Fin Опубликовано 6 мая, 2020 Поделиться Опубликовано 6 мая, 2020 Здравствуйте коллеги. Пришла пациентка, для установки импланта в обл 3.6. После осмотра КТ обнаружил образование в проекции будущего импланта. В ходе осмотра КТ так же обнаружилось несколько подобных образований по НЧ. Помогите советом, кто сталкивался с подобной ситуацией и что это может быть? Ссылка на комментарий
Дмитрий Л. Опубликовано 6 мая, 2020 Поделиться Опубликовано 6 мая, 2020 Ну сделайте трепан биопсию. Через пару недель можно будет и имплант вкрутить. Я думаю что это костный рисунок. Ссылка на комментарий
wladdX Опубликовано 6 мая, 2020 Поделиться Опубликовано 6 мая, 2020 (изменено) Мне тоже кажется, что вы принимаете балочную структуру и петли н\ч канала за н\образование. Такое встречается иногда. Похожий случай На ОПТГ выглядит уже не так трагично Изменено 6 мая, 2020 пользователем wladdX 1 Ссылка на комментарий
It'sGeorgy Опубликовано 6 мая, 2020 Поделиться Опубликовано 6 мая, 2020 Тоже часто сталкиваюсь с таким. Костный рисунок. 1 Ссылка на комментарий
Fin Опубликовано 7 мая, 2020 Автор Поделиться Опубликовано 7 мая, 2020 Мне тоже кажется, что вы принимаете балочную структуру и петли н\ч канала за н\образование. Такое встречается иногда. Похожий случай46_1.jpg На ОПТГ выглядит уже не так трагичноОПТГ фрагмент.jpgЧестно говоря тоже думаю, что костный рисунок но смутили размеры и то что в других местах кроме этих таких явлений не наблюдается. Сейчас пациент предоставил снимок до ортод. лечения. На нем немного видно костный рисунок. Ссылка на комментарий
Fin Опубликовано 7 мая, 2020 Автор Поделиться Опубликовано 7 мая, 2020 Тоже часто сталкиваюсь с таким. Костный рисунок.Извините, хотел нажать кнопку ответа а поставил минус((.Такое тоже вижу очень часто, но смущают размеры. Ссылка на комментарий
Женька Опубликовано 9 июня, 2020 Поделиться Опубликовано 9 июня, 2020 Тоже спрошу, чтобы не плодить темы.Пришла вот такая пациентка, удаление 28 февраля 2020. Думаю, что ничего страшного и можно ставить не взирая на образование, по крайней мере, мне видится, что это не апексы... тень думаю, потому, что лунка всё еще в стадии заживленияЧто скажете, коллеги? Ссылка на комментарий
Irouil Опубликовано 9 июня, 2020 Поделиться Опубликовано 9 июня, 2020 Как минимум один кусочек чего-то белого на последнем срезе есть Можно ещё прицелку посмотреть. А что с анамнезом? Ссылка на комментарий
Женька Опубликовано 9 июня, 2020 Поделиться Опубликовано 9 июня, 2020 Как минимум один кусочек чего-то белого на последнем срезе есть Можно ещё прицелку посмотреть. А что с анамнезом?В анамнезе у бабушки Cr желудка.Прицела к сожалению нету пломбировочный материал? мне кажется он В остальном считает себя здоровой, по врачам не бегает, на учётах не состоит. Во время удаления (удалял не я) делали прицелы после, и тоже увидели это образование (со слов пациентки). Ссылка на комментарий
Fin Опубликовано 9 июня, 2020 Автор Поделиться Опубликовано 9 июня, 2020 В анамнезе у бабушки Cr желудка.Прицела к сожалению нету пломбировочный материал? мне кажется он В остальном считает себя здоровой, по врачам не бегает, на учётах не состоит. Во время удаления (удалял не я) делали прицелы после, и тоже увидели это образование (со слов пациентки).Удаление 28 было, а когда сделано КТ?. По мне да, лунка в стадии заживления, если вы про дистальное образование то это одонтома, а вот на верхушке гребня что то есть. Думаю что ничего страшного,сделаете прицельный снимок перед имплантацией и если что во время операции уберете. Ссылка на комментарий
red_butler Опубликовано 9 июня, 2020 Поделиться Опубликовано 9 июня, 2020 Тоже спрошу, чтобы не плодить темы. лучше всё таки создавать свою тему... 1 Ссылка на комментарий
red_butler Опубликовано 9 июня, 2020 Поделиться Опубликовано 9 июня, 2020 Что скажете, коллеги? я бы удалил и возможно на гистологию отправил 2 Ссылка на комментарий
Женька Опубликовано 9 июня, 2020 Поделиться Опубликовано 9 июня, 2020 Удаление 28 было, а когда сделано КТ?. По мне да, лунка в стадии заживления, если вы про дистальное образование то это одонтома, а вот на верхушке гребня что то есть. Думаю что ничего страшного,сделаете прицельный снимок перед имплантацией и если что во время операции уберете.Кт от 8 июня. я бы удалил и возможно на гистологию отправилИз-за анамнеза родословной? Ссылка на комментарий
red_butler Опубликовано 9 июня, 2020 Поделиться Опубликовано 9 июня, 2020 Кт от 8 июня. Из-за анамнеза родословной?Нет, новообразование имеет оболочку, не хотелось бы удалять имея там имплант 1 Ссылка на комментарий
Женька Опубликовано 9 июня, 2020 Поделиться Опубликовано 9 июня, 2020 Записал срезы Кт, вижу что-то похожее на корень с ярким материалом в области края гребня. И образование, по плотности как кортика. + лунки заживающие. Ссылка на комментарий
red_butler Опубликовано 9 июня, 2020 Поделиться Опубликовано 9 июня, 2020 https://youtu.be/1pW5wBBAbls Записал срезы Кт, вижу что-то похожее на корень с ярким материалом в области края гребня. И образование, по плотности как кортика. + лунки заживающие.Похоже на корень. А есть снимки до удаления? И настораживает, зачем коллеги делали rg после удаления.., Ссылка на комментарий
Женька Опубликовано 9 июня, 2020 Поделиться Опубликовано 9 июня, 2020 Похоже на корень. На верхушке гребня с ярким рентгеноконтрастным материалом? или где-то в другом месте? А есть снимки до удаления? Была вроде ОПТГ, попробую вытянуть у пациентки.И настораживает, зачем коллеги делали rg после удаления..,Именно из-за этого плотного образования. Ссылка на комментарий
Женька Опубликовано 10 июня, 2020 Поделиться Опубликовано 10 июня, 2020 А есть снимки до удаления? Можно ещё прицелку посмотреть. Прицелки нет, как я сказал, но есть ОПТГ до удаления, правда не лучшего качества... Ссылка на комментарий
Irouil Опубликовано 10 июня, 2020 Поделиться Опубликовано 10 июня, 2020 я бы удалил и возможно на гистологию отправилТут мне кажется верное решение Похоже на какую-то цементому не удалённую, но все же Ссылка на комментарий
Женька Опубликовано 10 июня, 2020 Поделиться Опубликовано 10 июня, 2020 Тут мне кажется верное решение Похоже на какую-то цементому не удалённую, но все жеВозможно меня неправильно поняли) у бабушки пациентки был Cr в анамнезе...Или разницы нет и не стоит имплантировать пока не уберу образование?Но тогда другой вопрос, как оптимальнее его вытащить? или не важно и всё равно придется аугментировать и ждать? Ссылка на комментарий
Irouil Опубликовано 10 июня, 2020 Поделиться Опубликовано 10 июня, 2020 Возможно меня неправильно поняли) у бабушки пациентки был Cr в анамнезе...Или разницы нет и не стоит имплантировать пока не уберу образование?Но тогда другой вопрос, как оптимальнее его вытащить? или не важно и всё равно придется аугментировать и ждать?Про бабушку я понял. Но если эта штука осумкована (а на орто до тоже так кажется), то вокруг импланта пойдёт расти ее капсула, а не кость. По крайней мере есть такой риск. Ну а на гистологию всегда лучше сдать, чем не сдать Ссылка на комментарий
Женька Опубликовано 10 июня, 2020 Поделиться Опубликовано 10 июня, 2020 Про бабушку я понял. Но если эта штука осумкована (а на орто до тоже так кажется), то вокруг импланта пойдёт расти ее капсула, а не кость. По крайней мере есть такой риск. Ну а на гистологию всегда лучше сдать, чем не сдатьРазницы крестально идти или вестибулярно особенной нет? Всё равно через аугментацию и отсроченно имплантировать? Ссылка на комментарий
Irouil Опубликовано 10 июня, 2020 Поделиться Опубликовано 10 июня, 2020 Сложно сказать. Наверное - крестально, там мягко, судя по снимку, да и дефект с лучшим прогнозом. Главное чтобы не слишком глубоко и узко для доступа было Ссылка на комментарий
Женька Опубликовано 10 июня, 2020 Поделиться Опубликовано 10 июня, 2020 Главное чтобы не слишком глубоко и узко для доступа былоИ если так, то придется расширять и копаться или добавлять вестибулярный доступ Ссылка на комментарий
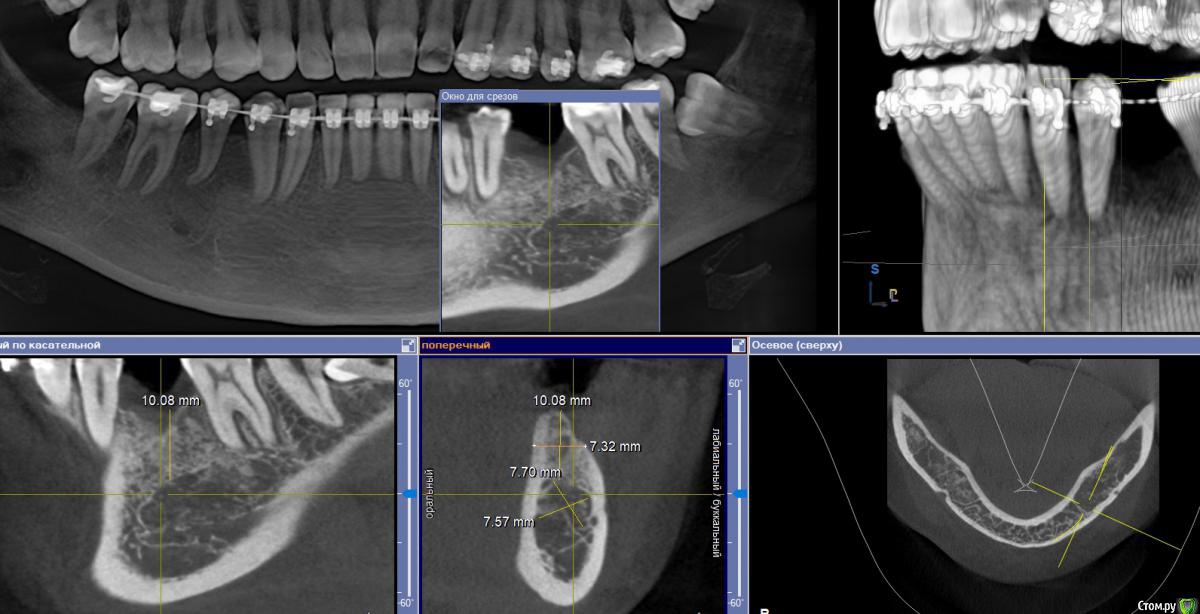
almaz7888 Опубликовано 11 февраля, 2021 Поделиться Опубликовано 11 февраля, 2021 (изменено) Доброе утро коллеги! Подниму тему. Данной пациентке планируется имплантация для замещения концевых дефектов на нижней челюсти. Зуб 3.5 думал удалить во время операции. Образование в области 3.5 это просто склероз кости? В области ментального отверстия справа также имеется какой-то очаг но меньших размеров. Изменено 11 февраля, 2021 пользователем almaz7888 Ссылка на комментарий
Рекомендуемые сообщения
Для публикации сообщений создайте учётную запись или авторизуйтесь
Вы должны быть пользователем, чтобы оставить комментарий
Создать аккаунт
Зарегистрируйте новый аккаунт в нашем сообществе. Это очень просто!
Регистрация нового пользователяВойти
Уже есть аккаунт? Войти в систему.
Войти