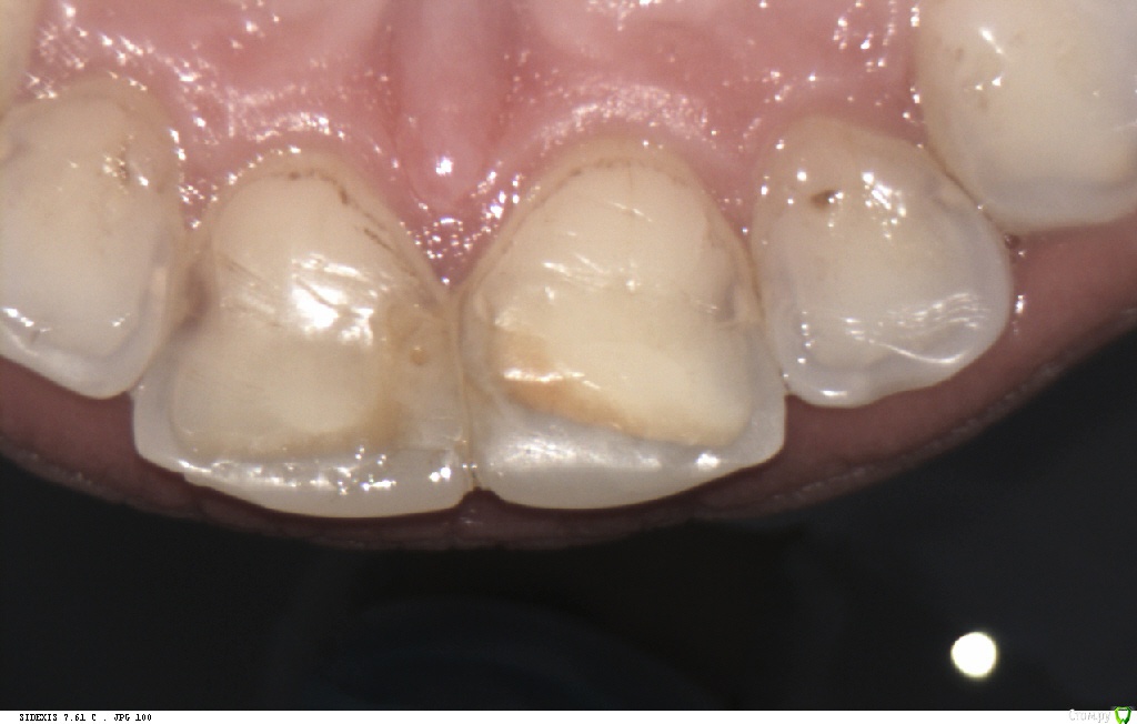
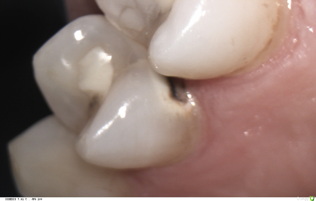
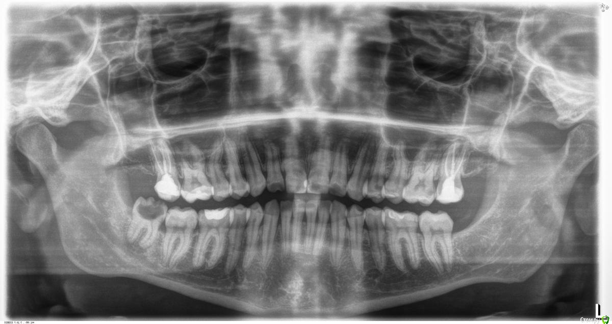
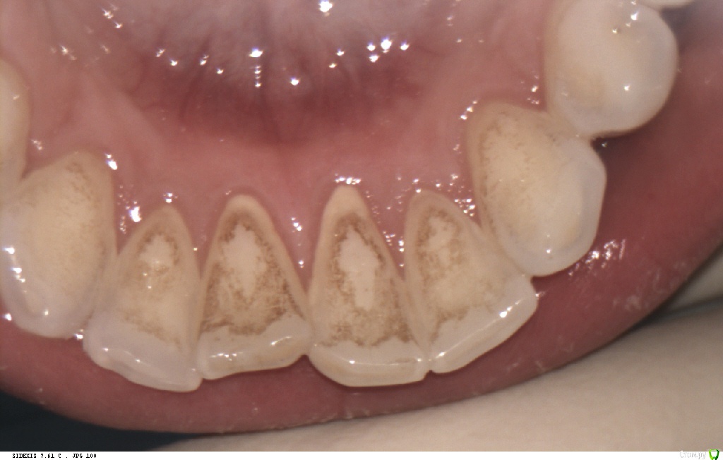
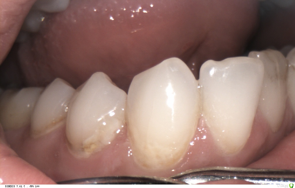
St. Опубликовано 5 мая, 2017 Поделиться Опубликовано 5 мая, 2017 (изменено) Орто и фото Изменено 5 мая, 2017 пользователем St. 1 Ссылка на комментарий
Pan Опубликовано 6 мая, 2017 Поделиться Опубликовано 6 мая, 2017 (изменено) типичная локализация кариеса при плохой гигиене и злоупотреблении в питании фастфуда. Ну понятно, что всё это на фоне сниженной кариесрезистентности. Первым делом нужно объяснить девушке значимую роль питания и гигиены в развитии кариозных процессов. Изменено 6 мая, 2017 пользователем Pan 1 Ссылка на комментарий
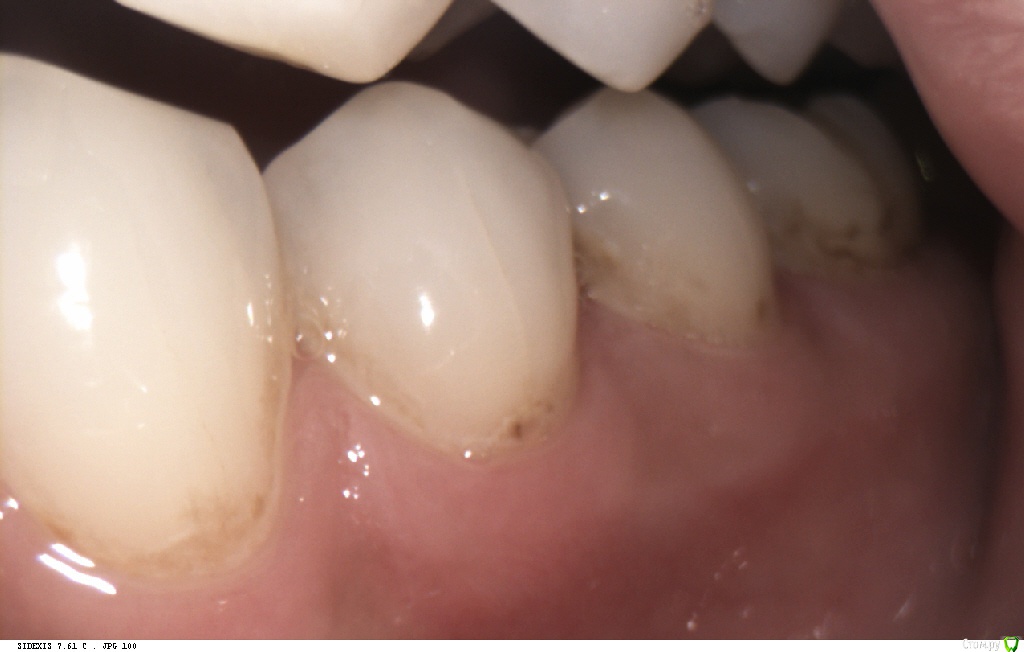
Л Ю С Я Опубликовано 9 мая, 2017 Поделиться Опубликовано 9 мая, 2017 Прям Фауст фуд во всем и виноват))) и гигиена по фото не такая уж плохая. Зубные отложения, конечно, присутствуют. Но гингивита, характерного для регулярно неудовлетворительной гигиены нет. У меня есть пациентка, тоже около 30, очень сознательная, со здоровьем и образом жизни все в порядке, регулярно использует флосс, щётка электрическая. Там кпу 26-28. Удаленных зубов нет, за счёт регулярного посещения стоматолога. Депульпированных 4-5. Ходила раз в 3 месяца , стабилизировали процесс за счёт профессиональной гигиены, антибактериальными ополаскивателями, туфмусс и фторированием. Исчезла на 1 год, случилась беременность и роды. Явилась через 2 месяца после родов. Гигиена отличная, Фауст фуд не ест)), зато кариес съел практически все целые контакты и шейки. Мотивируем на Тотал 1 Ссылка на комментарий
inSight Опубликовано 9 мая, 2017 Поделиться Опубликовано 9 мая, 2017 (изменено) С чего начинать обследование, к кому направлять на консультацию? И собственно как вести дальше? Эндокринолог, анамнез на хрон заболевания, пародонтитом (пугал бы, и пробывал бы на проф гигиене вести как писали ранее "фуксином пополоскать,чтобы наглядно было" от такого пациенты начинают чистить, т.к уходят с прокрашенными зубами), прикус(ортопед), тем временем пульпит лечил бы. Изменено 9 мая, 2017 пользователем inSight Ссылка на комментарий
St. Опубликовано 9 мая, 2017 Поделиться Опубликовано 9 мая, 2017 Принесла анализы и заключения специалистов.как оказалось пару месяцев назад обследовалась. Практически космонавт)) Слегка увеличена щитовидка, но гормоны в норме. Газировку и фреши не пьет, фастфуд не ест. Так ничего не беспокоит кроме внешнего вида.Озвучили вариант терапевтического лечения сиц+рем.терапия ивариант тотала, ушла думать.Как думаете тотал может решить вопрос или есть высокая вероятность вторичного поражения? Ссылка на комментарий
Л Ю С Я Опубликовано 10 мая, 2017 Поделиться Опубликовано 10 мая, 2017 Как думаете тотал может решить вопрос или есть высокая вероятность вторичного поражения?Если все сделано по феншую , почему бы нет. Главное, чтоб с гигиеной было все окей и стабилен пародонт Ссылка на комментарий
Pan Опубликовано 11 мая, 2017 Поделиться Опубликовано 11 мая, 2017 (изменено) Деструкция эмали (в типичных для зубного налета местах) произошла значительно ранее ( разве нужно еще раз говорить об истинных причинах, способствующих этому процессу?) Потом, конечно, индивидуум (взрослея) изо всех сил старается и отсутствие признаков гингивита(если хотите) тому подтверждение. Но, увы, процесс уже запущен... Вы конечно же не хотите оспорить тот факт, что деструкцию эмали (кариес) вызывают бактерии зубного налета. Изменено 11 мая, 2017 пользователем Pan Ссылка на комментарий
Петрович Опубликовано 11 мая, 2017 Поделиться Опубликовано 11 мая, 2017 а микробы уже не причина Кариеса? Ссылка на комментарий
Рекомендуемые сообщения
Для публикации сообщений создайте учётную запись или авторизуйтесь
Вы должны быть пользователем, чтобы оставить комментарий
Создать аккаунт
Зарегистрируйте новый аккаунт в нашем сообществе. Это очень просто!
Регистрация нового пользователяВойти
Уже есть аккаунт? Войти в систему.
Войти