P14 Опубликовано 8 июня, 2020 Поделиться Опубликовано 8 июня, 2020 Уже несколько раз встречал мнение врачей, что депульпированный зуб всегда, в 100% случаев, нужно закрывать коронкой, иначе зуб или сломается, или под пломбой образуется кариес. Ни мне, ни другим людям, которых я знаю, и которым депульпировали ранее зубы такого не говорили, и зубы у них потом не сломались. Кариес конечно под пломбой возникал, но так он ведь и под коронкой может возникнуть, тем более, что зуб под коронку зачастую восстанавливают тем же самым комопзитом (если я правильно понял технологию).В принципе, проблема прочности остающихся боковых стенок зуба имеет место быть, но ведь ее можно решить как тут на рисунке 2http://forum.stom.ru/topic/16501-otlom-koronkovoi-chati-zuba-posle-obrabotki-k-k/?p=251236Может, я чего-то не понимаю. Объясните пожалуйста. 1 Ссылка на комментарий
kramer Опубликовано 8 июня, 2020 Поделиться Опубликовано 8 июня, 2020 К сожалению, мы не сможем ответить на гипотетический вопрос. Выкладывайте снимки и фото, там видно будет 1 Ссылка на комментарий
red_butler Опубликовано 8 июня, 2020 Поделиться Опубликовано 8 июня, 2020 http://forum.stom.ru/topic/20613-sovety-patcientam-obiazatelno-k-prochteniiu/ Ссылка на комментарий
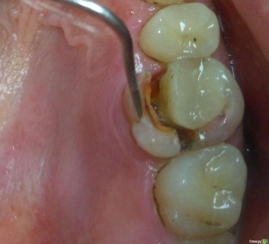
St. Опубликовано 8 июня, 2020 Поделиться Опубликовано 8 июня, 2020 (изменено) Иногда без коронки случается так как на фото, и все.. дальше зуб только на удаление Изменено 8 июня, 2020 пользователем St. 3 Ссылка на комментарий
Марья Моревна Опубликовано 8 июня, 2020 Поделиться Опубликовано 8 июня, 2020 не сломались Не переживайте,это временно. Особенно,если Кариес конечно под пломбой возникал, Зуб становится мертвым, а значит,хрупким. Монолитная коронка лучше перенесет жевательную нагрузку,чем склеенное из остатков эмали,штифтов и фотополимера лоскутное одеяло. 1 Ссылка на комментарий
dok1 Опубликовано 10 июня, 2020 Поделиться Опубликовано 10 июня, 2020 Уже несколько раз встречал мнение врачей, что депульпированный зуб всегда, в 100% случаев, нужно закрывать коронкой, иначе зуб или сломается, или под пломбой образуется кариес. Ни мне, ни другим людям, которых я знаю, и которым депульпировали ранее зубы такого не говорили, и зубы у них потом не сломались. Кариес конечно под пломбой возникал, но так он ведь и под коронкой может возникнуть, тем более, что зуб под коронку зачастую восстанавливают тем же самым комопзитом (если я правильно понял технологию).В принципе, проблема прочности остающихся боковых стенок зуба имеет место быть, но ведь ее можно решить как тут на рисунке 2http://forum.stom.ru/topic/16501-otlom-koronkovoi-chati-zuba-posle-obrabotki-k-k/?p=251236Может, я чего-то не понимаю. Объясните пожалуйста.А в чём заключается неприязнь к коронке? Это всего лишь конструкция, необходимая для сохранения зуба на конкретном этапе разрушения. Не более того. Огромная пломба по величине своей иной раз не уступает объёму коронки. Правильно сделанная коронка неукорачивает срок службы зуба. Ссылка на комментарий
P14 Опубликовано 10 июня, 2020 Автор Поделиться Опубликовано 10 июня, 2020 Спасибо всем ответившим! А в чём заключается неприязнь к коронке? Цена больше раза в два, времени занимает тоже больше, не видно, что творится под коронкой Ссылка на комментарий
dok1 Опубликовано 11 июня, 2020 Поделиться Опубликовано 11 июня, 2020 Ну, цена - вопрос интимный. Делается дольше - тоже не аргумент. Конструкция посложнее и времени требуется больше. А что под ней происходит ..... да ничего не происходит. Если всё точно подогнано и правильно изолировано при фиксации, то сносу ей нет 2 Ссылка на комментарий
Рекомендуемые сообщения
Для публикации сообщений создайте учётную запись или авторизуйтесь
Вы должны быть пользователем, чтобы оставить комментарий
Создать аккаунт
Зарегистрируйте новый аккаунт в нашем сообществе. Это очень просто!
Регистрация нового пользователяВойти
Уже есть аккаунт? Войти в систему.
Войти