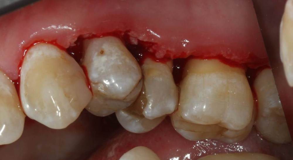
Kolchanov Опубликовано 26 февраля, 2022 Поделиться Опубликовано 26 февраля, 2022 Закрытый, наверное. У меня одного так всё раздербанивается? 4 Ссылка на комментарий
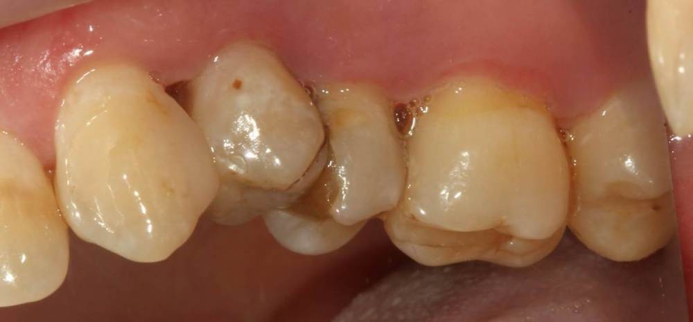
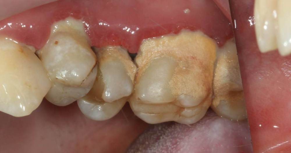
Карен Аванесов Опубликовано 27 февраля, 2022 Поделиться Опубликовано 27 февраля, 2022 Костя, поздравляю. Это надо в хирургию. Ты сделал все правильно, это подтврждает третье фото. Такое "раздербанивание", дает полное удаление патологически измененной ткани и отличное заживление. На будущее, после операции используй повязку септопак, пациенту будет комфортнее. 1 Ссылка на комментарий
Kolchanov Опубликовано 27 февраля, 2022 Автор Поделиться Опубликовано 27 февраля, 2022 Не, Карен, я им даю сразу рекомендацию чистить. Ёршики и прочее. Больно, неприятно, но иначе никак. С метрогилом, он немного помогает преодолеть ощущения, если прям совсем никак, то там... лидокаин спрей купить, в небольшое количество воды его попрыскать и погонять во рту, для аппликационной анестезии. Иначе день им больно, два, а потом и нафиг оно всё. Кто делает, имеет результат. Но, чаще.... Ссылка на комментарий
Doc Опубликовано 28 февраля, 2022 Поделиться Опубликовано 28 февраля, 2022 Блин, каждый раз, когда вижу таких людей, удивляюсь, неужели они совсем никогда сексом не занимаются? Им никто не говорит, что у них изо рта воняет и с ними целоваться нельзя? Причем, ладно бы старики такие ходили. Регулярно молодые ребята приходят, а иногда и девчата... 1 2 Ссылка на комментарий
Карен Аванесов Опубликовано 28 февраля, 2022 Поделиться Опубликовано 28 февраля, 2022 4 часа назад, Doc сказал: Блин, каждый раз, когда вижу таких людей, удивляюсь, неужели они совсем никогда сексом не занимаются? Им никто не говорит, что у них изо рта воняет и с ними целоваться нельзя? Причем, ладно бы старики такие ходили. Регулярно молодые ребята приходят, а иногда и девчата... Размножаются конечно, не волнуйтесь) Ссылка на комментарий
Karqusha Опубликовано 22 марта, 2023 Поделиться Опубликовано 22 марта, 2023 @Doc Тоже всегда задавался таким вопросом!) Правда и я лет так до 19 не чистил зубки как надо.. Но это совсем другая история!) Да и хочется сказать, что скорее всего больше виноваты родители, которые не приучили к индивидуальной гигиене полости рта и сами скорее всего не утруждают себя ею. @Kolchanov Подскажите, пожалуйста, а в каких случаях нужен кюретаж и почему, например, просто УЗ здесь не пройти? Ссылка на комментарий
red_butler Опубликовано 23 марта, 2023 Поделиться Опубликовано 23 марта, 2023 11 часов назад, Karqusha сказал: @Doc Тоже всегда задавался таким вопросом!) Правда и я лет так до 19 не чистил зубки как надо.. Но это совсем другая история!) Да и хочется сказать, что скорее всего больше виноваты родители, которые не приучили к индивидуальной гигиене полости рта и сами скорее всего не утруждают себя ею. @Kolchanov Подскажите, пожалуйста, а в каких случаях нужен кюретаж и почему, например, просто УЗ здесь не пройти? Вы точно Врач? 1 Ссылка на комментарий
Karqusha Опубликовано 23 марта, 2023 Поделиться Опубликовано 23 марта, 2023 (изменено) @red_butler Да. А вообще хотелось бы услышать ответ и на мой вопрос... Хм, да, и помимо того, чтобы просто понижать репутацию, могли бы пояснить, чего конкретно не корректного я написал, я думал, что форум создан как раз таки для общения, взаимодействия и обменом опыта, но видимо вы слишком нереально крутой док, который не видит смысл что-либо говорить начинающим специалистам. Всего доброго! Изменено 23 марта, 2023 пользователем Karqusha Ссылка на комментарий
Рекомендуемые сообщения
Для публикации сообщений создайте учётную запись или авторизуйтесь
Вы должны быть пользователем, чтобы оставить комментарий
Создать аккаунт
Зарегистрируйте новый аккаунт в нашем сообществе. Это очень просто!
Регистрация нового пользователяВойти
Уже есть аккаунт? Войти в систему.
Войти