Dr.Mikitos Опубликовано 16 февраля, 2020 Поделиться Опубликовано 16 февраля, 2020 Коллеги, всем добрый день. Подскажите пожалуйста, какой материал можно использовать для билдапа под коронку для безнадежных зубов, которому неважна была бы изоляция. Есть в америке Core Past. Какой аналог может быть в Росии? Всем заранее спасибо! Ссылка на комментарий
Vladimirov Опубликовано 16 февраля, 2020 Поделиться Опубликовано 16 февраля, 2020 неважна была бы изоляция а что вы вкладываете в это понятие? Работа без кофера? Ссылка на комментарий
Kolchanov Опубликовано 16 февраля, 2020 Поделиться Опубликовано 16 февраля, 2020 Для безнадёжных зубов с безнадёжной изоляцией подойдёт любой безнадёжный материал. 6 Ссылка на комментарий
krokomot Опубликовано 16 февраля, 2020 Поделиться Опубликовано 16 февраля, 2020 Учитесь изолировать безнадежные зубы и превращать их во временно функционирующие, если они, по каким-то причинам, необходимы. Полагаться на какой-то там суперматериал, на мой взгляд, бессмысленно. Ссылка на комментарий
Dr.Mikitos Опубликовано 16 февраля, 2020 Автор Поделиться Опубликовано 16 февраля, 2020 а что вы вкладываете в это понятие? Работа без кофера?Да. Без коффердама. Ссылка на комментарий
Dr.Mikitos Опубликовано 16 февраля, 2020 Автор Поделиться Опубликовано 16 февраля, 2020 Учитесь изолировать безнадежные зубы и превращать их во временно функционирующие, если они, по каким-то причинам, необходимы. Полагаться на какой-то там суперматериал, на мой взгляд, бессмысленно.Хорошо, как быть с резорцинками? Кроме лкв Ссылка на комментарий
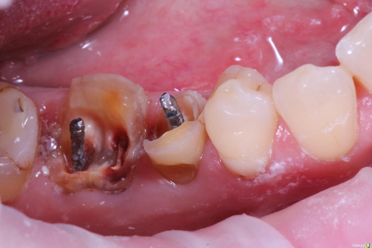
Dr.Mikitos Опубликовано 16 февраля, 2020 Автор Поделиться Опубликовано 16 февраля, 2020 Хорошо. Дополню фотографиями. К примеру, такие зубы. Ссылка на комментарий
krokomot Опубликовано 16 февраля, 2020 Поделиться Опубликовано 16 февраля, 2020 Хорошо. Дополню фотографиями. К примеру, такие зубы.В чем проблема здесь заизолироваться и выполнить адгезивный билдап? 2 Ссылка на комментарий
Dr.Mikitos Опубликовано 17 февраля, 2020 Автор Поделиться Опубликовано 17 февраля, 2020 В чем проблема здесь заизолироваться и выполнить адгезивный билдап?Просто, очень не верится тут в адгезив. Ведь при засвечивании весь материал, насколько я знаю, стремится к лампе. В химии, наоборот, к зубу. 1) Слишком большой объем для восстановления адгезией зуба 4.62) Зуб 4.6 резорцинка. Или я что-то не так говорю? Недавно был 1.5 зуб. Медиальная стенка была. Коффердам, супермат, песок, адгезив, супермат. Все восстановил двумя порциями люксокора. Внес, подождал пару минут пока сам схватится, потом засветил. И вторую порцию так же. В итоге, когда точит под коронку, дистально в пришеечной области (перехода материала в зуб) - каша. Сверху засветился, снизу каша. Пришлось все высверливать и заново билдапить. Повезло второй раз или нет, не знаю. Может, даже и в лампе дело. Хотя пломбы светит. Но у них слой гораздо тоньше Ссылка на комментарий
annda Опубликовано 17 февраля, 2020 Поделиться Опубликовано 17 февраля, 2020 У Биско хорошие коры- Лайткор, Корфло. Но я все одно под кофером все делаю. Ссылка на комментарий
krokomot Опубликовано 17 февраля, 2020 Поделиться Опубликовано 17 февраля, 2020 Просто, очень не верится тут в адгезив. Ведь при засвечивании весь материал, насколько я знаю, стремится к лампе. В химии, наоборот, к зубу. 1) Слишком большой объем для восстановления адгезией зуба 4.62) Зуб 4.6 резорцинка. Или я что-то не так говорю?Недавно был 1.5 зуб. Медиальная стенка была. Коффердам, супермат, песок, адгезив, супермат. Все восстановил двумя порциями люксокора. Внес, подождал пару минут пока сам схватится, потом засветил. И вторую порцию так же. В итоге, когда точит под коронку, дистально в пришеечной области (перехода материала в зуб) - каша. Сверху засветился, снизу каша. Пришлось все высверливать и заново билдапить. Повезло второй раз или нет, не знаю. Может, даже и в лампе дело. Хотя пломбы светит. Но у них слой гораздо тоньше это проблема в материале, если каша, он не полимеризовался, в еорах обязательно нужно через смешивающую насадку выдавить каплю, а потом вносить. Обычно полимеризую сразу, не жду химии. Использую кор-ит. Ссылка на комментарий
Vladimirov Опубликовано 17 февраля, 2020 Поделиться Опубликовано 17 февраля, 2020 Да. Без коффердама.можно и валиками заизолироваться особенно если в 4 руки работаете У Биско хорошие коры- Лайткор, Корфло. и адгезивы у них лютые,но дорого всё у нихя за Core-It корейский Ссылка на комментарий
Dr.Mikitos Опубликовано 17 февраля, 2020 Автор Поделиться Опубликовано 17 февраля, 2020 можно и валиками заизолироваться особенно если в 4 руки работаете и адгезивы у них лютые,но дорого всё у нихя за Core-It корейский Ну он же адгезивный. А я про химию спрашивал Ссылка на комментарий
krokomot Опубликовано 17 февраля, 2020 Поделиться Опубликовано 17 февраля, 2020 Ну он же адгезивный. А я про химию спрашивалон тройного отверждения, химический, фото и активатор в адгезиве Ссылка на комментарий
Dr.Mikitos Опубликовано 18 февраля, 2020 Автор Поделиться Опубликовано 18 февраля, 2020 он тройного отверждения, химический, фото и активатор в адгезивеВ смысле тройного? Есть химического, есть светового. Самопротравливающий и самоадгезивонаносящий? Ссылка на комментарий
annda Опубликовано 18 февраля, 2020 Поделиться Опубликовано 18 февраля, 2020 Двойного , навеное? Химия и свет. Ссылка на комментарий
krokomot Опубликовано 18 февраля, 2020 Поделиться Опубликовано 18 февраля, 2020 Двойного , навеное? Химия и свет.Тройного, это когда и в адгезиве есть катализатор, как например в вариолинке, коры которые в комплекте имеют двухкомпонентный или трех компонентный адгезив относятся к цементам тройного отверждкния. Ссылка на комментарий
Vladimirov Опубликовано 18 февраля, 2020 Поделиться Опубликовано 18 февраля, 2020 (изменено) адгезивныйдружище вы формулируйте некоторые высказывания яснее и чётче. Что значит "адгезивный"??? Это материал должен применяться с адгезивной системой или самоадгезивный как керовский Vertise или бисковский Thera-Cem которые,могут применяться без адгезивной системы? Изменено 18 февраля, 2020 пользователем Vladimirov Ссылка на комментарий
dimuxxx Опубликовано 19 февраля, 2020 Поделиться Опубликовано 19 февраля, 2020 Просто, очень не верится тут в адгезив. Ведь при засвечивании весь материал, насколько я знаю, стремится к лампе. В химии, наоборот, к зубу. вот это уже несколько устаревшее утверждение, в дополнение к вышесказанному. Ссылка на комментарий
krokomot Опубликовано 19 февраля, 2020 Поделиться Опубликовано 19 февраля, 2020 вот это уже несколько устаревшее утверждение, в дополнение к вышесказанному.Материал никуда не стремится, от лампы это направление начала полимеризации, в канале и на устях все равно сработает химия в большей мере. Другой вопрос, что я например не очень верю в самопротравливающий и самоадгезивный. Ссылка на комментарий
Паращук Роман Опубликовано 19 февраля, 2020 Поделиться Опубликовано 19 февраля, 2020 Хорошо. Дополню фотографиями. К примеру, такие зубы.под мк-вкв,под безмет вкв с папрессовкой и не конопатить себе копчик. 1 Ссылка на комментарий
annda Опубликовано 20 февраля, 2020 Поделиться Опубликовано 20 февраля, 2020 Хорошо. Дополню фотографиями. К примеру, такие зубы.А какую роль в судьбе этих зубов будет играть билдап, чтобы в него так уж верить? Билдап, по сути, просто восстанавливает контур культи, пустоту заполняет, потому разницы нет никакой что тут будет стоят именно в этом аспекте. Более важен аспект зубосохранения , коронкового герметизма и обратного отыгрывания в случае проблем.В любом случае, коронка обязана охватывать и опираться на твердые ткани зуба, а совсем не на билдап.А тут у вас проблемы. Вот на это и должна быть направлена ваша работа. Будете ли вы вытягивать корень, удлинять клиническую коронку зуба, смещать ли клиническое соединение тефлоном, желательно не пользовать уступ потом, а вертипреп, чтобы не рушить зуб, а именно обхватывать его и т. п. И билд ап тут будет играть чуть ли не одну из самых последних ролей в плане зубосохранения... 3 Ссылка на комментарий
Dr.Mikitos Опубликовано 22 февраля, 2020 Автор Поделиться Опубликовано 22 февраля, 2020 А какую роль в судьбе этих зубов будет играть билдап, чтобы в него так уж верить? Билдап, по сути, просто восстанавливает контур культи, пустоту заполняет, потому разницы нет никакой что тут будет стоят именно в этом аспекте. Более важен аспект зубосохранения , коронкового герметизма и обратного отыгрывания в случае проблем.В любом случае, коронка обязана охватывать и опираться на твердые ткани зуба, а совсем не на билдап.А тут у вас проблемы. Вот на это и должна быть направлена ваша работа. Будете ли вы вытягивать корень, удлинять клиническую коронку зуба, смещать ли клиническое соединение тефлоном, желательно не пользовать уступ потом, а вертипреп, чтобы не рушить зуб, а именно обхватывать его и т. п. И билд ап тут будет играть чуть ли не одну из самых последних ролей в плане зубосохранения...В данном случае планирую b.o.p.t. Культю все равно придется чем-то восстанавливать. Это либо лшкв, либо корматериал. Про лшкв понятно, что можно сделать. Но сейчас интересует выбор корматериала. Не уверен, что без отслаивания лоскута наложу коффердам. Поэтому и спросил за химию. Изоляция конечно будет - оптрагейт, драйтипс, валики. Но адгезивные системы, на сколько я знаю, всего этого боятся. Отсюда вопрос, какой посоветуете корматериал для восстановления культи зуба. Ссылка на комментарий
Dr.Mikitos Опубликовано 22 февраля, 2020 Автор Поделиться Опубликовано 22 февраля, 2020 под мк-вкв,под безмет вкв с папрессовкой и не конопатить себе копчик.Это понятно. Но на данный момент интересует корматериал (не адгезивный и не самотрав) Ссылка на комментарий
Dr.Mikitos Опубликовано 22 февраля, 2020 Автор Поделиться Опубликовано 22 февраля, 2020 дружище вы формулируйте некоторые высказывания яснее и чётче. Что значит "адгезивный"??? Это материал должен применяться с адгезивной системой или самоадгезивный как керовский Vertise или бисковский Thera-Cem которые,могут применяться без адгезивной системы?Спасибо за ответ! Адгезивный мне как раз таки не нужен. И самоадгезивный и самопротравливающий тоже. Ссылка на комментарий
Рекомендуемые сообщения
Для публикации сообщений создайте учётную запись или авторизуйтесь
Вы должны быть пользователем, чтобы оставить комментарий
Создать аккаунт
Зарегистрируйте новый аккаунт в нашем сообществе. Это очень просто!
Регистрация нового пользователяВойти
Уже есть аккаунт? Войти в систему.
Войти