Женька Опубликовано 18 апреля, 2021 Автор Поделиться Опубликовано 18 апреля, 2021 (изменено) Наконец-то я прооперировал нашего барабанщика. До этого, изготовили каппу с гарнитурными зубами, спс коллеги за советы! Каппу наш пациент благополучно сломал, хотя как говорит приём пищи был без неё... В итоге сделал ему шаблон под пилот, новую каппу и... ни b2s ни idr, а что-то другое...) В общем удалил 3 зуба, поставил 2 имплантата, с нёба сдт с деэпителизацией, край лунки 2.4 отстучали и уложили в области дефекта 2.3 зуба, пытался как-то заклинить кусочки кости, но так особо и не получил стабильности высокой...фоток с заглублением имплантатов не сделал, спешил, всё заняло у меня целых 4 часа (не знаю где я копался, может потому что периодически делали перерывы на "отдых") Завтра сделаю фото как всё заживает (2 сутки) Очень переживаю, что всё развалится (пациент любит принять на грудь, рок-н-рольщик же и плюсом много курит) удалял кстати говоря дедовским способом, линдеман от комет и поехали. Клык, на удивление, ушел быстрее всех остальных, одно движение люксатором нёбно и он уже весь подвижный. Изменено 18 апреля, 2021 пользователем Женька Добавил фото Ссылка на комментарий
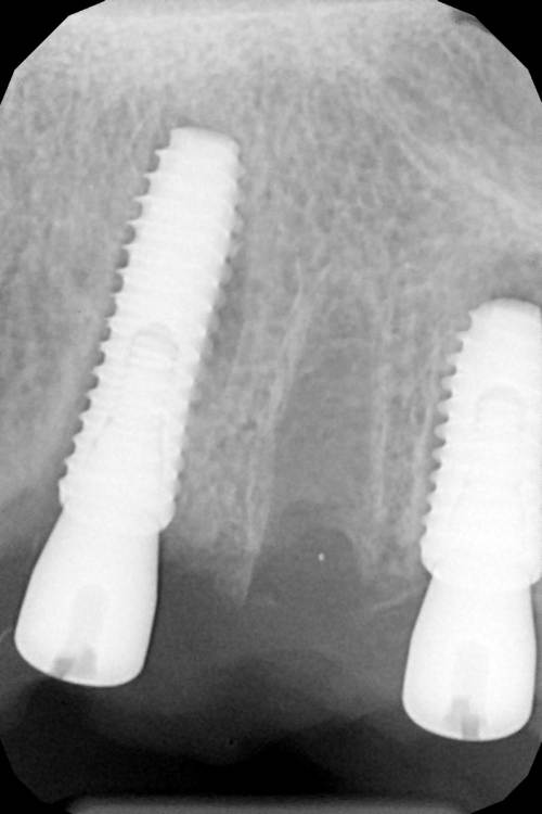
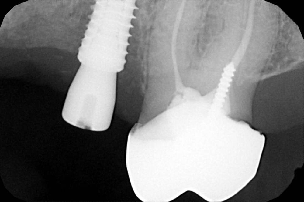
Женька Опубликовано 19 апреля, 2021 Автор Поделиться Опубликовано 19 апреля, 2021 Rg Ссылка на комментарий
Женька Опубликовано 19 апреля, 2021 Автор Поделиться Опубликовано 19 апреля, 2021 Вторые сутки. Прокуренная губка это фи конечно... Ссылка на комментарий
Женька Опубликовано 23 апреля, 2021 Автор Поделиться Опубликовано 23 апреля, 2021 И вишенка на торте на 4 сутки губка вывалилась думаю она послужила причиной инфекции ну и криворуки конечно... молюсь, чтобы имплантаты остались живы вот тебе и idr *хнык* Ссылка на комментарий
Fin Опубликовано 23 апреля, 2021 Поделиться Опубликовано 23 апреля, 2021 Я может что то не понимаю, но внешне выглядит все нормально. Ссылка на комментарий
Женька Опубликовано 23 апреля, 2021 Автор Поделиться Опубликовано 23 апреля, 2021 @Fin соглашусь, что ничего критичного на снимке нет. Но после того как губка вывалилась начались дикие непонятные боли купируемые только в/м инъекциями, запах само собой. Ну и где же норма, когда губка вместо удержания сгустка и объёма вываливается да и ещё провоцирует воспаление? Ссылка на комментарий
Irouil Опубликовано 23 апреля, 2021 Поделиться Опубликовано 23 апреля, 2021 Нафига вообще эта губка там, извините? Мойте ХГ и метрогил в лунку Ссылка на комментарий
Fin Опубликовано 23 апреля, 2021 Поделиться Опубликовано 23 апреля, 2021 Может альвеолит в области отсутсвующего зуба? промыть и покюретажить аккуратно? 1 Ссылка на комментарий
Irouil Опубликовано 23 апреля, 2021 Поделиться Опубликовано 23 апреля, 2021 Скорее всего так и есть, только не надо кюретажить 1 Ссылка на комментарий
Женька Опубликовано 24 апреля, 2021 Автор Поделиться Опубликовано 24 апреля, 2021 @Irouil я ж написал, хотел объём ао удержать хоть немного, всё бы затянулось вторичным, но объём на губке был бы больше... хотя конечно, теперь будет минус объём Ссылка на комментарий
Irouil Опубликовано 24 апреля, 2021 Поделиться Опубликовано 24 апреля, 2021 ИМХО никакого "объем был бы больше" быть не могло, для этого надо трансплантом закрывать лунку В принципе, альвеолит ничему особо не угрожает (кроме самочувствия пациента), отмойте и пусть сам пациент отполощет - на прогноз в области винтов влияния быть не должно Ссылка на комментарий
Карен Аванесов Опубликовано 29 апреля, 2021 Поделиться Опубликовано 29 апреля, 2021 24.04.2021 в 09:02, Женька сказал: @Irouil я ж написал, хотел объём ао удержать хоть немного, всё бы затянулось вторичным, но объём на губке был бы больше... хотя конечно, теперь будет минус объём На сколько это критично в данной ситуации, ну "минус объем", если конечно в контексте эксперимента.. Ссылка на комментарий
Карен Аванесов Опубликовано 29 апреля, 2021 Поделиться Опубликовано 29 апреля, 2021 23.04.2021 в 17:48, Женька сказал: И вишенка на торте на 4 сутки губка вывалилась думаю она послужила причиной инфекции ну и криворуки конечно... молюсь, чтобы имплантаты остались живы вот тебе и idr *хнык* Кстати, тонкие ниточки, на фоточке красиво, но слабовато ранку держат, вот губка и выпала. Ссылка на комментарий
Женька Опубликовано 29 апреля, 2021 Автор Поделиться Опубликовано 29 апреля, 2021 8 часов назад, Карен Аванесов сказал: Кстати, тонкие ниточки, на фоточке красиво, но слабовато ранку держат, вот губка и выпала. В любом случае это не повод шить четвёркой. А повод задуматься, что надо было плотнее ушить Ссылка на комментарий
Карен Аванесов Опубликовано 6 мая, 2021 Поделиться Опубликовано 6 мая, 2021 29.04.2021 в 18:53, Женька сказал: В любом случае это не повод шить четвёркой. А повод задуматься, что надо было плотнее ушить Четверткой проленом? Без порно! Ссылка на комментарий
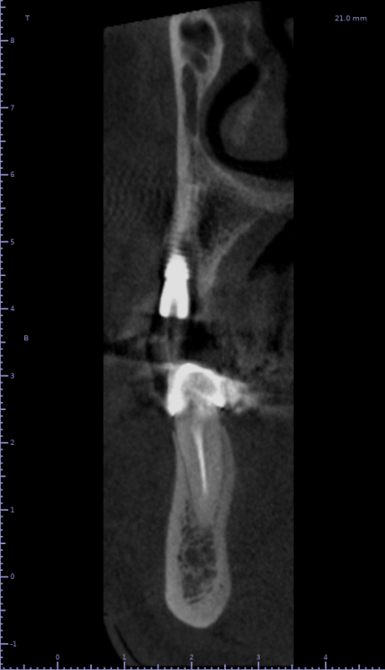
Женька Опубликовано 21 июля, 2021 Автор Поделиться Опубликовано 21 июля, 2021 3 месяца минуло... клык на торке 30 неприятные ощущения второй премоляр на 10 и подвижность... отправил на кт. Всё насмарку... Ссылка на комментарий
Борис80 Опубликовано 21 июля, 2021 Поделиться Опубликовано 21 июля, 2021 премоляр в любом случае недозаглубитом болеет... Ссылка на комментарий
Карен Аванесов Опубликовано 21 июля, 2021 Поделиться Опубликовано 21 июля, 2021 2 часа назад, Женька сказал: 3 месяца минуло... клык на торке 30 неприятные ощущения второй премоляр на 10 и подвижность... отправил на кт. Всё насмарку... Спишем на профессиональные вредности пациента курение и двухсот граммовые жимы на грудь , при переустановке, будет и легче и лучше. Гарантии какие были? Ссылка на комментарий
Irouil Опубликовано 21 июля, 2021 Поделиться Опубликовано 21 июля, 2021 1 час назад, Борис80 сказал: премоляр в любом случае недозаглубитом болеет... На момент установки не болел 3 часа назад, Женька сказал: Всё насмарку... Сочувствую Ссылка на комментарий
Женька Опубликовано 22 июля, 2021 Автор Поделиться Опубликовано 22 июля, 2021 @Карен Аванесов скажем так. Один из этих имплантатов я уже переустанавливал по гарантии (то есть с другой стороны год назад ставил 2, выжил 1, этот 1 и пошел на замену по гарантии, но на другую сторону). Так что теперь планирую достать и просто напросто всё зашить и ждать (вопрос к коллегам, сколько вы ждёте обычно?). Затем по двухэтапному протоколу, без всяких формиков одномоментных поставить и зашить под заглушки... Иначе видимо это работать не будет. Касаемо финансов это ёще одна бесплатная переделка (ну расходники не в счёт) Ссылка на комментарий
kramer Опубликовано 22 июля, 2021 Поделиться Опубликовано 22 июля, 2021 Вот до чего доводят соцсети. Какой смысл было делать одномоментно, зная что а) курение б) алкоголь в) нехилый дефект вестибулярно г) мануальные навыки требуют улучшения. Что стоило удалить и через 1,5 месяца спокойно поставить, максимально снизив риски? Видимо, желание доказать окружающим себе свою МОЩЩЩ Ссылка на комментарий
Женька Опубликовано 22 июля, 2021 Автор Поделиться Опубликовано 22 июля, 2021 @kramer нет, ни в коем случае никому ничего не хотел доказывать. Тешить своё эго это не про меня... Скорее хотел как раз улучшить навыки одномоментной имплантации. Ну и помочь поскорее обрести человеку зубы. Благими намерениями как говорится. Отрицательный опыт тоже опыт... Ссылка на комментарий
Irouil Опубликовано 22 июля, 2021 Поделиться Опубликовано 22 июля, 2021 В моей статистике процент интеграции при одномоментности никак не страдает. Не могу того же сказать про нагрузку (с/без фдм), т.к. без фдм - это чаще всего с костной пластикой, а тут априори больше рисков Ссылка на комментарий
Карен Аванесов Опубликовано 22 июля, 2021 Поделиться Опубликовано 22 июля, 2021 3 часа назад, Женька сказал: @kramer нет, ни в коем случае никому ничего не хотел доказывать. Тешить своё эго это не про меня... Скорее хотел как раз улучшить навыки одномоментной имплантации. Ну и помочь поскорее обрести человеку зубы. Благими намерениями как говорится. Отрицательный опыт тоже опыт... Не теряете оптимизм, это замечательно! Может быть музыкант, под Вашим воздействием бросит пить, зубы бонусов. Ссылка на комментарий
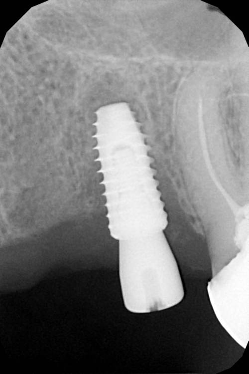
Женька Опубликовано 2 августа, 2021 Автор Поделиться Опубликовано 2 августа, 2021 2.5 с тупым перкуторным звуком И вишенка, нет АРБУЗИЩЕ, на торте 2.3 в соседней теме в ортопедии посоветовали перестать уничтожать людям зубы, тоже самое помоему можно сказать и по хирургии... Правильно же понимаю, что протезировать такой (2.3) не стоит. Даже если торк выдержит в 35 чревато проблемами после установки постоянной ортопедии. Ссылка на комментарий
Рекомендуемые сообщения
Для публикации сообщений создайте учётную запись или авторизуйтесь
Вы должны быть пользователем, чтобы оставить комментарий
Создать аккаунт
Зарегистрируйте новый аккаунт в нашем сообществе. Это очень просто!
Регистрация нового пользователяВойти
Уже есть аккаунт? Войти в систему.
Войти