Ссылка на комментарий
Doc Опубликовано 7 мая, 2022 Поделиться Опубликовано 7 мая, 2022 А Вы знаете, все это идет по спирали — абсолютная истина. Про этот метод впервые я услышал на лекции, которую организовал покойный ныне профессор Иоффе еще в 1999 году в пансионате в Зеленогорске. Американский доктор как раз и занимался глубокой ампутацией пульпы. Его в зале откровенно не поняли, т.к. он толком не объяснил как останавливает кровотечение, плюс он утверждал, что можно травить прямо по пульпе, что тоже вызвало вопросы. Как я понимаю, через 20 лет методика слегка изменилась, но все еще живет. Ссылка на комментарий
Гарриевич Опубликовано 7 мая, 2022 Автор Поделиться Опубликовано 7 мая, 2022 10 часов назад, Doc сказал: А Вы знаете, все это идет по спирали — абсолютная истина. Про этот метод впервые я услышал на лекции, которую организовал покойный ныне профессор Иоффе еще в 1999 году в пансионате в Зеленогорске. Американский доктор как раз и занимался глубокой ампутацией пульпы. Его в зале откровенно не поняли, т.к. он толком не объяснил как останавливает кровотечение, плюс он утверждал, что можно травить прямо по пульпе, что тоже вызвало вопросы. Как я понимаю, через 20 лет методика слегка изменилась, но все еще живет. Как и тангенциальное препарирование?) 12 часов назад, Kolchanov сказал: Как по мне, то смысл отсутствует в таком. Ради интереса, если только. Потеря прочности, как и при эндо, штифт не засунуть, картинка такая себе. Костя, а что тебе до картинки? Ссылка на комментарий
Гарриевич Опубликовано 7 мая, 2022 Автор Поделиться Опубликовано 7 мая, 2022 05.05.2022 в 07:02, annda сказал: Как вы контролируете витальность в отсроченной перспективе? саму витальность никак оценивать возможно только состояние периапикальный тканей по прицельным и кт Ссылка на комментарий
Doc Опубликовано 8 мая, 2022 Поделиться Опубликовано 8 мая, 2022 07.05.2022 в 12:06, Kolchanov сказал: Как по мне, то смысл отсутствует в таком. Ради интереса, если только. Потеря прочности, как и при эндо, штифт не засунуть, картинка такая себе. Тут смысл в том, что если не нужно делать эндо, то не нужно распахивать половину зуба для хорошего обзора, а потому коронку можно сделать прямо поверх реставрации, стенки не слишком истончаются, как при полноценном эндо. Ну и, как следствие, штифт не нужен. Ссылка на комментарий
Korabahtoff Опубликовано 8 мая, 2022 Поделиться Опубликовано 8 мая, 2022 Гутта из инжектора не обжигает пульпу? Ссылка на комментарий
Kolchanov Опубликовано 8 мая, 2022 Поделиться Опубликовано 8 мая, 2022 08.05.2022 в 00:55, Гарриевич сказал: Костя, а что тебе до картинки? А первые два пункта ты что пропустил? Я еще на канале у Рикуччи хотел поинтересоваться, в чём смысл, когда он бором в канале пульпу иссекает вместе со стенками. Но, потом увидел в комментах, что он отвечает в стиле я сам сусам и не стал вопрошать. В представленном случае, я вижу классический эндодоступ и расширение устья не меньше, чем при эндо. Натурально, тут, что делать пульпотомию, что пульпэктомию, по времени одно и то же. Поэтому даже на лень не списать. Остаётся только упомянутое "ради интереса". Ссылка на комментарий
Гарриевич Опубликовано 9 мая, 2022 Автор Поделиться Опубликовано 9 мая, 2022 7 часов назад, Korabahtoff сказал: Гутта из инжектора не обжигает пульпу? Гутта из инжектора идёт поверх мта, то есть не контактирует с пульпой Ссылка на комментарий
Гарриевич Опубликовано 9 мая, 2022 Автор Поделиться Опубликовано 9 мая, 2022 9 часов назад, Doc сказал: Тут смысл в том, что если не нужно делать эндо, то не нужно распахивать половину зуба для хорошего обзора, а потому коронку можно сделать прямо поверх реставрации, стенки не слишком истончаются, как при полноценном эндо. Ну и, как следствие, штифт не нужен. Doc, не совсем, для эндо в принципе нет необходимости всегда распахивать:) 2 Ссылка на комментарий
Doc Опубликовано 10 мая, 2022 Поделиться Опубликовано 10 мая, 2022 09.05.2022 в 08:05, Гарриевич сказал: Doc, не совсем, для эндо в принципе нет необходимости всегда распахивать:) Вам виднее, я не эндодонтист, но когда-то, те же самые американцы нас учили, что если хочешь качественное эндо, то должен быть хороший доступ, а для этого сноси бугры без сожалений, все равно потом под коронку зуб пойдет. Ссылка на комментарий
Рекомендуемые сообщения
Для публикации сообщений создайте учётную запись или авторизуйтесь
Вы должны быть пользователем, чтобы оставить комментарий
Создать аккаунт
Зарегистрируйте новый аккаунт в нашем сообществе. Это очень просто!
Регистрация нового пользователяВойти
Уже есть аккаунт? Войти в систему.
Войти