Ico Опубликовано 15 февраля, 2022 Поделиться Опубликовано 15 февраля, 2022 4 1 2 Ссылка на комментарий
koss Опубликовано 16 февраля, 2022 Поделиться Опубликовано 16 февраля, 2022 Красавчик как всегда . Хлорку УЗ активируешь ? Ссылка на комментарий
koss Опубликовано 16 февраля, 2022 Поделиться Опубликовано 16 февраля, 2022 (изменено) Коллатерали супер . Кейс с 44 показателен - не надо апекс долбить до безумия Изменено 16 февраля, 2022 пользователем koss Ссылка на комментарий
Ico Опубликовано 16 февраля, 2022 Автор Поделиться Опубликовано 16 февраля, 2022 4 минуты назад, koss сказал: Красавчик как всегда . Хлорку УЗ активируешь ? Там где дельты да. Ссылка на комментарий
Ico Опубликовано 16 февраля, 2022 Автор Поделиться Опубликовано 16 февраля, 2022 2 минуты назад, koss сказал: Коллатерали супер . Кейс показателен _ не надо апекс долбить до безумия По Райпексу 5(Бинго) до последнего,по Морите до предпоследнего) Ссылка на комментарий
red_butler Опубликовано 16 февраля, 2022 Поделиться Опубликовано 16 февраля, 2022 Красивая работа Ссылка на комментарий
Ico Опубликовано 16 февраля, 2022 Автор Поделиться Опубликовано 16 февраля, 2022 11 часов назад, red_butler сказал: Красивая работа Спасибо!Архив разворошил,решил,что кому-то будет познавательно. Ссылка на комментарий
Ico Опубликовано 16 февраля, 2022 Автор Поделиться Опубликовано 16 февраля, 2022 На тот момент КТ не было) 1 1 1 Ссылка на комментарий
Карен Аванесов Опубликовано 18 февраля, 2022 Поделиться Опубликовано 18 февраля, 2022 16.02.2022 в 02:54, Ico сказал: Молодец Павел! Блин, я ск раз заходил в меди чет не застал тебя. 1 Ссылка на комментарий
Ico Опубликовано 19 февраля, 2022 Автор Поделиться Опубликовано 19 февраля, 2022 Спасибо Карен!!Мы с тобой действительно разминулись несколько раз) мир тесен)? Ссылка на комментарий
Ico Опубликовано 20 февраля, 2022 Автор Поделиться Опубликовано 20 февраля, 2022 Из старого,возможно уже постил где-то тут)Считаю такую работу оправданной,пациент 20 лет с мостом проходил,с новым уже лет 5 ходит. 3 Ссылка на комментарий
Карен Аванесов Опубликовано 21 февраля, 2022 Поделиться Опубликовано 21 февраля, 2022 21 час назад, Ico сказал: Из старого,возможно уже постил где-то тут)Считаю такую работу оправданной,пациент 20 лет с мостом проходил,с новым уже лет 5 ходит. как верхние нагрузят имплы и 3.6 к тебе тоже придет) 20.02.2022 в 00:46, Ico сказал: Спасибо Карен!!Мы с тобой действительно разминулись несколько раз) мир тесен)? Увидимся! НоНастя сказала ты сейчас суперзанятой))) и это классно! Ссылка на комментарий
Ico Опубликовано 21 февраля, 2022 Автор Поделиться Опубликовано 21 февраля, 2022 (изменено) 1 час назад, Карен Аванесов сказал: как верхние нагрузят имплы и 3.6 к тебе тоже придет) 36 тоже перелечил тогда еще,но там все стандартно было этому кейсу 5 лет,пересмотрел даты. Изменено 21 февраля, 2022 пользователем Ico Ссылка на комментарий
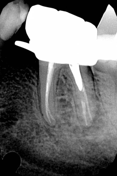
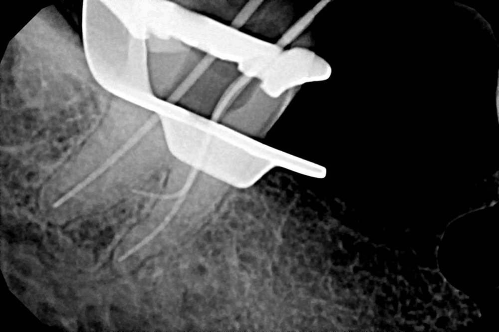
Ico Опубликовано 21 февраля, 2022 Автор Поделиться Опубликовано 21 февраля, 2022 Основная сложность это последовательность в обтурации.Сначала были обтурирован сплит (2 мелких вестибулярных),в язычном оставлен бумажный пин,т.к места не было для трех штифтов.После удаления излишков обтурировал и его.Самое сложное для меня это удаление излишков и плохая видимость.Буду признателен советам,кто и как такие пакует. 3 2 1 Ссылка на комментарий
koss Опубликовано 24 февраля, 2022 Поделиться Опубликовано 24 февраля, 2022 Файлом попробуй устьевую часть закрывать . Обсудим при встрече Ссылка на комментарий
Ico Опубликовано 19 марта, 2022 Автор Поделиться Опубликовано 19 марта, 2022 24.02.2022 в 03:02, koss сказал: Файлом попробуй устьевую часть закрывать . Обсудим при встрече Костя привет!Файл регидный и много места занимает в канале. Ссылка на комментарий
Ico Опубликовано 19 марта, 2022 Автор Поделиться Опубликовано 19 марта, 2022 Микродоступ того не стоит,есть адекватный доступ для адекватного и без рисков эндо.В данном случае мартенситных еще тогда не было,столкнулся с проблемами в виде ступеней,паковкой,потратил больше времени чем хотел,2 визита по 2 часа.Диагноз - хронический пульпит в обострении.Материалы - пре реисы и патфаилы,ковер до 15к,упор на 25к.Паковка волна. 3 1 Ссылка на комментарий
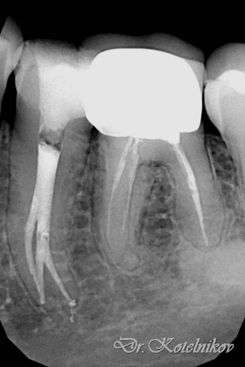
Ico Опубликовано 5 апреля, 2022 Автор Поделиться Опубликовано 5 апреля, 2022 Обострение хронического периодонтита зуб 36. После первичного эндо пропущен ДБ канал,зуб был восстановлен циркониевой вкв + циркон коронка.На пропИл до устья ушло 5 боров.Мед мех стандартный 40к+F1,паковка гибрид с Эйчем.2 визита по 2 и 1.5 часа. 3 1 Ссылка на комментарий
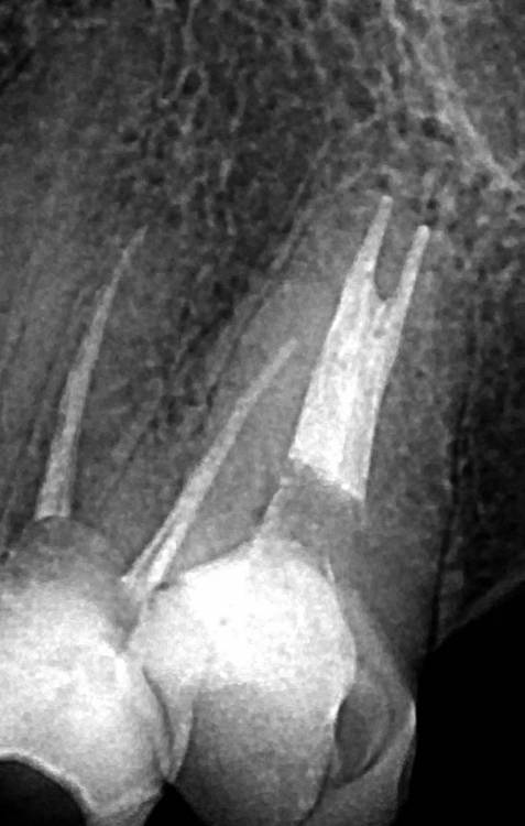
Ico Опубликовано 10 апреля, 2022 Автор Поделиться Опубликовано 10 апреля, 2022 (изменено) 3 отдельных канала в нижнем премоляре,паковка похожая как у Томаса Ланга.Каллибровка,паковка апексов была по S2 протейперу + 25 к. Изменено 10 апреля, 2022 пользователем Ico 1 1 2 Ссылка на комментарий
1586Doc Опубликовано 11 апреля, 2022 Поделиться Опубликовано 11 апреля, 2022 (изменено) работа очень хорошая)) Изменено 11 апреля, 2022 пользователем 1586Doc 1 1 Ссылка на комментарий
Гарриевич Опубликовано 22 апреля, 2022 Поделиться Опубликовано 22 апреля, 2022 22.02.2022 в 00:18, Ico сказал: Основная сложность это последовательность в обтурации.Сначала были обтурирован сплит (2 мелких вестибулярных),в язычном оставлен бумажный пин,т.к места не было для трех штифтов.После удаления излишков обтурировал и его.Самое сложное для меня это удаление излишков и плохая видимость.Буду признателен советам,кто и как такие пакует. Паша, привет) Такие пакую в основном инжектором, чтобы не париться с местом и очисткой от излишек Премолярчики огненные, красава!) 1 Ссылка на комментарий
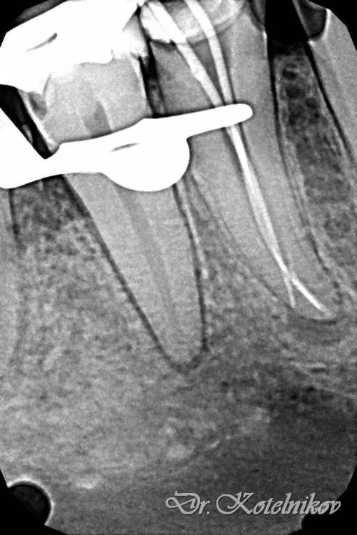
Ico Опубликовано 23 апреля, 2022 Автор Поделиться Опубликовано 23 апреля, 2022 (изменено) Спсастбо Юра!Инжектор у меня МЕТовский и канал длинный,я как за инжектор не возьмусь в таких случаях,у меня 50 на 50 получалось хорошо пропаковать,без пор и пафов.Поэтому,чаще склоняюсь на - потратить больше времени на,по сути 5 минутную манипуляцию. Вот тут инжектор,но тут и основной канал широкий,иглу почти до сплита подвести можно. Изменено 23 апреля, 2022 пользователем Ico 2 Ссылка на комментарий
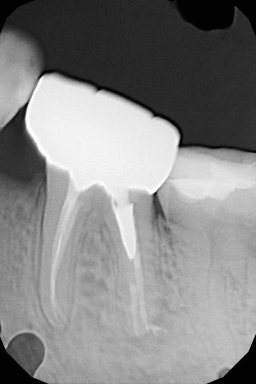
Ico Опубликовано 29 апреля, 2022 Автор Поделиться Опубликовано 29 апреля, 2022 Необратимый пульпит 47,я редко такой изгиб язычного видел. Префлеринг S1-S2(21 мм),скаут 8-10,патфаилы. Нитифлекс на 25к финиш 25.04 профаил.Мартенсита на то время не было.Паковка волна с эйчем. 5 Ссылка на комментарий
Гарриевич Опубликовано 2 мая, 2022 Поделиться Опубликовано 2 мая, 2022 С cmf все стало неприлично просто)) тут ты кайфово за изгиб зашёл конечно 1 Ссылка на комментарий
Ico Опубликовано 7 октября, 2022 Автор Поделиться Опубликовано 7 октября, 2022 В первом кейсе все стандартно,просто не каждый день такие антенны попадаются.Во втором 3 изгиба,но их хорошо в ручном режиме берут патфайлы, апексы все соединяются в нижней трети.Третий случай - ретрит со ступенькой был,тут пре рейс 30.06,тоже патфайлы + профайлы 02 конуса,далее шейпинг S1.На четвертом снимке телега не моя,направили помочь.За 1ч15м удалось извлечь фрагмент ,сначала байпас,потом чаком снял кривизну немного,и рядом нарезал площадку,которая позволила озвучить фрагмент сбоку,фрагмент выплыл стандартно. 2 1 2 Ссылка на комментарий
Рекомендуемые сообщения
Для публикации сообщений создайте учётную запись или авторизуйтесь
Вы должны быть пользователем, чтобы оставить комментарий
Создать аккаунт
Зарегистрируйте новый аккаунт в нашем сообществе. Это очень просто!
Регистрация нового пользователяВойти
Уже есть аккаунт? Войти в систему.
Войти