ilnurik Опубликовано 4 июня, 2020 Автор Поделиться Опубликовано 4 июня, 2020 Через три месяца переставил без формика. Ссылка на комментарий
Bier Опубликовано 4 июня, 2020 Поделиться Опубликовано 4 июня, 2020 Я б попробовал сменить на время систему. Мож брак партий имплантов деетиум?это скорее всего тупые сверла и агрессивное препарирование плотной кости. 1 Ссылка на комментарий
red_butler Опубликовано 4 июня, 2020 Поделиться Опубликовано 4 июня, 2020 это скорее всего тупые сверла и агрессивное препарирование плотной кости.С языка сорвал Ссылка на комментарий
Irouil Опубликовано 4 июня, 2020 Поделиться Опубликовано 4 июня, 2020 Ждать больше трёх месяцев? Для примера, вы сколько ждёте?На в/ч минимум 4 Просто 4 месяца - это срок для фиксации коронки, вот мы и проверяем все винты на 35 Н*см на вкручивание - это защита от прокрута ортопедом при фиксации коронки на 25-30 Н*см Но у меня бывало, что и через 4 месяца я выкручивал винт фдм-ом, фиксированным на 15 Н*см если он подклинивает в шахте, даже тема есть в закрытом разделе. После чего я его просто вкрутил обратно и оставил на заживление - формик был низкий, нагрузка отсутствует и винт сегодня опять стоит намертво, я уже выкрутил этот чёртов формик из него и проверил имплантовводом на 35 Н*см Это я к тому, что иногда ортопеды могут скрутить интегрированный, но неокрепший винт Ссылка на комментарий
Jurai Опубликовано 4 июня, 2020 Поделиться Опубликовано 4 июня, 2020 эх, какая тема... у меня в декабре ушли 90% установленных Нобелей - все по одному сценарию - боль после операции, имплантат на третий день в гное, достаем, лизис кости. За весь год до того потерян был один Адин ( работаю с Осстемом, Нобелем, Адином). Новый набор. Вернулась к старому - все штатно и норм. Вот это как объяснить? Дефектом набора? не левак. Ссылка на комментарий
shy Опубликовано 4 июня, 2020 Поделиться Опубликовано 4 июня, 2020 это скорее всего тупые сверла и агрессивное препарирование плотной кости.Добрый день , как понять что сверла то тупые? только на д1-д2? д3-д4 на 800 оборотов всегда как в масло заходит )и на какое примерно кл-во сверлений рассчитано одна фреза? +/- . Ссылка на комментарий
ilnurik Опубликовано 4 июня, 2020 Автор Поделиться Опубликовано 4 июня, 2020 (изменено) это скорее всего тупые сверла и агрессивное препарирование плотной кости.Можно конечно и на свёрла все свалить, агрессивно не работаю, с ирригацией и не на больших оборотах. Да и почти все с верхней челюсти свалились..не самая плотная кость.На в/ч минимум 4Просто 4 месяца - это срок для фиксации коронки, вот мы и проверяем все винты на 35 Н*см на вкручивание - это защита от прокрута ортопедом при фиксации коронки на 25-30 Н*смНо у меня бывало, что и через 4 месяца я выкручивал винт фдм-ом, фиксированным на 15 Н*см если он подклинивает в шахте, даже тема есть в закрытом разделе. После чего я его просто вкрутил обратно и оставил на заживление - формик был низкий, нагрузка отсутствует и винт сегодня опять стоит намертво, я уже выкрутил этот чёртов формик из него и проверил имплантовводом на 35 Н*смЭто я к тому, что иногда ортопеды могут скрутить интегрированный, но неокрепший винтСпасибо. Теперь будем ждать 4 месяца. А нижняя челюсть, 3 месяца? Например при одномоментной имплантации. Изменено 4 июня, 2020 пользователем ilnurik Ссылка на комментарий
ilnurik Опубликовано 4 июня, 2020 Автор Поделиться Опубликовано 4 июня, 2020 эх, какая тема... у меня в декабре ушли 90% установленных Нобелей - все по одному сценарию - боль после операции, имплантат на третий день в гное, достаем, лизис кости. За весь год до того потерян был один Адин ( работаю с Осстемом, Нобелем, Адином). Новый набор. Вернулась к старому - все штатно и норм. Вот это как объяснить? Дефектом набора? не левак.Собрат Сколько имплантов ушло?Как нобель отреагировал на возврат имплантатов?Мне сейчас тоже дентиуму надо все вернуть)) рекламации заполнить. Добрый день , как понять что сверла то тупые? только на д1-д2? д3-д4 на 800 оборотов всегда как в масло заходит )и на какое примерно кл-во сверлений рассчитано одна фреза? +/- .Тоже интересно. Ссылка на комментарий
red_butler Опубликовано 4 июня, 2020 Поделиться Опубликовано 4 июня, 2020 Добрый день , как понять что сверла то тупые? только на д1-д2? д3-д4 на 800 оборотов всегда как в масло заходит )и на какое примерно кл-во сверлений рассчитано одна фреза? +/- .30-40 1 Ссылка на комментарий
dok1 Опубликовано 4 июня, 2020 Поделиться Опубликовано 4 июня, 2020 Короче надо выпить..... проветриться и ..... начать сначала. 1 Ссылка на комментарий
dok1 Опубликовано 4 июня, 2020 Поделиться Опубликовано 4 июня, 2020 это скорее всего тупые сверла и агрессивное препарирование плотной кости.Да то прописные истины. Но и тупыми ставл. И всё ок. Карма может . Ссылка на комментарий
Bier Опубликовано 4 июня, 2020 Поделиться Опубликовано 4 июня, 2020 у меня тоже такие бывали периоды, я уверен, что проблема где-то в руках и инструменте. 2 Ссылка на комментарий
ilnurik Опубликовано 5 июня, 2020 Автор Поделиться Опубликовано 5 июня, 2020 Короче надо выпить..... проветриться и ..... начать сначала. Да то прописные истины. Но и тупыми ставл. И всё ок. Карма может .Бухаем, чистим карму и идём дальше )))у меня тоже такие бывали периоды, я уверен, что проблема где-то в руках и инструменте.Всем спасибо за поддержку. Будем исправляться. Ссылка на комментарий
dok1 Опубликовано 5 июня, 2020 Поделиться Опубликовано 5 июня, 2020 у меня тоже такие бывали периоды, я уверен, что проблема где-то в руках и инструменте.1000% Ссылка на комментарий
Fin Опубликовано 5 июня, 2020 Поделиться Опубликовано 5 июня, 2020 Добрый день , как понять что сверла то тупые? только на д1-д2? д3-д4 на 800 оборотов всегда как в масло заходит )и на какое примерно кл-во сверлений рассчитано одна фреза? +/- .Понять вы можете при работе (сложнее будет сверлиться, но это не всегда заметно). Посоветую записывать какие свёрла и сколько раз вы используете, а после 30-40 использований просто поменять сверло, а не весь набор. Ссылка на комментарий
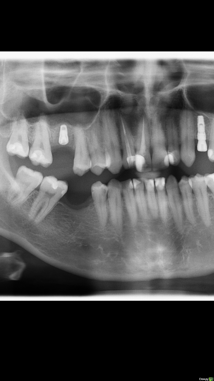
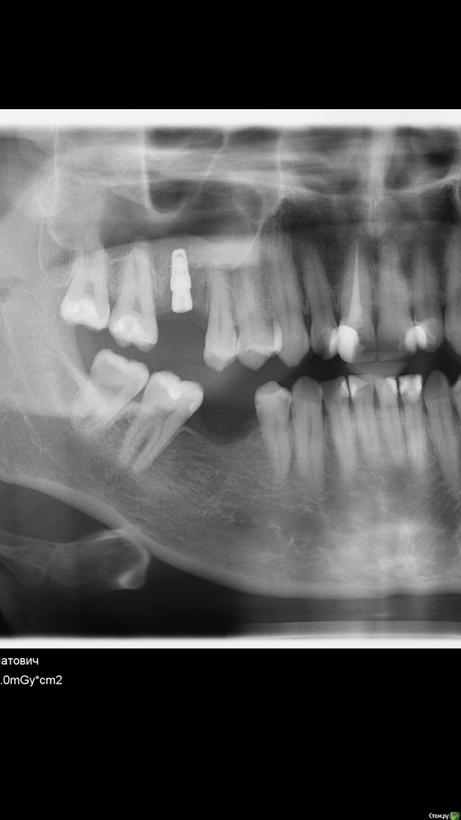
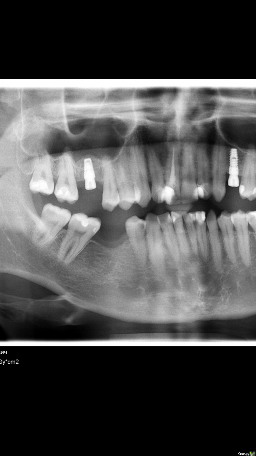
DrDimedrol Опубликовано 5 июня, 2020 Поделиться Опубликовано 5 июня, 2020 (изменено) На самом первом кейсе похоже на перегрев, вокруг апекса импланта на первых снимках есть характерная картинка (2-3-4-ий снимок). Ирригация слабая или агрессивная сверление. Изменено 5 июня, 2020 пользователем DrDimedrol Ссылка на комментарий
dentikl Опубликовано 5 июня, 2020 Поделиться Опубликовано 5 июня, 2020 Вроде делаю все как всегда. А жопа случаться начала чаще. может в спортивный зал начали ходить? Ссылка на комментарий
ilnurik Опубликовано 5 июня, 2020 Автор Поделиться Опубликовано 5 июня, 2020 На самом первом кейсе похоже на перегрев, вокруг апекса импланта на первых снимках есть характерная картинка (2-3-4-ий снимок). Ирригация слабая или агрессивная сверление.Одномоментная имплантация на первом кейсе. может в спортивный зал начали ходить?Если бы, не могу себя заставить Ссылка на комментарий
Saiduev Опубликовано 6 июня, 2020 Поделиться Опубликовано 6 июня, 2020 В моей практике из установленных 1395 имплантов, было 5 дезинтеграций и 1 перелом импланта после протезирования. Импланты фирмы Осстем. Увеличение числа неудач вижу только в том что с приобретением опыта мы становимся более самоуверенными, больше делаем одномоментно и так далее. Ссылка на комментарий
Irouil Опубликовано 6 июня, 2020 Поделиться Опубликовано 6 июня, 2020 Одномоментная имплантация в моей практике нисколько не повлияла на процент интеграции Ссылка на комментарий
Марья Моревна Опубликовано 6 июня, 2020 Поделиться Опубликовано 6 июня, 2020 Человек, который занимается стерилизацией сверел, не поменялся? Ссылка на комментарий
Saiduev Опубликовано 6 июня, 2020 Поделиться Опубликовано 6 июня, 2020 Одномоментная имплантация в моей практике нисколько не повлияла на процент интеграции1 случай дезинтеграции был после одномоментной имплантации, 4 случая торк при установке 0-10 Ссылка на комментарий
Дмитрий М Опубликовано 7 июня, 2020 Поделиться Опубликовано 7 июня, 2020 Второй фэйл. Тоже свой косяк. Сделал ОСЛ, имплант, получил хороший торк и решил фдм закрутить Судя по снимку, пациент просто накусил на формик. Ссылка на комментарий
ilnurik Опубликовано 7 июня, 2020 Автор Поделиться Опубликовано 7 июня, 2020 Судя по снимку, пациент просто накусил на формик. Да. Я тоже так думаю Ссылка на комментарий
natalie_summerwhile Опубликовано 25 августа, 2020 Поделиться Опубликовано 25 августа, 2020 А у меня с дентиумом проблема вот какая. Когда кортикалка плотная. Сверлишь например для 4.0 на 10 сверлом последняя препаровка размером 3.8 на длину 11мм,и финишная фреза 4.0.на всю ее длину. А имплант застревает крествльно или даже супракрестально. Приходится расширятся более тостой фрезой не на всю длину ложа или финишной фрезой глубже положенного, Ссылка на комментарий
Рекомендуемые сообщения
Для публикации сообщений создайте учётную запись или авторизуйтесь
Вы должны быть пользователем, чтобы оставить комментарий
Создать аккаунт
Зарегистрируйте новый аккаунт в нашем сообществе. Это очень просто!
Регистрация нового пользователяВойти
Уже есть аккаунт? Войти в систему.
Войти