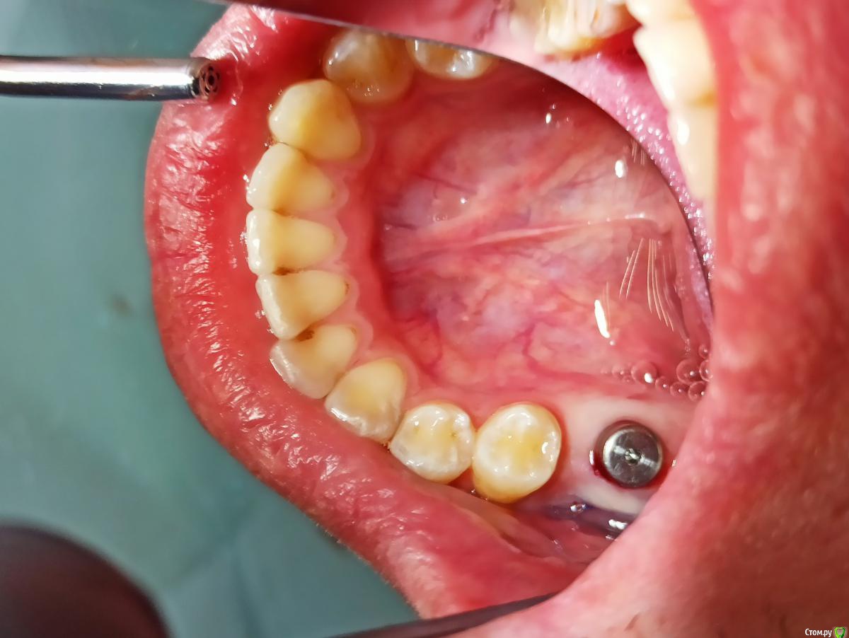
MP1121 Опубликовано 3 августа, 2020 Поделиться Опубликовано 3 августа, 2020 Добрый день! Возник небольшой спор по поводу необходимого, для имплантации, объема костной ткани.Обоснован ли в данной клинической ситуации отказ от остеопласики? И была ли в ней необходимость? Ссылка на комментарий
red_butler Опубликовано 3 августа, 2020 Поделиться Опубликовано 3 августа, 2020 Нет необходимости в пластике 4 Ссылка на комментарий
red_butler Опубликовано 4 августа, 2020 Поделиться Опубликовано 4 августа, 2020 Добрый день! Возник небольшой спор по поводу необходимого, для имплантации, объема костной ткани.Обоснован ли в данной клинической ситуации отказ от остеопласики? И была ли в ней необходимость?Вы врач?, Почему возник такой вопрос? 2 Ссылка на комментарий
MP1121 Опубликовано 4 августа, 2020 Автор Поделиться Опубликовано 4 августа, 2020 Вопрос возник из-за спора с коллегой. Он считает что в конкретном случае необходимо было добавлять кость. Никакие доводы, в пользу того что ширины более чем достаточно,не принимаются. Аргументирует тем что будет эстетический(!) дефект, и нормальную коронку сделать нельзя. Имплант уже поставил Ссылка на комментарий
MP1121 Опубликовано 4 августа, 2020 Автор Поделиться Опубликовано 4 августа, 2020 Ссылка на комментарий
Irouil Опубликовано 4 августа, 2020 Поделиться Опубликовано 4 августа, 2020 Согласен, непонятный вопрос, а объяснение лишь вызывает еще больше вопросов) 1 Ссылка на комментарий
MP1121 Опубликовано 4 августа, 2020 Автор Поделиться Опубликовано 4 августа, 2020 Согласен, непонятный вопрос, а объяснение лишь вызывает еще больше вопросов)Можете задать любые интересующие вас вопросы. Ссылка на комментарий
MP1121 Опубликовано 4 августа, 2020 Автор Поделиться Опубликовано 4 августа, 2020 Тему я создавал не для себя, а для того чтобы он (коллега) посмотрел мнение других специалистов, раз мои аргументы его не убедили. Если администрацию форума или его участников смущает или вводит в сомнения моя публикация, то я ее удалю. Ещё раз уточню, я убеждаю не пациента, а врача-ортопеда. Ссылка на комментарий
It'sGeorgy Опубликовано 4 августа, 2020 Поделиться Опубликовано 4 августа, 2020 Вероятнее всего, ваш коллега имел ввиду пластику мягких тканей, а не костную пластику. 2 Ссылка на комментарий
MP1121 Опубликовано 4 августа, 2020 Автор Поделиться Опубликовано 4 августа, 2020 К сожалению речь шла именно о дефиците кости. Ссылка на комментарий
It'sGeorgy Опубликовано 4 августа, 2020 Поделиться Опубликовано 4 августа, 2020 Сама ситуация, где ортопед указывает хирургу на дефицит кости(которого нет) мне кажется...странноватой слегка 2 Ссылка на комментарий
MP1121 Опубликовано 4 августа, 2020 Автор Поделиться Опубликовано 4 августа, 2020 Понимаю) пПциент, позвонил мне после консультации ортопеда в другой клинике, спросил почему ему даже не предложили костную пластику. Ну думаю ок, пациент что-то напутал, бывает, успокоил, попросил номер врача, созвонился и в ответ тоже самое... Я сказал что вестибулярно от шейки импланта кости миллиметра 3, и над платформой 4-5 мм. десны. Предложил узнать мнение коллег и дать ему ссылку на форум. КТ после операции не делали, но сейчас хочу направить.Не претендую на звание виртуозного хирурга, да и практикую всего два года, но такая ситуация очень неприятна. Ссылка на комментарий
annda Опубликовано 4 августа, 2020 Поделиться Опубликовано 4 августа, 2020 (изменено) Единственное, что бы я сделала с костью, это по высоте бы ее убрала, чтобы коронка была больше по высоте. Но это мое личное мнение, и оно может быть в корне неправильное.Вестибулярно ССТ и цементновинтовая фиксация решат все вопросы. Изменено 4 августа, 2020 пользователем annda 1 Ссылка на комментарий
Irouil Опубликовано 4 августа, 2020 Поделиться Опубликовано 4 августа, 2020 Просто не крутить конус, если говорит о высоте. Но можно заглубить и все лишнее само "редуцируется" Ссылка на комментарий
Тимур86 Опубликовано 4 августа, 2020 Поделиться Опубликовано 4 августа, 2020 Так это ортопед из другой клиники? Это многое объясняет... 3 Ссылка на комментарий
red_butler Опубликовано 5 августа, 2020 Поделиться Опубликовано 5 августа, 2020 Так это ортопед из другой клиники? Это многое объясняет... Ссылка на комментарий
колесников Опубликовано 5 августа, 2020 Поделиться Опубликовано 5 августа, 2020 Ортопед оценивает с учетом будущей реставрации. Относительно моляра есть дефицит объёма гребня,но для имплантации объём костной ткани достаточный. Данный дефицит нивелируется дополнительной пластикой мягких тканей вестибулярно и земной с узкого на широкий фдм. Но мне кажется ,вы слишком язычно сместили платформу , и теперь решить проблему заменой на более широкий но стандартный фдм ,будет не просто,придётся делать индивидуальный. 1 Ссылка на комментарий
MP1121 Опубликовано 6 августа, 2020 Автор Поделиться Опубликовано 6 августа, 2020 Спасибо! А можно ли решить вопрос временной коронкой? Возможно в два этапа (постепенно добавляя объем вестибулярно композитом) Времянки буду делать сам Ссылка на комментарий
red_butler Опубликовано 6 августа, 2020 Поделиться Опубликовано 6 августа, 2020 Спасибо! А можно ли решить вопрос временной коронкой? Возможно в два этапа (постепенно добавляя объем вестибулярно композитом) Времянки буду делать самВам бы просто вернуть пациентку в свою клинику... Ссылка на комментарий
Irouil Опубликовано 6 августа, 2020 Поделиться Опубликовано 6 августа, 2020 Покажите рентген с винтом. Такое впечатление, что его позиция неудачная Ссылка на комментарий
колесников Опубликовано 6 августа, 2020 Поделиться Опубликовано 6 августа, 2020 Спасибо! А можно ли решить вопрос временной коронкой? Возможно в два этапа (постепенно добавляя объем вестибулярно композитом) Времянки буду делать сам определенно лучше делать через временную. Рентген бы не помешал,на каком уровне платформа?. Хорошо если вы делали редукцию гребня у платформы. Можно и за один раз ,но подсечь и сместить лоскут вестибулярно. 1 Ссылка на комментарий
MP1121 Опубликовано 7 августа, 2020 Автор Поделиться Опубликовано 7 августа, 2020 Покажите рентген с винтом. Такое впечатление, что его позиция неудачнаяЯ выше говорил что КТ ещё не делали. Прицельного у меня нет, но когда сделаю постараюсь скинуть срезы с винтом. По поводу позиции - вполне может быть, но более точно увидим на снимках.p.s. где-то ещё были снимки сделанные во время операции, тоже скину когда найду Ссылка на комментарий
MP1121 Опубликовано 7 августа, 2020 Автор Поделиться Опубликовано 7 августа, 2020 определенно лучше делать через временную. Рентген бы не помешал,на каком уровне платформа?. Хорошо если вы делали редукцию гребня у платформы. Можно и за один раз ,но подсечь и сместить лоскут вестибулярно.Спасибо. Редукцию не делал, имплант (anyone) немного заглубил где-то на 1 мм. А подсечь это как? Или имели ввиду рассечь? Ссылка на комментарий
MP1121 Опубликовано 7 августа, 2020 Автор Поделиться Опубликовано 7 августа, 2020 Но мне кажется ,вы слишком язычно сместили платформуДа, вы правы. Ссылка на комментарий
Тимур86 Опубликовано 7 августа, 2020 Поделиться Опубликовано 7 августа, 2020 никакой катастрофы не вижу 2 Ссылка на комментарий
Рекомендуемые сообщения
Для публикации сообщений создайте учётную запись или авторизуйтесь
Вы должны быть пользователем, чтобы оставить комментарий
Создать аккаунт
Зарегистрируйте новый аккаунт в нашем сообществе. Это очень просто!
Регистрация нового пользователяВойти
Уже есть аккаунт? Войти в систему.
Войти