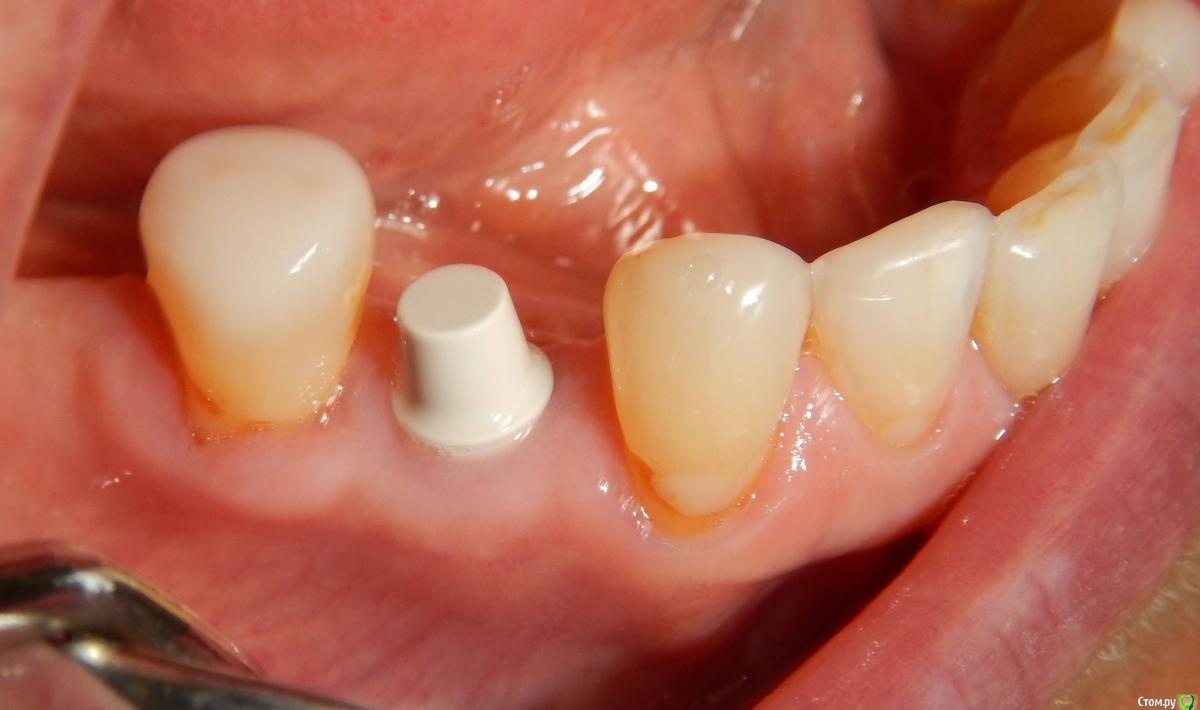
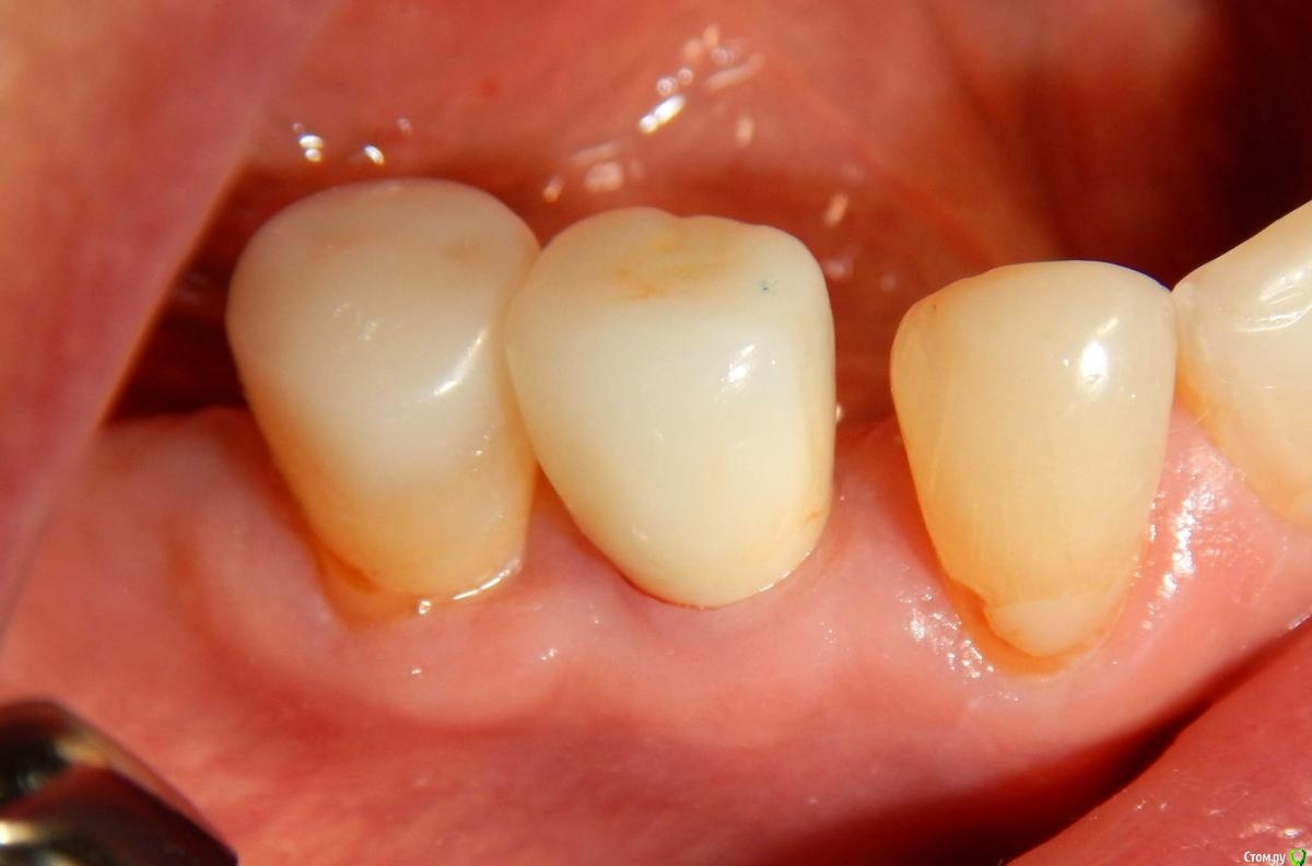
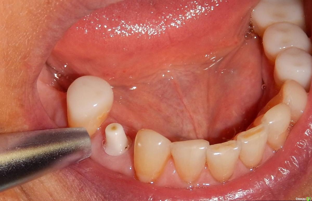
Astronaft Опубликовано 24 января, 2021 Поделиться Опубликовано 24 января, 2021 (изменено) Одиночный цирнокиевый имплантат и расщепление без графта. Пациентка:тонкая хрупкая женщина 55 лет, сконцентрированная на своем здоровье, в некоторой мере мнительная.всегда тяжелые заживления после удалений (по опросам)есть результаты Клиффорд теста (такая книжка под 200 страниц с in vitro аллерго-пробами на все известные материалы) Поставленная цель:только цирконий Мне было интересно найти вариант найболее приемленый пациентке и мне. С минимом хирургического риска и риском сожаления пациентки про выбор костного материала. Во-первых, я не использую аллографты - философски, чужие протеины, неприятный запах - просто основываясь на своем мнении.Во-вторых, мнительные пациенты склонны "пойти и почитать" до или потом и как следствие внушить себе вещи которых может и не было. Но по скольку мысль материальна... Все обсудил заранее.План: ридж сплит (расщепление), имплантат без графта, свободный СТ графт; если случается вестибулярная рецессия - пилим зирконий во рту. Ридж сплит сделан пьезотомом - крестальный и вертикальные пропилы на глубины около 8-10мм.Пилотное сверло.Развдвинул кость остеотомами от 1.6мм до 3.5мм в диаметре.Очень мягкая кость - напомнила мегкую максиллу плотности ногтевой пластинки вестибулярно.Имплант встал легко, но торк 40нсм. СТ графт из области 18. Деэпителизирую скальпелем уже потом. Тут интересно отметить, что я перестал боятся ошметков эпителия.Пончо сверху имплантата (а-ля шашлык Карлоса).Швы. PTFE всегда хорош. 12 недель.Красивая десна.Периотест -5.8 - отличный результат.Оттиск. Циркониевая коронка симметричная другой стороне. Изменено 24 января, 2021 пользователем Astronaft 19 Ссылка на комментарий
Марья Моревна Опубликовано 24 января, 2021 Поделиться Опубликовано 24 января, 2021 А не хотелось таки сделать контактик с тройкой? Ссылка на комментарий
Astronaft Опубликовано 24 января, 2021 Автор Поделиться Опубликовано 24 января, 2021 А не хотелось таки сделать контактик с тройкой?Нет. Я даже стал так делать в области моляров если слишком много места. Есть естественный дрифт зубов кпереди и часто даже тугой контакт через 5 лет превращается в ловушку для еды спереди от импланта. Открытое место 2-3мм прекрасно самоочищается. Здесь можно подражать природе и сделать так же, а можно преследовать непонятные цели и сделать уродливый широкий зуб. Для меня выбор очевиден. 2 Ссылка на комментарий
Марья Моревна Опубликовано 24 января, 2021 Поделиться Опубликовано 24 января, 2021 У каждого своя философия.Я,например,не люблю тремы и протрузии. И между подражанием природе и уродливым могу выбрать ортодонтию.Но это имхо.Шестерка тоже будет циркон? Кто делает такие имплантаты? Ссылка на комментарий
Astronaft Опубликовано 24 января, 2021 Автор Поделиться Опубликовано 24 января, 2021 Кто делает такие имплантаты?Есть несколько производителей.Конкретно здесь Straumann Pure. Некоторые особенности я описал в этом посте: http://forum.stom.ru/topic/39130-tcirkonievyj-implantat/ Я к ортодонтии, за исключением функциональной, отношусь очень скептически. Ссылка на комментарий
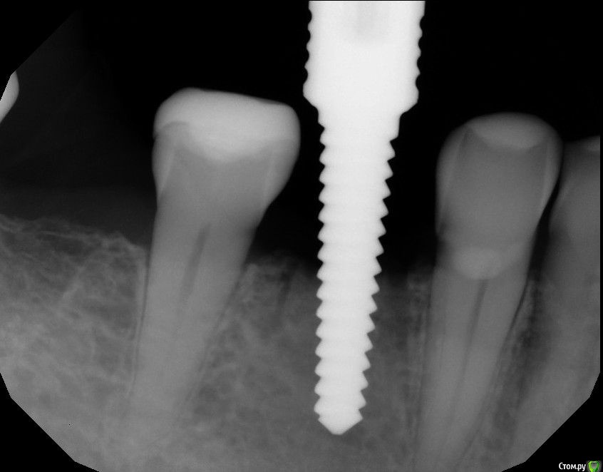
Карен Аванесов Опубликовано 25 января, 2021 Поделиться Опубликовано 25 января, 2021 Одиночный цирнокиевый имплантат и расщепление без графта.Аккуратная работа! Вы снимки прицельные делали "до-после", если да покажите пожалуйста? 1 Ссылка на комментарий
dok1 Опубликовано 25 января, 2021 Поделиться Опубликовано 25 января, 2021 А на прицельных что смгтреть? Дизайн импланта? Ссылка на комментарий
Карен Аванесов Опубликовано 25 января, 2021 Поделиться Опубликовано 25 января, 2021 А на прицельных что смгтреть? Дизайн импланта?и дизайн тоже Ссылка на комментарий
Astronaft Опубликовано 25 января, 2021 Автор Поделиться Опубликовано 25 января, 2021 Спасибо.День операции, 12 недель, день цементировки. 3 1 Ссылка на комментарий
Дмитрий Л. Опубликовано 25 января, 2021 Поделиться Опубликовано 25 января, 2021 (изменено) Уступ доводили вручную? Чем? Изменено 25 января, 2021 пользователем Дмитрий Л. Ссылка на комментарий
Дмитрий Л. Опубликовано 25 января, 2021 Поделиться Опубликовано 25 января, 2021 Нет. Я даже стал так делать в области моляров если слишком много места. Есть естественный дрифт зубов кпереди и часто даже тугой контакт через 5 лет превращается в ловушку для еды спереди от импланта. Открытое место 2-3мм прекрасно самоочищается. Здесь можно подражать природе и сделать так же, а можно преследовать непонятные цели и сделать уродливый широкий зуб. Для меня выбор очевиден.Аплодирую! 1 Ссылка на комментарий
Doctor Vlad Опубликовано 25 января, 2021 Поделиться Опубликовано 25 января, 2021 мнительные пациенты склонны "пойти и почитать" до или потом и как следствие внушить себе вещи которых может и не было а как они узнают что вы в них трупа накрошили)? Ссылка на комментарий
Карен Аванесов Опубликовано 25 января, 2021 Поделиться Опубликовано 25 января, 2021 Одиночный цирнокиевый имплантат и расщепление без графта. Пациентка:тонкая хрупкая женщина 55 лет, сконцентрированная на своем здоровье, в некоторой мере мнительная.всегда тяжелые заживления после удалений (по опросам)есть результаты Клиффорд теста (такая книжка под 200 страниц с in vitro аллерго-пробами на все известные материалы) Поставленная цель:только цирконий Мне было интересно найти вариант найболее приемленый пациентке и мне. С минимом хирургического риска и риском сожаления пациентки про выбор костного материала. Во-первых, я не использую аллографты - философски, чужие протеины, неприятный запах - просто основываясь на своем мнении.Во-вторых, мнительные пациенты склонны "пойти и почитать" до или потом и как следствие внушить себе вещи которых может и не было. Но по скольку мысль материальна... Все обсудил заранее.План: ридж сплит (расщепление), имплантат без графта, свободный СТ графт; если случается вестибулярная рецессия - пилим зирконий во рту. Ридж сплит сделан пьезотомом - крестальный и вертикальные пропилы на глубины около 8-10мм.Пилотное сверло.Развдвинул кость остеотомами от 1.6мм до 3.5мм в диаметре.Очень мягкая кость - напомнила мегкую максиллу плотности ногтевой пластинки вестибулярно.Имплант встал легко, но торк 40нсм. СТ графт из области 18. Деэпителизирую скальпелем уже потом. Тут интересно отметить, что я перестал боятся ошметков эпителия.Пончо сверху имплантата (а-ля шашлык Карлоса).Швы. PTFE всегда хорош. 12 недель.Красивая десна.Периотест -5.8 - отличный результат.Оттиск. Циркониевая коронка симметричная другой стороне.Отрадно, что не забываете Карена Габриеляна, к сожалению, так и не успел с ним познакомится, был только на его похоронах... Очень сильный и неординарный был специалист, противовес, разным догмам, которые рушатся с каждым днем, все новые и новые. "Пончо" это уже чье?)))) 3 Ссылка на комментарий
Astronaft Опубликовано 25 января, 2021 Автор Поделиться Опубликовано 25 января, 2021 Уступ доводили вручную? Чем?Имплантат не трогал. На фото черная застёжка (snap on) для оттиска закрытой ложкой - это фабричная деталь. Если доведётся когда-либо доводить уступ - красный алмазный бор. Мелкая алмазная пыль даёт меньшее количество микротрещин. Ссылка на комментарий
Марья Моревна Опубликовано 25 января, 2021 Поделиться Опубликовано 25 января, 2021 Я к ортодонтии, за исключением функциональной, отношусь очень скептически Это понятно.Работа красивая. Но если бы фронтальные зубы были поставлены в правильное положение, то эти Открытое место 2-3мм сами собой бы исчезли,безотносительно к имплантации. Ссылка на комментарий
Astronaft Опубликовано 25 января, 2021 Автор Поделиться Опубликовано 25 января, 2021 а как они узнают что вы в них трупа накрошили)? Проводником человека в жизни являются либо страх либо любовь.Я вам дам две мотивации, а вы решайте какая вам ближе.Человечество движется в сторону более этического существования. Просыпается осознание жестокости в сторону природы, животных, людей. Хотите вы или нет появляются вегитарианцы, веганы - не только диетарные но и этические. Алгоритмы в интернете способствую поляризации людей. Некоторые религии не приемлют даже своего собственного (аутографта, прф). Или мусульмане не приемлют определенных вещей.1. Страх: Можно "накрошить", а потом мусульманин узнает ему накрошили мембрану из перикарда свиньи. Суд или по шапке получить. Например.2. Любовь: Можно относиться ко всем людям с уважением и принимать их право на автономию, право решать что для них приемлемо и нет. Без осуждения. Просто принять. Мир становится сложнее. Я думаю пациент должен знать. А вы выбирайте СВОЮ мотивацию. 6 Ссылка на комментарий
PaulG Опубликовано 25 января, 2021 Поделиться Опубликовано 25 января, 2021 Respect 1 Ссылка на комментарий
Astronaft Опубликовано 25 января, 2021 Автор Поделиться Опубликовано 25 января, 2021 ..не забываете Карена Габриеляна...Очень сильный и неординарный был специалист, противовес, разным догмам, которые рушатся с каждым днем. ..."Пончо" это уже чье?))))Его уход меня потряс. Тоже все думал успею ещё с ним подискутировать... Не успел.Но остался след. Достойный, сильный, особенный. Информационные потоки содержат уже всю информацию. Все знания уже есть. Потом лишь приходят проводники, которые черпают/чувствуют и озвучивают то что у других людей вертится на языке. Раз одно слово и кристаллизовалась идея. На западе эту технику называют пончо. Но не распространено как на этом форуме. Каким-то другим людям похожие идеи в голову пришли. "Независимо друг от друга сделали открытие". "Пончо" более точно описывает технику одним словом. Выкладывайте свой лист догм, которые разрушаются! Ссылка на комментарий
Astronaft Опубликовано 26 января, 2021 Автор Поделиться Опубликовано 26 января, 2021 (изменено) если бы фронтальные зубы были поставлены в правильное положение. Там где вы видиете проблему я вижу гармонию.Передние зубы уже в правильном положении.Я утверждаю это на основании следующих фактов:1. баланс междувыталкивающей силы языка - обусловленной диетой, привычками, речьюзадвигающе-разглаживающей силой m.orbicularis oris - речь, эмоциональность (пессимизм, улыбчивость), привычки.соотношением верней и нижних дуг (класс смыкания)2. компенсированная функция всей системы.3. полный комфорт пациента, включая эстетический. Раз вам не дают покоя 2 мм будьте добры ответить на ряд вопросов:У вас есть во рту ретейнер? Какой тип? Как давно? Вам комфортно? Какие вы видите минусы?Как вы снимаете адгезив, если использовался?Как часто вы наблюдаете гингивит в своих орто кейсах? Какой тип ортодонтии бы вы применили к этому случаю? Какой тип ретейнера? На кaкой срок? Знаете ли вы о маркерах воспаления: hsCRP, ferritin?Как воспаление полости рта влияет на печень и системное воспаление?Связь между налетом и пневмонией у пожилых людей? Изменено 26 января, 2021 пользователем Astronaft Ссылка на комментарий
Марья Моревна Опубликовано 26 января, 2021 Поделиться Опубликовано 26 января, 2021 Да все в порядке!Кейс интересный. Лайки поставила.Перечень вопросов отменный. А на ненужное другое мнение можно внимание не обращать. Хорошего дзена Ссылка на комментарий
Astronaft Опубликовано 26 января, 2021 Автор Поделиться Опубликовано 26 января, 2021 А на ненужное другое мнение можно внимание не обращать. Вы не жертва.Я с вами веду учтивую дискуссию. И надеюсь что вы интеллектуально честно зададите вопросы самой себе. За массаж эго спасибо. Не в этом цель, но приятно. Ссылка на комментарий
kriokov Опубликовано 26 января, 2021 Поделиться Опубликовано 26 января, 2021 Поставленная цель: только цирконий у пациентки аллергия на титан? Почему именно цирконий пациентка выбрала.? По поводу алло, в хирургии- это выбор врача и пациента, но это просто материал. Хорошая работа, редко на цирконии что то показывают. 1 Ссылка на комментарий
Astronaft Опубликовано 27 января, 2021 Автор Поделиться Опубликовано 27 января, 2021 (изменено) У нее было желание иметь весь рот без металла. Есть такой тренд: без эндо леченных зубов, без металла, без фтора и т.д.На мой взгляд, титановый имплантат + ширина кости 4.5мм = обязательная аугментация. Я не знал получится здесь или вестибулярная пластина лизируется и будет рецессия. Но рецессия на белом, циркониевом имплантате - это поправимо. Оголённые витки титана - это провал, а цирконий отталкивает плохих микробов и десна всегда красивая. Во всяком случае я видел чужие циркониевые иилантаты с отсутствием керанитизированной десны - и было спокойно.Выбор должен устроить обе стороны. Как круги заходящие друг на друга - иногда область совмещения остается очень маленькая.Аллографт - для меня это крайний случай. Себе бы я не выбрал, соответственно не использую для других. Разве что ради спасения жизни. Изменено 27 января, 2021 пользователем Astronaft 2 Ссылка на комментарий
annda Опубликовано 2 февраля, 2021 Поделиться Опубликовано 2 февраля, 2021 (изменено) ) Как интересно. Но ведь пациентка знает, что цирконий- это металл?А диоксид- это просто его производное, просто цвета и свойств специфических? Изменено 2 февраля, 2021 пользователем annda 1 Ссылка на комментарий
Astronaft Опубликовано 3 февраля, 2021 Автор Поделиться Опубликовано 3 февраля, 2021 цирконий- это металл?А диоксид- это просто его производное, просто цвета и свойств специфических?Натрий это метал, а натрий хлорид можно вливать в/в."The surface of most metals consists of oxides and hydroxides in the presence of air. As mentioned above, a well-known example is aluminum foil, which is coated with a thin film of aluminium oxide that passivates the metal, slowing further corrosion."Оксидация металла (покрывается пленкой оксида) способствует замедлению коррозии/замедлению реагирования с контактирующими веществами. А цирконий уже весь оксидирован. Его реактивность очень низкая, соответственно повышается биосовместимость.Я думаю направление мысли понятно. Ссылка на комментарий
Рекомендуемые сообщения
Для публикации сообщений создайте учётную запись или авторизуйтесь
Вы должны быть пользователем, чтобы оставить комментарий
Создать аккаунт
Зарегистрируйте новый аккаунт в нашем сообществе. Это очень просто!
Регистрация нового пользователяВойти
Уже есть аккаунт? Войти в систему.
Войти