Перейти к содержанию
Стоматология для всех

Перелечивание или коронки?


miloska

Рекомендуемые сообщения

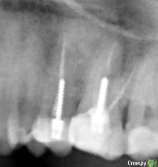
Здравствуйте! Писала на форум Терапии,- не получила ответа.Помогите принять решение ! Завтра идти к врачу..

Помогите, пожалуйста, советом! Ситуация такая : В одной клинике были пролечены каналы и установлены анкерные штифты в 25,26 зубах.Зубы были восстановлены световыми пломбами с рекомендацией под коронки.С целью установки коронок обратились в другую клинику, где сначала сказали эти зубы перелечивать и ставить вкладки +коронки, но потом терапевт сказала, что при перелечивании есть большой риск того, что зубы пойдут на удаление и посоветовала накрыть коронками то, что есть..

Рисковать этими зубами не могу, поэтому пошла к ортопеду ,несмотря на дискомфорт в области этих зубов (терапевт сказала, что возможно это из-за давления пломб на дёсны..)После обточки и установки временных коронок, дискомфорт усилился и чувствую болезненные ощущения при надкусывании..Скажите, пожалуйста, по снимку( снимок до обточки) , нормально ли пролечены каналы, нет ли воспалений и как  правильнее поступить: ставить коронки на то, что есть или 

необходимо всё же рисковать с перелечиванием?

post-57565-0-48183200-1555162222_thumb.jpg

Ссылка на комментарий

К сожалению, представленный вами снимок - малоинформативен. Сделайте КТ. Решение о перелечивании принимается на основании нормального рентгенологического исследования. Симптомы, которые описываете вы, характерны для обострения хронического воспалительного процесса в кости вокруг зуба. Ни в коем случае нельзя протезировать такие зубы, без предварительного лечения.

Ссылка на комментарий

Для публикации сообщений создайте учётную запись или авторизуйтесь

Вы должны быть пользователем, чтобы оставить комментарий

Создать аккаунт

Зарегистрируйте новый аккаунт в нашем сообществе. Это очень просто!

Регистрация нового пользователя

Войти

Уже есть аккаунт? Войти в систему.

Войти
×
×
  • Создать...
Вверх