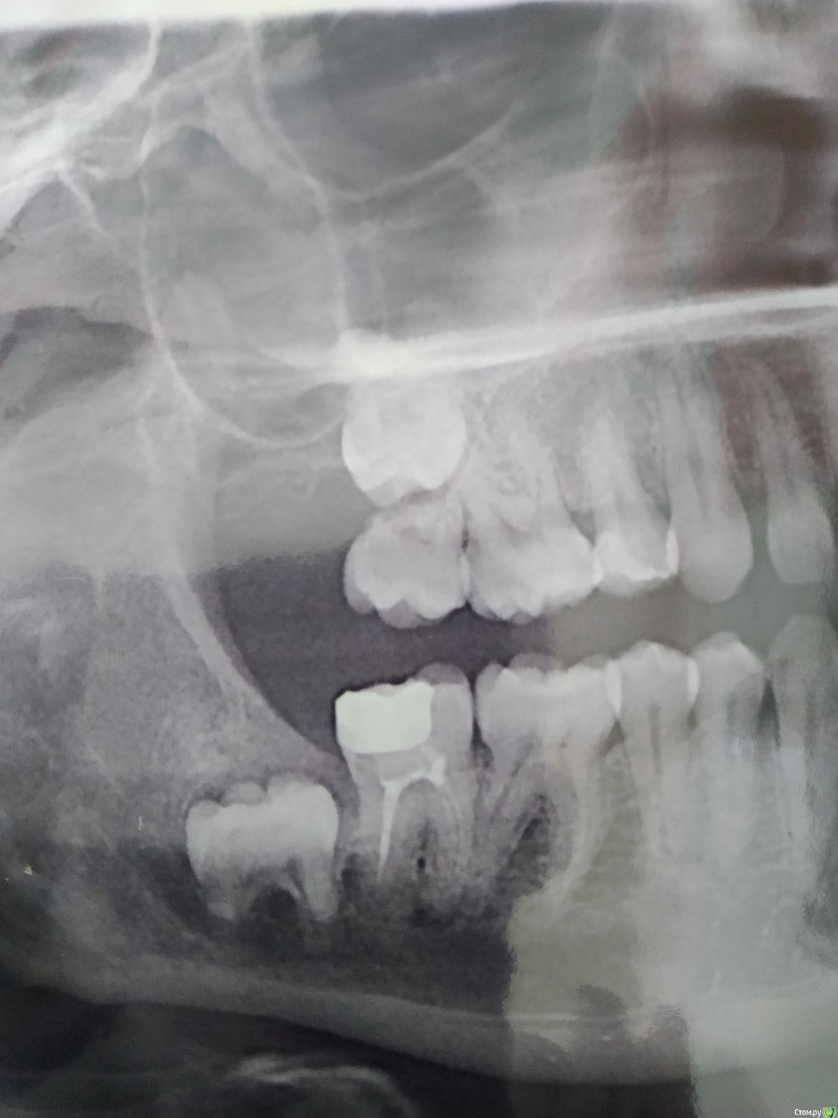
shishok Опубликовано 1 июля, 2020 Поделиться Опубликовано 1 июля, 2020 Пациента беспокоят периодические боли в 17 при приеме жесткой пищи. Визуально всё в норме, перкуссия на момент осмотра б/б.На ОПТГ вот такая картина.Надеюсь,что восьмерка встанет на место 17. Ссылка на комментарий
Kolchanov Опубликовано 1 июля, 2020 Поделиться Опубликовано 1 июля, 2020 А какой возраст? Ссылка на комментарий
vse32 Опубликовано 1 июля, 2020 Поделиться Опубликовано 1 июля, 2020 А я смотрю на верху еще и премоляра не хватает. Не повезло прямо. Ссылка на комментарий
red_butler Опубликовано 2 июля, 2020 Поделиться Опубликовано 2 июля, 2020 в работе такой пациент, на этапе ортодонтии, седьмой уже удалил, тянем восьмой Ссылка на комментарий
shishok Опубликовано 2 июля, 2020 Автор Поделиться Опубликовано 2 июля, 2020 А какой возраст?31 год. Ссылка на комментарий
shishok Опубликовано 2 июля, 2020 Автор Поделиться Опубликовано 2 июля, 2020 А я смотрю на верху еще и премоляра не хватает. Не повезло прямо.Верхние пятёрки были вторым рядом небно.Удалены лет 10 назад. Ссылка на комментарий
Kolchanov Опубликовано 2 июля, 2020 Поделиться Опубликовано 2 июля, 2020 31 год.Что-то я сомневаюсь тогда, что восьмерка там прорезается. Если только какой суперортодонт вытащит. Ссылка на комментарий
shishok Опубликовано 3 июля, 2020 Автор Поделиться Опубликовано 3 июля, 2020 Что-то я сомневаюсь тогда, что восьмерка там прорезается. Если только какой суперортодонт вытащит.Да он не претендует на прорезывание восьмого. Он-реалист Ссылка на комментарий
Brigita Опубликовано 3 июля, 2020 Поделиться Опубликовано 3 июля, 2020 встанет. Ну и судя по резорбции корней 7ки он реально двигается, все не случайно.Если не встанет за полгода - ортодонт вытянет. Там скорее всего ортодонтия нужна и без 8и Ссылка на комментарий
annda Опубликовано 4 июля, 2020 Поделиться Опубликовано 4 июля, 2020 Ну прям молочная 7ка) Ссылка на комментарий
Рекомендуемые сообщения
Для публикации сообщений создайте учётную запись или авторизуйтесь
Вы должны быть пользователем, чтобы оставить комментарий
Создать аккаунт
Зарегистрируйте новый аккаунт в нашем сообществе. Это очень просто!
Регистрация нового пользователяВойти
Уже есть аккаунт? Войти в систему.
Войти