Женька Опубликовано 28 ноября, 2020 Поделиться Опубликовано 28 ноября, 2020 (изменено) Приветствую коллеги. В общем три недели назад 07.11.20 установил пациентке 2 имплантата в позиции 45-46. Гребень по ширине был около 6.5мм в области 4.5 и около 7.2мм в области 4.6 (с учётом заглубления на 1.5-2мм). Это была наверное первая имплантация во время которой я чувствовал себя спокойно и расслабленно. Всё прошло хорошо, немного покопался с непосредственным введением имплантатов, тк никак не хотели топиться на нужные 1.5мм. Поэтому пробовал методику с выкручиванием на пару витков и снова закручиванием. Особого толку не получил, потому взял финальную фрезу и чуть углублял ложе. Так несколько раз, тк боялся всё-таки немного что задену менталис и нлн. Ввиду того, что биотип у пациентки тончайший и язычно было совсем-совсем тонко - заглушки и швы. Назначил нпвс, ванны хг, аб терапию. Но на утро следующего дня пациентка сказала, что чувствует себя шикарно, решили что нпвс оставим, а аб терапию применять не будем (и грешу что в этом мою ошибка).Через неделю сняли швы, всё отлично.Спустя два дня после снятия начались какие-то "костные" боли, как говорит пациентка в области 4.5 импланта. Которые то отпускают, то снова наплывают. На 4.4 есть дефект твердых тканей (на фото виден), но судя по всему беспокоит не он .Пальпация вестибулярно в проекции 4.5 импланта болезненна, небольшая гиперемия, отёка нет. Гигиену пациентка запустила, тк боялась туда залезать и чистить. Снимки прилагаю первые два от 07.11, два последующих 28.11. Ну и внутри ротовые день операции и сегодняшние числа.Похоже 4.5 на выход? своими "туда-сюда" наверняка я нагрел всё что можно... снова расстройство в той работе, где накосячить предельно сложно... Добавка: пить аб ведь сейчас уже бесполезно? Изменено 28 ноября, 2020 пользователем Женька Ссылка на комментарий
Дмитрий Л. Опубликовано 28 ноября, 2020 Поделиться Опубликовано 28 ноября, 2020 Зуб витален? Ссылка на комментарий
Женька Опубликовано 28 ноября, 2020 Автор Поделиться Опубликовано 28 ноября, 2020 Зуб витален?Дмитрий, а почему вообще такой вопрос возник? На снимках же вроде видно. Я без подковырки, может чего-то не вижу/не понимаю?Зуб витален, при зондировании чувствителен. Ссылка на комментарий
ilnurik Опубликовано 28 ноября, 2020 Поделиться Опубликовано 28 ноября, 2020 Какой торк получили? Ссылка на комментарий
Женька Опубликовано 28 ноября, 2020 Автор Поделиться Опубликовано 28 ноября, 2020 (изменено) Какой торк получили?45Вы тоже видите заглушки светят? Изменено 28 ноября, 2020 пользователем Женька Ссылка на комментарий
Irouil Опубликовано 28 ноября, 2020 Поделиться Опубликовано 28 ноября, 2020 Почему такая атрофия по линии разреза? Ссылка на комментарий
Женька Опубликовано 28 ноября, 2020 Автор Поделиться Опубликовано 28 ноября, 2020 Почему такая атрофия по линии разреза?Может из-за непрерывного шва? Который Ревердена-Мультановского. Ссылка на комментарий
Дмитрий Л. Опубликовано 28 ноября, 2020 Поделиться Опубликовано 28 ноября, 2020 Дмитрий, а почему вообще такой вопрос возник? На снимках же вроде видно. Я без подковырки, может чего-то не вижу/не понимаю?Зуб витален, при зондировании чувствителен.Глубочайший клин, мог пульпит быть. Ещё вариант гематомы. Не доставал бы винт если симптоматика слабая. Вообще имплант должен быть вкручен и всё на этом, гиперторк или перегрев это некритично, а инфицирование может сыграть роль если туда-сюда совали. Ссылка на комментарий
Женька Опубликовано 28 ноября, 2020 Автор Поделиться Опубликовано 28 ноября, 2020 перегрев это некритично думал совсем иначе... инфицирование может сыграть роль если туда-сюда совали. имплантат каждый раз помещал в в капсулу из которой доставал изначально. Ссылка на комментарий
Марья Моревна Опубликовано 28 ноября, 2020 Поделиться Опубликовано 28 ноября, 2020 Я бы сейчас сделала три вещи :дала курс антибиотика шикарной женщине,гигиену навела бы во рту или хотя бы в этой области,депульпировала премоляр.Чтобы прикрыться со всех сторон. Выждать. Вынуть всегда успеется.А потом.. может,там уже формики просятся? 2 Ссылка на комментарий
Irouil Опубликовано 28 ноября, 2020 Поделиться Опубликовано 28 ноября, 2020 А на каком режиме Вы закручиваете/выкручиваете? Ссылка на комментарий
колесников Опубликовано 28 ноября, 2020 Поделиться Опубликовано 28 ноября, 2020 (изменено) Имплант 13 мм? Зачем? При планировании видно, что он упирается апексом в кортикалку. По этому и поставить не могли сразу. Торк 45. Если имплант плотно контактирует с компактной пластинкой,она резорбируется окончато,со всеми вытекающими. Стоило выбрать имплант 8.5мм. Если притопили имплант,зачем поставили заглушку? Имплант зарастёт придётся выпиливать ,откапывать заглушку,ломать то что наросло непосильным трудом. Хороший торк-ставьте рабочий фдм. Сомнения-мелкий фдм или заглушка +1. Рекомендую сделать контрольный кт и поставить фдм Изменено 28 ноября, 2020 пользователем колесников 5 Ссылка на комментарий
Женька Опубликовано 29 ноября, 2020 Автор Поделиться Опубликовано 29 ноября, 2020 Я бы сейчас сделала три вещи :дала курс антибиотика шикарной женщине,гигиену навела бы во рту или хотя бы в этой области,депульпировала премоляр.Чтобы прикрыться со всех сторон. Выждать. Вынуть всегда успеется.А потом.. может,там уже формики просятся?Три недели, не рановато ли? По поводу премоляра, терапевта напрягу. А на каком режиме Вы закручиваете/выкручиваете?20оборотов на торке 30, далее руками динамометрическим ключом. Имплант 13 мм? Зачем? При планировании видно, что он упирается апексом в кортикалку. По этому и поставить не могли сразу. Торк 45. Если имплант плотно контактирует с компактной пластинкой,она резорбируется окончато,со всеми вытекающими. Стоило выбрать имплант 8.5мм.Импланты 10мм каждый, разметка на планировании - глубина препарирования с учётом заглубления. Проблема то как раз в области 4.5 импланта, там нет такого контакта с кортикой апикально, а область шейки хорошо развальцевал кортикальной фрезой. 4.6 где как раз контакт кортикальный спокоен. Если притопили имплант,зачем поставили заглушку? чтобы избежать проблем как в предыдущем моём случае, где тоже было тонко язычно. Потому хотел на этапе раскрытия работать с десной и язычно перемещать объём. http://forum.stom.ru/topic/40254-otsrochennaia-implantatciia/ Сомнения-мелкий фдм или заглушка +1. что значит заглушка +1? Если сейчас залезть и выкрутить заглушки не велики ли риски прокручивания имплантата...ведь на 3-5 недели самая большая потеря первичной стабильности происходит. Ссылка на комментарий
Irouil Опубликовано 29 ноября, 2020 Поделиться Опубликовано 29 ноября, 2020 20оборотов на торке 30, далее руками динамометрическим ключом. Ничего таким режимом нагреть не получится. Это обычное дело поиграть винтом туда-обратно, причина не тут чтобы избежать проблем как в предыдущем моём случае, где тоже было тонко язычно. Потому хотел на этапе раскрытия работать с десной и язычно перемещать объём. http://forum.stom.ru/topic/40254-otsrochennaia-implantatciia/ Проблемы в том случае - не из-за того, что фдм сразу. Я сторонник работы с мягкими тканями в любом раскладе, но это уже оффтоп, тут они не причём что значит заглушка +1? +1 мм, высокая, чтобы торчала над винтом. Раскрывать заглубленные импланты - та ещё канитель Если сейчас залезть и выкрутить заглушки не велики ли риски прокручивания имплантата...ведь на 3-5 недели самая большая потеря первичной стабильности происходит. Если Вы торк 45 только на импланте получили, а не на заглушке, то проблем быть не должно даже с учётом падения стабильности.Если же рукой винт прокрутится - значит падение стабильности патологическое, видимо он уже не интегрируется - сэкономите время 5 Ссылка на комментарий
___49___ Опубликовано 29 ноября, 2020 Поделиться Опубликовано 29 ноября, 2020 Irouil дело говорит. На мой взгляд вкручивая и выкручивая была элементарно нарушена асептика . 1 Ссылка на комментарий
Женька Опубликовано 29 ноября, 2020 Автор Поделиться Опубликовано 29 ноября, 2020 (изменено) Всем спасибо за отзывы, коллеги!Назначу аб, разберемся с клином 4.4 и сделаем контрольную КТ. Только что, созванивались с пациенткой, жалуется, что стало хуже. Отметила, что когда остаётся одна болит сильнее, а когда есть отвлекающие факторы-проще. Пьет 200мг ибупрофена в день, иногда 400...Кт сделает только в следующие выходные, тк работает. Изменено 29 ноября, 2020 пользователем Женька Ссылка на комментарий
Bier Опубликовано 29 ноября, 2020 Поделиться Опубликовано 29 ноября, 2020 а/б бесполезны в данном случае и вообще при имплантации без аугментаций. Колесников сказал верную причину - вы передавили кортикалку апексом имплантата. Выкручивайте, пока секвестр не получили.И ставьте конечно же всегда ФДМ 1 Ссылка на комментарий
Irouil Опубликовано 29 ноября, 2020 Поделиться Опубликовано 29 ноября, 2020 Согласен насчёт антибиотиков - будь там инфицирование все бы уже закончилось. Вопрос с кортикалкой решается через КТ. Но как по мне - раскрывать все равно надо, а там видно будет Ссылка на комментарий
Женька Опубликовано 30 ноября, 2020 Автор Поделиться Опубликовано 30 ноября, 2020 И ставьте конечно же всегда ФДМ я стараюсь всегда ставить... но тут подумал, что слишком тонко и питания не хватит. А подсаживать сст времени уже не было...слишком медленно я работаю Но как по мне - раскрывать все равно надо, а там видно будет думаете есть ещё варианты без удаления? просто раскрывшись, я увижу имплантат, выкручу заглушку, а что дальше? Почему болезненность и гиперемия вестибулярно, а не язычно, где передавил кортику? Ссылка на комментарий
Irouil Опубликовано 30 ноября, 2020 Поделиться Опубликовано 30 ноября, 2020 думаете есть ещё варианты без удаления? просто раскрывшись, я увижу имплантат, выкручу заглушку, а что дальше?Закрутите ФДМ. Дальше смотрите симптоматику. Если винт в процессе отторжения - он у Вас прокрутится при выкручивании заглушки/закручивании ФДМ. Главное не стесняйтесь пальцами крутить, эти нагрузки он обязан выдержать после торка 45 Почему болезненность и гиперемия вестибулярно, а не язычно, где передавил кортику?Сделайте КТ, может Вы вестибулярно передавили) а может и не передавали ничего, что тут придумывать) Ссылка на комментарий
Bier Опубликовано 1 декабря, 2020 Поделиться Опубликовано 1 декабря, 2020 по опыту может и сидеть пока еще плотно. Ссылка на комментарий
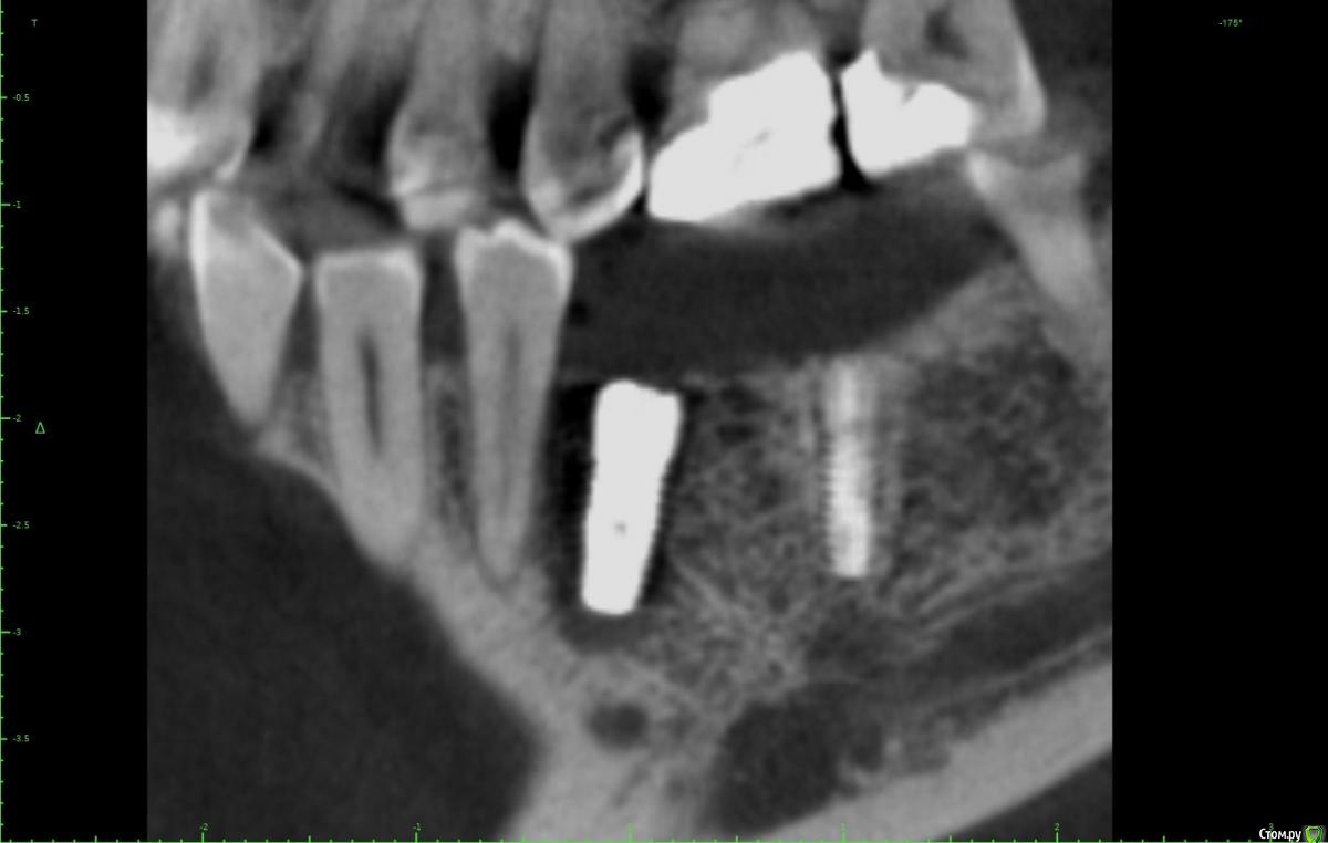
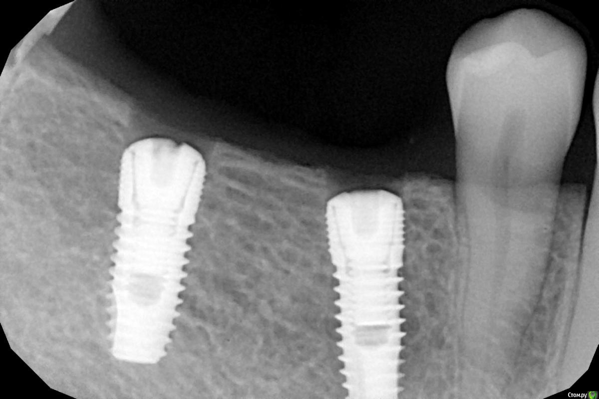
Женька Опубликовано 14 декабря, 2020 Автор Поделиться Опубликовано 14 декабря, 2020 (изменено) Наконец-то получил КТ от пациентки...Боли значительно уменьшились, практически не беспокоит... Коллеги, что думаете? Я так понимаю это уже не фон от титана? и вердикт всё-таки один? Сам склоняюсь всё-таки более к понаблюдать. Вестибулярно конечно очень тонко Толщина была ~ 6.7мм Изменено 14 декабря, 2020 пользователем Женька Ссылка на комментарий
Irouil Опубликовано 14 декабря, 2020 Поделиться Опубликовано 14 декабря, 2020 Ну и где тут язычно передавленная кортикалка? Меня смущает только картина в области верхушки симптомного винта, ну и заглубление Я бы дождался уже срока интеграции Ссылка на комментарий
Женька Опубликовано 14 декабря, 2020 Автор Поделиться Опубликовано 14 декабря, 2020 Ну и где тут язычно передавленная кортикалка? Меня смущает только картина в области верхушки симптомного винта, ну и заглублениеНе знаю, я про язычную кортику не говорил. Меня тоже смущает... и в области соседа такого фона (а это не фон я уверен) нет... А с заглублением что не так? по прицелам там 1.5-2мм, на кт почему-то этих мм вообще нет и как будто крестально стоят Ссылка на комментарий
Женька Опубликовано 15 декабря, 2020 Автор Поделиться Опубликовано 15 декабря, 2020 @Bier, Олег Юрьевич, скажите пожалуйста, что думаете? @колесников, ваше мнение тоже интересует. (простите не знаю как ваши ИО ) Ссылка на комментарий
Рекомендуемые сообщения
Для публикации сообщений создайте учётную запись или авторизуйтесь
Вы должны быть пользователем, чтобы оставить комментарий
Создать аккаунт
Зарегистрируйте новый аккаунт в нашем сообществе. Это очень просто!
Регистрация нового пользователяВойти
Уже есть аккаунт? Войти в систему.
Войти